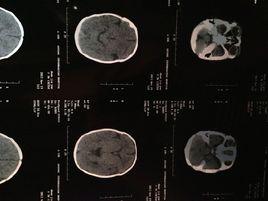
腦CT的正常值
1.檢查速度快,對新鮮出血敏感性高,並能顯示水腫及顱內壓增高,繼發腦疝等重要病變;腦CT也適宜診斷頭顱骨折,尤其是凹陷骨折和顱底骨折。
2.腦CT對腦血管疾病診斷準確,並有助於確定治療方案。
3.腦CT對顱腦損傷可分辨血腫的大小、形態、範圍、數目及其鄰近腦組織壓迫情況。觀察有無亞急性或慢性顱內血腫的存在,判斷顱腦損傷的吸收、縮小情況,亦可顯示腦軟化、腦萎縮、腦積水及腦穿通畸形等後遺症。
腦CT的臨床意義
1.顱內腫瘤。
2.腦血管病:
(1)腦出血。(2)腦梗塞。(3)蛛網膜下腔出血。(4)動脈瘤及血管畸形。(5)腦靜脈或靜脈竇閉塞。(6)煙霧病。
3.顱腦損傷:
(1)顱內血腫。(2)腦挫裂傷。(3)顱骨骨折及顱縫分離。(4)亞急性或慢性顱腦損傷。
4.顱內炎性病變:
(1)腦膿腫。(2)肉芽腫。(3)腦炎。(4)腦膜炎。(5)硬膜外及硬膜下膿腫。(6)室管膜炎。
5.腦寄生蟲病。
6.腦退行性病變。
7.先天性畸形與新生兒疾病。
8.手術與放射治療後檢查。

