基本概述
骨結核骨結核英文(Bone tuberculosis)骨結核大多是由肺結核繼發的,但也有患者沒有肺結核病史,屬於結核菌的隱匿性感染。結核菌核大多首先發生在肺部,在肺部感染後通過血液的傳播可以到全身很多系統去,可以導致骨骼系統結核、泌尿系統結核、消化系統結核等。所以骨結核是全身疾病在局部的表現。中醫認為骨癆是由於正氣虛虧,筋骨傷損,蓄結瘀聚化為痰濁,流注骨骼關節而發。這種細菌傳播到其他部位後,大部分的部位可以由於抵抗力的增強把它消滅掉,但是有一些部位的結核菌可能在局部形成一個小的病灶,如果肌體抵抗力很強,可能潛伏在那裡,當肌體抵抗力減弱的時候,這些潛伏的病灶就可以發展起來,導致骨結核病,因此骨結核是一種繼發的病灶。得了骨結核後人為什麼會導致癱瘓呢。有一部分骨結核可以引起病人癱瘓,這是由於結核病變對骨頭的侵蝕,大家都知道脊梁骨後面就是脊髓,一旦脊髓受到壓迫或者損傷和牽拉,那么傳達指令就會出現問題,病人就會出現癱瘓。人體從頸椎、胸椎到腰椎都可以得結核,如果生病的位置比較高,危害就越大,如果頸椎得了結核,雙上肢以下就會不能動,如果是胸椎得了結核,那么胸部以下就不能動了,腰椎如果得了結核就主要是雙下肢的問題。實際上人體任何部位的骨頭都可以得結核,脊柱部位的結核大約占到50%,其他的比如膝關節、髖關節等很多關節也都可以得結核。根據病變部位和發展情況可分為單純性骨結核,單純性滑膜結核和全關節結核。關節結核發展緩慢,早期多為偶然的關節疼痛,逐漸加重並轉為經常疼痛,活動時疼痛加重,有壓痛,疼痛可放散至其它部位,如髖關節結核疼痛常放散至膝關節。因活動時疼痛而有肌痙攣,致使關節的自動和被動活動受限,持久性肌痙攣可引起關節攣縮或變形,患肢因廢用而肌肉萎縮。在晚期因骨質破壞,或骨骺生長影響,形成關節畸形、病理脫臼或肢體短縮等。骨結核大多是由肺結核繼發的,但也有患者沒有肺結核病史,屬於結核菌的隱匿性感染。結核菌核大多首先發生在肺部,在肺部感染後通過血液的傳播可以到全身很多系統去,可以導致骨骼系統結核、泌尿系統結核、消化系統結核等。所以骨結核是全身疾病在局部的表現。中醫認為骨癆是由於正氣虛虧,筋骨傷損,蓄結瘀聚化為痰濁,流注骨骼關節而發。
病理病機
祖國醫學認為骨癆是由於正氣虛虧,筋骨傷損,氣血失和,蓄結瘀聚化為痰濁,流注骨骼關節而發。(一)正氣虛虧腎主骨、藏精、生髓。腎虛則失去精氣的滋養,其正氣下降,易受外邪侵犯。兒童稚陰稚陽之體,氣血、肝腎之氣未盛,或因先天稟賦不足,肝腎虧虛,後天疏於調養,則更致髓弱骨嫩;成人後天失調,傷及脾胃,或因房事過度、遺精帶下,則使腎虧髓虛骼空,皆可導致人體正氣虛弱,經脈澀滯,液聚日久成痰濁,流注於骨關節而發病。
(二)、筋骨傷損幼兒筋弱骨嫩,若太早強坐,或因閃挫跌扑,筋骨受損,氣血失和,外邪乘機客於經絡,以至氣血淤滯,蓄積為痰濁,凝聚骨與關節而發病。現代醫學認為骨關節結核屬繼發病變,其原發病變90%以上在肺和骨膜,少數繼發於消化道或淋巴結結核。當結核桿菌侵入骨關節,所引起的局部病理變化與其他部位的結核病變相似,分為滲出期、增殖期、乾酪期三期;其後根據治療與否,可出現病變縮小癒合或病變發展擴大兩種情況。
病因
骨結核骨結核是由結核桿菌侵入骨或關節而引起的化膿性破壞性病變。祖國醫學因其病發於骨或關節,消耗氣血津液,致使後期形體嬴瘦,正氣衰敗,纏綿難愈,故名骨癆。又因本病成膿之後,可流竄他處形成寒性膿腫,破潰後膿液中伴敗絮狀痰樣物,故又名流痰。本病多見於前兒童和青少年。大多數病人年齡在30歲以下。10歲以下,特別是3-5歲的學齡兒童發病率最高。發病部位多數在負重大、活動多、容易發生勞損的骨或關節。發病於脊柱繁榮骨癆最多,約占所有骨癆的一半,其次是膝、髖、肘、踝等關節。四肢張骨幹、胸骨、肋骨、顱骨等則很少發病。
骨癆在清代以前的文獻中,大多混淆在陰疽、緩疽、流注、鶴膝風等病症中。直到清代,才逐步,明確地把它從陰疽、緩疽等病症中區分出來,並以“痰”命名之。如清·《瘍科心得集?辨附骨疽?附骨痰?腎俞虛痰論》曰“附骨痰者,亦生於大腿之側骨上,為純陰無陽之證,小兒三歲、五歲時,先天不足,薩那陰虧損,又或因有所傷,致使氣不得上升,血不得行,凝滯經絡,乃刺破後,膿水清稀,或有豆腐花塊隨之而出,腫仍不消,元氣日衰,身體縮小,而顯雞胸鱉背之象。”清.《醫門補要.腰痛日久成龜背痰》、晚清.《外證醫案彙編?卷三?流痰附論》對骨癆的病因病機進一步作了較詳細的論述,明確指出“痰”因正虛之體,遭外邪入侵和損傷而發。
當結核桿菌侵入骨關節,所引起的局部病理變化與其他部位的結核病變相似,分為滲出期、增殖期、乾酪期三期;其後根據治療與否,可出現病變縮小癒合或病變發展擴大兩種情況。現代一些將病變在骨骼的骨癆稱之為骨結核,病變在關節的骨癆稱為關節結核。
病狀種類
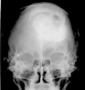
顱骨結核大體可見在與受累的顱骨相應部位的頭皮下有寒性膿腫,內含乾酪樣壞死組織及至膿腫破潰後形成的竇道。顱骨呈棕灰色,無光澤,質鬆軟常有形狀不同的骨缺損或死骨。顯微鏡下可見皮下及竇道內和硬腦膜外有大片乾酪樣壞死及纖維結締組織增生,顱骨的骨小梁正常結構遭到破壞,分辨不清。
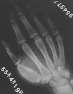
指骨結核掌骨結核共稱短骨的骨幹結核,發病率占上肢骨與關節結核的次位,僅低於肘關節結核,占全身骨與關節結核的4.88%。患者以兒童居多,成人發病少見。掌、指骨結核繫結核菌經血源途徑引起發病。骨幹結核的病理變化以增生為主,溶骨性破壞次之,死骨形成比較少見。手部短骨骨幹結核也以增生為主,死骨形成有時可見到,其病理變化與長骨骨幹略有不同。常見有氣臌的改變,即骨質膨脹、變薄,髓腔因溶骨性破壞而擴大。死骨形成比長骨骨幹結核為多。可能因骨體細小,病變容易波及關節的機會比長骨骨幹結核要多。手足短管狀骨結核的發病率比長骨骨幹高得多,考慮是因為短管狀骨周圍肌肉較小或缺如,缺乏肌肉的保護作用。另外短管狀骨的營養血管較細,血流速度緩慢,細菌栓子容易在局部停留而發病的緣故。在手部掌指骨結核中,掌骨的病例數高於指骨末節指骨很少見。在5個手指中,12、3指所屬的掌骨和指骨的患病率較高4、5指所屬的掌、指骨患病率較低。
脊柱骨結核尤其是腰椎的結核最早的症狀常常是腰疼,但是很多別的疾病都可以產生腰疼,比如椎間盤病、腰部勞損等都可以導致腰疼。結核病的腰疼和其他疾病導致的腰疼還是有一些區別的,結核病的腰疼是一種持續的腰疼,尤其是在晚上睡著以後疼,小孩或者年輕人經常疼醒了,疼痛不會因為休息、吃藥等有好轉。在臨床醫生看來脊柱結核和別的疾病導致的疼痛區別在於,脊柱結核導致疼痛的病人的腰都是僵直的,很難自己彎腰,這是一個很重要的區別。
X片表現
(一)骨質破壞
骨小梁模糊,似磨砂玻璃樣的感覺,呈現出骨質缺損。其缺損區為局限性,邊緣相對清晰,可有硬化,是為局限性結核病灶的特點,再繼續以彌散性破壞加劇,易向髓腔拓展而形成結核性骨髓炎。骨質破壞易發生於骨骺及乾骺,可在骨質中央部分亦可在邊緣部分,形成缺損,往往骨骺及乾骺同時破壞,形成不受骺板限制的統一破壞區。
關節骨質破壞,從兩側邊緣開始,中央的關節板面較輕,是結核的特點。但在膝關節、肩關節中央部分亦可破壞,因緊密相接的軟骨較少。關節骨質破壞上下相對應的關節板面同時受累。但這種接觸面骨質破壞也不一定是為結核所獨有。
肩關節結核的肱骨頭呈現類圓形穿鑿樣改變。膝關節結核在脛骨上端關節板面兩側呈現小的穿鑿樣改變,恥骨結核在恥骨聯合或恥骨板呈現類囊狀或不規則的破壞。
常在骨端內或乾骺端內見到,中央性破壞可形成囊狀,亦可在短骨及塊狀骨見到,甚至在骶骨上顯示囊狀破壞區。
死骨的形成一般較多見的為細小的沙礫樣死骨,常在松骨破壞區發現,如骨骺內,乾骺內。髕骨結核亦常出現死骨,血供豐富的地方不易見死骨,如骨幹結核、髂骨結核。有時在上下相對應的關節面都有死骨,常稱之為接觸性死骨。在膝關節內時有發生。
(二)骨形改變。
管狀長骨的破壞可表現為不同程度的膨脹變形,脊椎的椎體結核、椎體坍塌可呈楔狀變形,椎體上下之間相互嵌入出現駝背或龜背畸形等。
(三)關節改變。
關節軟骨被破壞可使關節間隙狹窄,軟骨破壞後不會再生,狹窄發生後會長期存在。脊椎椎間盤破壞不能再生,如破壞明顯,椎間隙永久性消失
鑑別診斷
細胞圖二、流注發於肌肉,無固定部位,隨處可生,大多為多發性,起病較快,疼痛較輕,成膿較快,潰後不易收口。
三、歷節風雖也發生在關節,日久也可出現肌肉萎縮,關節變形,但初起即有寒熱汗出,肢節竄痛無定處,且有多發性關節炎病史。
臨床症狀
骨結核骨關節結核起病多較緩慢,全身症狀隱蔽,病人可有低熱、倦怠、盜汗、食慾減退和消瘦等。僅有少數病人除上述症狀外,呈現急性發作,高熱39度左右,局部症狀如下。
(一)功能障礙
通常病人的關節功能障礙比患部疼痛出現更早。為了減輕患部的疼痛,各關節常被迫處於特殊的位置,如肩關節下垂,肘關節半屈曲位,髖關節屈曲位,踝關節足下垂位。頸椎結核常用兩手托下頜,胸椎或腰椎結核者肌肉保護性痙攣,致使彎腰困難而小心下蹲拾物等特有的姿勢。
(二)腫脹
四肢關節結核局部腫脹易於發現,皮膚顏色通常表現正常,局部稍有熱感。關節腫脹逐漸增大,肢體的肌肉萎縮,患病關節多呈梭形。
(三)疼痛
初期局部疼痛多不明顯,待病變發展刺激或壓迫其鄰近的神經根,如胸椎結核的出現肋間神經痛;腰椎結核刺激或壓迫腰叢神經引起腰腿痛;單純骨結核或滑膜結核發展為全關節結核時疼痛加重,往往這時才引起病人注意。為了減輕疼痛,患部肌肉一直處於痙攣狀態,藉以起保護作用。當病人體位改變時,尤其是在夜間熟睡失去肌肉痙攣的保護時,疼痛更加明顯,小兒常常表現夜啼等。
(四)畸形
現畸形,脊柱結核多出現成角後凸畸形。
治療方法
骨結核骨結核包括脊柱結核有它一般的結核治療原則,首先是支持療法,要有充分的營養比如蛋白質、維生素,熱量要夠,充足的休息等。另外就是抗結核治療,也就是化療,給予各種抗結核的藥物,需要堅持的時間比較長。但是有些病發展到嚴重的程度了,膿腫、癱瘓等,就要進行手術治療了。手術要把那些已經被結核病破壞掉的骨頭清除乾淨,在基本切除後的基礎上再用其他部位的骨頭,比如髂骨植入進去,目的是讓植入的骨頭和原來即將正常的骨頭慢慢長在一起,融為一體。手術的另一方面需要臨時進行固定,半年後植入骨頭就已經融合了。然後加上藥物治療就可以了。脊柱結核病手術的風險問題要從幾個方面考慮,首先要看病人的病情嚴重程度,還要看醫院的技術力量,特別是手術醫生以及麻醉的情況,最後要看設備情況。目前看來我國進行結核手術的保險係數還是比較高的。
1、驗方:治骨關節結核、未潰而腫痛
生甘草、生川草烏、生白芨各8兩,藤黃12兩,冰片5錢。
用法:共研細末,用時以滾熱開水調如糊狀,外敷患處,用量按病灶大小而定,每周換藥一次。
2、驗方:治骨結核皮肉潰爛、面積較大。
龍骨、廣丹、寒水石各1兩,梅片3錢。
用法:共研末撒瘡上。如久不收口,再加黃連研末撒瘡上。
3、驗方:治骨結核所致生成的竇道、肌肉萎縮無力 豬的脊排、肋排骨或豬桐骨4-5斤,含鹿角膠、穿山甲、蜈蚣的苗寨生骨方散劑180g 用法:取紗布將藥粉裹住,與4-5斤豬骨同燉,一袋藥分三天服用,每天服三次,每次服一碗(約200ml)
中醫治療
(一)陽虛痰凝患部隱隱作痛.不紅不熱,腫脹不顯,繼而關節活動障礙,動則痛甚;伴神疲乏力,食慾減退,畏寒肢冷;舌淡紅,苔薄白,脈沉細無力。
辨證分析:陽氣不足,氣血虧損,風寒痰濁之邪乘虛侵入筋骨,使骨骼氣血失和,寒痰凝集,瘀阻不通,故患處隱痛,功能活動障礙;氣血不足,陽氣虛弱,故神疲乏力,畏寒肢冷;舌質淡紅、苔薄白、脈沉細無力為陽虛之象。
治法:益腎溫經,散寒化痰。
方藥:陽和湯加減。
(二)痰化熱釀膿局部腫脹明顯,膚色轉紅,膿腫形成,按之應指;身熱朝輕暮重;舌質紅,苔薄黃、脈弦細數。
辨證分析:風寒痰濕之邪蘊久化熱,熱邪蝕骨腐肉而成膿腫;精氣不足,故雖已化熱,而呈潮熱;舌紅、苔薄黃、脈弦細數為陰虛內熱之象。
治法:育陰清熱,托毒透膿。
方藥:托里消毒散加減。
(三)陰虛火旺破潰後流膿稀薄,夾有敗絮樣物,形成竇道;伴午後潮熱,顴紅,夜間盜汗,口燥咽乾,食慾減退,心悸失眠;舌紅,少苔,脈細數。
辨證分析:素體精氣虧損,病後蘊熱傷陰,潰後流膿耗傷陰血,皆可致陰液虧損,陰虛生內熱,故見午後潮熱,夜間盜汗,口燥咽乾;舌紅、少苔、脈細數為陰虛火旺之象。
治法:養陰除蒸。
方藥:清骨散加減。
骨與關節結核的類型二、外治法
初期用回陽玉龍膏外敷,或陽和解凝膏摻黑退消蓋貼;成膿期可穿刺抽膿,或切開引流;潰後期用五五丹藥線提膿去腐,外敷紅油膏,膿盡可用生肌散收口。若形成竇道者,用千金散附在藥線上,插入竇道引流化管。
偏方治療
補氣托毒湯
【組成用法】茯苓一兩,炒白朮五錢,當歸五錢,劉寄奴三錢,川牛膝三錢,苡米三兩,雙花二兩,鹿角膠五錢。水煎2遍,分3次溫服,每日1劑。
【功效套用】此方對骨結核有很好的療效,治療患者上百例,有效率達85%以上。主治骨結核腫痛或潰破流膿。
【禁忌】忌食腥,葷,發物,並禁房事。
苗藥治療
【名稱】苗寨生骨方
【組方組成】鹿角膠、穿山甲、蜈蚣、蛇蛻、蟬衣、僵蠶、牛黃、乳香、肉桂等苗嶺野生藥材。
【功效套用】具有清熱涼血、活血消腫、拔毒排膿、補肝益腎、強髓生肌之功效,使骨代謝恢復正常,促使壞死、老化、增生、變異、鈣化等病變骨細胞的新陳代謝,吸收營養,促進活性骨細胞生成,恢復骨骼和肌肉正常功能,內外兼顧,驅邪扶正,達到徹底治癒骨結核的目的。
【用法用量】1、膠囊方用法:取本方口服,每日3次,每次3粒,3瓶為一療程;2、藥粉用法:取紗布將一整袋藥粉裹住,與4-5斤豬白骨(豬桐骨)同燉,只喝湯。燉好的湯藥分三天服用,每天服三次,每次服一碗(約200ml)。每用完一袋藥之後,間隔兩天再使用下一袋,使用六袋為一療程。
【性狀規格】1、膠囊顆粒,90粒/瓶;2、散劑藥包,180g/袋。
其他治療
一、本病各期五虛象時,可內服鹿角粉,一次3G,或小金片每次4片,或虎掙散每次0.3G,——日2次。
二、抗癆治療.用雷米封、鏈黴素、乙胺丁醇等抗癆藥物。
三、根據不同病情,採用病灶清除術或關節融合術,徹底治療原發病灶。
術後置管
消毒隔離管理考慮到置管的排異反應和逆行感染等問題,骨結核傳統的治療不主張長期置管沖洗引流甚至不主張置管,但是經過臨床實踐,發現骨結核由於病灶部位較深,骨組織的弗克曼系統、潛在的腔隙和竇道常難以在術中徹底清除,所以通術後的置管沖洗引流消滅殘餘病灶是治療骨結核的重要方法,這一治療觀念已受到人們的重視,並已逐漸成為一種規範的治療步驟 。在操作時須注意:
(1) 嚴把消毒隔離關 嚴格執行無菌技術操作,每天更換沖洗輸液器、負壓吸引器,並對負壓吸引器用含氯消毒劑進行浸泡消毒,置管口嚴格消毒護理,有情況及時向醫生匯報。通過嚴格的置管護理和合理的抗生素套用,術後的逆行感染、二次感染或混合感染是完全可以控制的。
(2) 防止引流管堵塞 置管引流可持續引出病灶內殘留的結核菌、壞死組織,引流管阻塞可使沖洗液外漏,甚至治療的失敗,因此防止導管阻塞和及時排除阻塞原因是至關重要的。引流管阻塞的表現是流入和流出量不等,入多出少。防止引流管堵塞必須:手術後儘早開始負壓沖洗;準確記錄出入量,觀察其顏色、性質;掌握沖洗液的速度;保持吸引器一定的負壓,一般為0. 2~0. 4 kPa/cm2,太高容易造成軟組織瓣樣阻塞引流管,太低容易使引流物阻塞引流管,正控制吸引的負壓力是預防阻塞的關鍵;適時檢查置管的整個設施,不通暢、堵塞、有漏液應及時查找原因,及時處理。
(3) 防止引流管脫落 置管位置必須在病灶深處,既可以引流徹底,又可防止引流管脫落;引流管留有一定的長度,用針線在皮膚口縫合必須固定可靠;亦可用別針對引流管固定在床墊上,並有膠布固定接頭部分。
(4)引流管的拔管時間 根據引流液的量、顏色和性質來決定拔管時間,一般以1 周為宜,停止沖洗先拔除沖洗管,觀察1~2d,待徹底排盡殘留的液體後再拔除引流管。
有無傳染
骨結核是沒有傳染性的!骨結核是由結核桿菌侵入骨或關節而引起的化膿性破壞性病變。祖國醫學因其病發於骨或關節,消耗氣血津液,致使後期形體嬴瘦,正氣衰敗,纏綿難愈,故名骨癆。又因本病成膿之後,可流竄到他處形成寒性膿腫,破潰後膿液中伴敗絮狀痰樣物,故又稱其為流痰。本病多見於兒童和青少年。大多數病人年齡在30歲以下。10歲以下,特別是3-5歲的學齡兒童發病率最高。發病部位多數在負重大、活動多、容易發生勞損的骨或關節。發病於脊柱性骨癆最多,約占所有骨癆的一半,其次是膝、髖、肘、踝等關節。四肢張骨幹、胸骨、肋骨、顱骨等則很少發病。
中醫理論
發生於骨與關節間的結核性化膿性疾病。因其成膿後,可流竄於病變附近或較遠的空隙處形成膿腫,破損後膿液稀薄如痰,故名。骨結核見於清代余景和《外證醫案彙編》一書。好發於兒童和青年,患者常有肺結核病史。發病部位以脊椎、髖關節為多,次為膝、踝、肩、肘關節。故因患病部位不同,又有龜背痰、鶴膝痰、附骨痰、環跳痰等。其病因多為先天不足,或久病腎陰虧損,骨髓不充,外邪乘虛而入,痰濁凝聚;或跌扑損傷,氣血不和而誘發。病證初起局部酸脹微腫,不紅、不熱、不痛;久則漫腫疼痛成膿,周圍肌肉萎縮;後期可伴有潮熱、盜汗、乏力等陰虧火旺之證,且局部潰破流清稀膿液及敗絮樣物,久則形成竇道,不易收口。治療初宜補肝益腎、溫經化痰為主,用陽和湯加減,中期宜扶正托毒;後期瘡潰膿成,當重扶正,氣血虧損者,用人參養營湯;陰虛火旺者,用大補陰丸等。若竇道形成,應配合外用藥如七仙條等,亦可採用手術治療。護理上,注意增加營養,配合固定制動,以協助治療。指骨關節慢性破壞性疾病兼有膿腫者。見清·余景和《外證醫案彙編》卷三。該病起病很慢,化膿亦遲,潰後不易收口,因其膿形成後可以流竄,潰後膿液稀薄如痰,故稱骨結核。屬於無頭疽之一種。骨結核好發於兒童和少年,患者常有肺結核病史。發病部位以脊椎為最多,其次為下肢、上肢。根據患病部位不同,又有龜背痰、鶴膝痰、穿踝痰、穿拐痰、雞胸痰、附骨痰、腎俞虛痰、環跳骨結核等多個名稱。其病因多為先天不足,骨骼柔嫩,或久病腎陰虧損,骨髓不充,或有所損傷以致氣血失和,外邪乘虛而入,痰濁凝聚,留於骨骼,發為本病,症見初起局部酸脹微腫,隱隱作痛,不紅不熱;久則患處漫腫疼痛成膿,周圍肌肉萎縮;後期由於陰虧火旺,可伴見午後潮熱,盜汗,身困無力,食少等全身症狀。潰後瘡口可流出清稀膿液及敗絮樣物,久則瘡口可呈凹陷,周圍色紫,形成竇道,不易收口。治療初應以補肝腎,溫經化痰為主,可用陽和湯、小金丹之類;中期則宜扶正托毒;後期瘡潰膿成,難以收口,當重扶正。氣血虧損者,用人參養榮湯;陰虛火旺者,用大補陰丸之類。若竇道形成,應配合外用七仙條或千金散粘附藥線插入管內。亦可採用手術療法治療。
起病緩慢,漫腫酸痛,不紅不熱,化膿亦遲,潰出膿水清稀,並夾有豆腐花樣物質,形成竇道後,遷延不愈,易損筋壞骨,輕則致殘,重責成為虛癆,危及生命。 以兒童及青年為多見。 好發年齡:以兒童及青年為多見。 脊椎最多,其次為下肢、膝、環跳、踝,再其次為上肢肩、肘、腕、指等骨關節間。 好發部位:脊椎最多,其次為下肢、膝、環跳、踝,再其次為上肢肩、肘、腕、指等骨關節間。 起病緩慢,化膿亦遲,潰後多不易收斂,全部病程常遷延數年。起病緩慢,化膿亦遲,潰後多不易收斂,全部病程常遷延數年。 對比了解脲脲原體性關節病變的症狀,很類似骨結核的描述,在中西結合辯證的時候可以不限於結核。對某些其他感染也可以大膽的辯證治療。
術後注意
骨結核在不影響脊柱穩定的情況下,強調四肢關節活動,根據病情選擇,根據病情掌握鍛鍊量和方法。鍛鍊原則是從小運動開始,逐漸加大,循序漸進,長期堅持。
結核病是個慢性消耗性疾病,所以要注意飲食,應該給予高熱量、高蛋白,並選擇色、味、美具全的飲食。每日保證兩個雞蛋和適量的肉類、新鮮蔬菜、水果、豆製品,早晚加餐飲用新鮮牛奶。
服藥期間應特別注意觀察有無聽神經損傷的症狀,如耳鳴、聽力減退等。同時還應警惕功能受損及發生多發行神經炎的可能,定期檢查肝、腎功、血沉、血象,並向醫生報告主觀症狀。
預防調攝
1.增加營養,提高自身抵抗力。2.長期臥床,或並發癱瘓者,應注意經常幫助其變換體位和擦浴,預防褥瘡發生。
3.病變以關節為主,應限制病變關節活動。凡病變在胸、腰椎者,應睡木板床;病變在四肢關節者,套用夾板或石膏固定,亦可作皮膚牽引,以保持功能位置。
4.積極治療肺結核、腸結核等原髮結核病灶,以預防本病發生。
有一部分骨結核可以引起病人癱瘓,這是由於結核病變對骨頭的侵蝕,大家都知道脊梁骨後面就是脊髓,一旦脊髓受到壓迫或者損傷和牽拉,那么傳達指令就會出現問題,病人就會出現癱瘓。人體從頸椎、胸椎到腰椎都可以得結核,如果生病的位置比較高,危害就越大,如果頸椎得了結核,雙上肢以下就會不能動,如果是胸椎得了結核,那么胸部以下就不能動了,腰椎如果得了結核就主要是雙下肢的問題。
實際上人體任何部位的骨頭都可以得結核,脊柱部位的結核大約占到50%,其他的比如膝關節、髖關節等很多關節也都可以得結核。
飲食療法
維生素和無機鹽對結核病康復促進作用很大。其中維生素A,有增強身體抗病能力的作用;維生素B和C可提高體內各代謝過程,增進食慾,健全肺和血管等組織功能;如有反覆咯血的病人,還應增加鐵質供應,多吃綠葉蔬菜、水果以及雜糧,可補充多種維生素和礦物質。
骨結核病人的食慾特別不好,為增加食慾,可在烹調上下功夫,做到品種多樣化,色、香、味、形好。有條件的除每日三次正餐外,可另加兩次點心。應忌食刺激性食物及辛燥生痰之食物。因結核病是一種消耗性疾病,在藥治和飲食調治並用的同時,還應注意充分休息及適當的戶外活動。
骨結核病人還可多吃海產品,如紫菜,深海魚,對蝦等。海洋生物的營養價值很高。檢測發現,每百克蝦肉含蛋白質20.6克,還含有脂肪、灰分和鈣、磷、鐵、維生素及核黃素等成分,肌體亦含原肌球蛋白和副肌球蛋白,故它是名貴佳肴外還具有補腎壯陽、滋陰健骨和鎮靜等功能,用它可治療手足抽搐、皮膚潰瘍、水痘、筋骨疼痛、骨結核等多種疾病。
病理機制
祖國醫學認為骨結核是由於正氣虛虧,筋骨傷損,氣血失和,蓄結瘀聚化為痰濁,流注骨骼關節而發。
骨結核一、正氣虛虧腎主骨、藏精、生髓。腎虛則失去精氣的滋養,其正氣下降,易受外邪侵犯。兒童稚陰稚陽之體,氣血、肝腎之氣未盛,或因先天稟賦不足,肝腎虧虛,後天疏於調養,則更致髓弱骨嫩;成人後天失調,傷及脾胃,或因房事過度、遺精帶下, 則使腎虧髓虛骼空,皆可導致人體正氣虛弱,經脈澀滯,液聚日久成痰濁,流注於骨關節而發病。
二、筋骨傷損幼兒筋弱骨嫩,若太早強坐,或因閃挫跌扑,筋骨受損,氣血失和,外邪乘機客於經絡,以至氣血淤滯,蓄積為痰濁,凝聚骨與關節而發病。 現代醫學認為骨關節結核屬繼發病變,其原發病變90%以上在肺和骨膜,少數繼發於消化道或淋巴結結核。當結核桿菌侵入骨關節,所引起的局部病理變化與其他部位的結核病變相似,分為滲出期、增殖期、乾酪期三期;其後根據治療與否,可出現病變縮小癒合或病變發展擴大兩種情況。

