疾病描述
此型結核在臨床表現可輕可重,輕者可無症狀,偶可體檢時,作胸透時才被發現;重者可有結核中毒症狀,如長期低熱,輕咳,食欲不振,消瘦等,多見年齡較大兒童;再有表現為急性發病,多見於嬰幼兒,突然高熱持續2~3周,偶爾低熱,但一般情況尚可,也可伴結核中毒症狀。如腫大的淋巴結壓迫氣管、支氣管,可有陣發性咳嗽或哮喘性呼吸困難。體格檢查肺部可無陽性體徵,可僅有全身淺表淋巴結腫大。血常規檢查:白細胞計數或可增加,核左移。血沉增快。痰細菌培養有時陽性。結核菌素試驗大都強陽性。X線檢查:原發綜合徵可見雙極啞鈴狀徵象;支氣管淋巴結核,可見肺門淋巴結腫大,或伴肺門炎性浸潤。症狀體徵
原髮型肺結核病理體檢可見周圍淋巴結不同程度腫大,肺部體徵可不明顯,與肺內病變不一致。胸片呈中到重度肺結核病變者,50%以上可無體徵。如原發病灶較大,叩診呈濁音,聽診呼吸音減低或有少許乾濕羅音。嬰兒可伴肝臟腫大。
病發病因
原髮型肺結核1、傳染源
開放性肺結核 患者是主要傳染源,正規化療2—4周后,隨著痰菌排量減少而傳染性降低。
2、傳播途徑
呼吸道為主要傳染途徑,小兒吸入帶結核菌的飛沫或塵埃後即可引起感染,形成肺部原發病灶,少數經消化道傳染者,產生咽部或腸道原發病灶,經皮膚或胎盤傳染者少見。
3、易感人群
生活貧困、居住擁擠、營養不良、社會經濟落後等是人群結核病高發的原因,新生兒對結核菌非常易感,兒童發病與否主要取決於:
(1)結核菌的毒力及數量。
(2)機體抵抗力的強弱:患麻疹、百日咳及白血病、淋巴瘤或愛滋病等小兒免疫功能受抑制和接受免疫抑制集治療者尤其好髮結核病。
(3)遺傳因素:與本病的發生有一定關係,但卵雙胎兒結核病的一致性明顯高於雙卵雙胎兒,亞洲人種(主要為菲律賓)發病率最高,白人最低,身材瘦長者較矮胖感。另外,經研究發現組織相容向性抗原與結核病密切相關,特別是有HLA—BW35抗原者發生結核病的危險性比一般小兒高7倍。
病理生理
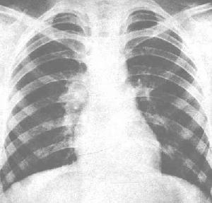
原髮型肺結核圖像典型的原發綜合徵呈“雙極”病變,即一端為原發病灶,一端為腫大的肺門淋巴結,由於小兒機體處於高度過敏狀態,使病灶周圍炎症甚廣泛,原發病灶範圍擴大到一個肺甚至一葉,小兒年齡愈小,此種大片性病變愈明顯。引流淋巴結腫大多為單側,但亦能有關對側淋巴結受累者。
原髮型肺結核的病理轉歸如下:
1、吸收好轉
病變完全吸收,鈣化或硬結(隱伏或痊癒)此種轉歸最常見,出現鈣化表示病變至少已有6—12個月。
2、進展
①原發病灶擴大,產生空洞,②支氣管淋巴結周圍炎,形成淋巴結支氣管瘺,導致支氣管內膜結核或乾酪性肺炎,③支氣管淋巴結腫大,造成肺不張或阻塞性肺氣腫,④結核性胸膜炎。
3、惡化
血行播散,導致急性粟粒性肺結核或全身性粟粒性結核病。
診斷檢查
診斷早期診斷很重要,應結合病史、臨床表現及其有關檢查進行綜合分析。
1、病史
應詳細詢問臨床症狀和卡介苗接種史,結核接觸史及有關麻疹或百日咳等傳染病既往史。
2、體格檢查
應注意檢查雙上臂有無卡介苗接種後疤痕,若發現眼皰疹性結膜炎、皮膚結節性紅斑者,活動性結核病可能性較大。
3、結核菌素試驗
為簡便試用的診斷方法,結核菌素實驗2呈強陽性或由陰性轉為陽性者,應作進一步檢查。
4、X線檢查
對確定肺結核病灶的性質、部位、範圍及其發展決定治療方案等具有重要作用,是診斷小兒肺結核的重要方法之一。最好同時作正、側位胸片檢查,對發現腫大淋巴結或靠近肺門部位的原發病灶,側位片有不可忽視的作用。
(1)原發綜合徵:肺內原發灶大小不一。局部炎性淋巴結相對較大而肺部的初灶相對較小是原病性肺結核的特徵。嬰幼兒病灶範圍較廣,可占據一肺段甚至一肺葉,年長兒病灶周圍炎症較輕,陰影範圍不大,多呈小圓形或小片狀影,部分病例可見局部胸膜病變。小兒原髮型肺結核在X線胸片上呈現典型啞鈴狀及雙極影者已少見。
(2)支氣管淋巴結結核:是小兒原髮型肺結核X線胸片最為常見者。分三種類型:①炎症型:淋巴結周圍肺組織的滲出性驗炎性浸潤,呈現從肺門向外擴展的密度增高陰影,邊緣模糊,此為肺門部腫大淋巴結陰影,②結節型:表現為肺門區域圓形或卵圓形緻密陰影,邊緣清楚、突向肺野,③微小型:是逐漸被重視的一型,其特點是肺紋理紊亂,肺門形態異常,肺門周圍呈小結節狀及小點片狀模糊陰影,此型應緊密結合病史、臨床表現及其他有關檢查等分析,以免漏診。CT掃描可顯示縱隔和肺門淋巴結腫大,對疑診肺結核但胸部平片正常病例有助於診斷。
5、纖維支氣管鏡檢查
結核病變蔓延至支氣管內造成支氣管結核,纖維支氣管鏡檢查可見到以下病變:①腫大淋巴結壓迫支氣管致管腔狹窄,或與支氣管壁粘連固定,以致活動受限②黏膜充血、水腫、炎性浸潤、潰瘍或肉芽腫,③在淋巴結穿孔前期,可見突入支氣管腔的腫塊,④淋巴結穿孔形成淋巴結支氣管瘺,穿孔口呈火山樣突起,色澤紅而有乾酪樣物質排出。
檢查
1、結核桿菌檢查
從痰、胃液、(嬰幼兒可抽取空腹胃液)腦脊液、漿膜強也中找到結核桿菌是重要的確診手段。採用厚塗片或螢光染色法檢查結核桿菌的陽性率較高。BACTEC系統為一標準化培養系統,其主要原理為測定分支桿菌的代謝產物,結核桿菌陽性培養時間需2周左右,可用於鑑別結核菌群與非典型分支桿菌。
結核桿鶯型是結核桿菌的形態、結構、染色等方面的一種變異型。可引起無反應性結核病,易通過胎盤感染胎兒,治療效果不佳,此型結核桿菌抗酸染色不易被發現,常規方法難於培養,故建立L型菌培養分離技術對結核病的診斷有重要實用價值。
2、免疫學診斷及分子生物學診斷
(1)酶聯免疫吸附試驗(ELISA):用於檢測結核病人血清、漿膜腔液、腦腦脊液等的抗結核桿菌抗體,可作為結核病輔助無診斷指標之一。該項診斷關鍵在於所用抗原應具有特異性和強的免疫原性,近十多年來純化抗原有了較大進展,提高了診斷的可靠性。
(2)酶聯免疫電泳技術(ELIEP):是將ELISA無與電泳結合起來的一項免疫技術,是對各種結核性疾病較為可靠的血清學診斷方法。
(3)DNA探針:用基因探針技術和分支桿菌DNA放大和雜交技術。能快速檢測結核桿菌。
(4)聚合酶鏈式反應(PCR):選擇地擴增對結核桿菌複合物有特異性的MP—B64蛋白質的編碼基因片斷,以快速診斷結核病。臨床套用的最大問題是假陽性和假陰性,關鍵在於試劑的標準化、操作的規範化及建立質控管理體系。
(5)線條DNA探針雜交實驗:將不同寡聚核苷酸探針固定在硝酸纖維膜上,與PCC擴增產物雜交反應。以診斷多耐藥結核病(MDR—TB)。
3、血沉
多增快,結合臨床表現X線檢查可協助判斷結核病的活動性。
治療方案
一般治療及治療原則見總論,抗結核藥物的套用如下:1、 無明顯症狀的原髮型肺結核
選用標準療法,每日服用INH、RFP和(或)EMB,療程9—12個月。
2、 活動性原病型肺結核
宜採用直接督導下短程化療(DOTS)。強化治療階段宜用3—4種殺菌藥:INH、RFP、PZA或SM,2—3個月後以INH、RFP或EMB鞏固維持治療,常用方案為2HRZ/4HR。
判斷小兒結核病具有活動性的參考指標為:①結核菌素試驗強陽性,②未接種卡介苗且<3歲,尤其是<1歲嬰兒結核菌素試驗陽性者,③有發熱劑其他結核中毒症狀者,④排出物中找到結核菌,⑤胸部X線檢查示活動性原髮型肺結核改變者,⑥血沉加快而無其他原因解釋者,⑦纖維支氣管鏡檢查有明顯支氣管結核病變者。
溫馨提示
1、多見於兒童及初染結核者;2、控制傳染源、切斷傳染途徑及增強免疫力、降低易感染等,是控制結核病的基本原則;
3、卡介苗可保護未受感染者,使受感染後不易發病,即使發病也易癒合;
4、有效化學藥物治療(化療)對已患病者,能使痰菌較快陰轉,但在其陰轉之前,尚須嚴格消毒隔離,避免傳染;
5、接種卡介苗。
新生兒及兒童疾病
| 孩子是未來的希望,他們成長的腳步是父輩殷切關注的,一旦有個頭疼發熱就是揪緊了父母的心。了解新生兒和兒童常見疾病,安心陪伴孩子健康成長。 |
