概況?
肺解剖圖MP是兒童時期肺炎和其它呼吸道感染的重要病原之一。
疾病描述?
症狀體徵?
呼吸系統解剖圖1、潛伏期 約2~3周(8~35天)
2、症狀輕重不一.大多起病不甚急,有發熱、厭食、咳嗽、畏寒、頭痛、咽痛、胸骨下疼痛等症狀。體溫在37~41℃,大多數在39℃左右,可為持續性或弛張性,或僅有低熱,甚至不發熱。
多數咳嗽重,初期乾咳,繼而分泌痰液(偶含小量血絲),有時陣咳稍似百日咳。偶見噁心,嘔吐及短暫的斑丘疹或蕁麻疹。一般無呼吸困難表現,但嬰兒患者可有喘鳴及呼吸困難。體徵依年齡而異,年長兒往往缺乏顯著的胸部體徵。
嬰兒期叩診可得輕度濁音,呼吸音減弱,有濕性羅音,有時可呈梗阻性肺氣腫體徵。
鐮狀細胞性貧血患兒並發此種肺炎時,症狀往往加重,可見呼吸困難、胸痛及胸腔積液。支原體肺炎偶可合併滲出性胸膜炎及肺膿腫,慢性肺部疾患與肺炎支原體間有一定關係,Berkwick(1970)報告27例哮喘兒童中復期有4倍增長。支原體肺炎可伴發多系統、多器官損害,呼吸道外病變可涉及皮膚黏膜,表現為麻疹樣或猩紅熱樣皮疹、StevensJohnson綜合徵等;偶見非特異性肌痛及遊走性關節痛;胃腸道系統可見吐、瀉和肝功損害;血液系統方面較常見溶血性貧血,我們曾見2例以溶血性貧血為首發及主訴症狀;文多發性神經根炎、腦膜腦炎及小腦損傷等;心血管系統病變偶有心肌炎及心包炎。細菌性混合感覺亦少見。白細胞高低不一,大多正常,有時偏高。血沉顯示中等度增快。引

部分患兒有多個系統病變表現如:心肌炎、心包炎、溶血性貧血、血小板減少、腦膜炎、格林巴利綜合徵肝炎、胰腺炎、脾腫大、消化道出血、各型皮疹腎炎、血尿、蛋白尿等。肺外疾病可伴有呼吸道感染症狀,也可直接以肺外表現起病。
治療措施?
小兒支原體肺炎的治療與一般肺炎的治療原則基本相同,採取綜合治療措施。包括一般治療、對症治療、抗生素的套用、腎上腺皮質激素,以及肺外併發症的治療等5個方面。
一般治療呼吸道隔離由於支原體感染可造成小流行,且患兒病後排支原體的時間較長,可達1~2個月之外。嬰兒時期
肺護理 保持室內空氣新鮮,供給易消化、營養豐富的食物及足夠的液體。保持口腔衛生及呼吸道通暢,經常給患兒翻身、拍背、變換體位,促進分泌物排出、必要時可適當吸痰,清除粘稠分泌物。
氧療 對病情嚴重有缺氧表現者,或氣道梗阻現象嚴重者,應及時給氧。其目的在於提高動脈血氧分壓,改善因低氧血症造成的組織缺氧。給氧方法與一般肺炎相同。對症處理??
祛痰 目的在於使痰液變稀薄,易於排出,否則易增加細菌感染機會。但有效的祛痰劑甚少,除加強翻身、拍背、霧化、吸痰外,可選用必嗽平、痰易淨等祛痰劑。由於咳嗽是支原體肺炎最突出的臨床表現,頻繁而劇烈的咳嗽將影響患兒的睡眠和休息,可適當給予鎮靜劑如水合氯醛或苯巴比妥,酌情給予小劑量待因鎮咳,但次數不宜過多。
平喘 對喘憋嚴重者,可選用支氣管擴張劑,如氨茶鹼口服,4~6mg/(kg﹒次),每6h1次﹔亦可用舒喘靈吸入等。
根據MP微生物學特徵凡能阻礙微生物細胞壁合成的抗生素如青黴素等對支原體無效因此治療MP感染應選用能抑制蛋白質合成的抗生素包括大環內脂尖四環素類氯黴素類等此外尚有林可黴素氯林可黴素萬古黴素及磺胺類如SMZxo等可供選用
⑴大環內脂類抗生素 以上各種中常選用大環內脂類抗生素如紅黴素螺鏇黴素麥迪黴素白黴素等其中又以紅黴素為首選該藥使用廣泛療效肯定對消除支原體肺炎的症狀和體徵明顯但消除MP效果不理想不能消除肺炎支原體的寄居常用課桌一為mg/(kg·d)輕者分次口服治療即可重症可考慮靜脈給藥療程一般主張不少於~周停藥過早易於復發常用口服劑有無味紅黴素及紅黴素腸溶片口服紅黴素自腸道吸收空腹服用紅黴素mg高峰血濃度於給藥後~h達到~μg/ml;劑量加倍高峰血濃度為~μg/ml靜脈注射紅黴素乳糖酸鹽mgmin的血濃度平均為μg/mlh後為μg/mlh後為μg/ml如每h連續靜脈滴注紅黴素乳糖酸鹽g則h後的血藥濃度可維持~μg/ml而痰中平均嘗試為(~)μg/ml紅黴素主要經膽汁排泄部分可從腸道內重新吸收相當量的紅黴素在肝內代謝滅活口服給藥量的%和注射給藥的%以活性物質自尿中排出血液透析和腹膜透析皆不能將紅黴素自體內清除在使用紅黴素製劑時應注意其毒副作用各種口服製劑皆可引起噁心嘔吐腹痛腹瀉等胃腸道症狀;靜脈滴注時可發生血栓性靜脈炎;偶有過敏反應發生表現為藥物熱蕁麻疹等值得注意的是紅性黃疸往往在給藥~d產生上腹疼痛噁心嘔吐相繼出現發熱黃疸白細胞及嗜酸性粒細胞增多血清膽紅質和轉氨酶增高停藥後~d可恢復正常但再給藥又可重新出現上述症狀另外大劑量紅黴素的套用偶可引起耳鳴和暫時性聽覺障礙一般發生於靜脈給藥或有腎功能減退和(或)肝臟損害者嬰幼兒口服無味黴素後可出現增生性幽門狹窄口服紅黴素後也有出現假膜性腸炎者套用紅黴素期間尿中兒茶酚胺-羥類固醇和血清轉氨酶有增高現象血清葉酸和尿雌二醇有降低情況若與茶鹼類藥物同用時有增加茶鹼和血液中濃度的作用所以在合用茶鹼類藥物時應減量使用或避免合用
鑒於紅黴素對胃腸道刺激大並可引起血膽紅素及轉氨酶升高以及有耐藥株產生的報導人們開始選用大環內酯類的新產口如羅紅黴素(roxithromycin)及甲紅黴素(clarithromycin)阿奇黴素(azithromycin)等口服易耐受穿透組織能力強能滲入細胞內半衰期長MIC為~mg/L近年來在日本採用白黴素(leucomycin)治療本病效果較好該藥無明顯毒副作用比較安全口服量為~mg/(kg·d)分次服用;靜滴量為~mg/(kg·d)
⑵四環素類抗生素 MP感染雖有肯定療效但其毒副作用較多尤其是四環素對骨骼和牙生長的影響即使是短期用藥四環素的色素也能與新形成的骨和牙中的鈣相結合使乳牙黃染故不宜在歲以前兒童時期套用
⑶氯黴素和碘胺類 因為治療MP感染的療程較長而氯黴素類磺胺類抗菌藥物毒副作用較多不宜長時間用藥故臨床上較少用於治療MP感染
⑷氟喹酮類 近年來有用氟喹酮類(fluroqumolone)藥物治療MP感染的報導氟喹酮類屬於合成抗菌藥通過抑制DNA鏇轉酶阻斷DNA複製發揮抗菌作用環丙氟哌酸(ciproflaxacin)氧氟沙星(ofloxacin)等藥物在肺及支氣管分泌物中濃度高能穿透細胞壁半衰期長達~h抗菌譜廣對MP有很好的治療作用前者~mg/(kg·d)分~次口服也可分次靜滴;後者~mg/(kg·d)分~次口服療程~周
因為目前認為支原體肺炎是人體免疫系統對支原體作出的免疫反應。所以,對急性期病情發展迅速嚴重的支原體肺炎或肺部病變遷延而出現肺不張、肺間質纖維化、支氣管擴張或有肺外併發症者,可套用腎上腺皮質激素。如氫化可的松或琥珀酸氫化可的松,每次5~10mg/kg,靜滴﹔或地塞米松0.1~0.25mg/(kg﹒次),靜滴﹔或強的松1~2mg/(kg﹒d),分次口服,一般療程3~5d。套用激素時注意排出結核等感染。
肺外併發症的治療?目前認為併發症的發生與免疫機制有關。因此,除積極治療肺炎、控制支原體感染外,可根據病情使用激素,針對不同併發症採用不同的對症處理辦法。
突出表現
支原體肺炎突出表現為陣發性刺激性咳嗽
肺炎支原體感染人體後,經過2~3周的潛伏期,繼而出現臨床表現,約1/3的病例也可無症狀。它起病緩慢,發病初期有咽痛、頭痛、發熱、乏力、肌肉酸痛、食慾減退、噁心、嘔吐等症狀。發熱一般為中等熱度,2~3天后出現明顯的呼吸道症狀,突出表現為陣發性刺激性咳嗽,以夜間為重,咳少量黏痰或黏液膿性痰,有時痰中帶血,也可有呼吸困難、胸痛。發熱可持續2~3周,體溫正常後仍可遺有咳嗽。
支原體肺炎患者雖然自感症狀較重,但胸部體檢一般無明顯異常體徵。鼻部輕度鼻塞、流涕,咽中度充血。耳鼓膜常有充血,約15%有鼓膜炎。頸淋巴結可腫大。約10%~15%病例發生少量胸腔積液。除呼吸系統的表現外,支原體肺炎可伴發多系統、多器官損害。皮膚損害可表現為斑丘疹、結節性紅斑、水皰疹等。胃腸道系統可見嘔吐、腹瀉和肝功損害。血液系統損害較常見溶血性貧血。中樞神經系統損害可見多發性神經根炎、腦膜腦炎及小腦損傷等。心血管系統病變偶有心肌炎及心包炎。
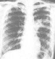
支原體肺炎患者胸部X線檢查變化很大,病變可很輕微,也可很廣泛。體徵輕微而胸片陰影顯著,是本病特徵之一。血常規檢查白細胞高低不一,大多正常,有時偏高。
支原體肺炎的臨床表現和胸部X線檢查並不具特徵性,單憑臨床表現和胸部X線檢查無法做出診斷。若要明確診斷,需要進行病原體的檢測。目前,國內支原體肺炎的診斷主要依靠血清學檢測。
乾燥寒冷季節多喝溫水、加強鍛鍊、房間通風
支原體感染可以造成小流行,故應注意呼吸道隔離。秋冬季房間也要定期開窗通風,保持室內空氣新鮮。多喝溫水,飲食以易消化、營養豐富的食物為宜。多開展戶外活動,進行身體鍛鍊,尤其加強呼吸運動鍛鍊,以改善呼吸功能。在寒冷季節或氣候驟變外出時,要及時增添衣服,以防受寒感冒。

