概況
肺炎(pneumonia)通常是指肺的急性滲出性炎症,為呼吸系統的多發病、常見病。據世界衛生組織調查,肺炎死亡率占呼吸系統急性感染死亡率的75%。在我國,各種致死病因中,肺炎占第5位。
按病變性質可分為漿液性、纖維素性、化膿性、出血性、乾酪性、肉芽腫性或機化性肺炎等不同類型。
(一)細菌性肺炎
1.大葉性肺炎 大葉性肺炎(lobar pneumonia)主要是由肺炎鏈球菌感染引起,病變起始於肺泡,並迅速擴展至整個或多個大葉的肺的纖維素性炎。多見於青壯年,臨床表現為驟然起病、寒戰高燒、胸痛、咳嗽、吐鐵鏽色痰、呼吸困難,並有肺實變體徵及白細胞增高等。大約經5~10天,體溫下降,症狀消退。
疾病描述
病因機制
95%以上的大葉性肺炎由肺炎鏈球菌引起,尤以Ⅲ型者毒力最強。此外,肺炎桿菌、金黃色葡萄球菌、溶血性鏈球菌、流感嗜血桿菌也可引起。受寒、疲勞、醉酒、感冒、麻醉、糖尿病、肝、腎疾病等均可為肺炎的誘因。此時,呼吸道的防禦功能被削弱,機體抵抗力降低,易發生細菌感染。
大葉性肺炎
細菌侵入肺泡後在其中繁殖,特別是形成的漿液性滲出物又有利於細菌繁殖,並使細菌通過肺泡間孔或呼吸細支氣管迅速向鄰近肺組織蔓延,從而波及整個大葉,在大葉之間的蔓延則系帶菌滲出液經葉支氣管播散所致。
病理變化
雙葉肺炎病變一般發生在單側肺,多見於左肺下葉,也可同時或先後發生於兩個以上肺葉。病變基本特徵是肺的微循環障礙。由於毛細血管通透性增高,大量纖維蛋白原滲出於肺泡,使肺組織大面積廣泛實變。病變早期,肺葉充血、水腫,肺泡腔內有大量漿液性滲出物,混有少數紅細胞、中性粒細胞和巨噬細胞,並含有大量細菌。1~2天后,即有大量纖維蛋白原滲出,肺泡腔內充滿混有紅細胞、中性粒細胞、巨噬細胞的纖維素性滲出物,纖維素絲可穿過肺泡間孔與相鄰肺泡中的纖維素網相連。病變肺葉質實如肝,明顯腫脹,重量增加,呈灰白色。如血管損傷較重、出血較多,外觀可呈紅色。大約經5~10天,炎症消退,細菌被吞噬細胞吞噬清除,滲出物被溶解,或經淋巴管吸收或被咳出。大葉性肺炎時,肺組織常無壞死,肺泡壁結構也未遭破壞,愈復後,肺組織可完全恢復其正常結構和功能。
肺泡腔內充滿纖維素性滲出物,纖維素絲穿過肺泡間孔,使相鄰肺泡內的纖維素網互相連線
症狀:左下葉實變,呈灰白色,肺葉明顯腫脹
合併症
(1)肺肉質變:因吞噬細胞數量少或功能缺陷,滲出物不能被完全吸收清除時,則由肉芽組織予以機化,病變部位肺組織變成褐色肉樣纖維組織,稱肉質變(carnification)。
肺肉質變
肺泡腔內炎性滲出物已被結締組織所替代
(2)肺膿腫及膿胸或膿氣胸:多見於由金黃色葡萄球菌引起的肺炎。
(3)纖維素性胸膜炎:是肺內炎症直接侵犯胸膜的結果。
(4)敗血症或膿毒敗血症:見於嚴重感染時,細菌侵入血流繁殖所致。
雙葉肺炎(5)感染性休克:嚴重的肺炎鏈球菌或金黃色葡萄球菌感染引起嚴重的毒血症時可發生休克,稱休克型或中毒性肺炎,病死率較高。
小葉性肺炎
小葉性肺炎主要由細菌感染引起,常見的致病菌有葡萄球菌、鏈球菌、肺炎球菌、流感嗜血桿菌、綠膿桿菌和大腸桿菌等。這些細菌通常是口腔或上呼吸道內致病力較弱的常駐寄生菌,往往在某些誘因影響下,如患傳染病、營養不良、惡病質、慢性心力衰竭、昏迷、麻醉、手術後等,使機體抵抗力下降,呼吸系統的防禦功能受損,細菌得以入侵、繁殖,發揮致病作用,引起支氣管肺炎。因此,支氣管肺炎常是某些疾病的併發症,如所謂麻疹後肺炎、手術後肺炎、吸入性肺炎、墜積性肺炎等等。
病理變化
雙葉肺炎小葉性肺炎的病變特徵是肺組織內散布一些以細支氣管為中心的化膿性炎症病灶。常散布於兩肺各葉,尤以背側和下葉病灶較多。病灶大小不等,直徑多在1cm左右(相當於肺小葉範圍),形狀不規則,色暗紅或帶黃色(圖9-18)。嚴重者,病灶互相融合甚或累及全葉,形成融合性支氣管肺炎(confluent bronchopneumonia)。鏡下,病灶中支氣管、細支氣及其周圍的肺泡腔內流滿膿性滲出物,纖維蛋白一般較少(圖9-19)。病灶周圍肺組織充血,可有漿液滲出、肺泡過度擴張等變化。由於病變發展階段的不同,各病灶的病變表現和嚴重程度亦不一致。有些病灶完全化膿,支氣管和肺組織遭破壞,而另一些病灶內則可僅見漿液性滲出,有的還停留於細支氣管及其周圍炎階段。
小葉性肺炎發生併發症的危險性比大葉性肺炎大得多。可並發心力衰竭、呼吸衰竭、膿毒敗血症、肺膿腫及膿胸等。支氣管破壞較重且病程較長者,可導致支氣管擴張。
臨床病理聯繫
疾病發展過程中病變表現不一,臨床體徵也不相同。疾病早期時,主要病變是肺泡腔內漿液滲出,聽診可聞濕囉音,X線檢查僅見肺紋理增深。肺實變時,由於肺泡膜面積減少,可出現肺泡通氣和血流比例失調而影響換氣功能,使肺靜脈血不能充分氧合,患者乃出現紫紺或呼吸困難。滲出物中紅細胞為肺泡巨噬細胞吞噬,崩解後形成含鐵血黃素混入痰中,使痰呈鐵鏽色。痰中可檢出“心衰細胞”。肺實變的體徵是,肺泡呼吸音減弱或消失,出現支氣管呼吸音,語音震顫增強,叩診呈濁音。因常並發纖維素性胸膜炎,患者有胸痛,聽診可聞胸膜摩擦音。
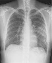
大葉性肺炎X線檢查,可見大葉性或段性分布的均勻性密度增高陰影。病變消散時,滲出物溶解液化,肺部可聞及捻發音,X線表現為散在不均勻片狀陰影,約在2~3周后陰影方完全消散。抗生素治療,可縮短病程,減輕病變,合併症也大為減少。
小葉性肺炎(lobular pneumonia)主要由化膿菌感染引起,病變起始於細支氣管,並向周圍或末梢肺組織發展,形成以肺小葉為單位、呈灶狀散布的肺化膿性炎。因其病變以支氣管為中心故又稱支氣管肺炎(bronchopneumonia)。主要發生於小兒和年老體弱者。
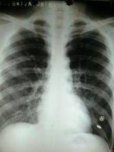
因小葉性肺炎多為其他疾病的併發症,其臨床症狀常為原發性疾病所掩蓋。由於支氣管黏膜的炎症刺激而引起咳嗽,痰呈粘液膿性。因病變常呈灶性散布,肺實變體徵一般不明顯。病變區細支管和肺泡內含有滲出物,聽診可聞濕囉音。X線檢查,可見肺野內散在不規則小片狀或斑點狀模糊陰影。本病發現及時,治療得當,肺內滲出物可完全吸收而痊癒。但在幼兒,年老體弱者,特別是並發於其他嚴重疾病時,預後大多不良。
病毒性肺炎
病毒性肺炎(viral pneumonia)常常是因上呼吸道病毒感染向下蔓延所致。患者多為兒童,症狀輕、重不等,但嬰幼兒和老年患者病情較重。一般多為散發,偶可釀成流行。引起肺炎的病毒種類較多,常見的是流感病毒、還有呼吸道合胞病毒、腺病毒、副流感病毒、麻疹病毒、巨細胞病毒等等,也可由一種以上病毒混合感染並可繼發細菌感染。病毒性肺炎的病情、病變類型及其嚴重程度常有很大差別。
病理變化
早期或輕型病毒性肺炎表現為間質性肺炎,炎症從支氣管、細支氣管開始,沿肺間質發展,支氣管、細支氣管壁及其周圍、小葉間隔以及肺泡壁等肺間質充血、水腫,有一些淋巴細胞和單核細胞浸潤,肺泡壁明顯增寬。肺泡腔內一般無滲出物或僅有少量漿液。病變較重者,肺泡也可受累,出現由漿液、少量纖維蛋白、紅細胞及巨噬細胞組成的炎性滲出物,甚至可發生組織壞死。有些病毒性肺炎(如流感病毒肺炎,麻疹病毒肺炎、腺病毒肺炎等)肺泡腔內滲出較明顯,滲出物濃縮凝結成一層紅染的膜樣物貼附於肺泡內表面,即透明膜形成。支氣管上皮的肺泡上皮也可增生,甚至形成多核巨細胞。麻疹病毒肺炎的病變特點為在間質性肺炎的基礎上,肺泡壁上有透明膜形成,並有較多的多核巨細胞(巨細胞肺炎),在增生的上皮細胞和多核巨細胞的胞漿內和胞核內可檢見病毒包含體。病毒包含體常呈球形,約紅細胞大小,呈嗜酸性染色,均質或細顆粒狀,其周圍常有一清晰的透明暈。其他一些病毒性肺炎也可在增生的支氣管上皮、支氣管粘液腺上皮或肺泡上皮細胞內檢見病毒包含體。如腺病毒肺炎可在增生的上皮細胞核內(圖9-21),呼吸道合胞病毒肺炎可在增生的上皮細胞胞漿內,巨細胞病毒肺炎也可在增生的上皮細胞核內檢見病毒包含體。檢見包含體是病理組織學診斷病毒性肺炎的重要依據。
疾病分類
間質性肺炎
肺泡壁及細支氣管周圍肺間質內有大量炎性細胞(主為單核細胞)浸潤。肺泡壁明顯增寬。肺泡腔內無滲出物
腺病毒肺炎
中央可見腫大肺泡上皮細胞中的核內包含體
有些混合感染,如麻疹病毒合併腺病毒感染,特別是又繼發細菌感染的病毒性肺炎,病變更為嚴重,肺炎病灶可呈小葉性、節段性或大葉性分布。支氣管和肺組織明顯壞死、出血,並可混雜化膿性病變,從而掩蓋了病毒性肺炎原來的病變特徵。
支原體肺炎
支原體肺炎(mycoplasmal pneumonia)是由肺炎支原體(mycoplasma pneumoniae)引起的一種間質性肺炎。支原體系介於細菌和病毒之間的微生物,共有30餘種,其中多種可寄生於人體,但不致病,僅有肺炎支原體能引起呼吸道疾病。各種肺炎中約有5%~10%乃由肺炎支原體引起。主要經飛沫感染,秋、冬季節發病較多,兒童和青年發病率較高,通常為散發性,偶爾流行。患者起病較急,多有發熱、頭痛、咽痛及劇烈咳嗽(常為乾性嗆咳)等症狀。胸部檢查,可聞乾、濕囉音。X線檢查,肺部呈段性分布的紋理增加及網織狀陰影。白細胞計數有輕度升高,淋巴細胞和單核細胞增多,痰、鼻分泌物及咽喉拭子能培養出肺炎支原體。
病理變化
肺炎支原體感染可引起整個呼吸道的炎症。肺部病變常僅累及一個肺葉,以下葉多見。病變主要發生於肺間質,病灶呈段性分布,暗紅色,切面可有少量紅色泡沫狀液體溢出。氣管或支氣管腔內也可見粘液性滲出物。胸膜光滑。鏡下,病變區域肺泡間隔明顯增寬,有大量淋巴細胞、漿細胞和單核細胞浸潤,肺泡腔內無滲出物或僅有少量混有單核細胞的漿液性滲出液。小支氣管和細支氣管壁及其周圍組織也常有炎性細胞浸潤。重症病例,上皮亦可壞死脫落,往往伴有中性粒細胞浸潤。支原體肺炎預後良好。死亡率在0.1%~1%之間。

