發病原因
神經性關節病可發生於中樞神經系統梅毒、脊髓空洞症、糖尿病性神經病、脊髓膜膨出、先天性痛覺缺如等。這時,肩、肘、頸椎、髖、膝、踝、趾等關節由於沒有痛覺的保護機制導致關節過度使用、撞擊發生破壞。此外,長期套用皮質類固醇(如類風濕性關節炎、系統性紅斑狼瘡的治療和器官移植術後時)、止痛藥(保太松、消炎痛)的醫源性關節破壞發病機理方式相同。頸髓的脊髓空洞症是累及上肢關節常見的神經病性疾患。肩、肘、頸椎和腕為受累的多發部位。
脊髓空洞症伴發上肢關節破壞者約占25%,除關節病變外尚有單側或雙側溫度覺喪失,因此上肢皮膚可見燙傷疤痕。脊髓梅毒,也叫脊髓癆,常累及膝、髖、踝和腰椎。骨、關節改變之外,可見運動性共濟失調、下肢深感覺障礙Arggll-Robertson瞳孔、血清康瓦氏反應陽性。脊髓膨出,踝和足小關節受累多見。足底有無痛性潰瘍,腰骶部見軟組織腫塊、皮膚凹陷或多毛、下肢肌萎縮感覺消失以及擴約肌功能障礙。糖尿病性神經病,可發生足小關節(跗跖、跖趾、趾間等)無痛性腫脹等。
臨床表現
腰椎退行性骨關節病深部痛覺或體位感覺障礙,影響了關節的正常保護性反射,經常導致創傷(尤其是反覆發生的小損傷)以及發生在小關節周圍的骨折而未發覺。另外,由於反射性血管擴張使骨血流增加,結果導致骨質吸收,可引起骨折,關節損傷及關節修復。二水焦磷酸鈣或磷灰石結晶在大關節內沉積,肌肉張力減退,韌帶鬆弛及由於滲出造成的關節囊膨脹等,均可加速本病的進展。
病症診斷
神經性關節病嚴重的神經源性關節病,可有明顯的肥大或破壞性改變,或者兩種病變同時存在。疼痛往往缺乏或不太劇烈,不如根據關節破壞程度所預料的那樣嚴重。但是如果病情迅速發展,關節周圍出現骨折或有張力較大的血腫時,疼痛劇烈。骨的過度生長和滑膜液大量滲出導致關節腫脹。移位性骨折,關節表面破壞後的脫位,韌帶鬆弛和肌肉張力減退等,可造成關節畸形。骨折與骨的化生將使許多游離體(如軟骨或骨的碎片)脫落進入關節,導致關節面粗糙,產生摩擦,常常聽到的骨摩擦音往往令周圍人更為不快。用手觸摸關節時,感覺好像是"裝有幾塊骨頭的袋子"。
雖然大多數關節都可受累,但膝關節受累約相當於所有其他關節發病的總和。受累關節的分布情況主要決定於原發病。運動性共濟失調時累及膝關節,髖關節,糖尿病時累及足部關節;脊髓空洞症最常累及上肢關節,尤其是肘關節和肩關節。常常為單關節受累,(除足部小關節外)很少超過二個或三個關節,並呈不對稱分布。
患有相應神經病的患者同時發生了破壞性但卻相對無痛的關節病,應該考慮到本病。一般從神經病變發生到出現關節病之間常可隔數年。
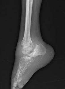
X線所見為伴有滑膜滲出的關節膨大和關節面不全脫位。通常能見到骨端硬化,但在晚期破壞性病變中也可能看不到。骨骼畸形,並在鄰近皮質的地方有明顯的新骨形成。這種新骨形成開始發生在關節囊內,然後常常向上擴展到長骨骨幹。軟組織偶可出現骨化和鈣化現象,然而這種現象可能是暫時的,甚至軟組織廣泛鈣化在隨後拍攝的X線照片上也可能消失。關節邊緣可見到形狀不規則的巨大骨贅,脫落後形成大量關節內游離體,此為本病特徵性改變。脊柱受累的X線表現(即特徵性的“鸚鵡嘴”樣骨贅),就是在缺乏局部臨床症候的情況下也十分常見。
併發症有化膿性關節炎和毗鄰組織結構受壓(如血管,神經或脊髓)。當出現周身不適,發熱等用局部體徵難以解釋的全身症狀時,即應抽取滑膜液進行培養。
輔助檢查
X線檢查,早期見軟組織腫脹,骨端緻密,晚期關節顯示不同程度的破壞,間隙狹窄,骨端緻密,病理骨折,關節內游離體,骨質吸收,退變骨贅和新骨形成,以及關節脫位與畸形。
治療措施
①病變關節,上肢避免用力工作,下肢儘量減輕負重。②破壞較重關節(如膝、肘和脊柱部位)可用支架保護。③足部病重且潰瘍不愈者可作截肢術。青壯年病人膝、踝關節破壞嚴重者可作關節融合術,不過鄰近關節可再發生此病。減少活動和支架保護是多用的有效方法。
病前預防
對於高危病人(如患有重度運動性共濟失調時),預防關節病的發生是有可能的。對於無痛性骨折的病人,早期診斷並固定無痛性骨折(用夾板,特製的長筒靴或雙腳規)可阻止發生神經病性關節病。對結構顯著破壞的關節,採用關節內固定術,加壓技術和適宜的骨移植手術治療可能成功。當疾病處於非進展期時,行全髖和膝關節置換術能獲得良好效果。然而人工關節鬆脫和脫位的情況仍是主要的危險。對於原發性神經疾患進行有效治療,將會減慢關節病變的進展速度。如果關節毀壞狀況仍處於早期階段,則關節病變可以逆轉。
