發病原因
線粒體腦肌病發病機制:
已知線上粒體不同結構部位含有不同的酶系統,如外膜含有細胞色素C還原酶、脂肪酸輔酶A連線酶及單胺氧化酶;外室中含腺苷酸激酶和核苷二磷酸激酶;內膜含氧化磷酸化系統的酶類和呼吸鏈(即電子傳遞系統)。氧化磷酸化要有電子傳遞氧化磷酸化系統的酶類包括三磷腺苷合成酶、琥珀酸脫氫酶。呼吸鏈由黃素蛋白、鐵硫蛋白、輔酶Q和細胞色素所組成。此外,內膜還含有肉毒鹼脂肪酸醯基轉移酶在基質中含有檸檬酸循環酶、脂肪酸氧化酶谷氨酸脫氫酶以及合成DNA及RNA的蛋白質結構成分此外,人類基質中的線粒體DNA(mtDNA)也是一種遺傳物質。正是由於線粒體的結構和功能非常複雜,所以線粒體疾病在發病機制方面的“異源性”和臨床表現各異則不難理解Jackson等(1995)分析51例線粒體肌病和腦肌病健,其臨床表現同為一種綜合徵或同屬線粒體肌病的臨床表現,但生化分析及分子生物學水平上的研究揭示患者線上粒體上的缺陷可以不盡相同。
線粒體腦肌病症狀表現
線粒體腦肌病常見的臨床綜合徵依次分述如下:
線粒體腦肌病最常見的基因異常為mtDNA3250位點上的突變。生化缺陷主要為酶複合體Ⅰ缺乏,也可有複合體ⅡⅢ缺乏。肌活檢可見大量RRF,血清肌酶多正常或輕度升高可有高乳酸血症。
2.線粒體腦肌病伴高乳酸血症和卒中樣發作(mitochondrial encephalomyopathy with lacticacidosis and strokelike episodes,MELAS)是一組以卒中為主要臨床特徵的線粒體病呈母性遺傳,80%以上的患者20歲以前發病特徵性的臨床表現為反覆發作的頭痛和(或)嘔吐皮質盲(偏盲)偏身感覺障礙頭痛表現為偏頭痛或偏側顱面痛,反覆性嘔吐可伴或不伴偏頭痛皮質盲是本綜合徵的一個非常重要的症狀,30歲以下枕葉卒中的患者中,14%為MELAS。局限性癲癇有時是MELAS卒中發作的先兆,為本綜合徵的特徵之一。其他伴隨症狀有身材矮小智慧型低下、肌力減退感音性耳聾和癲癇發作。
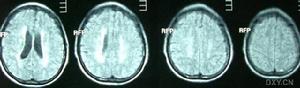
酶複合體Ⅰ缺乏是MELAS最常見(50%)的生化缺陷,此外還可有複合體Ⅲ和Ⅳ缺乏80%的MELAS在mtDNA3243位點上有移位突變有些患者在3271、3252、3260、3291位點上也發現了移位突變MELAS主要的腦病理改變為大腦和小腦皮質、齒狀核呈海綿狀變性,大腦皮質基底核丘腦、小腦和腦幹多灶性壞死大腦皮質假分層狀壞死作為缺氧性腦病的病理特徵也可見於MELAS,此外腦瀰漫性鈣化也很常見。由於在腦血管平滑肌、內皮細胞以及神經元細胞內均可見大量異常線粒體集聚因此目前還不清楚卒中樣發作是由腦血管病變還是神經元功能障礙所致肌肉活檢可見RRF和強琥珀酸脫氫酶反應性血管(stronglySDH-reactivevessel,SSV)。腦CT表現為腦白質尤其是腦皮質下白質內多發性低密度灶基底核對稱性或全腦瀰漫性鈣化。
癲癇3.伴破碎紅纖維的肌陣攣癲癇(myoclonu epilepsy with ragged redfiber,MERRF)為母性遺傳方式40歲以前均可發病,10歲左右起病多見其主要臨床特徵為小腦共濟失調肌陣攣或肌陣攣癲癇,母系親屬可呈現部分表現型如僅有耳聾或癲癇(包括失神發作失張力發作和強制陣攣發作)。伴隨症狀可有身材矮小精神運動發育遲緩、神經性耳聾、視神經萎縮、眼肌麻痹、頸部脂肪瘤、周圍神經病、心臟病和糖尿病。
MERRF的生化缺陷多數為酶複合體Ⅳ缺乏,其次為酶複合體Ⅰ和Ⅳ缺乏80%的MERRF患者在mtDNA8344位點上有移位突變腦病理改變主要累及小腦齒狀核紅核、殼核和Luys體。肌肉的主要病理改變為:RRF和SSV,後者反映線粒體在血管內皮和平滑肌細胞內聚集血或腦脊液乳酸水平可升高顱腦CT可見腦萎縮。
4.Kearns-Sayre綜合徵(KSS)及Pearson綜合徵KSS多在20歲以前發病,多為散發,除眼外肌癱瘓外伴視網膜色素變性和(或)心臟傳導阻滯,還可出現身材矮小、神經性耳聾和小腦性共濟失調Pearson綜合徵為一組嬰兒非神經系統紊亂症狀,包括全血細胞下降胰外分泌功能紊亂,肝功異常可有腎功能衰竭,倖存者後期出現KSS表現。此二綜合徵的遺傳基礎為mtDNA大量重複。
眼肌麻痹5.慢性進行性外眼肌麻痹(chronicprogressiveexternalophthalmoplegia,CPEO)可為家族性或散發性,家族性發病的遺傳方式目前尚不能完全確定,部分為母性遺傳也可以是常染色體顯性遺傳任何年齡均可發病,但20歲以前發病者多見臨床表現為眼球運動障礙眼瞼下垂、短暫復視,多伴有易疲勞和肢體近端無力、肌活檢病理可見大量RRF和細胞色素氧化酶(COX)缺失。電鏡下可見肌膜下大量異常線粒體集聚,線粒體嵴異常和嵴內類晶體樣包涵體形成腦脊液檢查可有乳酸增高和蛋白升高。國內學者研究證實mtDNA有雜合缺失,另經DNA測序證實mtDNA10909位點產生一個新的PvuⅡ酶切位點且由單個鹼基置換,認為是一新的點突變(陳清棠等,1996),採用蛋白A膠體金法(PGA)標記及免疫電鏡觀察,發現肌肉組織中與線粒體酶複合體ⅠⅡ、Ⅲ及Ⅳ結合的金粒子,其程度減少提示線粒體內呼吸鏈中的酶複合體活性降低(宋東林等,1996)。
6.Leigh病又稱亞急性壞死性腦脊髓病(subacutenecrotizingencephalomyelopathy)。為家族性或散發性線粒體腦肌病。部分為母性遺傳,部分為常染色體隱性遺傳。於出生後6個月~2歲內發病典型症狀為餵食困難共濟失調,肌張力低下精神運動性癲癇發作以及腦幹損傷所致的眼瞼下垂,眼肌麻痹,視力下降和耳聾。臨床上見到幼兒出現反覆發作的共濟失調肌張力降低手足徐動及嘔吐症狀應考慮此病。本病5%的基因異常與MERRF相同,為mtDNA8344和8993位點突變。腦損害分布和病理特徵與Wernicke腦病非常相似,但比Wernick腦病更廣泛,表現為丘腦、基底核中腦腦橋延髓和脊髓雙側對稱性海綿狀改變伴髓鞘脫失膠質和血管增生周圍神經可有脫髓鞘性改變。與Wernicke腦病,不同的是乳頭體很少受累。肌肉活檢除電鏡下可見線粒體增多外無其他異常。腦CT和MRI常可發現基底核和腦幹病變。血和腦脊液乳酸水平幾乎均增高。
瞳孔7.Leber遺傳性視神經病(Leber hereditary optic neuropathy,LHON)是指青春期或成年起病的急性或亞急性遺傳性視神經萎縮。1871年由Leber首次報導男性好發任何年齡均可發病,通常為20~30歲臨床表現為急性或亞急性中央視野缺損。開始為單眼視物不清,數周或數月後雙眼均受累,視力損害通常較重,可致全盲早期可有視盤水腫萎縮期後視盤變蒼白LHON的一個顯著特點是即使嚴重的中央視野缺損時,瞳孔對光反應仍存在。視力減退多為持續性,但相當一部分患者可有客觀的視力改善有些甚至是戲劇性的除了視覺症狀外還可有中樞神經的症狀和體徵周圍神經病和心臟傳導阻滯。LHON的主要生化缺陷是複合體Ⅰ缺乏基因異常為mtDNA11778位點上的移位突變此外還有14484和3460點突變的報告LHON的主要病理改變是視神經和節細胞層變性而不伴明顯的炎症過程外側膝狀體的6層均有明顯的跨神經元變性(transitional degeneration)。肌肉活檢無RRF和SSV以及其他酶組織化學異常。
8.Wolfram綜合症主要臨床表現是青少年發病的糖尿病和耳聾。此病具有發病年齡不定程度不一,累及多器官和母系遺傳特點。遺傳基礎為mtDNA中tRNA亮氨酸(1eu)基因的3243位點發生A→G鹼基置換此病患者與MELAS綜合徵的表型突變一致。
檢查方法
電鏡1.部分病人的血清CPK和(或)LDH水平升高血乳酸和丙酮酸含量高於正常血乳酸/丙酮酸比值升高(比值小於20為正常)均有助於診斷。
2.血乳酸、丙酮酸最小運動量試驗,即上樓梯運動5min後測定血乳酸丙酮酸含量,出現含量增高及比值異常的陽性率高,對診斷更為敏感。
其它輔助檢查:
1.肌電圖針極肌電圖多數呈肌原性損害特徵。
2.骨骼肌活檢
(1)冰凍切片以改良的Gomori三色染色,在肌膜下或肌纖維內可見不規則紅色顆粒狀改變稱破碎紅纖維(RRF),系異常線粒體堆積的一種表現。
(2)在電鏡下可見線粒體數量增多,形態不一有巨大線粒體線粒體嵴排列紊亂線粒體內可見結晶狀板層狀包涵體並有大量脂滴及糖原顆粒堆積。
(3)骨骼肌呼吸鏈酶複合體活性測定可發現有異常。
3.外周血或骨骼肌組織mtDNA分析可發現基因缺陷。
治療方法
維生素B1.輔酶Q10肌內注射或口服。
2.大劑量B族維生素,如維生素Bl、維生素B2、維生素B6等可改善症狀。
3.能量製劑,如三磷腺苷(ATP)輔酶A等。
4.二氯乙酸鈉12.5~100mg/(kg·d)口服。
5.呼吸鏈酶複合體Ⅱ+Ⅲ缺陷可用維生素K3加維生素C治療。
新生兒及兒童疾病
| 孩子是未來的希望,他們成長的腳步是父輩殷切關注的,一旦有個頭疼發熱就是揪緊了父母的心。了解新生兒和兒童常見疾病,安心陪伴孩子健康成長。 |
