病徵描述
支原體肺炎(mycoplasmal pneumonia)舊稱原發性非典型肺炎、冷凝集陽性肺炎,是由支原體(mycoplasma,MP)感染引起的、基本病程間質性肺炎及毛細支氣管炎樣改變,臨床表現為頑固性劇烈咳嗽的肺部炎症。MP是兒童時期肺炎和其它呼吸道感染的重要病原之一。
疾病別名:小兒MP肺炎,原發性非典型肺炎
所屬部位:胸部
就診科室:呼吸內科,兒科,傳染科
症狀體徵:發熱 咽痛頭痛食慾異常 咳嗽噁心與嘔吐 胸痛胸腔積液
病因
本病主要病原為肺炎支原體(mycoplasmaPneumoniae)是介於細菌和病毒之間的一種“胸膜肺炎樣微生物”,為已知獨立生活的病原微生物中的最小者,能通過細菌濾器,需要含膽因醇的特殊培養基,在接種10天后才出現菌落,菌落很小,很小超過0.5mm。病原體直徑為125~150mm,與粘液病毒的大小相仿,無細胞擘,故呈球狀、桿狀、絲狀等多種多形態,革蘭氏染色陰性。能耐冰凍。37℃時只能存活幾小時。
症狀
小兒支原體肺炎1、潛伏期約2~3周(8~35天)。
2、症狀輕重不一。大多起病不甚急,有發熱、厭食、咳嗽、畏寒、頭痛、咽痛、胸骨下疼痛等症狀。體溫在37~41℃,大多數在39℃左右,可為持續性或弛張性,或僅有低熱,甚至不發熱。多數咳嗽重,初期乾咳,繼而分泌痰液(偶含小量血絲),有時陣咳稍似百日咳。偶見噁心,嘔吐及短暫的斑丘疹或蕁麻疹。一般無呼吸困難表現,但嬰兒患者可有喘鳴及呼吸困難。體徵依年齡而異,年長兒往往缺乏顯著的胸部體徵,嬰兒期叩診可得輕度濁音,呼吸音減弱,有濕性羅音,有時可呈梗阻性肺氣腫體徵。鐮狀細胞性貧血患兒並發此種肺炎時,症狀往往加重,可見呼吸困難、胸痛及胸腔積液。支原體肺炎偶可合併滲出性胸膜炎及肺膿腫,慢性肺部疾患與肺炎支原體間有一定關係,Berkwick(1970)報告27例哮喘兒童中復期有4倍增長。支原體肺炎可伴發多系統、多器官損害,呼吸道外病變可涉及皮膚黏膜,表現為麻疹樣或猩紅熱樣皮疹、StevensJohnson綜合徵等;偶見非特異性肌痛及遊走性關節痛;胃腸道系統可見吐、瀉和肝功損害;血液系統方面較常見溶血性貧血,我們曾見2例以溶血性貧血為首發及主訴症狀;文多發性神經根炎、腦膜腦炎及小腦損傷等;心血管系統病變偶有心肌炎及心包炎。細菌性混合感覺亦少見。白細胞高低不一,大多正常,有時偏高。血沉顯示中等度增快。
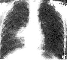
3、X線檢查多表現為單側病變,約占80%以上,大多數在下葉,有時僅為肺門陰影增重,多數呈不整齊雲霧狀肺浸潤,從肺門向外延至肺野,尤以兩肺下葉為常見,少數為大葉性實變影。可見肺不張。往往一處消散而他處有新的浸潤發生。有時呈雙側瀰漫網狀或結節樣浸潤陰影或間質性肺炎表現,而不伴有肺段或肺葉實變。體徵輕微而胸片陰影顯著,是本病病特徵之一。
4、病程自然病程自數至2~4周不等,大多數在8~12日退熱,恢復期需1~2周。X線陰影完全消失,比症狀更延長2~3周這久。偶可見復發。
診斷要點為:
①持續劇烈咳嗽,X線所見遠較體徵為顯著。如在年長兒中同時發生數例,可疑為流行病例,可早期確診。
②白細胞數大多正常或稍增高,血沉多增快,Coombs試驗陽性。
③青、鏈黴素及磺胺藥無效。
④血清凝集素(屬IgM型)大多滴度上升至1∶32或更高,陽性率50%~75%,病情愈重陽性率愈高。冷凝集素大多於起病後第1周末開始出現,至第3~4周達高峰,以後降低,2~4月時消失。此為非特異性反應,也可見於肝病、溶血性貧血、傳染性單核細胞增多症等,但其滴度一般不超過1∶32。而腺病毒所致年長兒肺炎,冷凝集素多為陰性。
⑤血清特異性抗體測定有診斷價值,臨床常採用者有補體結合試驗,間接血凝試驗,間接免疫螢光法及酶聯免疫吸附試驗等。此外又可用酶聯吸附試驗檢測抗原。近年有用肺炎支原體膜蛋白製成的單克隆抗體檢測標本中抗原體膜蛋白製成的單克隆抗體檢測標本中抗原的報導。近年國內外套用DNA探針及PCR檢測肺炎支原體DNA診斷有快速特異性高優點。
⑥用病人痰液或咽拭洗液培養支原體需時太久,常要2~3周,因此對臨床幫助不大。
檢查
X線檢查:肺部病變表現多樣化,早期間質性肺炎,肺部顯示紋理增加及網織狀陰影,後發展為斑點片狀或均勻的模糊陰影,近肺門較深,下葉較多。約半數為單葉或單肺段分布,有時浸潤廣泛、有實變。兒童可見肺門淋巴結腫大。少數病例有少量胸腔積液。肺炎常在2~3周內消散,偶有延長至4~6周者。
蛋白尿血液檢查:血白細胞正常或減少,少數可超過10000~15000/mm3,分類有輕度淋巴細胞增多。紅細胞沉降率增速。尿檢查:正常或有少量蛋白尿。
痰、鼻和喉拭子培養可獲肺炎支原體,但需時約3周,同時可用抗血清抑制其生長,也可借紅細胞的溶血來證實陰性培養。發病後2周,約半數病例產生抗體。
紅細胞冷凝集試驗陽性,滴定效價在1∶32以上,恢復期效價4倍增加的意義大。40~50%病例的鏈球菌MG凝集試驗陽性,血中出現MG鏈球菌凝集素效價為1∶40或更高,滴度逐步增至4倍則更有意義。
血清中特異性抗體可通過補體結合試驗、代謝抑制試驗、間接血凝試驗、間接螢光法、酶聯免疫吸附試驗等測定。
這些均有助於診斷。咽拭子、支氣管肺泡灌洗液等標本,通過PCR技術檢測肺炎支原體DNA在國內已有報導,特異性和敏感性均高,可作為早期診斷之用。抗肺炎支原體單克隆抗體技術的診斷價值尚等研究。
病因學
本病主要病原為肺炎支原體(mycoplasmaPneumoniae)是介於細菌和病毒之間的一種“胸膜肺炎樣微生物”,為已知獨立生活的病原微生物中的最小者,能通過細菌濾器,需要含膽因醇的特殊培養基,在接種10天后才出現菌落,菌落很小,很小超過0.5mm。病原體直徑為125~150mm,與粘液病毒的大小相仿,無細胞擘,故呈球狀、桿狀、絲狀等多種多形態,革蘭氏染色陰性。能耐冰凍。37℃時只能存活幾小時。
流行病學
本病主要通過呼吸道飛沫傳染,平時見散發病例,全年均有發病,以冬季較多。約每隔3~7年發生一次地區性流行,其流行特點為持續時間甚長,可達一年。如北京地區1990年流行自1990年1月至91年3月,持續一年二月之久。除肺炎外,還可表現為支氣管炎、氣管炎及咽炎。不少門診病人症狀較輕,如不做血清學檢查,極易漏診。學齡兒童患病較多,學齡前兒童亦可發生,如1990年流行時北京兒童醫院3歲以下嬰幼兒病人占15%,最小一例為1歲半。痊癒後有的可攜帶病的體。
治療
肺炎支原體1、一般治療
⑴呼吸道隔離由於支原體感染可造成小流行,且患兒病後排支原體的時間較長,可達1~2個月之外。嬰兒時期僅表現為上呼吸道感染症狀,在重複感染後才發生肺炎。同時在感染MP期間容易再感染其它病毒,導致病情加重遷延不愈。因此,對患兒或有密切接觸史的小兒,應儘可能做到呼吸道隔離,以防止再感染和交叉感染。
⑵護理保持室內空氣新鮮,供給易消化、營養豐富的食物及足夠的液體。保持口腔衛生及呼吸道通暢,經常給患兒翻身、拍背、變換體位,促進分泌物排出、必要時可適當吸痰,清除粘稠分泌物。
⑶氧療對病情嚴重有缺氧表現者,或氣道梗阻現象嚴重者,應及時給氧。其目的在於提高動脈血氧分壓,改善因低氧血症造成的組織缺氧。給氧方法與一般肺炎相同。2、對症處理
⑴祛痰目的在於使痰液變稀薄,易於排出,否則易增加細菌感染機會。但有效的祛痰劑甚少,除加強翻身、拍背、霧化、吸痰外,可選用必嗽平、痰易淨等祛痰劑。由於咳嗽是支原體肺炎最突出的臨床表現,頻繁而劇烈的咳嗽將影響患兒的睡眠和休息,可適當給予鎮靜劑如水合氯醛或苯巴比妥,酌情給予小劑量待因鎮咳,但次數不宜過多。
⑵平喘對喘憋嚴重者,可選用支氣管擴張劑,如氨茶鹼口服,4~6mg/(kg·次),每6h1次;亦可用舒喘靈吸入等。
3、抗生素的套用
根據MP微生物學特徵,凡能阻礙微生物細胞壁合成的抗生素如青黴素等,對支原體無效。因此,治療MP感染,應選用能抑制蛋白質合成的抗生素,包括大環內脂尖、四環素類、氯黴素類等。此外,尚有林可黴素、氯林可黴素、萬古黴素及磺胺類如SMZxo等可供選用。⑴大環內脂類抗生素以上各種中常選用大環內脂類抗生素如紅黴素、螺鏇黴素、麥迪黴素、白黴素等。其中又以紅黴素為首選,該藥使用廣泛,療效肯定。對消除支原體肺炎的症狀和體徵明顯,但消除MP效果不理想,不能消除肺炎支原體的寄居。常用課桌一為50mg/(kg·d),輕者分次口服治療即可,重症可考慮靜脈給藥,療程一般主張不少於2~3周,停藥過早易於復發。常用口服劑有無味紅黴素及紅黴素腸溶片,口服紅黴素自腸道吸收,空腹服用紅黴素250mg,高峰血濃度於給藥後2~3h達到0.3~0.7μg/ml;劑量加倍,高峰血濃度為0.3~1.9μg/ml。靜脈注射紅黴素乳糖酸鹽300mg,4min的血濃度平均為40.9μg/ml,2h後為2.6μg/ml,6h後為0.32μg/ml。如每12h連續靜脈滴注紅黴素乳糖酸鹽1g,則8h後的血藥濃度可維持4~6μg/ml。而痰中平均嘗試為2.6(0.9~8.4)μg/ml。紅黴素主要經膽汁排泄,部分可從腸道內重新吸收。相當量的紅黴素在肝內代謝滅活。口服給藥量的2.5%和注射給藥的15%以活性物質自尿中排出。血液透析和腹膜透析皆不能將紅黴素自體內清除。在使用紅黴素製劑時應注意其毒副作用。各種口服製劑皆可引起噁心、嘔吐、腹痛、腹瀉等胃腸道症狀;靜脈滴注時可發生血栓性靜脈炎;偶有過敏反應發生,表現為藥物熱、蕁麻疹等。值得注意的是紅性黃疸,往往在給藥14~21d產生上腹疼痛、噁心嘔吐,相繼出現發熱、黃疸、白細胞及嗜酸性粒細胞增多,血清膽紅質和轉氨酶增高,停藥後2~3d可恢復正常,但再給藥又可重新出現上述症狀。另外,大劑量紅黴素的套用偶可引起耳鳴和暫時性聽覺障礙,一般發生於靜脈給藥或有腎功能減退和(或)肝臟損害者。嬰幼兒口服無味黴素後可出現增生性幽門狹窄,口服紅黴素後也有出現假膜性腸炎者。套用紅黴素期間尿中兒茶酚胺、17-羥類固醇和血清轉氨酶有增高現象,血清葉酸和尿雌二醇有降低情況。若與茶鹼類藥物同用時,有增加茶鹼和血液中濃度的作用。所以,在合用茶鹼類藥物時,應減量使用或避免合用。
兒茶酚胺⑵四環素類抗生素MP感染雖有肯定療效,但其毒副作用較多,尤其是四環素對骨骼和牙生長的影響,即使是短期用藥,四環素的色素也能與新形成的骨和牙中的鈣相結合,使乳牙黃染。故不宜在7歲以前兒童時期套用。
⑶氯黴素和碘胺類因為治療MP感染的療程較長,而氯黴素類、磺胺類抗菌藥物毒副作用較多,不宜長時間用藥,故臨床上較少用於治療MP感染。
⑷氟喹酮類近年來有用氟喹酮類(fluroqumolone)藥物治療MP感染的報導。氟喹酮類屬於合成抗菌藥,通過抑制DNA鏇轉酶,阻斷DNA複製發揮抗菌作用。環丙氟哌酸(ciproflaxacin)、氧氟沙星(ofloxacin)等藥物在肺及支氣管分泌物中濃度高,能穿透細胞壁,半衰期長達6.7~7.4h。抗菌譜廣,對MP有很好的治療作用。前者10~15mg/(kg·d),分2~3次口服,也可分次靜滴;後者10~15mg/(kg·d),分2~3次口服,療程2~3周。
4、腎上腺糖皮質激素的套用
地塞米松5、肺外併發症的治療
目前認為併發症的發生與免疫機制有關。因此,除積極治療肺炎、控制MP感染外,可根據病情使用激素,針對不同併發症採用不同的對症處理辦法。
6、4S清肺平喘療法
4S清肺平喘療法由軍事醫學科學研究院、國際科學研究院等多位專家歷經30多年聯合研發形成的一套全方位、多立體的綜合治療體系。療法包括清肺淨肺、PI活肺治療、植物神經綜合平衡和軍科細胞免疫技術四大步驟,其中軍科細胞免疫技術是多位專家在2008年諾貝爾醫學獎DC細胞技術基礎上獨創的治療手段,它直擊哮喘病的發病根源——炎症細胞,利用特定的靶向免疫激活技術抑制和清除哮喘發病根源,真真正正防止哮喘反覆發作。
鑑別
本病有時須與下列各病鑑別:①肺結核;②細菌性肺炎;③百日咳;④傷寒;⑤傳染性單核細胞增多症;⑥風濕性肺炎。均可根據病史、結核菌素試驗、X線隨訪觀察及細菌學檢查和血清學反應等而予以鑑別。
DNA探針預防
本病主要通過呼吸道飛沫傳染,平時見散發病例,全年均有發病,以冬季較多。約每隔3~7年發生一次地區性流行,其流行特點為持續時間甚長,可達一年。如北京地區1990年流行自1990年1月至91年3月,持續一年二月之久。除肺炎外,還可表現為支氣管炎、氣管炎及咽炎。不少門診病人症狀較輕,如不做血清學檢查,極易漏診。學齡兒童患病
抗生素應注意休息、護理與飲食。必要時可服小量退熱藥,及服用中藥。其他對症療法也與支氣管炎節所述相同。支原體對四環素和大環內酯類抗生素敏感,紅黴素為首選藥物,劑量30mg/(kg·d),口服一日三次,可改善臨床症狀,減少肺部陰影,並可縮短病程。紅黴素療程2~3周。此外美歐卡黴素、利福平和乙醯螺鏇黴素亦有療效。重症患兒可加用腎上腺皮質激素。預後良好,雖病程有時較長,但終可完全恢復。很少出現併發症,僅偶見中耳炎、胸腔滲出液、溶血性貧血、心肌炎、心包炎、腦膜腦炎及皮膚黏膜綜合徵。但偶可再發,有時肺部病變和肺功能恢復較慢。
併發症
(1)7%有神經系統併發症:如無菌性腦膜炎、腦膜腦炎、顱神經麻痹、小腦共濟失調、周圍神經炎等。多數病例先有呼吸系統症狀,7~14天后出現神經系統症狀,約1/5的病人,直接以神經系統症狀起病。
心電圖(3)12%~44%有消化系統症狀:大多為非特異性表現,如食欲不振、噁心、嘔吐、腹痛、腹瀉、便秘等,常發生在疾病早期。此外可並發肝炎、肝腫大、血清轉氨酶升高,但大多數患者的肝功能隨肺部炎症的痊癒而趨於正常。
(4)25%有皮膚損害:並發皮疹,皮疹形態多樣,有紅斑、斑丘疹、皰疹、蕁麻疹及紫癜等,多發生在發熱期。男性為多。
(5)15%~45%有肌肉、關節損害:可出現關節痛和非特異性肌痛。在關節炎及關節痛中,主要是多大、中關節如膝關節、踝關節、肩關節的多關節症狀,多呈遊走性。肌肉的改變如一過性肌肉酸痛等。
(6)30%並發耳痛。
危害
肺炎支原體感染人體後,經過2~3周的潛伏期,繼而出現臨床表現,約1/3的病例也可無症狀。它起病緩慢,發病初期有咽痛、頭痛、發熱、乏力、肌肉酸痛、食慾減退、噁心、嘔吐等症狀。發熱一般為中等熱度,2~3天后出現明顯的呼吸道症狀,突出表現為陣發性刺激性咳嗽,以夜間為重,咳少量黏痰或黏液膿性痰,有時痰中帶血,也可有呼吸困難、胸痛。發熱可持續2~3周,體溫正常後仍可遺有咳嗽。
支原體肺炎患者雖然自感症狀較重,但胸部體檢一般無明顯異常體徵。鼻部輕度鼻塞、流涕,咽中度充血。耳鼓膜常有充血,約15%有鼓膜炎。頸淋巴結可腫大。約10%~15%病例發生少量胸腔積液。除呼吸系統的表現外,支原體肺炎可伴發多系統、多器官損害。皮膚損害可表現為斑丘疹、結節性紅斑、水皰疹等。胃腸道系統可見嘔吐、腹瀉和肝功損害。血液系統損害較常見溶血性貧血。中樞神經系統損害可見多發性神經根炎、腦膜腦炎及小腦損傷等。心血管系統病變偶有心肌炎及心包炎。
支原體肺炎患者胸部X線檢查變化很大,病變可很輕微,也可很廣泛。體徵輕微而胸片陰影顯著,是本病特徵之一。血常規檢查白細胞高低不一,大多正常,有時偏高。
支原體肺炎的臨床表現和胸部X線檢查並不具特徵性,單憑臨床表現和胸部X線檢查無法做出診斷。若要明確診斷,需要進行病原體的檢測。目前,國內支原體肺炎的診斷主要依靠血清學檢測。
喘息性支氣管肺炎
小兒過敏性哮喘往往合併呼吸道感染而誘發,感染可影響機體的細胞和體液免疫,而呼吸道感染則與過敏性哮喘的形成和反覆發作有著一定相關性。呼吸道感染與過敏性哮喘的關係是較為複雜的,一方面,呼吸道感染與氣道高反應性的發生有一定關係,而這種關係可能是哮喘發病或誘發過敏性哮喘急性發作的重要誘因之一。現代醫學對一些小兒反覆出現的呼吸道感染性支氣管炎肺炎合併有哮喘者,又稱其為喘息性支氣管-肺炎。急性呼吸道感染和過敏性哮喘分別為兒童的第一位感染性疾病和非感染性疾病,臨床上已經注意到兩者相關性,呼吸道感染可誘發支氣管哮喘或過敏性咳嗽的發生以及加重咳嗽喘息症狀。對0~14歲兒童過敏性哮喘流行病學調查資料表明,95.2%過敏性哮喘患兒起病和發病誘因是上呼吸道感染,這一比例似過高,但從一方面仍足以說明呼吸道感染與過敏性哮喘關係有直接關係,在嬰幼兒過敏性哮喘發作中更為突出。從臨床上了解到與小兒過敏性哮喘反覆發作關係密切的主要為病毒、支原體、衣原體等,呼吸道病毒感染對過敏性哮喘的影響有以下特點:①較易誘發5歲以下的兒童過敏性哮喘;②更易激發有過敏性疾病家族史或有過敏症兒童發生支氣管哮喘;③與肺炎支原體(MP)反覆感染比較容易激發過敏性哮喘出現反覆支氣管喘息症狀;④呼吸道感染越重,喘息發作的可能性越大;⑤呼吸道病毒感染後,男孩較女孩更易出現喘息症狀;⑥過敏體質兒童,過敏性哮喘病情重者,感冒後更易引起喘息。
以2-9歲發生過敏性哮喘患兒為例,在此期的學齡兒童發生過敏性哮喘反覆發作與肺炎支原體衣原體感染的關係來說明:
肺炎支原體是引起小兒過敏性哮喘發作的重要病原體,在肺炎支原體感染流行年度,喘息患兒感染肺炎支原體的比例可為20.6%,高於非喘息患兒的感染率。對平均年齡3.5歲100例過敏性哮喘和喘息患兒檢測支原體感染和血清IgE值,其陽性率超過30%。因此,對於支原體感染且嗜酸性粒細胞增設以及血清學檢測血清IgE抗體值增高的患兒,也就是說,支原體感染與過敏並存的呼吸道感染症狀患兒,治療時除應對支原體感染外,還應進行有效的抗過敏聯合治療,除常用抗過敏藥物如酮替芬、順爾寧等控制過敏症狀外,還應補充抗過敏益生菌康敏元來降低患兒血清中過高的IgE抗體以解決過敏免疫反應。
對診斷合併有支原體感染的咳嗽變異性哮喘及過敏性哮喘患兒用大環內酯類抗生素如紅黴素、羅紅黴素、阿奇黴素治療後支氣管哮喘症狀均得以緩解,這表明:肺炎支原體感染是誘發小兒過敏性哮喘反覆發作或長期難以緩解的重要病因之一。肺炎支原體引起的過敏性哮喘的發病機制與氣道高反應性有關,這種情況下,如果過敏性哮喘患兒合併有肺炎支原體感染,往往容易在肺炎支原體感染後1個月內再次復發,原因是,只要有殘留病灶,患兒的氣道反應性就較高,咳嗽或咳嗽變異性哮喘,上呼吸道感染就會復發。
因此,臨床上對於因反覆肺炎支原體感染而誘發的過敏性咳嗽和過敏性哮喘反覆發作的患兒,就應及時選用大環內酯類抗生素如紅黴素、羅紅黴素、阿奇黴素等行2-3周全療程治療,以根治支原體和衣原體感染從而使過敏性哮喘緩解成為可能,並根據患兒過敏程度選擇抗過敏藥物和抗過敏益生菌康敏元2-3個月的免疫抗過敏治療減少咳嗽變異性哮喘的復發。

