概述
繼發性肺結核兒童浸潤型肺結核可因肺內病變多少、進展和惡化程度不同,因此症狀、體徵和X線表現可有很大差別。其臨床經過大致與成人相同,但由於少年兒童生理解剖及生物免 疫上的特點,其浸潤型肺結核易呈進行性,有播散傾向,多發生兩側 性病 變,尤以女青年為然。青年女性的患病率與死亡率均較男性為高。浸潤型肺結核起病可較緩,除結核 中毒 症 狀外可有發熱、胸痛、咳嗽、吐痰、咯血等。有時起病急遽,頗似流感和 肺炎 。肺部檢查在病變範圍較大時可叩診濁音,聽診時局部呼吸 音粗糙、減低或有支氣管肺泡音,有時可聽到中小水泡音。X線檢查顯示圓形、片狀或團塊狀陰影,多位於肺的上部。與原發性肺結核不同,肺門淋巴結不腫大;浸潤性病灶容易液化發生空洞,繼而可在一側或兩肺的中下部發生廣泛的支氣管播散性病變。圓形密度較高 的病灶直徑超過1.5cm者稱結核瘤或乾酪球。診斷根據臨床症狀和X線表現,約半數以上可在痰中找到結核菌。浸潤型肺結核的浸潤性病變需與各種肺炎和肺部真菌病相鑑別;空洞性病變應與肺膿腫、肺囊腫、肺包蟲 病相鑑別;結核瘤應與肺膿腫、動靜脈瘺 及肺部各種良性、惡性腫瘤相區別。如能早期發現和治療,病灶多吸收或纖維硬結。如人體抵抗力低下或延誤治療,病變進展惡化可演變成乾酪性肺炎。如病程呈慢性遷延,空洞不閉合且反覆出現新的播散病灶,後有廣泛的纖維性病變致縱隔移位,逐漸發展為慢性纖維空洞型肺結核,在兒童少見。浸潤型肺結核病人多排菌,故應隔離並積極治療。治療原則同成人肺結核。乾酪球或陳舊空洞經內科治療無效時,可考慮外科切除手術治療。
發病原因
1.內源性復發:是繼發性肺結核的主要發病原因。在肺內、外因早期菌血症形成潛伏病灶。當機體的抵抗力下降時,可使隱性結核病灶復發而形成繼發性肺結核。2.外源性再感染:曾感染過結核菌,本次發病不是原有病灶的重新活動,而是再次受到結核菌的感染。
病理生理:結核菌在機體內引起的病變類型具有特異性,其病理改變常與機體狀態、變態反應強度、局部組織特性和病菌毒力大小而定。結核病是一種慢性炎症,具有滲出、增殖、變質三種基本病理變化。
滲出性病變表示病變組織菌量大、毒力強、變態反應強或病變在急性發展階段。此時組織器官中血管通透性增高,炎性細胞和蛋白質向血管外滲出,滲出性病變中,可見大量淋巴細胞堆集成淋巴細胞結節,滲出病變中可找到結核菌。
病理生理
增殖性病變是結核病特異性改變,是結核菌菌量少、毒力低,巨噬細胞處於激活狀態,反映了細胞介導免疫反應占據主導地位。典型表現為結核結節,中央是巨噬細胞衍生而來的郎罕巨細胞,周圍由巨噬細胞轉化來的類上皮細胞成層排列包繞,外圍有淋巴細胞和漿細胞分布,增殖性病變中結核菌極少。變質為主病變(乾酪樣壞死),常為結核菌量大、毒力強,機體在遲發變態反應直接及間接作用下引起的細胞壞死和乾酪化,造成組織損傷,乾酪液化後,經支氣管排出後形成空洞,結核菌大量繁殖,導致播散。
上述三種基本病變常常同時存在,由於結核菌與機體狀態的不同,病變的性質可以一種為主,在治療和發展過程中可以相互轉化。
臨床表現
多數病人有發熱、咳嗽、咳痰等症狀,少數病人可無症狀或僅有輕微症狀,健康檢查時發現。(1)起病緩慢,咳嗽,咳痰,可伴咯血、胸痛、呼吸困難等症狀。
(2)發熱(常午後低熱),乾酪性肺炎者,起病常急劇,初起可高熱,以後呈弛張熱伴嚴重結核中毒症狀,可伴盜汗、乏力、食慾降低、體重減輕、月經失調。
(3)少數患者可有結核變態反應引起的過敏表現:結節性紅斑、泡疹性結膜炎和結核風濕症等。
(4)糖尿病、塵肺、胃大部切除術、慢性腎功能衰竭、器官移植和骨髓移植術後、長期使用皮質類固醇或免疫抑制劑治療的患者應警惕是否合併肺結核,HIV感染者肺結核發病率高。
體徵:長期慢性消耗可呈營養不良、貧血;胸部陽性體徵因肺部病變大小、程度、有無併發症而差異很大。肺部病變較廣泛時可有相應體徵,如局部叩濁,病變局部可聞及支氣管肺泡呼吸音。大面積浸潤病變、乾酪性肺炎、肺不張時可聞管狀呼吸音。局限性的中小水泡音常提示有空洞或並發支擴,空瓮性呼吸音提示有巨大空洞。
輔助檢查
實驗室檢查
一病原學檢查:細菌學檢查陽性是確診的依據。為提高痰菌檢出率,應查痰3次以上。若痰菌陰性可行纖維支氣管鏡下刷檢及支氣管肺泡灌洗液(BALF)查抗酸桿菌及結核分枝桿菌培養,可提高陽性率。標本來源有痰液、高滲鹽水超聲霧化導痰、下呼吸道採樣、支氣管沖洗液、支氣管肺泡灌洗液(BALF)、肺及支氣管活檢標本。由於痰標本採取方便、簡單,常作為臨床首選的檢查。直接塗片方法簡單、快速,但敏感性不高,應作為常規檢查方法;塗片染色陽性只能說明抗酸桿菌存在,不能區分是結核菌還是非結核分枝桿菌。鑒於我國非結核分枝桿菌發病較少,故檢出抗酸桿菌對診斷有重要意義
分離培養法靈敏度高於塗片鏡檢法,可直接獲得菌落,便於與非結核分枝桿菌鑑別,是結核病診斷金標準。
二.結核菌素(PPD-G5U)皮膚試驗是判斷機體是否受到結核分枝桿菌感染的重要手段。當強陽性表示機體處於超過敏狀態,發病率高,可作為臨床診斷結核病的一項參考指標。
三.分子生物學診斷方法如聚合酶鏈反應(PCR):研究結果顯示:痰液PCR+探針檢測可獲得比塗片鏡檢明顯高的陽性率和略高於培養的陽性率,且省時快速,成為結核病病原學診斷重要參考,但臨床套用中也存在少數假陽性和假陰性一些技術問題。
四.血清抗結核抗體檢查:已成為結核病快速輔助診斷手段,但臨床套用中仍存在特異性欠強,菌陰肺結核敏感性低的問題,尚需進一步研究。
X線檢查
X線影像學對肺結核診斷有重要參考意義。(1)繼發性肺結核的胸部X線表現
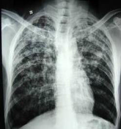
繼發性肺結核胸部X線表現並無特異性,但常有如下特點:病變多發生在肺上葉尖後段、肺下葉背段,多肺段侵犯常見(少數病變也可局限),X線影像常呈多形態表現共存(同時呈現滲出、增殖、纖維和乾酪性病變),可伴有鈣化,易合併空洞,常伴有同側或對側支氣管播散灶,空洞或病灶內側可有引流支氣管征。呈球形病灶時(結核球)直徑多在3cm以內,周圍可有衛星灶。可伴有胸腔積液、胸膜增厚與粘連。病變經治療後吸收較慢(1個月內變化較小)。
(2)乾酪性肺炎的X線表現
乾酪性肺炎以滲出和乾酪性病變為主。在X射線表現為大葉範圍的緻密陰影或沿支氣管走行分布的小葉陰影,病灶中間可見由急性空洞引起的不規則透明區。
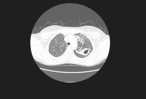
(3)肺結核瘤(球)也是繼發性肺結核較常見的一種X表現。多發於上葉尖、後段,以小於3cm、密度低、不均勻者多,可有鈣化,及向心性偏心性溶解和衛星灶。
(4)有免疫損害的肺結核患者,X線表現“多形性”不明顯,以均質性片絮狀陰影表現多見,可在結核病非好發部位,如中下肺葉和上葉前段發生,需與急性肺炎鑑別。
(5)愛滋病(AIDS)合併肺結核時可表現肺門、縱隔淋巴結腫大、中下肺野浸潤病變多見,類似原發肺結核表現。病變進展快,且多數合併胸膜炎與肺外結核。
(6)糖尿病合併肺結核時,X線特點以滲出乾酪壞死為主,可呈大片狀、巨塊狀陰影,易形成空洞,好發於肺門區及中下肺野,病變進展快。
(7)支氣管結核播散所致肺結核多在中下肺野或鄰近肺段,由於有支氣管狹窄,常可合併感染,致使病變X線表現不典型。
胸部CT
胸部CT掃描對發現常規胸片的隱匿區病變(肺尖、肺底、心臟後、脊柱兩側等肺部病變),了解肺門、縱隔淋巴結腫大情況及發現少量胸腔積液及少量氣胸有重要價值;增強CT通過不同時相可觀察選定部位的密度強化狀況,有助於疾病的診斷及鑑別診斷。氣管鏡檢查
纖維支氣管鏡檢查是呼吸系統疾病診斷與鑑別的重要手段:對於痰菌陰性且胸部X線表現不典型、診斷困難的病例,或懷疑合併支氣管結核及不能排除肺癌或其他惡性病變的病例可進行經纖維支氣管鏡檢查刷片、灌洗液、支氣管活檢等檢查。疾病診斷
繼發性肺結核1.患者病史和臨床表現仍然是診斷的基礎。病史應注意結核病接觸史,有無一般結核病中毒症狀及遷延不愈的呼吸道症狀。對有結核病易感因素的患者,如:套用免疫抑制劑、糖尿病、矽沉著病、慢性腎衰竭、胃大部切除、器官移植術後者,更應提高警惕。
2.病原學檢查:痰結核菌檢查是確診的特異性方法,多次痰塗片檢查是診斷肺結核常用方法,但非結核分枝桿菌肺病其臨床症狀、X線表現與繼發性肺結核很難區分,有條件應在痰塗片檢查同時送檢痰結核菌培養,作進一步菌種鑑定。
3.胸部X線檢查是肺結核診斷的必要手段,繼發性肺結核胸部X線表現為多種形態混合存在,常可呈雲絮狀或斑點(斑片)結節狀,幹略性病變密度偏高而不均勻,常有透亮區或空洞形成。病期延長可同時出現纖維化或鈣化灶,結合上葉尖後段或下葉背段好發部位和X線特點可為診斷提供重要參考。
4.其他檢查PPD皮膚試驗強陽性、血清抗結核抗體陽性、患者痰結核菌DNAPCR十探針檢測呈陽性,可作為診斷參考。
二.菌陰肺結核的診斷
肺結核患者痰病原學檢查陽性率不高,部分肺結核患者最終不能得到病原學的證實。這部分患者臨床稱為菌陰肺結核,中華醫學會結核病分會提出診斷標準如下:
菌陰肺結核為三次痰塗片及一次培養陰性的肺結核,其診斷標準為:
1.典型的肺結核臨床症狀和胸部X線表現。
2.抗結核治療有效。
3.臨床可排除其他非結核性肺部疾患。
4.PPD(5TU)強陽性;血清抗結核抗體陽性。
5.痰結核菌PCR+探針檢測呈陽性。
6.肺外組織病理證實結核病變。
7.支氣管肺泡灌洗液檢出抗酸桿菌。
8.支氣管或肺部組織病理證實結核病變。
肺內有病變且具備1-6中3項或7-8條中任何1項可確診。
三.肺結核活動性判定
肺結核有無活動性對治療和管理十分重要。痰菌檢查(塗片和培養)是判斷肺結核是否活動的重要依據,但由於痰菌檢查現行方法不太敏感,陽性率不高。大多數學者認為有以下幾點均提示結核病灶具有活動性:
典型的結核中毒症狀,胸部影像學具有滲出、增殖或乾酪樣病灶的一種,即使僅見纖維增殖性病灶。
胸部影像學上病灶密度不均勻,呈小葉中央結節影、樹芽樣改變、邊緣模糊或部分模糊。
CT肺窗顯示斑點狀或條索狀陰影,邊緣較為清楚,但縱膈窗大部分病灶消隱。
CT肺窗病變密度較高,邊緣較為清楚,但縱膈窗部分病灶消隱,遺留病灶非鈣化灶,且PPD強陽性或血沉增快或痰結核分枝桿菌PCR陽性(定量PCR≥102拷貝)。
一些患者影像學上的病灶的活動性不能確定,可通過動態觀察病灶變化來判斷,若病灶有吸收或惡化可診斷為活動性結核病。
鑑別診斷
繼發性肺結核X線表現常呈多種形態。肺內主要表現為滲出性病變時,應注意與各類細菌性和非細菌性肺炎鑑別,鏈球菌肺炎發病急驟,寒戰高熱,肺段或肺葉的均勻性片狀陰影,密度較淡,無透明區,變化快,白細胞計數增加,抗生素治療有效;肺結核空洞當其周圍有較多炎性浸潤,或有液平時應與肺膿腫鑑別,肺膿腫常急性發病,呈畏寒及高熱,大量膿臭痰,白細胞增加,空洞周圍常有濃密炎症陰影,腔內有液平;薄壁空洞需與肺囊腫和囊性支氣管擴張相鑑別,胸片肺囊腫囊壁菲薄整齊。支氣管擴張可見不規則的環狀透亮陰影或支氣管的捲髮狀陰影;乾酪性空洞內壁不光滑時應與肺癌空洞鑑別;結節性結核灶、結核球以及支氣管結核阻塞所致肺不張等均應注意排除肺癌。為觀察腫塊形態、邊緣和周邊毛刺,結節灶內有無空泡征。肺門、縱隔內淋巴結腫大及支氣管狹窄情況,胸片體層攝影及胸部CT常常對肺癌的鑑別很有助益。痰瘤細胞檢查。纖支鏡及肺活檢,為確診的重要手段。非結核分枝桿菌肺病在臨床症狀、X線表現上與肺結核相似,塗片抗酸染色形態也難以區別,只能依據培養後菌種鑑定來鑑別。種類
根據其病變特點和臨床經過可分以下幾種類型。繼發性肺結核常多形態並存,以一種為主。
1、局灶型肺結核是繼發性肺結核病的早期病變。X線示肺尖部有單個或多個結節狀病灶。解剖學上病灶常定位於肺尖下2-4cm處,0.5-1cm直徑大小。病灶境界清楚,有纖維包裹。鏡下病變以增生為主,中央為乾酪樣壞死。病人常無自覺症狀,多在體檢時發現。屬非活動性結核病。
慢性纖維空洞性肺結核2、浸潤型肺結核是臨床上最常見的活動性、繼發性肺結核。多由局灶型肺結核發展而來。X線示鎖骨下可見邊緣模糊的雲絮狀陰影。病變以滲出為主,中央有乾酪樣壞死,病灶周圍有炎症包繞。病人常有低熱、疲乏、盜汗、咳嗽等症狀。如及早發現,合理治療,滲出性病變可吸收;增生、壞死性病變,可通過纖維化、鈣化而癒合。如病變繼續發展,乾酪樣壞死擴大(浸潤進展),壞死物液化後經支氣管排出,局部形成急性空洞,洞壁壞死層內含大量結核桿菌,經支氣管播散,可引起乾酪性肺炎(溶解播散)。急性空洞一般易癒合。經適當治療後,洞壁肉芽組織增生,洞腔逐漸縮小,閉合,最後形成疤痕組織而癒合;也可通過空洞塌陷,形成條索狀疤痕而癒合。如果急性空洞經久不愈,則可發展為慢性纖維空洞性肺結核。
3、慢性纖維空洞性肺結核該型病變有以下特點:①肺內有一個或多個厚壁空洞。多位於肺上葉,大小不一,不規則。壁厚可達1cm以上。鏡下洞壁分三層:內層為乾酪樣壞死物,其中有大量結核桿菌;中層為結核性肉芽組織;外層為纖維結締組織;②同側或對側肺組織,特別是肺小葉可見由支氣管播散引起的很多新舊不一、大小不等、病變類型不同的病灶。愈往下愈新鮮;③後期肺組織嚴重破壞,廣泛纖維化、胸膜增厚並與胸壁粘連,使肺體積縮小、變形,嚴重影響肺功能,甚至使肺功能喪失。
肺結核球病變空洞與支氣管相通,成為結核病的傳染源,故此型又有開放性肺結核之稱。如壞死侵蝕較大血管,可引起大咯血,嚴重者可造成窒息死亡。空洞突破胸膜可引起氣胸或膿氣胸。經常排出含菌痰液可引起喉結核。咽下含菌痰液可引起腸結核。後期由於肺動脈高壓而致肺源性心臟病。
近年來,由於廣泛採用多藥聯合抗癆治療及增加抵抗力的措施,較小的空洞一般可機化,收縮而閉塞。體積較大的空洞,內壁壞死組織脫落,肉芽組織逐漸變成纖維疤痕組織,由支氣管上皮覆蓋,此時,空洞雖仍然存在,但已無菌,實已癒合故稱開放性癒合。
4、乾酪性肺炎乾酪性肺炎可由浸潤型肺結核惡化進展而來,也可由急、慢性空洞內的細菌經支氣管播散所致。鏡下主要為大片乾酪樣壞死灶。肺泡腔內有大量漿液纖維蛋白性滲出物。根據病灶範圍的大小分小葉性和大葉性乾酪性肺炎。此型結核病病情危重。
5、結核球又稱結核瘤(tuberculoma)。結核球是直徑2-5cm,有纖維包裹的孤立的境界分明的乾酪樣壞死灶。多為單個,也可多個,常位於肺上葉。X片上有時很難與周圍型肺癌相鑑別。結核球可來自:①浸潤型肺結核的乾酪樣壞死灶纖維包裹;②結核空洞引流支氣管阻塞,空洞由乾酪樣壞死物填充;或③多個結核病灶融合。結核球由於其纖維包膜的存在,抗癆藥不易發揮作用,且有惡化進展的可能。X片上有時需與肺癌鑑別,因此臨床上多採取手術切除。
6、結核性胸膜炎結核性胸膜炎根據病變性質可分乾性和濕性兩種,以濕性結核性胸膜炎為常見。
濕性結核性胸膜炎又稱滲出性結核性胸膜炎,多見於年青人。病變主要為漿液纖維素性炎。一般經適當治療可吸收,如滲出物中纖維素較多,不易吸收,則可因機化而使胸膜增厚粘連。
乾性結核性胸膜炎又稱增殖性結核性胸膜炎。是由肺膜下結核病灶直接蔓延到胸膜所致。常發生於肺尖。病變多為局限性,以增生性改變為主。一般通過纖維化而癒合。
飲食注意
1.結核病患者宜吃高熱能、高蛋白、高維生素飲食。富含蛋白質的食物有:動物類食品,如雞、鴨、鵝肉,瘦豬牛羊肉;植物類食品,如麵粉、豆類食物及大豆製品,食用時要煮熟煮爛,切忌生硬不易消化,不利於人體吸收。重點補充維生素A、B、C、D。維生素A可增強機體免疫力;維生素D可促進鈣吸收;維生素C利於病灶癒合劑血紅蛋白合成;B族維生素有改善食慾作用,其中維生素B6可對抗異煙肼治療引起副作用。新鮮蔬菜及水果是維生素主要來源。乳、蛋富含維生素A豐富,酵母、花生、豆類、瘦肉等富含維生素B6.。2.結核病人膳食中應特別注意鈣和鐵的補充。鈣是結核病灶中鈣化的原料,牛奶中所含的鈣量多優質,患者每日可飲奶250-500g。鐵是製造血紅蛋白的必要原料,咯血及便血者更應補充。
3.忌食辛辣,有菸酒嗜好者應堅決戒除。
4.儘量少吃或不吃海鮮,因為抗癆藥有增高血尿酸的副作用,而海鮮會加劇血尿酸增高作用。
疾病護理
1.飲食宜清淡而富有營養,戒菸禁酒。2.生活起居要有規律,根據病情最好能全休息2-3個月,再適當安排工作。
3.保持精神舒暢,心情愉快,適當的身體鍛鍊(可選擇氣功、太極拳等鍛鍊)。
4.病情好轉,可逐漸增加活動量,但不可過於勞累。
併發症
咯血:當肺部結核病變進展,侵蝕鄰居血管時可發生咯血,喀血量因累及的血管大小、系動脈、靜脈,或毛細血管而不同;空洞性病變較易發生咯血。肺內陳舊性病灶由於繼發性支氣管擴張或鈣化灶脫落、纖維灶的牽引灶的牽引也可引起咯血。自發性氣胸:肺結核疾病肺表面空洞及壞死組織可直接破向胸膜腔,引起自發性氣胸。也可因肺大皰破裂產生自發性氣胸。
呼吸衰竭:當肺內病變廣泛,如纖維厚壁空洞伴支氣管播散、大片胸膜增厚、余肺代償性肺氣腫或全肺肺不張時可有呼吸困難。多數患者表現為慢性呼吸困難。
肺部繼發細菌感染:指肺結核造成支氣管-肺結構損害基礎上發生的細菌或其他病原體感染。肺結核特別是重症肺結核患者因長時間住院治療,或合併呼吸衰竭入住監護病房接受某些特殊治療如吸入治療、機械通氣,極易發生院內感染。肺結核本身所致機體免疫力功能損害可能是繼發感染的易感因素。
肺不張:支氣管淋巴結結核、氣管、支氣管結核(包括支氣管內膜充血、水腫、肉芽腫形成及瘢痕狹窄)可致肺不張。
結核性支氣管擴張:支氣管擴張形成在兒童主要有結核性肺門淋巴結腫大壓迫、淋巴結支氣管瘺肉芽腫阻塞及胸膜炎導致胸膜增厚粘連處纖維性牽拉鄰近支氣管所致。在成人主要為肺內結核灶破壞支氣管及周圍肺組織纖維化,引流支氣管結核造成狹窄阻塞,胸膜增厚、粘連而鄰近支氣管受纖維化牽拉所致。
慢性肺源性心臟病:肺結核廣泛破壞性病變所致的肺纖維化、肺氣腫、支氣管擴張、肺大皰、肺空洞、肺不張及胸膜增厚等毀損性病變,雙側廣泛胸膜纖維化及鈣化,脊柱結核所致嚴重的胸廓變形等均引可起肺循環阻力增加,肺動脈高壓,進而至右心功能衰竭。
專家觀點
1.肺結核診斷明確後要規律的抗結核治療,療程長短根據初治、復治、是否耐藥以及病變的嚴重程度、是否有合併症而定。2.如果出現咯血、肺部感染、自發性氣胸要及時對症處理。
3.抗結核治療期間,每月要複查血常規和肝腎功能,2-3個月複查胸部X線檢查或CT檢查。遵醫囑停藥後建議每3-6個月複查胸X線或胸CT,觀察病灶變化。
4.對於症狀緩解不明顯,複查胸部CT肺內病灶無好轉甚至加重者,如是菌陰肺結核病例應繼續除外其他疾病;菌陽病例應考慮是否存在耐藥及非結核分枝桿菌感染可能,做結核菌培養加菌種鑑定和藥物敏感性試驗,調整抗結核藥物。

