症狀
1.多在上感、肺炎、敗血症後發生。
小兒化膿性腦膜炎2.發病急,常有發熱、頭痛、嘔吐、煩躁不安、嗜睡甚至驚厥或昏迷。有腦膜刺激征及顱內壓增高的表現,如頻繁嘔吐、心率減慢、血壓升高、瞳孔變化甚至可發生腦疝而致中樞性呼吸衰竭。
3.3個月以下嬰兒可無發熱,甚至體溫不升,腦膜刺激征及顱內壓增高出現較晚或不明顯,而表現為拒奶、吐奶、嗜睡、凝視、尖叫、驚厥、面色青灰及囟門緊張或隆起。新生兒化腦多於生後1 ̄7天發病,中毒症狀重,黃疸加深。未成熟兒發病率更高,而體徵往往不明顯。
檢查方法
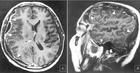
當疑顱內有局限性膿腫,硬腦膜下積液、腦積水可作腦CT檢查。
為及早明確致病菌,可作腦脊液致病菌的抗原檢測;而腦脊液梅的檢測可鑑別化腦與病毒腦。
治療方法
1.控制感染。
2.對症治療。
3.腎上腺皮質激素。
4.加強護理與生命體徵的監護。
5.治療併發症。
用藥原則
1.選擇有效抗生素是治療化腦的關鍵。當病原菌未明時,可選用青酶素+氯酶素或氨芐青酶素;病原菌已明確,按藥敏試驗選藥,聯合靜脈用藥。2.抗生素停用的指征:臨床症狀消失,體溫恢復正常,仍繼續用3 ̄5日,直至腦脊液細胞數及生化正常,塗片或培養無細菌,療程至少3-4周甚至更長。3.腎上腺皮質激素主要用於急性中毒症狀嚴重,或腦脊液粘稠,或腦脊液迴圈梗阻的病例。且劑量不宜過大,療程不宜過長。4.硬腦膜下積液的治療:穿刺抽液,每日或隔日1次,每次一側放液量<30ml,直至抽淨為止。若抽液3-4周仍無好轉,可考慮顱腦外科手術根治。5.腦室膜炎治療:除抗感染外,可經腦室注入抗生素,常用青酶素5000-10000U或氨芐青酶素50mg,用生理鹽水或腦室液稀釋2-3倍後緩慢注入,每日1次,5-7日為1療程。
預後
1.治癒(1)一般情況正常,體溫正常,症狀和體徵消失,無後遺症。(2)白細胞總數、分類及腦脊液常規生化檢查正常、培養陰性。
2.好轉(1)症狀體徵消失或好轉。(2)外周血白細胞總數及分類正常。(3)腦脊液常規生化檢查基本正常或好轉、培養陰性。
3.未愈(1)症狀體徵無改善。(2)外周血白細胞總數仍高,中性粒細胞為主。(3)腦脊液未正常,培養可陽性。
注意事項
隨著抗生素的合理套用,病死率明顯下降,但部分患兒可遺留腦積水、耳聾、癲癇、智慧低下和肢體癱瘓。
醫學疾病—兒科
| 小兒不同於成人,不論在解剖、生理、病理、免疫等方面,或是在疾病的生生,發展、臨床表現以及診斷、防治等方面,都有許多與成人不同的特點。且隨著年齡的增長,按一定的規律不斷地變化,是一個動態的過程。兒科疾病有很多種,本任務包含兒科57種疾病,是兒科大部分疾病。 |

