病因
EB病毒感染所致,病毒攜帶者和患者是本病的傳染源。
臨床表現
傳染性單核細胞增多症脾大常見,一般在肋下2~3cm可觸及,同時伴有脾區疼痛或觸痛。肝大多在肋下2cm以內,常伴有肝臟功能異常,部分患者有黃疸。
部分患者會出現形態不一的皮疹,如丘疹、斑丘疹或類似麻疹及猩紅熱皮疹。
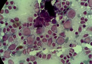
檢查
血白細胞總數正常、升高或減少,可先正常或減少,1周末升高,淋巴細胞增多,血塗片中異型淋巴細胞比例≥10%。血清EB病毒抗體測定,早期抗原(EA)-IgG效價≥1:20,病毒衣殼抗原(VCA)-IgM陽性或效價≥1:10,VCA-IgG效價≥1:160,或VCA-IgG在恢復期比急性期升高4倍以上,EB核抗原在病程3~4周陽性。分子生物學方法檢測血液、唾液、口腔上皮細胞、尿液中的EB病毒DNA陽性。骨髓檢查基本正常。此外還可行肝脾B超檢查。出現併發症時,可進行相應的檢查如X線胸片、心電圖等。
診斷
1.臨床症狀以下症狀至少3項以上陽性:①發熱;②咽炎、扁桃體炎;③頸部淋巴結腫大(大於1cm);④肝大;⑤脾大。
2.血象檢查
(1)白細胞分類淋巴細胞>50%或淋巴細胞總數≥5.0×109/L;
(2)異型淋巴細胞≥10%或總數≥1.0×109/L。
3.EB病毒抗體檢查
傳染性單核細胞增多症(1)抗VCA-IgM抗體初期陽性,以後轉陰;
(2)雙份血清抗VCA-IgG抗體滴度4倍以上升高;
(3)EA抗體一過性升高;
(4)VCA-IgG抗體初期陽性;EB病毒核抗原抗體後期陽轉。
4.EB病毒DNA檢查
血液、唾液、口咽上皮細胞、尿液或組織中的EB病毒DNA陽性。
5.EB病毒抗原檢查
鼻咽拭子直接測定抗原陽性。
符合上述臨床症狀和血象檢查,同時具備第3~5項之一,可確診。
治療
1.一般治療急性期應臥床休息,加強護理,避免發生嚴重併發症。脾臟顯著腫大時應避免劇烈運動,以防破裂。抗生素無效,若出現繼發細菌感染可使用抗生素。
2.藥物治療
傳染性單核細胞增多症(2)抗病毒治療更昔洛韋、干擾素早期治療可緩解症狀及減少口咽部排毒量,但對EB病毒潛伏感染無效。也可套用阿昔洛韋或EB病毒特異性免疫球蛋白進行治療。

