概述
陳杭,男孩,生於農曆2005年12月3日:重慶兒科醫院兩次檢查才查出患了布加氏綜合徵布加氏綜合徵(inferiorvenacavasyndrome簡稱IVCS)是由於下腔靜脈受鄰近病變侵犯、壓迫或腔內血栓形成等原因引起的下腔靜脈部分或完全性阻塞,下腔靜脈血液回流因之障礙而出現的一系列臨床徵候群。
布加氏綜合徵是20世紀初期由法國醫生布爾·加尼首先發現並由此得名,這是一種血管源性疾病。布加氏征是一種罕見疑難病,因其無明顯特異性症狀,常易被誤診誤治,因其臨床症狀及其轉歸酷似肝炎後肝硬化,故有人稱該病是肝炎的“姐妹”病。該病的誤診誤治率相當高,據統計,該病誤診率高達83.6%。有的竟將其當作肝炎肝硬化治療幾十年。還有的將其診斷為腎炎、心包炎、腹膜炎,少數人還被誤診為大隱靜脈曲張、精索靜脈曲張而做了手術,給患者帶來了不必要的痛苦。
儘管布加氏綜合徵與肝炎症狀十分相似,但前者症狀較重,而肝功能損害卻往往較輕。另外,兩者的發病機制與治療方法截然不同,所以還是可以鑑別的。例如肝炎是由病毒感染侵及肝臟,造成肝細胞損害,需要依靠藥物治療;而布加氏綜合徵則是肝臟和下腔靜脈回流受阻、肝內瘀血腫脹,造成肝細胞損害,需要依靠介入或手術解除靜脈血回流受阻才能得到有效的治療。
布加氏綜合徵具有中青年發病多,男性發病多,肝臟和下腔靜脈同時阻塞的特點。患病後,由於肝臟和下腔靜脈壓力均升高,可比正常高出2倍。故診斷要點為:“一黑”——下肢皮膚色素沉著,“二大”——肝、脾瘀血性腫大,“三曲張”——胸腹壁靜脈、精索靜脈、大隱靜脈曲張,“二多”——中青年發病多、男性發病多。肝臟超聲檢查是無創傷且能最早、最快發現本病的方法,故稱為“前哨檢查”。下腔靜脈造影既能明確診斷,又能分清類型,且能為設計治療方案提供良好依據,故稱其為“黃金檢查標準”。
主要分型
布-加氏綜合徵的臨床分型很不統一,各種分型方法多達二十餘種。目前比較統一的分型方法為:
A、局限性下腔靜脈阻塞
B、下腔靜脈長段狹窄或阻塞
C、肝靜脈阻塞
病因
孩子患有布加氏綜合徵關於布-加氏綜合徵的病因,早期報導多與口服避孕藥有關。目前發現東南亞和南非病例多由肝靜脈以上的下腔靜脈隔膜(先天性)引起。歐美病例多由肝靜脈血栓形成引起,其與多種因素引起的高凝狀態有關。
布-加氏綜合徵的關鍵所在是阻塞引起的肝靜脈高壓,繼而使門脈回流受阻,造成淤血性肝腫大和門脈高壓,由此引發一系列臨床表現。如食道靜脈曲張破裂出血,肝昏迷,肝功能損害及肝功能衰竭。晚期由於消化不良、頑固腹水和低蛋白導致惡液質,合併心肺功能障礙。下腔靜脈阻塞並非是本症產生的必要條件,僅在其阻塞發生在肝靜脈近心端以上或直接累及肝靜脈開口造成肝靜脈高壓,才成為本症的組成部分。
肝靜脈阻塞或下腔靜脈阻塞多由於①血液高凝狀態(口服避孕藥、紅血細胞增多症引起)所致的肝靜脈血栓形成;②靜脈受腫瘤的外來壓迫;③癌腫侵犯肝靜脈(如肝癌)或下腔靜脈(如腎癌、腎上腺癌);④下腔靜脈先天性發育異常(隔膜形成,狹窄、閉鎖)。中國與英、美等西方國家以血栓形成病例居多,而在日本則1/3病例是由於肝段下腔靜脈隔膜的畸形。
肝段下腔靜脈的隔膜一般極薄,1~2mm厚,位於離下腔靜脈在右心房的開口處3~4cm。41%在肝靜脈開口之上,40%隔膜從左下斜行至右上,在左、中肝靜脈與右肝靜脈開口之間,將靜脈隔開,19%在肝靜脈開口之下。在下腔靜脈隔膜、狹窄或閉鎖畸形,肝靜脈可無開口,開口為血栓所堵,或開口通暢。即使肝靜脈開口通暢,肝靜脈血液回流可因近端的下腔靜脈阻塞而受障礙。
臨床表現
布加氏綜合徵,肝靜脈及門靜脈血栓形成單純肝靜脈血栓形成急性期病人有發熱、右上腹痛、迅速出現大量腹水、黃疸、肝腫大,肝區有觸痛,少尿。數日或數周內可以因循環衰竭(休克)、肝功能衰竭或消化道出血死亡。單純肝靜脈血栓形成非急性期的表現是門靜脈高壓,肝脾腫大,頑固性腹水,食管靜脈曲張破裂出血。單純下腔靜脈阻塞,則有胸腹壁及背部淺表靜脈曲張(靜脈血流由下而上)及下肢靜脈曲張、浮腫、色素沉著和潰瘍。因肝靜脈和下腔靜脈阻塞,心臟回血減少,病人可有氣促。依血管受累多少、受累程度和阻塞病變的性質和狀態等而殊不相同。可分為急性型、亞急性型和慢性型。
急性型:多為肝靜脈完全阻塞而引起,阻塞病變多為血栓形成。多始於肝靜脈出口部,血栓可急劇繁衍到下腔靜脈。起病急驟,突發上腹部脹痛,伴噁心、嘔吐、腹脹、腹瀉,酷似暴髮型肝炎,肝臟進行性腫大,壓痛,多伴有黃疸、脾大,腹水迅速增長,同時可有胸腔積液。暴發性者可迅速出現肝性腦病,黃疸進行性加重,出現少尿或無尿,可並發瀰漫性血管內凝血(DIC)、多器官功能衰竭(MOSF)、自發性細菌性腹膜炎、(SBF)等,多數在數日或數周內可以因循環衰竭(休克)、肝功能衰竭或消化道出血而迅速死亡。腹水、肝腫大和迅速出現的MOSF,是本病的突出表現。
亞急性型:多為肝靜脈和下腔靜脈同時或相繼受累,頑固性腹水、肝臟腫大和下肢水腫多同時存在,繼而出現腹壁、腰背部及胸部淺表靜脈曲張,其血流方向向上,為BuddChiari綜合徵區別於其他疾病的重要特徵。黃疸和肝脾腫大僅見於1/3的病人,且多為輕或中度。不少病例腹水形成急劇而持久,腹壓升高,膈肌上抬,嚴重者可出現腹腔間隔室綜合徵(abdominalcompartmentsyndrome,ACS),引起全身性生理紊亂。如腹壓升至25cmH2O和50cmH2O時,則分別出現少尿和無尿。胸腔容積及肺順應性下降,心排出量減少,肺血管阻力增加,出現低氧血症和酸中毒。
慢性型:病程可長達數年以上,多見於隔膜型阻塞的病人,病情多較輕,但多有引人注目的體徵,如胸腹壁粗大的蜿蜒的怒張靜脈,色素沉著見於足靴區,有的出現慢性潰瘍。雖可有不同程度的腹水,但多數趨於相對穩定。尚可有頸靜脈怒張,精索靜脈曲張,巨大的腹股溝疝、臍疝、痔核等。食管靜脈曲張常不能引起患者注意,多在突發嘔血、黑便或發現脾臟腫大而就醫時,經內鏡或X線造影才被證實。此型病人肝腫大多不如亞急性者明顯,且多為半肝大,但硬化程度有所增加,脾大多為中等程度,很少出現象肝內型門脈高壓症時的巨脾。
晚期病人,由於營養不良、蛋白丟失、腹水增多、消瘦,可出現典型的“蜘蛛人”體態。
影像學表現
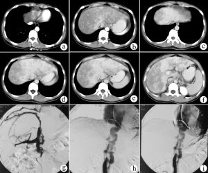
布-加氏綜合徵的影像學診斷是最重要的診斷方法。非創傷的檢查方法主要為超聲,CT和MRA。其中超聲,特別是都卜勒超聲是經濟而有效的診斷方法,主要顯示肝,脾腫大,肝靜脈和下腔靜脈的阻塞的程度、範圍和血流方向等。CT平掃時可顯示肝脾腫大等。值得注意的是淤血肝臟的密度不均勻,出現不規則低密度灶,有時可誤診為肝癌,肝脂肪變等。肝尾狀葉肥大對本症有提示作用。良好的增強掃描和血管重建可較清楚顯示肝靜脈和下腔靜脈狹窄和閉塞的情況。下腔靜脈和(或)肝靜脈造影為本病診斷的金標準。
疾病檢查
彩色都卜勒顯示門靜脈內血流充盈缺損,周邊見少許血流信號1、實驗室檢查 血液學檢查,急性期病例可有血細胞比容和血紅蛋白增高等多血征表現,血常規檢查可有白細胞增高,但不具特徵性。慢性型的晚期病例,若有上消化道出血或脾大、脾功能亢進者,可有貧血或血小板、白細胞減少。肝功檢查,急性型者可有血清膽紅素增加,ALT、AST、ALP升高,凝血酶原時間延長和血清白蛋白減少,慢性型病例,肝功能檢查多無明顯變化。腹水檢查,若不伴有自發性細菌性腹膜炎,蛋白濃度常低於30g/L,細胞數亦不顯示增加。免疫學檢查,血清IgA、lgM、IgG、IgE和C3等無明顯特徵性變化。
2、B超腹部B超可對多數病例做出初步正確診斷,其符合率可達95%以上。可在膈面頂部、第二肝門處探測肝靜脈及下腔靜脈阻塞的部位和長度以確定是否隔膜型。急性BuddChiari綜合徵時肝臟腫大和腹水多是突出的表現。都卜勒超聲對具有很高的診斷價值。因此,腹部超聲探查是BuddChiari綜合徵應首選的、有價值的、非創傷性檢查。
3、肝靜脈、下腔靜脈、門靜脈及動脈造影血管造影是確立B-CS診斷的最有價值的方法,常用的造影有以下幾種:(1)下腔靜脈造影及測壓;(2)經皮肝穿肝靜脈造影(PTHV);(3)經皮脾穿刺門靜脈造影(PTSP);(4)動脈造影。下腔靜脈造影及測壓從股靜脈上行插管,經下腔靜脈進入肝靜脈開口,注射造影劑看肝靜脈是否阻塞。若為肝段下腔靜脈阻塞,除從股靜脈插管外,同時從前臂或頸靜脈下行插管,經右心房至下腔靜脈,上下同時注射造影劑造影,可顯示阻塞的部位、長度和形態,肝靜脈通暢情況和側枝循環情況,有助於手術適應證的決定和手術方法的選擇。下腔靜脈插管造影時可測下腔靜脈壓力。正常下腔靜脈壓力為0.78~1.18kPa(80~120mmH2O),肝段下腔靜脈阻塞時上肢靜脈壓正常,下腔靜脈壓力在2.94kPa(300mmH2O)以上。單純肝靜脈阻塞時,尾葉代償性肥大可壓迫下腔靜脈,下腔靜脈造影時可見該段下腔靜脈變狹。
4、CT掃描在BuddChiari綜合徵急性期,CT平掃可見肝臟呈瀰漫性低密度腫大且伴有大量腹水。CT掃描的特異性表現是下腔靜脈肝後段及主肝靜脈內出現高度衰退的充盈缺損(60~70Hu)。增強掃描對BuddChiari綜合徵的診斷具有重要意義。注射造影劑後30s,可見肝門附近出現斑點狀增強(中心性斑點區),肝臟周圍區域增強不明顯,並且出現門靜脈廣泛顯影,提示門靜脈血液離肝而去。注射造影劑後60s,肝內出現低密度帶狀影繞以邊緣增強,或稱之為肝靜脈和下腔靜脈充盈缺損,此種徵象高度提示管腔內血栓形成,邊緣增強是由於血管壁滋養血管顯影所致。
5、磁共振(MRI)顯像BuddChiari綜合徵時MRI可顯示肝實質的低強度信號,提示肝臟淤血,組織內自由水增加,MRI可清晰顯示肝靜脈和下腔靜脈的開放狀態,甚至可將血管內的新鮮血栓與機化血栓或瘤栓區分開來;MRI還可顯示肝內側支循環呈現的蛛網樣變化,同時對肝外側支循環亦可顯示,因此可將MRI作為BuddChiari綜合徵的非創傷性檢查方法之一。
6、肝臟核素掃描肝臟尾葉的靜脈血由肝短靜脈直接回流至下腔靜脈。單純肝靜脈阻塞時肝短靜脈通暢,同位素掃描檢查可見肝區放射性稀疏,而尾葉放射性密集。核素掃描對BuddChiari綜合徵的診斷不具特異性,僅部分病例於尾狀葉放射性吸收相對增加,在鑑別海綿狀肝血管瘤時有重要參考價值。
7、內鏡檢查胃鏡對BuddChiari綜合徵的診斷幫助不大。但在慢性病例,特別是對曾有消化道出血者,可進一步了解出血原因、部位;對可疑的或鑑別困難的病例,直視下取活檢,更可明確診斷。腹腔鏡下活檢有更安全、可靠的優點。
8、肝穿刺活組織檢查單純肝靜脈血栓形成急性期,肝小葉中央靜脈、肝竇和淋巴管擴張,肝竇鬱血,肝瀰漫性出血。血細胞從肝竇漏入竇周間隙,與肝板的細胞混在一起。中央靜脈周圍有肝細胞壞死。隔一段時間,肝板細胞被紅血細胞替代。晚期肝小葉中央區壞死的肝細胞被纖維組織替代,形成肝硬化,其餘部位肝細胞再生,肝靜脈和肝竇均擴張。
輔助檢查
1、肝功能:早期肝功能無明顯異常,隨著病變的發展,血漿白蛋白降低,球蛋白增高,白、球比例倒置,轉氨酶及膽紅素增高,凝血酶原時間延長。
2、食道吞鋇X線檢查:晚期食道可有蟲蝕樣改變。
3、B型超聲:是簡單、可靠且方便的無創性篩選手段。診斷準確率達90%以上。可見肝靜脈近心端下腔靜脈狹窄、閉塞。肝靜脈血流減慢。肝臟增大,晚期有肝硬化表現。B型超聲也可在健康檢查時,發現早期布加氏綜合徵。
4、下腔靜脈造影:是診斷本病的最好方法。可清楚地顯示病變的部位、梗阻的程度、類型及範圍。對治療具有指導意義。
5、經皮肝穿刺行肝靜脈造影:可顯示肝靜脈有無阻塞,除具有上述方法同樣的意義外,在適當病例,可做作擴張和支架治療,還可幫助預測手術效果及預後。
6、CT及MRI:對明確病變也有幫助,但不如上述方法準確。
診斷
1、急性肝炎急性型BCS須與急性肝炎區別:
(1)急性BCS腹痛劇烈,肝臟腫大和壓痛均非常明顯,而且頸靜脈充盈,肝頸回流徵陰性。
(2)腹水的出現和增長速度以及下肢水腫與肝功能變化不成比例。
(3)患者沒有病毒性肝炎或肝毒性藥物或毒物接觸史,病毒性肝炎的病原學檢查大多陰性。
(4)肝活檢不是氣球樣變嗜酸性變和點狀壞死,而是小葉中央帶的出血性壞死伴肝竇明顯擴張,各級肝靜脈血栓形成。
(5)血管造影可將二者明確區別開來。
2、急性重型肝炎(暴發性肝炎)以下幾點有助於急性重型肝炎和暴髮型BCS的區別:
(1)暴髮型BCS可以肝臟不縮小或縮小不明顯,並伴有脾臟的迅速增大和頸靜脈明顯充盈。
(2)BCS時ALT、AST和血清膽紅素均明顯升高,沒有酶疸分離現象。
(3)BCS時病毒性肝炎有關的病原學檢查大多陰性。
(4)BCS時肝活檢見肝內呈片狀出血性壞死,累及肝腺泡各帶,各級肝靜脈可見附壁血栓。
(5)及時血管造影可明確診斷。
3、肝硬化亞急性或慢性BCS常常伴有肝硬化,肝硬化病人也可伴有BCS。因此,確定病人是否有BCS存在對治療方法的選擇至關重要。鑑別方法有:
(1)BCS大多沒有急性肝炎病史,即使病程中曾有黃疸也大多伴有腹水。
(2)體格檢查是鑑別肝硬化和BCS的重要方法。肝硬化時,腹壁靜脈以臍部為中心呈離心性排列,引流方向也呈離心性。BCS時,在下胸部、兩肋和腰背部出現靜脈曲張,MOVC時血流方向由下向上,單純肝靜脈阻塞時血流方向由上向下,下肢水腫伴有潰瘍形成,色素沉著或靜脈曲張者支持MOVC。
(3)肝靜脈和(或)下腔靜脈造影和肝活檢可以明確診斷。
亞急性和慢性BCS非常近似心源性肝硬化,肝活檢無助於二者的鑑別,但後者有長期右心衰或縮窄性心包炎的病史和證據,只要仔細檢查心臟和側支循環體徵,鑑別診斷多無困難。
治療
布加氏綜合徵:腸系膜上靜脈右心房人工血管分流術一、內科治療內科治療包括低鹽飲食、利尿、營養支持、自體腹水回輸等。對於起病1周內單純血栓形成的急性期患者,可以用抗凝劑治療,但大多數病例於血栓形成後幾周或幾個月才獲確診。對於大多數病例,保守治療雖可以贏得側支循環形成的時間,但患者最後仍需手術治療。巴德-吉亞利綜合徵患者,特別是晚期患者,常有頑固性腹水、嚴重營養不良。作為手術前的支持療法,內科治療可以改善患者全身情況,減少手術死亡率,有利於患者術後康復。
二、外科治療
1、隔膜撕裂術:①帶囊導管擴張術:方法是用帶囊導管經股靜脈插入,在透視下使導管的囊段位於狹窄部位,在囊內注入適量造影劑使囊部膨脹撕裂隔膜。本方法適用於隔膜阻塞型且阻塞遠端無血栓形成者。本手術可能產生的併發症有心臟壓塞、肺栓塞及導管斷裂等。②經右心房隔膜撕裂術:方法是經右前第4肋外胸切口或經胸骨切口進入胸腔,於右膈神經前縱行切開心包。
2、下腔靜脈-右心房分流術:
①肝臟前徑路:經腹正中切口或右側腹直肌切口進腹,可採用以下方法暴露下腔靜脈:A.作Kocher切口游離及向左翻起十二指腸顯露下腔靜脈;B.向上翻起橫結腸及其系膜,將小腸推向左側,在十二指腸水平部下方、腸系膜上靜脈的右側打開後腹膜,向腹主動脈方向解剖。下腔靜脈至少應顯露4cm。經胸切口可採用胸骨切口或右前外胸切口,用直徑14或16mm的人造血管一端與下腔靜脈行端側吻合,另一端與右心耳吻合。人造血管通常從橫結腸後、胃和肝臟前面再進入胸腔。
②肝臟後徑路:患者左側臥位,自右側第7肋進胸。打開心包顯露下腔靜脈的胸腔段。切開膈肌,沿下腔靜脈向下解剖直至其擴張的或相對正常的部分,人造血管一端與下腔靜脈狹窄遠端擴張的部分吻合,另一端與膈上下腔靜脈或右心耳吻合。與肝臟前徑路相比,肝臟後徑路所需人造血管短,血栓形成的機會少,但手術難度大,易出血,術後乳糜胸腔積液發生率相對較高。下腔靜脈-右心耳分流術恢復了下腔靜脈的血液回流,適用於下腔靜脈阻塞病變較長而肝靜脈相對通暢的病例。
(3)腸系膜上靜脈-右心房分流術:以上腹部正中切口進腹,在橫結腸系膜根部、屈氏韌帶的右側尋找腸系膜上靜脈。進胸切口可採用胸骨切口或右前外胸切口。用直徑14或16mm的人造血管一端與腸系膜上靜脈行端側吻合,另一端與右心耳吻合。
(4)根治性手術:對於腔靜脈阻塞位置較高的隔膜型病例,可自右側第7肋進胸,解剖出胸段及部分腹段下腔靜脈後控制病變的兩端,縱行切開下腔靜脈,切除病灶。如阻塞病變廣泛或遠端有大量血栓形成,可在體外循環下,縱向切開肝段下腔靜脈,切除隔膜、血栓等病變,探查肝靜脈並恢復其通暢,下腔靜脈用Gore-Tex或Dacron補片修復。根治手術雖然直接去除了原發病灶,但在同時伴有下腔靜脈炎症的病例中仍有復發的可能。
治療說明
布加氏綜合徵單純肝靜脈血栓形成急性期(起病1周內)可用抗凝劑治療。但大多數病例於血栓形成後幾周或幾個月才獲確診。慢性期可以手術解除下腔靜脈和肝靜脈的阻塞。解除肝靜脈回流障礙比解除下腔靜脈回流障礙更為重要,因肝靜脈回流障礙引起的門靜脈高壓可導致肝功能的進行性損害、頑固性腹水和食管靜脈曲張出血,對病者的生命威脅更大。外科治療視病變是單純肝靜脈阻塞抑肝段下腔靜脈阻塞而異。
1、單純肝靜脈阻塞,下腔靜脈通暢可作門體分流術或脾肺固定術。在肝靜脈阻塞病例門靜脈已成為肝血流的流出道,所以不能用門腔端側分流術,只能用門腔側側分流術。假若由於肝尾葉代償性肥大,門腔分流比較困難,則可作腸腔分流術。脾肺固定術是經胸將左側膈肌切除10cm大一塊,再將脾臟上極(包膜切除後)與左下肺膈面分別縫於膈肌的上、下面,兩者在膈肌缺損處相互緊貼,形成側支,使高壓的門靜脈血經脾、肺流入低壓的體靜脈。脾肺固定術前必須用腹腔靜脈分流術控制腹水。
2、單純肝段下腔靜脈阻塞,肝靜脈回流無障礙假若是隔膜引起阻塞可作下腔靜脈隔膜捅開術。方法:經胸切開右心房,以食指插入右心房,進入下腔靜脈,觸到隔膜即予捅開,一如二尖瓣交界分離術。假若隔膜較厚,估計無法捅開時可經胸腹顯露肝段下腔靜脈後部,阻斷下腔靜脈血流後在膈膜處切開下腔靜脈,直視下切除隔膜。下腔靜脈的切口用心包膜片移植縫補,防止狹窄。假若阻塞並非隔膜引起而較長時則可作脾肺固定術或下腔靜脈右心房架橋手術。後者用人造血管在下腔靜脈與右心房之間架橋。人造血管可經肝前或肝後進入胸腔假若下腔靜脈狹窄段較短,可以切開狹窄段下腔靜脈後用靜脈補片縫補於下腔靜脈切口,擴大管腔。
3、肝段下腔靜脈阻塞伴肝靜脈回流障礙假若三支肝靜脈血液回流都受障礙須作右心房下腔靜脈腸系膜上靜脈T字分流術。這是先將一根長的人造血管作右心房下腔靜脈或髂總靜脈架橋分流術,再用另一根短的人造血管在腸系膜上靜脈與這根長的人造血管中段間作T字吻合。這個手術比較複雜,術後人造血管容易有血栓形成引起阻塞。因為下腔靜脈阻塞不引起病者死亡,所以有時對此類病人用脾肺固定術或腸系膜上靜脈右心房架橋分流術,只解決門靜脈高壓;不處理下腔靜脈阻塞。左、中、右肝靜脈中只要有一支開口通暢,就可考慮用下腔靜脈右心房架橋分流術降低下腔靜脈壓力。在肝內,開口通暢與開口閉塞的肝靜脈間往往有粗大的交通支,開口閉塞的肝靜脈內的血液可以通過這交通支,經開口通暢的肝靜脈、下腔靜脈回流至右心房。如果不能作去除梗阻或降低門靜脈或下腔靜脈壓力的手術,則可做腹腔靜脈分流術解決腹水以減輕症狀。
術後併發症
1、心功能不全:為本症術後常見的併發症。主要是由於術前血液淤帶在身體的下半部,回心血量明顯減少,心臟縮小,心輸出量減少,甚至輕微活動即可引起心慌、氣短等心功能不良症狀。肝靜脈和/或下腔靜脈梗阻解除後,回心血量突然增加,加得了原本功能不良的心臟負擔,發生心力衰竭。為防止心力衰竭,在下腔靜脈梗阻解除後,立即給予強心、利尿處理,包括西地蘭0.4mg,速尿40~100mg,靜脈注射,將有助於減少心力衰竭的發生。
2、腹水或乳糜腹:手術前因下腔靜脈回流受阻,有肝靜脈血無出路的情況下,血漿則流入肝淋巴間隙,導致超負荷的肝淋巴液通過肝纖維囊漏出進入腹腔,成為頑固的、難以消退的腹水,少數病人因高壓擴張的淋巴管破裂而形成乳糜腹。術中更易損傷擴張的淋巴管而致乳糜腹。若無乳糜池損傷,原有的腹水或乳糜腹術後可逐漸自行消退。若有乳糜池損傷,可通過靜脈營養,經非手術治療後可逐漸閉合。
3、血胸:與開胸手術有直接關係,多為術中止血不徹底、吻合口瘺、胸腔閉式引流置放不當或術後抗凝治療所致。少量血胸可嚴密觀察,若出血量較大,應及時開胸止血,行胸腔閉式引流。若因抗凝治療所致,應注意各有關的監測指標,及時調整抗凝藥物及劑量。
4、肝性腦病:為門靜脈-右心房或腸系膜上靜脈-右心房轉流術後,未經肝臟處理的門靜脈血直接入心後所致,本併發症的發生率與吻合口的大小有直接關係,詳見本章第七節。叭布加氏綜合徵症例的肝功能常較肝硬變病例為好,致腸-房轉流後發生肝性腦病的比例並不高(<15%),且在注意飲食後,多可防止發作。
5、其他:包括縱隔積水、肺膿腫、乳糜胸等,均較少見,發生後經對症處理後,多能治癒。
超聲診斷及誤診分析
布加氏綜合徵一、資料與方法
1一般資料本組36例患者均系我院1997年以來的門診和住院患者,男21例,女15例,年齡27~85歲,臨床表現有肝腫大、脾腫大、腹水、腹壁靜脈曲張、下肢水腫等症狀體徵。以肝硬化,布-加氏綜合徵待排除申請彩色都卜勒超聲檢查。其中29例經X線造影證實並行介入或手術治療;5例確診後保守治療;2例經臨床綜合治療排除布―加氏綜合徵。
2檢查方法儀器:美國AIL公司生產的HDI-3000型彩色都卜勒超聲診斷儀,凸陣探頭,頻率2~4MHz。患者空腹8~12h,仰臥位、左側臥位、必要時坐位,常規檢查肝臟大小、形態、內部回聲;測量肝靜脈、下腔靜脈內徑;觀察肝靜脈、下腔靜脈是否通暢,有無狹窄,周圍有無腫塊擠壓,腔內有無異常回聲,有無波動。彩色都卜勒及脈衝都卜勒觀察肝靜脈下腔靜脈血流色彩、頻譜形態、血流速度。聲束與血流夾角60°,腹水多者如影響觀察要抽水後複查。
二、結果
本組超聲診斷布-加氏綜合徵36例,經X線造影、CT、手術證實34例,誤診2例,符合率94.4。34例布-加氏綜合徵中膜型13例,狹窄閉塞型16例,梗阻型5例。梗阻型中肝靜脈血栓2例,下腔靜脈瘤栓2例,腹膜後腫瘤壓迫1例。誤診2例中酒精性肝硬化l例,腎病綜合徵1例。
三討論分析
1、布-加氏綜合徵的超聲特點從本組資料觀察布-加氏綜合徵有以下特點:肝靜脈近段狹窄或閉塞,內有膜性或實質性阻塞物,狹窄處血流變細,閉塞時血流消失,遠段血流淤滯擴張,擴張的肝靜脈血流方向異常或速度減慢。肝靜脈間交通支形成、擴張,副肝靜脈開放擴張。都卜勒可見肝靜脈狹窄處呈花彩血流,流速增加,頻譜異常,三相波消失呈平直形。下腔靜脈近心段狹窄或閉塞。表現局部管腔變細、消失,管腔內有膜性、實質性梗阻物或腔外有腫瘤壓迫。下腔靜脈狹窄處近側呈花彩血流,速度增快,本組最高流速達260cm/s,或管腔內無血流信號。狹窄遠側管腔擴張,周圍側支循環豐富,血流方向異常流入側支。下腔靜脈波動消失,頻譜平直。
2、誤診分析本組超聲誤診2例。1例平臥位檢查下腔靜脈近段內徑0.4cm,流速增快250cm/s,坐位時內徑0.55cm,流速100cm/s,肝腫大,肝靜脈擴張,唆水。經保肝利尿治療後,肝臟縮小,腹水消失。複查下腔靜脈內徑0.9~1.0cm,流速100cm/s。最後診斷:酒精性肝硬化。另1例下腔靜脈近心段內徑1.0cm,臥位呈花彩血流,坐位呈單色血流,流速145cm/s,肝明顯腫大,肝靜脈擴張。經治療後肝縮小,腹水及下肢浮腫消失,最後診斷:腎病綜合徵。分析此2例是肝腫大重力後壓引起下腔靜脈狹窄。改變體位,減輕肝對下腔靜脈的壓迫,可使下腔靜脈增寬,流速降低。這種變化可以作為鑑別診斷要點。目前國內有採取俯臥位或近俯臥位經肋間觀察下腔靜脈,但患者往往難以接受。我們認為坐位是一種較好的鑑別診斷方法。另一方面,此2例僅有肝靜脈擴張,未見交通支和副肝靜脈擴張,說明肝靜脈通暢或間歇性通暢,李傑等曾報告布―加氏綜合徵中副肝靜脈的意義,從本組誤診情況來看,觀察肝靜脈交通支特別是副肝靜脈有無擴張對布-加氏綜合徵的鑑別診斷有重要價值.
3、超聲明確肝靜脈梗阻部位、程度、類型在介入手術中的意義確定肝靜脈病變部位、類型、通暢情況是布―加氏綜合徵診療中的重點和難點,也是介入手術中選擇治療方案的重要依據。本組接受手術的29例中,有27例超聲明確檢出肝靜脈病變的部位、程度、類型。介入手術根據超聲提示,採取適當手術方式,順利完成。另外2例超聲僅提示肝靜脈擴張,未明確梗阻部位及類型,術中操作難度較大,行下腔靜脈和經皮肝靜脈穿刺造影,建立肝靜脈下腔靜脈―頸內靜脈通道才完成手術。可見超聲明確肝靜脈病變的詳細情況對介入手術方式的選擇,術後效果的預測,減少術中創傷,確保手術順利進行有十分重要的意義。但超聲對肝靜脈近段病變的探查受多種因素影響如:大量腹水、胃腸氣體多、肝縮小上移等,往往使局部顯示不清。超聲醫生應熟練掌握肝靜脈阻塞的病理生理及超聲特點,採取多種體位探查,必要時抽腹水、胃腸道準備後複查,力爭對肝靜脈阻塞的部位、分型、程度作出正確判斷。
研究進展
布加氏綜合徵布加氏綜合徵(BCS)是一種因肝靜脈或下腔靜脈阻塞引起肝臟淤血,出現肝大、腹水、肝硬化、消化道出血的嚴重疾病,與上腔靜脈綜合徵及深靜脈血栓形成等同屬靜脈狹窄-梗阻性病變,發病率呈逐年上升之勢,而且多年以來,在其臨床治療上一直缺少安全有效的治療方法。
近年來,隨著介入放射學的發展,介入治療逐漸成為布加氏綜合徵臨床治療的首選方法。但因技術能力和器材條件及經濟狀況所限,國內仍然有許多病人不能及時得到經濟和安全有效的治療。特別是在各類布加氏綜合徵的介入治療方面,由於尚未形成適用於當今介入性微創治療的科學合理的臨床分型和對病變演化規律的正確認識,同時缺乏相應介入診療操作的統一規範和技術標準,因此BCS介入治療的適應證範圍和治療技術能力依然比較局限,許多病人尚屬“不治之症”之列;而介入治療引發的嚴重併發症發生率也一直較高(8%)。
此外,由於中國國情所限,特別是那些來自於貧困農村的病人(約占90%以上),由於無法承受進口器材昂貴的價格,而不得不放棄治療。中國醫科大學附屬第一醫院放射科徐克教授領銜的國家科技攻關課題“靜脈狹窄-梗阻性病變綜合性介入治療的套用研究”就是希望探索出一條因地制宜解除布加氏綜合徵患者病痛的道路,使先進的診療手段能惠及更多的人,真正降服這一頑疾。
布加氏綜合徵是一種全球性疾病,在作為高發病區的中國則主要集中在黃河中下游及東北地區。儘管介入治療已逐步奠定了其在布加氏綜合徵臨床治療中首選方法的地位,但在疾病分型、技術操作方面,尚未形成一套科學合理、安全有效、全國統一的操作規範和技術標準,因此,出現了“技術操作五花八門、發展水平參差不齊、嚴重併發症經常發生”的局面。為此,課題組經過多年研究,提出了一個基本上能全面反映亞洲地區布加氏綜合徵病變特點,又有利於介入治療方法選擇和預後評價的新的分型方案及相應的介入治療規範化操作方案。
在這一基礎上,他們在國際上首創並採用“對端標識,雙向定位,造影示蹤”法下腔靜脈開通術、經頸靜脈和/或經皮經肝肝靜脈開通術、改良式TIPS及ZQ型腔靜脈內支架置入術等獨創性介入治療新技術,共治療各種類型布加氏綜合徵345例,其技術成功率為98%、嚴重併發症(心包填塞、胸腹腔大出血等)發生率為3%、隨訪時間1~60月時再狹窄發生率10%,較以往技術成功率94.4%、併發症發生率8%~11%、隨訪時間1~82月時再狹窄發生率20.8%的研究結果有了明顯改進。這一結果表明,在統一制訂的科學合理的介入治療方案和創新技術的指導下,布加氏綜合徵介入治療的技術成功率能夠明顯提高,併發症及再狹窄發生率可以大大下降,從而達到全面提高臨床療效的目的。
而根據所提出的分型方案及其介入治療的研究結果,一些針對國人布加氏綜合徵的規範化治療方案和原則也應運而生。比如,針對單純肝靜脈阻塞型的布加氏綜合徵(Ⅰ型),就無需處理下腔靜脈,只需對狹窄或閉塞的靜脈進行介入治療即可。其中對局限性肝靜脈阻塞(Ⅰa型)可採用經頸靜脈或經皮經肝肝靜脈開通術、PTA和血管內支架治療;而對於瀰漫性肝靜脈病變(Ⅰb型)僅可採用經頸靜脈肝內門腔靜脈分流術(TIPS)或部分性脾栓塞與介入性“斷流術”治療。而對於複雜型的布加氏綜合徵(Ⅱb、Ⅲb、Ⅳb型),除應有效處理下腔靜脈病變外,還應同時用相應的方法處理肝靜脈病變,以保證肝靜脈回流的暢通。另外,各型布加氏綜合徵的患者,術後均應進行嚴格的抗凝治療。
研究表明,布加氏綜合徵發病的根本原因在於肝靜脈回流受阻,因此對肝靜脈閉塞的安全有效開通較下腔靜脈開通更具有實際意義。但由於解剖部位及形態的特殊性,肝靜脈開通的難度更高、風險更大,因而一直是布加氏綜合徵介入治療中亟待攻克的難點。以前常單純採用經皮經肝穿刺開通肝靜脈,但成功率低,且易發生膽道及腹腔內出血等嚴重併發症,許多病例由於肝靜脈開通失敗而放棄治療。而徐克課題組則在總結臨床經驗的基礎上,首創用經頸靜脈和經頸靜脈與經皮經肝相結合的肝靜脈開通術,來治療肝靜脈閉塞型布加氏綜合徵,成功率達到95.5%,嚴重併發症率為0。從而使許多以往認為是不治或難治之症的病人得到了安全有效的治療,不僅獲得了良好的臨床結果,還明顯擴大了介入治療的適應證。
值得一提的是,課題組還通過臨床實踐,研製出具有中國自主智慧財產權並已獲批的ZQ型靜脈內支架,以及國內首枚ZQL型可回收式腔靜脈濾器,目前已廣泛用於各類靜脈狹窄-梗阻性病變的介入治療,從而加快了介入治療器械的國產化進程,使更多的患者能夠從中獲益。
成功案例
一個小孔治療“布加氏綜合徵”獲成功!
杭州市血管外科中心採用腔內介入治療罕見的布加綜合徵獲得成功據介紹,接受治療的是來自蕭山的一位49歲的中年男性,10多年來一直雙下肢腫脹、靜脈曲張、小腿皮膚顏色變黑(色素沉著)伴潰瘍,曾因誤診為下肢靜脈曲張而在在當地及省級大醫院行3次手術,但術後病情逐年加重,腹壁上出現了大量擴張扭曲的靜脈。經醫師推薦到杭州市三醫院血管外科求診,經血管造影診斷,確診為布加氏綜合症(下腔靜脈膜性阻塞),需要治療。
2005年10月19日下午4時半,手術正式開始。手術在局部麻醉下進行,只見醫師在患者的腹股溝處作一個不到1公分的小孔,引進帶有球囊的小導管,通過攝錄像系統,顯示患者下腔靜脈明顯增粗,回流受阻,肝靜脈擴張。醫師將導管球囊放到病變處,為患者打通阻塞的下腔靜脈,血管擴張後血管壓力成功下降。病症迎刃而解。整個手術僅用半小時,手術過程中患者出血僅10毫升左右。術後第二天,患者恢復良好,腹壁上擴張扭曲的靜脈也消失了。
這次手術僅是杭州市血管外科中心今年來為眾多來自全國各地血管病患者採用介入治療成功的病例之一,由於採用血管手術和傳統介入的雜交技術,杭州市三醫院成為省內唯一的在介入手術後無須臥床24小時的醫院。相關連結布加氏綜合症是肝靜脈阻塞或肝上下腔靜脈閉塞引起的一種疑難雜症。浙江省該病罕見。往往被誤診為靜脈曲張,肝硬化,肝炎等疾病。據資料顯示,這種病例100萬人中才有1例。臨床表現在急性期有上腹痛、腹脹,隨即出現肝臟腫大和腹水,腹壁靜脈擴張,伴有不同程度的肝功能損害,可見黃疸,重者可因肝功能損害迅速惡化而致肝昏迷迅速死亡。布加氏綜合症傳統上採用腸系膜靜脈心房轉流或腔靜脈心房人工血管轉流術,其人工血管的五年通暢率僅為50—70%左右,而且需要開胸、腹腔進行手術,風險很大,死亡率高。

