簡介
自發性縱隔氣腫常見的原因,多為哮喘、劇咳氣道壓升高,肺泡破裂,空氣從肺間質沿間質間隙向肺門和縱隔滲入;也可因氣胸、間質肺氣腫致縱隔氣腫,它還可向皮下擴散發生皮下氣腫。頸部創傷、食管、氣管刺傷或胸部外傷致氣管斷裂直接發生縱隔內積氣。醫療操作不當如內鏡術致食管或氣管穿孔,氣管切開術氣體向皮下和縱隔內擴散致縱隔氣腫。該症多見於新生兒和嬰幼兒文獻報導發病率自0.04%~1%不等;成人亦不少見。成人男性發病多於女性。發病機制
X光片1.肺泡壁破裂所致的縱隔氣腫肺泡壁因肺泡內壓急劇上升或因其他疾病而發生損傷破裂即可導致氣體由肺泡內進入肺間質,形成間質性肺氣腫;氣體再沿肺血管周圍鞘膜進入縱隔。常因同時有髒層胸膜損傷而合併自發性氣胸但亦可見僅有縱隔氣腫者。常見原因如用力劇咳或吸氣後用力屏氣致肺泡內壓劇增,哮喘急性發作時氣流嚴重受限致肺泡內壓劇增(尤其常見於兒童),機械通氣使用不當致氣道壓過高,張力性氣胸時過高的胸腔內壓亦可使鄰近肺組織肺泡內壓劇增致肺泡破裂,金黃色葡萄球菌肺炎等疾病致肺泡壁破壞閉合性胸部外傷因外部剪下力致肺泡壁損傷等。
2.縱隔內氣道破裂所致的縱隔氣腫最常見於胸外傷患者,亦有少數氣管腫瘤並發縱隔氣腫的報導;纖支鏡檢查可因操作過程中患者劇咳或用於憋氣導致肺泡壁破裂而發生縱隔氣腫,亦可因活檢時損傷氣道壁而使氣體由氣道破口進入縱隔。
3.食管破裂所致的縱隔氣腫包括劇烈嘔吐致食管破裂,食管外傷內鏡檢查損傷食管,食管痙攣阻塞而致近端破裂,異物損傷食管,食管癌腫瘤組織壞死食管手術後瘺等。
4.頸部氣體進入縱隔如氣管切開術後、甲狀腺手術後扁桃體切除術後等,空氣自頸部創口進入皮下組織聚積,沿頸深筋膜間隙即可進入縱隔內。
5.腹腔氣體進入縱隔胃腸穿孔、人工氣腹術等,腹腔內氣體可沿膈肌主動脈裂孔和食管裂孔周圍的疏鬆結締組織進入縱隔。
臨床表現
縱隔氣腫的症狀輕重不一,主要與縱隔氣腫發生的速度、縱隔積氣量的多少、是否合併張力性氣胸等因素有關。少量積氣患者可完全無症狀,僅於胸部X線片上見縱隔氣腫的徵象。積氣較多壓力較高時,患者可感胸悶不適,咽部梗阻感胸骨後疼痛並向兩側肩部和上肢放射。縱隔內大量積氣或合併有張力性氣胸者臨床表現危重,嚴重呼吸困難,煩躁不安意識模糊甚至昏迷,發紺明顯若不及時搶救可很快危及生命。
體格檢查可發現頸部皮下氣腫,嚴重者皮下氣腫可蔓延至面部胸部、上肢,甚至蔓延至腹部和下肢皮膚黏膜發紺,呼吸困難病情嚴重者血壓下降,脈搏頻數。頸靜脈怒張心尖搏動不能觸及,心濁音界縮小或消失心音遙遠,約半數患者可於心前區聞及與心搏一致的喀噠聲(Hamman征),以左側臥位時較為清晰。並有張力性氣胸者尚可見相應體徵。
診斷
根據有誘發縱隔氣腫的有關疾病史,有呼吸困難和胸骨後疼痛等症狀,應考慮縱隔氣腫的可能性;若尚有頸部和胸部皮下氣腫、頸靜脈充盈等體徵,則應高度懷疑本症,並行胸部X線檢查以明確診斷。
鑑別診斷:
應注意與其他可以引起胸痛呼吸困難、發紺等症狀的疾病相鑑別。
檢查
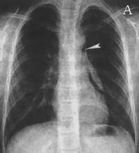
胸部X線檢查對明確縱隔氣腫的診斷具有決定性的意義。於後前位胸片上可見縱隔胸膜向兩側移位,形成與縱隔輪廓平行的高密度線狀陰影,其內側與縱隔輪廓間為含氣體的透亮影,通常在上縱隔和縱隔左緣較明顯上述徵象應與正常存在的縱隔旁狹窄的透亮帶(Mach帶)相區別,其鑑別要點在於Mach帶的外側並無高密度的縱隔胸膜影。此外,部分患者尚可在胸主動脈旁或肺動脈旁發現含氣透亮帶嬰兒當縱隔內氣體量較多時可顯示胸腺輪廓。縱隔氣腫在側位胸片上表現為胸骨後有一增寬的透亮度增高區域,將縱隔胸膜推移向後呈線條狀陰影,心臟及升主動脈前緣與胸骨間距離增大。X線檢查尚可清晰地顯示同時存在的氣胸以及下頸部和胸部皮下氣腫胸部CT檢查:胸部CT因不受器官重疊的影響,對縱隔氣腫顯示較清楚,尤其是當縱隔內積氣量較少,後前位胸片易於識別。治療
縱隔氣腫的治療關鍵在於採取積極措施控制原發疾病,如控制哮喘發作以緩解氣流受限,對外傷所致氣道損傷應及早進行手術治療。對氣管切開術後並發的縱隔氣腫應立即拆除皮膚和皮下組織縫線,使氣體可外溢。對合併氣胸的縱隔氣腫患者應儘早施行胸腔閉式引流術許多患者隨著胸腔內壓力下降,縱隔氣腫的程度亦可明顯減輕。
對縱隔氣腫本身應根據積氣量多少和臨床症狀輕重決定治療方案對積氣量少症狀不明顯者不需特殊治療,氣體在1~2周內常可自行吸收。對積氣量大,壓力高,致使縱隔器官受壓出現呼吸循環障礙者可經胸骨上切口行排氣減壓術。伴有大量皮下氣腫者可行多部位針刺排氣或小切口排氣。酌情使用抗生素以預防或控制感染。
1、一般治療:大多數縱隔氣腫輕症者,經臥床休息,給予抗生素及止痛、吸氧等一般處理,1周左右氣體吸收痊癒,少數病人禁食,給予腸道外營養。
2、局部排氣治療:對縱隔積氣較多,有壓迫症狀,經一般處理仍不好轉者,可在局麻下於胸骨上切跡處做切開引流排氣減壓。有皮下氣腫者同樣可做上胸部皮膚切開,擠壓排氣。
3、原發病治療:因外傷、張力性氣胸所致者遲早施行閉式引流術,對斷裂的氣管,漏氣的食管等進行修補縫合,給予原發腫瘤的內科治療。
預後預防
預後:縱隔內大量積氣或合併有張力性氣胸者,臨床表現危重,嚴重呼吸困難,煩躁不安,意識模糊甚至昏迷發紺明顯,若不及時搶救可很快危及生命。
預防:積極治療原發病。

