病因
顱內血管模式圖創傷性顱內出血都隨出生體重增大而增加,在極低體重兒的難產中顱內出血仍是以損傷性為主,而自然分娩中則缺氧性為主,難產中損傷比例明顯高於自然分娩。從出生體重分析,發生顱內出血的基本規律是體重越小,缺氧性的越多,越大則損傷性的越多,缺氧越重越易損傷。由於新生兒出生第1周內凝血因子減少,有出血趨向,可加重顱內出血的程度和後果。少數病例是因維生素K缺乏、顱內血管瘤破裂和快速靜注碳酸氫鈉或擴溶劑等的醫源性出血所引起。
病理改變
所有的腦部缺氧病變都是依向心性發展,早產兒最易因低氧導致毛細血管損傷,而胎齡越小室管膜下生髮層組織的原始神經細胞和僅有一層內皮細胞的血管越豐富,這些小血管缺乏結締組織支持,且呈特有的U型血流方向,對
硬腦膜硬腦膜下出血主要由產傷引起的小腦幕或大腦鐮撕裂,大腦大靜脈或大腦上靜脈破裂,血液匯集於腦底部可壓迫延腦,促致死亡。頂骨、枕骨鱗部和顱底骨折常傷及腦神經並伴硬腦膜下出血。
硬腦膜外出血很少見,主要是產鉗使顱骨內板與硬腦膜分離時腦膜中動脈破裂所致。
臨床分型
本病按出血原因類型、部位和數量的不同,臨床表現可以相差懸殊不典型病例的神經系統症狀常常被呼吸功能紊亂、呼吸不規則所遮蓋。
腦室結構②原發性蛛網膜下腔出血 原發部位在蛛網膜下腔內不包括硬膜下、腦室內或小腦等部位出血後向蛛網膜下強擴展,此種出血類型在新生兒十分常見尤其是早產兒。SAH與缺氧、酸中毒產傷有關。由於出血原因為缺氧引起毛細血管內血液外滲,而肺靜脈破裂故大多數出血量少,無臨床症狀,預後良好部分典型病例表現為生後第2天抽搐,但發作間歇表現正常,極少數病例大量出血常於短期內死亡主要的後遺症為交通性或阻塞性腦積水。
新生兒顱內出血模式圖④膜下出血 是產傷性顱內出血最常見的類型多見於足月巨大兒,近年來由於產科技術提高,其發生率已明顯下降出血量少者可無症狀,出血明顯者一般在出生 24小時候出現驚厥,偏癱和斜視等神經系統症狀。嚴重的天幕、大腦鐮刀撕裂和大腦便淺靜脈破裂可在出生後數小時內死亡也有在新生兒期症狀不明顯,而至數月後發生慢性硬腦膜下積液。
⑤腦出血 包括原發性小腦出血腦室內或蛛網膜下腔出血擴散至小腦,靜脈出血性梗死,及產傷引起小腦撕裂4類型多見於胎齡小於32周、體重低於 1500g的早產兒,或有殘傷史的足月兒嚴重者除一般神經系統症狀外主要表現為腦幹症狀,如頻繁呼吸暫停、心動過緩等可在短時間內死亡,預後較差,尤其是早產兒。
臨床表現
極度嚴重者可死於產程中或生後僅有微弱心跳,雖經積極復甦,最後仍告無效。
新生兒顱內出血
顱內出血導致內分泌改變小腦幕下出血表現為腦幹受壓,呼吸循環障礙,病情較重,大腦出血表現為興奮尖叫、激惹和驚厥,硬腦膜下出血輕症可無症狀,重者可有偏癱、局限性抽搐,顱窩下血腫或小腦出血表現為延髓受壓,病情進展很快。
總的來說本病按出血原因、類型、部位和數量的不同,臨床表現可以相差懸殊,不典型病例的神經系統症狀常常被呼吸功能紊亂、呼吸不規則所遮蓋。
併發症
瞳孔對光反射2.存活者常有神經系統後遺症。
診斷
紅細胞皺縮2.臨床表現常無興奮過程,而抑制症狀明顯,如拒奶、嗜睡、反應低下、肌張力低下、擁抱反射消失。經常出現陣發性呼吸節律不整及呼吸暫停,伴發紺。晚期出現驚厥及昏迷。面色蒼白、前囪膨隆、雙眼凝視、瞳孔不等或散大固定、光反射消失。
3.輔助檢查
新生兒顱內出血(2)腦脊液:蛛網膜下腔及腦室內出血,腦脊液呈血性,鏡檢可見皺縮紅細胞。
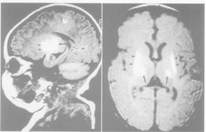
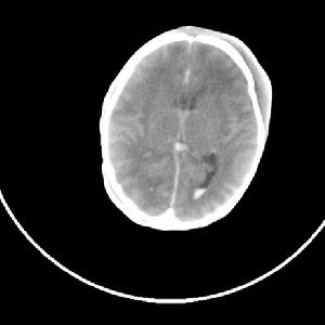
(3)其它:如動態觀察前囪及頭圍的變化,顱透照、頭顱B超及CT檢查等均可根據需要檢測。CT可精確了解病變類型、部位、出血程度,對預後做出估價,具體分度為:Ⅰ度:腦室管膜下出血;Ⅱ度:腦室出血不伴腦室擴張,以上90%存活;Ⅲ茺:腦室出血伴腦室擴張;Ⅳ充:腦室出血伴腦實質出血,其病死率50%。
鑑別診斷
新生兒顱內出血治療
新生兒顱內出血2.對症處理,煩躁不安、抽搐可促使出血加重,應給氯丙嗪每次2mg/kg和苯巴比妥鈉每次5~8mg/kg交替肌注,第3~4小時一次。症狀控制後逐漸減量。亦可用負荷量苯巴比妥鈉20mg/kg靜注,以後用維持量2.5mg/kg每12小時一次。如與安定配合,止痙效果更好。如囪門飽滿顱壓明顯增
人工呼吸機對於給氧仍有青紫,呼吸微弱、不規則者,需輔以人工呼吸機、並注意糾正酸中毒,維持良好灌注。
有硬腦膜下血腫時,可多次作硬腦膜下穿刺加液,如3周后積液不乾,可手術摘除積液囊。
3.保護腦組織可給細胞色素C,輔酶A和ATP加入10%葡萄糖液中靜滴,持續1~2周。此外,谷氨酸、r-氨酪酸,維生素B6、胞二磷膽鹼、腦活素,腦復康可能對腦細胞功能恢復有幫助。
4.預防感染可給抗生素。
預後
首先要診斷明確。輕型顱內出血幾乎全部存活,後遺症0~10%;中型死亡率5%~15%,後遺症15%~25%;重型死亡率達50%~65%,後遺症65%~100%。常見的後遺症有腦積水,腦穿通性囊變,運動和智力障礙、四肢癱瘓、癲癇、肌張力低下等。
預防
孕婦對<1500g的未成熟兒生後6小時內可用苯巴比妥降低腦代謝率、清除自由基、減少腦血流量,抑制血壓急劇上升。
對於母乳餵養者應指導乳母多吃綠葉蔬苯及新鮮水果。對經常腹瀉服抗生素者應給維生素K50~100μg/天,或每月注射維生素K1mg,患阻塞性黃疸或嬰兒肝炎者,應給維持素K1缺乏所致的顱內出血。
新生兒及兒童疾病
| 孩子是未來的希望,他們成長的腳步是父輩殷切關注的,一旦有個頭疼發熱就是揪緊了父母的心。了解新生兒和兒童常見疾病,安心陪伴孩子健康成長。 |
醫學疾病—兒科
| 小兒不同於成人,不論在解剖、生理、病理、免疫等方面,或是在疾病的生生,發展、臨床表現以及診斷、防治等方面,都有許多與成人不同的特點。且隨著年齡的增長,按一定的規律不斷地變化,是一個動態的過程。兒科疾病有很多種,本任務包含兒科57種疾病,是兒科大部分疾病。 |

