方法簡介
革蘭氏染色法是細菌學中廣泛使用的一種鑑別染色法,這種染色法是由一位丹麥醫生 漢斯·克里斯蒂安·革蘭(Hans Christian Gram,1853年-1938年)於1884年所發明,最初是用來鑑別肺炎球菌與克雷白氏肺炎菌之間的關係。
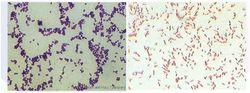
陽性紫色陰性紅色 未經染色之細菌,由於其與周圍環境折光率差別甚小,故在顯微鏡下極難觀察。染色後細菌與環境形成鮮明對比,可以清楚地觀察到細菌的形態、排列及某些結構特徵,而用以分類鑑定。
相關
致病菌與抗菌藥選擇
革蘭氏陽性菌:葡萄球菌屬(主要是金黃色葡萄球菌、表皮葡萄球菌等)、鏈球菌屬(肺炎鏈球菌、草綠色鏈球菌、腸球菌等)、白喉桿菌、炭疽桿菌、破傷風桿菌、蠟樣芽孢桿菌等,其中,金黃色葡萄球菌、腸球菌等為臨床重要的病原菌
革蘭氏陽性菌通常對青黴素類、第一(或第二)代頭孢菌素、萬古黴素、克林黴素等高度敏感,但是因為抗生素的濫用,MRSA/MRSE、VRSA/VISA、PISP/PRSP、VRE等多重耐藥菌已經嚴重威脅著人類的生命,這些細菌感染時,可以考慮使用萬古黴素、共殺素(奎奴普丁/達福普丁)、利奈唑胺、達托黴素、泰利黴素、夫西地酸(建議與耐酶的青黴素類或利福平聯用)等。另外,CNS(凝固酶陰性葡萄球菌)等細菌也要引起足夠等重視。
革蘭氏陰性菌:埃希氏菌屬、枸櫞酸菌屬、假單胞菌屬(綠膿桿菌等)、莫拉菌屬(卡他莫拉菌等)、奈瑟菌屬(淋球菌、腦膜炎雙球菌等)、不動桿菌屬(鮑曼不動桿菌、羅菲不動桿菌等)、克雷伯菌屬(主要是肺炎克雷伯桿菌)、沙門氏菌屬、志賀氏菌屬(痢疾桿菌等)、黃桿菌屬、變形桿菌屬、軍團菌屬、耶爾森菌屬、嗜血桿菌屬(杜克雷嗜血桿菌、流感嗜血桿菌等)、產氣桿菌屬、霍亂弧菌、陰溝腸桿菌等。革蘭氏陰性菌在院內感染中的細菌感染中占了大約65%,且大多菌株容易對抗菌藥物耐藥,產生“新德里金屬酶”(NDM-1)的絕大多數細菌都是革蘭氏陰性菌(主要是大腸桿菌、鮑曼不動桿菌和肺炎克雷伯桿菌)。
革蘭氏陰性菌對第三代頭孢菌素(頭孢他啶、頭孢噻肟、頭孢曲松等)、氨基糖苷類(慶大黴素、妥布黴素等)、抗假單胞菌屬的青黴素類(哌拉西林、替卡西林、羧苄西林等)、多粘菌素等高度敏感,對頭黴素類和第二代頭孢菌素也較敏感,但是,MDR-AB/PDR-AB、PDR-PA等多重耐藥菌給臨床用藥帶來過很大的困難。多粘菌素、碳青黴烯類(亞胺培南、美羅培南等)、替加環素等可以用於多重耐藥菌等治療,但要慎用,否則很可能會到無藥可醫的地步(綠膿桿菌和鮑曼不動桿菌的一些菌株甚至已經對碳青黴烯類有耐藥性)。值得注意的是,頭孢哌酮/舒巴坦、哌拉西林/他唑巴坦、替卡西林/克拉維酸、氧頭孢烯類(拉氧頭孢、氟氧頭孢等)對某些多重耐藥菌也有特效,比如產ESBLs或AmpC酶的菌株,可以考慮與其他抗菌藥物(磷黴素等)聯用,另外,多西環素和多粘菌素聯用時,幾乎對所有對細菌都有協同抗菌作用,也可考慮。
根據細菌的革蘭氏染色性質,可以縮小鑑定範圍,有利於進一步分離鑑定,以對疾病做出診斷。又由於各種抗生素的抗菌譜不同,革蘭氏染色尚可做為選用抗生素的參考。
實驗方法
步驟
革蘭氏染色法一般包括初染、媒染、脫色、復染等四個步驟,具體操作方法是:
1)塗片固定。
2)草酸銨結晶紫染1分鐘。
3)蒸餾水沖洗。
4)加碘液覆蓋塗面染約1分鐘。
5)水洗,用吸水紙吸去水分。
6)加95%酒精數滴,並輕輕搖動進行脫色,20秒後水洗,吸去水分。
7)蕃紅染色液(稀)染1分鐘後,蒸餾水沖洗。乾燥,鏡檢。
原理
通過結晶紫初染和碘液媒染後,在細胞壁內形成了不溶於水的結晶紫與碘的複合物,革蘭氏陽性菌由於其細胞壁較厚、肽聚糖網層次較多且交聯緻密,故遇乙醇或丙酮脫色處理時,因失水反而使網孔縮小,再加上它不含類脂,故乙醇處理不會出現縫隙,因此能把結晶紫與碘複合物牢牢留在壁內,使其仍呈紫色;而革蘭氏陰性菌因其細胞壁薄、外膜層類脂含量高、肽聚糖層薄且交聯度差,在遇脫色劑後,以類脂為主的外膜迅速溶解,薄而鬆散的肽聚糖網不能阻擋結晶紫與碘複合物的溶出,因此通過乙醇脫色後仍呈無色,再經沙黃等紅色染料復染,就使革蘭氏陰性菌呈紅色。
染色的差異主要是由於陰性與陽性細菌細胞壁的差異所引起的。
①革蘭氏陽性細菌的細胞壁
G+細菌細胞壁具有較厚(20-80nm)而緻密的肽聚糖層,多達50層,占細胞壁成分的40%~95%,它同細胞膜的外層緊密相連(圖2-9)。有的G+細菌細胞壁中含有磷壁酸(teichoic-acid),也稱胞壁質(murein),它是甘油和核糖醇的聚合物,磷壁酸通常以糖或胺基酸的酯而存在。由於磷壁酸帶負電荷,它在細胞表面能調節陽離子濃度。磷壁酸與細胞生長有關,細胞生長中有自溶素(autolysins)酶類起作用,磷壁酸對自溶素有調節功能,阻止胞壁過度降解和壁溶。
如果細胞壁的肽聚糖層被消溶,G+細胞成為原生質體(protoplasts),細胞壁不復存在,而只存留細胞膜。除鏈球菌外,大多數G+細菌細胞壁中含極少蛋白質。
②革蘭氏陰性細菌的細胞壁 G—細菌細胞壁比G+細菌細胞壁薄(15~20nm)而結構較複雜,分外膜(outer membrane)和肽聚糖層(2~3nm)(圖2-10)。在細胞壁和細胞質膜之間有一個明顯的空間,稱為壁膜間隙(periplasmic space)。
外膜 G—細菌細胞壁外膜的基本成分是脂多糖(lipopolysaccharide,LPS),它同細胞質膜相同之處也是雙層類脂,但除磷脂外還含有多糖和蛋白質。
LPS的多糖部分包括核心多糖和O-特異多糖。O-特異多糖由重複分支的碳水化合物分子組成,含有已糖(葡萄糖、半乳糖和鼠李糖)和二脫氧已糖。由於糖的種類不同,使各種G—細胞具有不同特性的LPS。核心多糖(core polysaccharide)的主要組分是酮脫氧辛酸(ketodeoxyoctonate, KDO)。
外膜中還含有幾種蛋白,如脂蛋白、通透蛋白。有些蛋白具有通孔作用(porin),調控外界分子進入細胞;有的蛋白分子可以作為噬菌體的受體;許多G—細菌對高等生物有致病性是由LPS的成分決定的,它的毒性組分常稱為內毒素(endotoxins)。
肽聚糖層 G—細菌細胞壁的肽聚糖層很薄,在大腸桿菌和其它細菌中僅有單
層。肽聚糖層和外膜的內層之間通過脂蛋白連線起來。
壁膜間隙 G—細菌細胞壁的外膜與細胞質膜之間存在明顯的壁膜間隙,一層薄的肽聚糖處於其間,肽聚糖層和細胞質膜之間的間隙較寬,肽聚糖層至外膜之間的間隙較窄。大腸桿菌的壁膜間隙寬度為12~15nm,呈膠腖態。其間含有三類蛋白質:水解酶,催化食物的初步降解;結合蛋白,啟動物質轉運過程;化學受體(chemoreceptors),在趨化性中起作用的蛋白。
染色結果
革蘭氏陽性菌呈藍紫色,革蘭氏陰性菌呈紅色。
臨床意義
其重要的臨床意義在於:1.鑑別細菌 2.選擇藥物 3.與致病性有關:革蘭氏陽性菌能產生外毒素,革蘭氏陰性菌能產生內毒素;而內毒素主要是指革蘭氏陰性菌胞壁成分中的脂多糖,兩者的致病作用不同。
特性
革蘭氏染色屬復染法,即將標本固定後,先用龍膽紫染色,加碘液媒染後用酒精脫色,再用蕃紅復染。染色後除可以看到細菌形態外,還可將細菌分為兩大類,即不被酒精脫色而保留紫色者為革蘭氏陽性菌(G+)。被酒精脫色復染成紅色者為革蘭氏陰性菌(G-)。革蘭氏染色原理尚不肯定,可能與細菌所帶核糖核酸、細菌壁結構通透性、等電點等因素有關。致病菌如金黃色葡萄球菌、綠色溶血性鏈球菌、肺炎球菌、白喉桿菌、碳疽桿菌等屬革蘭氏染色陽性菌。百日咳桿菌、大腸桿菌、傷寒桿菌、痢疾桿菌、霍亂弧菌、流行性腦膜炎雙球菌、淋病雙球菌等均屬革蘭氏陰性。
鑑定原理
革蘭氏染色 該染色法所以能將細菌分為G+菌和G-菌,是由這兩類菌的細胞壁結構和成分的不同所決定的。G-菌的細胞壁中含有較多易被乙醇溶解的類脂質,而且肽聚糖層較薄、交聯度低,故用乙醇或丙酮脫色時溶解了類脂質,增加了細胞壁的通透性,使初染的結晶紫和碘的複合物易於滲出,結果細菌就被脫色,再經蕃紅復染後就成紅色。G+菌細胞壁中肽聚糖層厚且交聯度高,類脂質含量少,經脫色劑處理後反而使肽聚糖層的孔徑縮小,通透性降低,因此細菌仍保留初染時的顏色,呈現藍紫色。
實驗流程
1、 取載玻片用紗布擦乾,載玻片的一面用marker筆畫一個小圈(用來大致確定菌液滴的位置)。塗菌的部位在火焰上烤一下,除去油脂。
2、 塗片:
液體培養基:左手持菌液試管,在酒精燈火焰附近5cm左右打開管蓋;右手持接種環在火焰中燒灼滅菌,等冷卻後從試管中沾取菌液一環,在潔淨無脂的載玻片上塗直徑2mm左右的塗膜,最後將接種環在火焰上燒灼滅菌。
固體培養基:先在載玻片上滴一滴無菌水,再用接種環取少量菌體,塗在載玻片上,使其薄而均勻。
3、 晾乾:讓塗片在空氣中自然乾燥。
4、 固定:讓菌膜朝上,通過火焰2-3次固定(以不燙手為宜)。
5、 染色:將固定過的塗片放報紙上,滴加草酸銨結晶紫液,染1min。
6、 水洗:用水緩慢沖洗塗片上的染色液,用吸水紙吸乾。簡單染色結束可觀察細胞形態。
7、 媒染:滴加1滴碘液,染1min,水洗。
8、 脫色:吸去殘留水,連續滴加95%乙醇脫色20-30s至流出液無紫色,立即水洗。
9、 復染:滴加蕃紅復染3-5min,水洗。至此,革蘭氏染色結束。
可能誤差
在實驗中經常會出現假陽性和假陰性的結果,假陽性主要是由於脫色不完全,可能是由於塗片過厚,或者是結晶紫染色過度,導致脫色不完全。假陰性可能是因為細胞固定過度,造成細胞壁通透性的改變,而出現假陰性結果;另外,細胞培養時間太長,可能已經有部分細胞發生死亡或者自溶,也導致細胞壁通透性的改變而出現假陰性結果。

