病毒詳述
單核細胞增多症EBV屬皰疹病毒群,1964年由Epstein、Barr等從非洲惡性淋巴瘤的細胞培養中首先發現。病毒呈球形,直徑約180nm,衣殼表面附有脂蛋白包膜,核心為雙股DNA。
本病毒對生長要求極為特殊,故病毒分離較困難。但在培養的淋巴細胞中用免疫螢光或電鏡法可檢出本病毒。EBV有嗜B細胞特性並可作為其致裂原,使B淋巴細胞轉為淋巴母細胞。
EBV有五種抗原成分,即病毒衣殼抗原(VcA)、膜抗原(MA)、早期抗原(EA)、補體結合抗原(可溶性抗原S)和核抗原(EBNA)。各種抗原均能產生相應的抗體。eb病毒為本病的病原,電鏡下eb病毒的形態結構與皰疹病毒組的其他病毒相似,但抗原性不同。eb病毒為dna病毒,完整的病毒顆粒由類核、膜殼、殼微粒、包膜所組成。類核含有病毒dna;膜殼是20面體立體對稱外形由管狀蛋白亞單位組成;包膜從宿主細胞膜銜生而來。eb病對生長要求極為特殊,僅在非洲淋巴瘤細胞、傳單患者血液、白血病細胞和健康人腦細胞等培養中繁殖,因此病毒分離困難。
eb病毒有6種抗原成分,如膜殼抗原、膜抗原、早期抗原(可再分為彌散成分d和局限成分r)、補體結合抗原(即可溶性抗原s)、eb病毒核抗原、淋巴細胞檢查的膜抗原(lymphacytedetectedmembranceantigenlydma),前5種均能產生各自相應的抗體;lydma則尚未測出相應的抗體
BE病毒(EBV)屬皰疹病毒群。病毒呈球形,直徑約180nm,衣殼表面附有脂蛋白包膜,核心為雙股DNA。病毒對生長要求極為特殊,僅在非洲淋巴瘤細胞、患者血液、白血病細胞和健康人腦細胞等培養中繁殖,因此病毒分離困難。但在培養的淋巴細胞中用免疫螢光或電鏡法可檢出該病毒。
1、傳染:帶毒者及病人為本病的傳染源。
2、傳播途徑:80%以上患者鼻咽部有EB病毒存在,經口鼻密切接觸為主要傳播途徑,也可經飛沫及輸血傳播。
3、易感人群:人群普遍易感。
發病原理
單核細胞增多症本病的主要病理特徵是淋巴網狀組織的良性增生。肝臟有各種單核細胞浸潤,庫普弗細胞增生及局灶性壞死。脾腫大,脾竇及脾髓內充滿變形淋巴細胞,質脆、易出血,甚至破裂。淋巴結腫大,不形成膿腫,以副皮質區(T淋巴細胞)增生顯著。全身其它臟器如心肌、腎、腎上腺、肺、皮膚及中樞神經系統等均可有充血、水腫和淋巴細胞浸潤。
流行病學
本病分布廣泛,多呈散發性,亦可引起流行。病毒攜帶者和病人是本病的傳染源。經口密切接觸為主要傳播途徑,飛沫傳播雖有可能,但並不重要。發病以15~30歲的年齡組為多,6歲以下多呈不顯性感染。全年均有發病,似以晚秋初冬為多。一次得病後可獲較持久的免疫力。
併發症
(一)呼吸系統約30%患者可並發咽部細菌感染。5%左右患者可出現間質性肺炎。
(二)泌尿系統併發症部分患者可出現水腫、蛋白尿、尿中管型及血尿素氮增高等類似腎炎的變化,病變多為可逆性。
(三)心血管系統併發症並發心肌炎者約占6%,心電圖示T波倒置、低平及P-R間期延長。
(四)神經系統併發症可出現腦膜炎、腦膜腦炎、周圍神經病變,發生率約為1%。其它併發症有脾破裂、溶血性貧血、胃腸道出血、腮腺腫大等。
臨床表現
本症可能通過直接接觸和飛沫傳染。好發於兒童和青壯年。潛伏期成人為33~39天,兒童10天左右。起病緩慢。常有頭痛、乏力等前驅症狀。發熱為無定型,可以短暫微熱,也可高熱,體溫高達40~41℃,熱型為不規則性或稽留熱,可持續2周以上。少數不發熱。常伴有寒戰,肌肉酸痛或多汗。發病幾天后出現咽峽炎,表現瀰漫性膜性扁桃體炎,軟、硬齶聯合部可有出血點。淋巴結腫大,約見70%病例,全身淋巴結均可被累及。呈中等硬度、無壓痛,不粘連不化膿,消退緩慢。大約50%病例有中度脾腫大。也可累及肝臟。
少數出現神經系統、腎炎、肺炎、心肌炎及紫癜等症狀。10%~15%病人在發病後4~6天出現皮疹,通常為斑疹、斑丘疹、麻疹樣、蕁麻疹樣及猩紅熱樣皮疹。皮疹分布於軀幹、上肢、面、前臂及雙下肢。皮疹多在幾天內消退。病程數周。可以復發。有人提出慢性型病程為3個月至4年不等。
(一)發熱:高低不一,多在38~40℃之間。熱型不定。熱程自數日至數周,甚至數月。可伴有寒戰和多汗。中毒症狀多不嚴重。可呈弛張、不規則或稽留型,熱程自數日至數周。病程早期可有相對緩脈。
(二)淋巴結腫大:見於70%的患者。全身淋巴結皆可被累及,以頸淋巴結腫大最為常見,腋下及腹股溝部次之。胸廓、縱隔、腸系膜淋巴結偶亦可累及。直徑1~4cm,質地中等硬,分散,無明顯壓痛,不化膿、雙側不對稱等為其特點。消退需數周至數月。腸系膜淋巴結腫大引起腹痛及壓痛。
(三)咽痛雖僅有半數患者主訴咽痛,但大多數病例可見咽部充血,少數患者咽部有潰瘍及偽膜形成,可見出血點。齒齦也可腫脹或有潰瘍。喉和氣管的水腫和阻塞少見。
(四)肝脾腫大僅10%患者出現肝腫大,肝功能異常者則可達2/3。少數患者可出現黃疸,但轉為慢性和出現肝功能衰竭少見。50%以上患者有輕度脾腫大,偶可發生脾破裂。檢查時應輕按以防脾破裂。
(五)皮疹約10%左右的病例在病程1~2周出現多形性皮疹,為淡紅色斑丘疹,亦可有麻疹樣、猩紅熱樣、蕁麻疹樣皮疹,多見於軀幹部,一周內隱退,無脫屑。比較典型者為黏膜疹,表現為多發性針尖樣瘀點,見於軟、硬齶的交界處。
(六)神經系統症狀見於少數嚴重的病例。可表現為無菌性腦膜炎,腦炎及周圍神經根炎等。90%以上可恢復。神經系統極少被累及,表現為急性無菌性腦膜炎、腦膜腦炎、腦幹腦炎、周圍神經炎等,臨床上可出現相應的症狀。腦脊液中可有中等度蛋白質和淋巴細胞增多,並可見異常淋巴細胞。預後大多良好,病情重危者痊癒後也多不留後遺症。
本病的病程自數日至6個月不等,但多數為1~3周,偶有復發,復發時病程較短,病情也輕。少數病例的病程可遷延數月,甚至數年之久,稱之為慢性活動性EB病毒感染。
疾病檢查
一、實驗室檢查
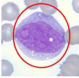
外周血象。血象改變是本病的重要特徵。早期白細胞總數多在正常範圍或稍低,發病1周后,白細胞總數增高,一般為(10—20)×109 /L,高者可達60×109 /L。單核細胞增多為主,占60%以上。異常淋巴細胞增多10%以上或其他絕對值超過1.0×109 /L時具有診斷意義,血小板計數常見減少,可能與病毒直接損傷及免疫複合物作用有關。
二、血清學檢查
(1)嗜異凝集試驗:嗜異性凝集試驗(heterophilagglutinationtest)是一標準的診斷性試驗,其原理為患者血清中常含有屬於IgM的嗜異性抗體可與綿羊或馬紅細胞凝集。該試驗在病程早期即呈陽性,約為40%,第二、三周陽性率分別可達60%及80%以上,恢復期迅速下降。正常人、血清病患者、淋巴網狀細胞瘤、單核細胞白血病及結核病等患者血清中也可出現嗜異性抗體,可用豚鼠腎和牛紅細胞吸收試驗加以鑑別,一般認為經豚鼠腎吸收後的滴定效價在1:64以上者具有診斷意義。嗜異性凝集試驗的陽性率達80%~90%,其原理是病人血清中常含有屬於IgM啫異性抗體,可和綿羊紅細胞或馬紅細胞凝集。抗體在體內持續的時間平均為2~5個月。較晚出現啫異性抗體者常常恢復較慢。少數病例(約10%)的嗜異性凝集試驗始終陰性,大多屬輕型,尤以兒童患者為多。
(2)EBV抗體檢測:用免疫螢光法和酶免疫吸附法檢測血清中VCAIgA和EAIgG,VCAIgM是新近EBV感染的標誌,EAIgG是近期感染或EBV複製活躍的標誌,均具有診斷價值。正常人、血清病患者以及少數患淋巴網狀細胞瘤、單核細胞白血病、結核病等患者,其嗜異性凝集試驗也可呈陽性結果(除血清病外,抗體效價均較低),但可用豚鼠腎和牛紅細胞吸收試驗加以鑑別。
(3)EBV抗原檢測:Southern印跡法可檢測整合的EBVDNA,原位雜交科確定口咽上皮細胞中EBV的存在聚合酶鏈反應可敏感、快速、特異地檢出標本中的EBVDNA。
診斷
診斷標準
傳染性單核細胞增多症是由EB病毒感染引起的傳染病,以發熱、咽痛、淋巴結腫大、脾腫大和外周血淋巴細胞增多並出現異型淋巴細胞為特徵。檢測血清抗EB病毒IgM陽性可確診。
成人傳染性單核增多症臨床表現多種多樣,可累及多個臟器,容易誤診和漏診,如由於早期有發熱、頭痛、扁桃體炎表現,易誤診為上感、化膿性扁桃體炎;當突出表現為淋巴結腫大、發熱時易誤診為淋巴結炎、淋巴瘤;當有乏力、納差、尿黃,化驗肝功轉氨酶明顯升高時易誤診為肝炎;當有發熱、頭痛、腎功能損害、血小板減少、白細胞總數升高時可誤診為流行性出血熱等;另外由於該病皮疹多種多樣,也可誤診為猩紅熱、風疹等,導致該病早期不能得到及時診治,病程延長,病情加重。
造成該病誤診的原因可能包括:(1)臨床醫生問診及查體不認真細緻,僅根據某些特點輕易得出結論。(2)有些醫生缺乏對本病的認識,既往工作中從未見過該病。(3)對外周血白細胞結果不仔細分析,僅看到總數的升高,未注意淋巴細胞比例。(4)檢驗科醫師對末梢血異型淋巴細胞認識不足,未能正確識別異型淋巴細胞。
因此,對於有發熱、淋巴結腫大、咽痛伴外周血淋巴細胞增多、有異型淋巴細胞、肝功損害的患者,應高度警惕傳染性單核細胞增多症,及時進行特異性檢查以明確診斷。
(一)流行病學資料應注意當地流行狀況,是否曾赴流行地區出差旅遊。周圍有無類似患者,以便協助診斷。
(二)臨床表現主要為發熱、咽痛、頸部及其它部位淋巴結腫大,肝脾腫大,多形性皮疹,但本病臨床表現變異較大,散發病例易誤診,尤其在無實驗室檢查條件的情況下,診斷困難較大。
鑑別診斷
巨細胞病毒病的臨床表現酷似本病,該病肝、脾腫大是由於病毒對靶器官細胞的作用所致,傳染性單核細胞增多症則與淋巴細胞增殖有關。巨細胞病毒病中咽痛和頸淋巴結腫大較少見,血清中無嗜異性凝集素及EB病毒抗體,確診有賴於病毒分離及特異性抗體測定。本病也需與急性淋巴細胞性白血病相鑑別,骨髓細胞學檢查有確診價值。兒童中本病尚需與急性感染性淋巴細胞增多症鑑別,後者多見於幼兒,大多有上呼吸道症狀,淋巴結腫大少見,無脾腫大;白細胞總數增多,主要為成熟淋巴細胞,異常血象可維持4~5周;嗜異性凝集試驗陰性,血清中無EB病毒抗體出現。此外本病尚應與甲型病毒性肝炎和鏈球菌所致的滲出性扁桃體炎鑑別。
動態變化
目的研究兒童傳染性單核細胞增多症(IM)不同時期外周血T細胞亞群CD3^+、CD4^+、CD8^+細胞的改變及其變化規律。方法在病程不同時期採集30例IM患兒的外周血,肝素抗凝,採用流式細胞術方法分別檢測了30例IM患兒急性期、病程1月、病程3月、病程6月及正常對照組外周血淋巴細胞CD3^+、CD4^+、CD8^+細胞表達率。結果1IM急性期CD4^+(14.84±5.03%)及CD4/CD8(0.25±0.13%)明顯降低,CD3^+(82.55±5.49%)、CD8^+(66.17±8.10%)明顯增高,與其餘各組比較均存在顯著性差異(P〈0.001)。
隨時間推移及感染的控制CD4^+及CD4/CD8細胞逐漸升高,但病程1月(CD4^+:27.89±6.04%,CD4/CD8:0.66±0.16%)與病程3月(CD4^+:29.49±4.49%,CD4/CD8:0.76±0.20%)比較無顯著性差異(P〉0.05),與病程6月(CD4^+:32.81±6.79%,CD4/CD8:0.93±0.31%)及對照組(CD4^+:65.04±6.50%,CD4/CD8:1.18±0.35%)比較,均存在顯著性差異(P〈0.001);3病程1月CD3^+(76.25±8.33%),CD8^+(46.35±9.43%)與病程3月CD3^+(71.20±5.32%),CD8^+(37.76±8.28%)、病程6月CD3^+(67.98±8.01%),CD8^+(33.96±7.37%)及對照組CD3^+(65.04±6.50%),CD8^+(30.72±16.51%)比較均存在顯著性差異(P〈0.001);
實驗各組病程3月與病程6月CD3^+、CD4^+、CD8^+及CD4^+/CD8^+比較均無顯著性差異(P〉0.05),但3月組與對照組比較均存在顯著性差異(P〈0.01);5實驗各組病程病程6月CD3^+、CD4^+、CD8^+及CD4^+/CD8^+與對照組比較均無顯著性差異(P〉0.05)。結論IM急性期CD3^+、CD8^+明顯增高,CD4^+及CD4/CD8明顯降低,隨著時間推移及感染控制,CD3^+、CD8^+逐漸降低,CD4^+及CD4/CD8逐漸增高,6月CD3、CD4、CD8的表達及CD4^+/CD8^+達正常水平。
中醫概念
辯證分型
1、外感風邪症狀:咳嗽流涕,咽紅疼痛,乳蛾腫大,上有白糜,身熱起伏,噁心,腹部不適,舌苔白,脈浮數。證候分析:外感時邪疫毒,首先犯肺,肺失宣肅,故咳嗽流涕。邪熱循經上熏,故乳蛾腫大,上有白糜。邪正交爭,營衛不和,故身熱起伏。進而邪毒犯胃,故見噁心,腹部不適。苔白,脈浮數,均示病邪尚在表。
2、陰虛火旺症狀:身熱不解,口渴引飲,食欲不振,低熱盜汗,肝脾腫大,舌質暗紅,苔薄白,脈細。
證候分析:邪毒內盛,傷及陰分,故身熱不解,口渴引飲。陰虛內熱,則低熱盜汗。熱灼血脈,血瘀不行,故見肝脾腫大。
3、熱毒熾盛症狀:壯熱不退,口渴煩躁,皮下出血,或見血尿,舌質紅,苔黃,脈數。
證候分析:熱毒熾盛於內,故壯熱不退,口渴引飲。內擾神明,故煩躁不寧。邪熱迫血妄行,外溢肌膚,內滲下焦,則皮下出血或血尿。舌質紅,苔黃,脈數為熱毒熾盛之象。
4、濕熱蘊積症狀:面目發黃,噁心嘔吐,納呆食少,大便不實,肝脾腫大,苔白膩,脈儒數。
證候分析:稟賦不足,脾虛生濕,復感外邪疫毒,兩者相合,濕熱作祟,濕熱蘊結肝膽,肝失條達,膽汁外溢,故兩目發黃。肝木侮脾,故噁心嘔吐,納果食少,大便不實。濕熱耗傷陰血,血瘀不行,則肝脾腫大。苔白膩,脈儒數,為濕熱之象。
分型治療
1、外感風邪治則:疏風清熱利咽。主方:銀翹散加減。
加減:乳蛾白點,加射干10克、馬勃6克;身熱起伏,加白薇10克、知母10克。
主方分析:本證屬外感時邪熱毒,病尚在表,銀翹散疏風清熱利咽,以清解邪毒。
處方舉例:
銀花10克連翹10克板藍根30克柴胡6克黃芩10克白花蛇舌草15克茅根30克赤芍10克丹皮10克甘草6克
2、陰虛火旺治則:養陰清熱。
主方:當歸六黃湯加減。
加減:盜汗,加牡蠣30克(先煎)、五味子6克;口渴,加蘆根30克、石斛10克;肝脾腫大,加鱉甲煎丸10克(包煎)。
主方分析:本證為熱毒傷陰,陰虛火旺之證,究其本,重在清熱,故用黃芩、黃連、黃柏清三焦之熱,配以生地、熟地、玄參以滋養陰分,加以當歸、黃芪養血益氣,共奏養陰清熱之功。
處方舉例:
當歸10克黃連3克黃柏10克熟地10克五味子6克生地10克黃芩10克黃芪10克玄參10克甘草6克
3、熱毒熾盛治則:清熱解毒,涼血止血。
主方:清營湯加減。
加減:皮下出血,加赤芍10克、丹皮10克;血尿,加大小薊草各10克、茅根30克。
主方分析:本方為時邪熱毒深入營分,迫血妄行,故以清營湯清熱涼血止血。方用犀角、生地黃清熱涼血;銀花、連翹清熱解毒;黃連、竹葉情心瀉火;丹參清心涼血、活血散瘀;加玄參、麥冬養陰生津。
處方舉例:
水牛角30克(先煎)生地10克玄參10克竹葉6克銀花10克連翹10克黃連3克丹參10克麥冬10克甘草6克
4、濕熱蘊積治則:清熱利濕。
主方:甘露消毒丹加減。
加減:肝脾腫大,加鱉甲15克、丹參10克;噁心嘔吐,加姜竹茹6克、姜半夏10克。
主方分析:本證起因為濕熱蘊積,病勢纏綿,當用甘露消毒丹清熱利濕辟穢。方用黃芩、連翹、射干、貝母清熱解毒化痰;藿香、豆蔻、石菖蒲芳香化濕濁;滑石、木通、茵陳清利濕熱;薄荷辛涼透達;射於清利咽喉。
處方舉例:
茵陳10克山梔10克黃芬芩克石菖蒲10克澤瀉10克木通10克連翹10克蔻仁6克(後下)藿香10克甘草6克
治療措施
本病的治療為對症性,疾病大多能自愈。急性期特別是並發肝炎時應臥床休息。抗生素對本病無效,僅在咽部、扁桃體繼發細菌感染時可加選用,一般以採用青黴素G為妥,療程7~10天。若給予氨苄青黴素,約95%患者可出現皮疹,通常在給藥後1周或停藥後發生,可能與本病的免疫異常有關,故氨苄青黴素在本病中不宜使用。
有認為甲硝唑及氯林可黴素對本病咽峽炎症可能有助,提示合併厭氧菌感染的可能,但氯林可黴素亦可導致皮疹。腎上腺皮質激素對咽部及喉頭有嚴重病變或水腫者有套用指征,可使炎症迅速消退,及時套用尚可避免氣管切開。激素也可套用於有中樞神經系統併發症、血小板減少性紫癜、溶血性貧血、心肌炎、心包炎等。
應隨時警惕脾破裂發生的可能,及時確診,迅速補充血容量,輸血和進行脾切除,常可使患者獲救。
阿昔洛韋(Acyclovir)及其衍生物在體外試驗中有拮抗EB病毒的作用,但此類藥物不必常規地套用於一般的傳染性單核細胞增多症患者,惟有伴口腔毛白斑病的愛滋病者以及有充分證據說明是慢性進行性EB病毒感染者可考慮套用此類製劑。
預防措施
目前尚無有效預防措施。急性期患者應進行呼吸道隔離。其呼吸道分泌物及痰杯套用漂白粉或煮沸消毒。因病毒血症可長達數月,故病後至少6個月不能參加獻血。疫苗尚在研製中。

