食道重複畸形疾病描述
食管重複畸形(esophageal duplication)是指附著於食管壁的一側具有與消化道某一部分相同的組織形態,呈球形或管狀的空腔結構。常被認為是前腸囊腫,約占嬰兒縱隔內腫塊的30%,通常位於右後縱隔內。部分病例有頸椎或胸椎的畸形,腫物有附著物與硬脊膜相連,稱為脊索分裂綜合徵,此時重複畸形稱為神經管原腸囊腫。由於患兒臨床症狀複雜,病情變化大,易延誤診治而造成不良後果。
症狀體徵
運氣管囊腫1.症狀
(1)呼吸道梗阻:氣管受壓狹窄可出現呼吸急促、喘憋、口周青紫。如肺部有感染,則缺氧更明顯,嚴重者可突發窒息。囊腫巨大時,可致縱隔移位、心臟受壓,心肺功能障礙可同時出現。如診治及時,行囊腫緊急穿刺抽液減壓,病情可立即緩解,以爭得手術時機,否則,很易導致死亡。
(2)咯血、便血:大囊腫常與肺有粘連,酸性囊液腐蝕囊壁破潰入肺,便引起肺組織破壞、血管滲血而表現為咯血。便血的來源有2 個:①小兒不會吐,由氣管咯出的血液經咽部咽下入腸道。②管腔型食管囊腫的內出血可直接由腸道排出。
(3)吞咽困難或嘔吐:隨著囊腫對食管的壓迫加重,可使患兒發生進行性吞咽困難,甚至嘔吐。鋇劑檢查很易確診。
2.體徵 患側胸廓飽滿,肋間隙增寬,主氣管移位,叩診呈濁音,聽診可有呼吸音減低。肺部感染時,可聞及濕囉音。
疾病病因
在胚胎發育過程中,上消化道從實性期進化到空泡階段時,其空泡化過程發生紊亂,未能與正常消化道融合、貫通,而最後在胸部形成單囊或多囊,且與食管密切相連,即成為食管重複畸形。如遺留單一的空泡,則形成圓形囊腫樣重複畸形,若幾個空泡串在一起沿食管縱軸生長,即形成管腔狀重複畸形。
病理生理
食管2.病理分型 根據囊腫形態及病理特點,臨床分以下幾種類型:
(1)單一囊腫型:臨床多見。形態不一,但整體結構為一大囊。
(2)多發囊腫型:縱隔脊柱前緣或兩旁有多個孤立的囊腫,有的亦可發生在前縱隔。
(3)管腔型:位於胸部的食管囊腫下段呈一細管道,穿過膈肌入腹腔與腸道交通。
(4)胸、腹多段重複型:除胸部有食管囊腫外,腹腔腸管亦可間隔發生多段重複畸形。
(5)憩室型:極少見。
診斷檢查
診斷:
縱隔腫物2.輔助檢查 提示後縱隔腫物,壓迫食管和氣管。Watersion 對50 例食管重複畸形研究指出,該類畸形在診斷學上有2 個重要表現,一是食管重複畸形多有胃黏膜組織,而易發生潰瘍,甚至可以穿透管壁進入氣管,引起咯血。其次重複畸形多同時合併有半椎體畸形。
實驗室檢查:取囊液進行檢查,正常囊液淺黃、清亮、稍黏、pH 偏酸。當有陳舊性內出血時,呈暗紫色或褐色。
其他輔助檢查:
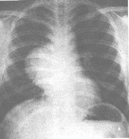
1.X 線檢查
(1)胸部平片:大的食管重複畸形可顯示為後縱隔內緻密度均勻、邊界清楚的軟組織包塊影,使縱隔影增寬或突入胸腔,甚至占據胸腔大部。氣管向對側或前方移位,管腔有時變窄。
(2)食管鋇劑造影:可見弧形壓跡和前移。少數囊腫可充氣擴張或有氣液面。食管重複畸形可有以下幾種形態:
①半圓形或三角形囊腫:其長軸與食管一致,三角形陰影系囊腫伸入右肺上中葉間裂,受上中兩葉肺壓迫所致。半圓形為最常見類型,邊緣銳利,大致可占據半個胸腔,壓迫周圍肺組織。縱隔向對側移位。
②頸部和上縱隔旁囊腫:向肺尖部呈半圓形突出,壓迫氣管向對側移位,側位片顯示咽後壁軟組織影增厚,氣管管腔變窄前移。
③半葫蘆形囊腫:右側囊腫較大時常在上半部與下半部之間有一凹痕,宛如葫蘆形。可能為血管壓迫所致。
④充氣囊腫:此種囊腫極少見,有作者報告1 例為6 天男嬰,右胸腔內呈巨大薄壁充氣囊腫,肺尖及肋膈角可見受壓的肺組織,側位片見充氣囊腫向後下方突出、心影左移。術前診斷為“先天性肺囊腫”,手術及病理證實為胸內重複畸形,內含奶塊和綠色液體,與膈下十二指腸相通(圖1)。
食道重複畸形⑥音叉型食管:重複食管呈管狀與正常食管並行,下段匯合相通。可合併食管裂孔疝,反流性食管炎和食管狹窄。縱隔無包塊影。部分病例X 線片上顯示有椎體畸形(椎管裂、半椎體多見),肺不發育、食管閉鎖、腹內重複畸形等,對診斷意義很大。
2.B 超和CT 檢查 對鑑別腫物性質(囊性或實性)有重要參考價值。
3.纖維食管鏡檢查 可見到凸入食管腔內的腫物,一般不作鏡檢,以免造成組織粘連影響手術治療。
鑑別診斷
本病需與膿胸、胸腔內畸胎瘤、肺內腫瘤、支氣管囊腫,神經源性腫瘤及脊柱前側脊膜膨出相鑑別。
治療方案
脊椎全息圖1.凡手術前有嚴重呼吸困難或吞咽困難者,應先行囊腫穿刺抽液減壓,待一般情況改善後再手術。
2.術中發現囊腫與腹腔相通時,應先探明情況(用橡皮導尿管),如為盲端,爭取一併切除。如與腸管相通(可注入亞甲藍溶液證實),切除有困難者,亦可先切除胸部囊腫,延期切除腹腔重複段。
3.術中要警惕多發囊腫的存在。因囊腫互相擠壓,往往外邊囊腫切除後,原相鄰受壓的另一囊腫壁尚處於癟縮狀態,不易察覺,以致造成術後又有囊腫出現。必要時,可在術中對可疑腫物穿刺造影,術中攝片,以免漏診。
4.術中注意囊液性質,以鑑別內向性脊膜膨出症。
5.預防胸段乳糜管的損傷。術終清理創面後如發現有無色透明滲液時,應仔細尋找乳糜管,予以縫扎,以防止術後發生乳糜胸。
併發症
貧血和呼吸道感染是食道重複畸形的常見併發症。管腔型食管囊腫長時間的慢性失血,是造成貧血的主要原因。而氣管受壓狹窄,分泌物不能及時排出、和酸性囊液對氣管壁的腐蝕,則是引致呼吸道感染的重要因素。
