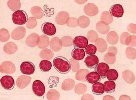
嗜異性凝集試驗 ≤1:8 EB病毒抗體測定 陰性
本試驗的特異性較高,效價>1:80有診斷意義;若逐周測定,效價不斷升高達4倍以上者對本病的診斷意義更大。健康者、血清病患者以及少數淋巴網狀細胞病、單核細胞白血病、結核病等患者的血清中也可出現嗜異性抗體,但除血清病外,其效價均較低,臨床上可用豚鼠腎和牛紅細胞吸收試驗予以鑑別。血清病患者的血中嗜異性抗體可為兩者中任何一種所完全吸收;健康人及其他疾病患者的血中抗體可為豚鼠腎所完全吸收或為牛紅細胞所部分吸收;傳染性單核細胞增多症患者的血中嗜異性抗體可為牛紅細胞所完全吸收和豚鼠腎所部分吸收。 膜殼抗體出現早,且持續存在,可作為流行病調查之指標。
相關詞條
-
傳染性單核細胞增多症
傳染性單核細胞增多症主要是由EB感染引起的急性自限性傳染病。典型臨床三聯征為發熱、咽峽炎和淋巴結腫大,可合併肝脾腫大,外周淋巴細胞及異型淋巴細胞增高。病...
病因 臨床表現 檢查 診斷 治療 -
單核細胞增多症
單核細胞增多症也被稱為“接吻病”,是由EB病毒(EBV)所致的急性自限性傳染病,通常是通過唾液、飛沫散播。臨床特徵為發熱,咽喉炎,淋巴結腫大,外周血淋巴...
病毒詳述 發病原理 流行病學 併發症 臨床表現 -
傳染性單核細胞增多
傳染性單核細胞增多症是由EB病毒所致的急性自限性傳染病。其臨床特徵為發熱,咽喉炎,淋巴結腫大,外周血淋巴細胞顯著增多並出現異常淋巴細胞,嗜異性凝集試驗陽...
病因 症狀 檢查 治療 -
小兒傳染性單核細胞增多症
小兒傳染性單核細胞增多症,是一種單核-巨噬細胞系統急性增生性傳染病,主要由EB病毒引起的,以侵犯淋巴系統為主的急性感染性疾病。臨床表現變化多端,常見有發...
病因 臨床表現 檢查 診斷 治療 -
紅斑肢痛症
紅斑肢痛症(erythromelalgia)別名:紅熱肢痛症;紅斑性肢痛病。是一種血管功能紊亂性疾病,好發於青年人,其中又以女性為多。患該症的病人往往訴...
概述 流行病學 病因 臨床表現 併發症 -
全血細胞減少症
全血細胞減少症又名再生障礙性貧血(再障),是骨髓造血功能衰竭所導致的一種全血減少綜合徵。
病理病因 症狀體徵 疾病診斷 鑑別診斷 緩解方法 -
愛滋病檢測
AIDS的實驗室檢測主要包括HIV抗體、HIV核酸、CD4+T淋巴細胞、HIV基因型耐藥檢測等。HIV1/2抗體檢測是HIV感染診斷的金標準;HIV核酸...
概述 症狀 內容 技術方法 感染機制 -
hiv檢測
AIDS的實驗室檢測主要包括HIV抗體、HIV核酸、CD4+T淋巴細胞、HIV基因型耐藥檢測等。HIV1/2抗體檢測是HIV感染診斷的金標準;HIV核酸...
何為愛滋 檢測時間 檢測方式 檢測發展 感染標誌 -
EB病毒中樞感染
的潛伏期,即從感染開始到發展為有症狀的傳染性單核細胞增多症的時間為30...淋巴細胞”。傳染性單核細胞增多症的很多臨床特徵是EBV感染後細胞免疫反應...水平的提高。在青少年和成人中,約有90%的傳染性單核細胞增多症患者產生嗜...
病因病機 診斷要點 臨床表現 治療方法 疾病預後

