疾病分類
在光鏡下,單純的細支氣管肺泡癌可分為黏液性(20% ~ 25%)、非黏液型(60% ~ 65%)和混合型(12% ~ 14%)。根據病變的大體形態及影像學表現又可分為三種類型:(1)孤立性肺結節:單一病灶,多位於肺組織周邊的髒層胸膜下,圓形或稱分葉狀,切面灰白,通常無出血和腫瘤壞死。有的腫瘤組織中可見瘢痕形成並導致肺表面胸膜皺縮凹陷。(2)多發性結節型:腫瘤形成多個大小不等的結節,分布於一葉或多個肺葉。(3)瀰漫型(或稱肺炎型):常見於黏液型細支氣管肺泡癌,腫瘤組織累及數個肺葉或雙側肺,病變質地硬,影像學檢查類似大葉型肺炎。
發病原因
現有證據表明,細支氣管肺泡癌的病因可能與其他類型的肺癌存在一定的差異。譬如,細支氣管肺泡癌與吸菸相關,但較其他類型肺癌相關性弱。還有報導認為各種原因引起的肺實質損傷形成的陳舊性瘢痕可發展成為細支氣管肺泡癌,如肺纖維化、肺結核、肺膿腫或梗死等。此外,肺的先天性囊腫,某些結締組織病等都與細支氣管肺泡癌的發病相關。另外,女性的高發病率可能與廚房煙塵中含有致癌物質或末梢細支氣管及肺泡的損傷有關。研究還發現細支氣管肺泡癌的發生可能與一種羊反轉錄病毒的感染有相關性。
病理特點
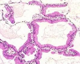
細支氣管肺泡癌的光鏡下特點包括:(1)腫瘤細胞於肺泡壁上呈鱗屑生長方式,且不侵犯間質、血管及胸膜。(2)肺泡間隔硬化、增寬,但通常無腫瘤性促纖維組織增生反應或大量炎細胞浸潤等改變。(3)腫瘤細胞大多分化較好,其形態特點依起源細胞不同而異。
黏液型:由分化良好、形態相似、無纖毛、高柱狀的黏液樣細胞組成。腫瘤細胞的胞核形態較一致,體積小,位於細胞基底部,有時可見核異型性明顯,核仁可見,核染色深。胞質透明或泡沫狀,黏液染色呈陽性。病變處的肺泡腔可見大量黏液成分,黏液中常見中性粒細胞和吞噬黏液的巨噬細胞。肺間質通常無明顯變化,也無炎細胞浸潤。
非黏液型:腫瘤細胞分化較好,呈立方狀或低柱狀,沿著原有的肺泡結構呈鱗屑狀生長。細胞形態較一致,胞質嗜伊紅染色明顯,胞核位於細胞中央或基底部,排列整齊,胞核大而深染且伴異型,與黏液型相比其核仁更明顯,核分裂偶見。具有Clara細胞分化的腫瘤細胞可呈胞質頂部突出、膨大的形態,而胞核也位於膨大突出的部位而形成鞋釘樣的特點。腫瘤組織部位的肺泡壁常見輕度增厚,部分表現為肺泡間隔硬化性增厚。腫瘤間質中常含有少量至中等量的淋巴細胞和漿細胞浸潤,淋巴細胞以T細胞為主,也可見朗格漢斯細胞。
混合型:組織結構及細胞形態特點大致為上述兩種病理類型的總和。
臨床表現
相對於其他類型的肺癌,細支氣管肺泡癌更好發於女性。有資料顯示,有50%~70%的細支氣管肺泡癌的患者為女性,而鱗癌和其他類型的腺癌中女性所占的比例卻分別只有27%和44%。另外,雖然一些資料顯示亞洲人群的細支氣管肺泡癌發病率似乎高於歐美人群,但目前尚無大樣本的確切數據證實這一論點。
細支氣管肺泡癌是一種惡性程度低,腫瘤生物學行為不活躍,發展相對較緩慢的腫瘤。早期發現時大部分患者沒有症狀,多因體檢或檢查其他疾病時偶然發現。有些患者的腫瘤在發現後經過多年隨訪仍無明顯變化,最後因手術切除而證實為細支氣管肺泡癌。也有患者會出現咳嗽咳痰、咯血、胸痛、發熱和呼吸困難等症狀,其中咳嗽在臨床中最為常見。與其他類型非腺癌比較,多結節型的細支氣管肺泡癌患者的痰量相對較多。而隨著病情的發展,呼吸困難還可能成為患者的突出症狀之一,這種表現多見於瀰漫型細支氣管肺泡癌,這是唯一可以引起進行性呼吸困難的原發性肺癌。
已有遠處轉移患者的臨床表現與轉移部位有關。大量臨床資料顯示,進展期的細支氣管肺泡癌以腫瘤細胞沿氣道在肺內擴散和局部淋巴結浸潤為主,雙肺是最常見的轉移部位。細支氣管肺泡癌很少發生肺外轉移,尤其是肝、腦的轉移。另外,細支氣管肺泡癌還可產生肺動脈高壓。氣胸和心包填塞等臨床表現。
細支氣管肺泡癌還會產生兩種較為特殊的表現。一種是指每日產生的痰量>100ml,即支氣管液溢。有報導稱細支氣管肺泡癌支氣管液溢的發生率為6%,主要見於晚期黏液型細支氣管肺泡癌。瀰漫型細支氣管肺泡癌也可表現為支氣管液溢,並可導致脫水和電解質紊亂。第二種是指頑固性低氧血症,主要見於黏液型和瀰漫型細支氣管肺泡癌。這主要是由於肺泡內充滿了腫瘤細胞和黏液,致使肺通氣和血流比例失調所導致。
輔助檢查
CT影像學表現
孤立結節型:組織學多為非黏液型。病變多位於雙肺上葉,且在肺野外圍胸膜下常見,多呈小斑片狀或結節狀腫塊,形態不規則,可具有一般肺癌的基本CT徵象,如分葉、毛刺、胸膜凹陷征和血管集束等。另外,結節還常常表現為磨玻璃樣影、空泡征及支氣管充氣征。磨玻璃影,或稱暈征,即整個腫瘤結節或結節的部分區域密度較淡呈磨玻璃樣。而空泡征及支氣管充氣征是指結節內小灶性透光區或含氣腔隙,形狀不規則,有時呈寬窄不一的條狀或囊狀。其病理基礎是腫瘤中含有正常的肺組織或尚未完全破壞侵蝕的支氣管。
實變型:該型的組織學類型多為黏液型。病理基礎為腫瘤黏液細胞沿肺泡壁襯復生長,並分泌大量黏液充滿肺泡腔而導致肺實變。由於黏液分泌使肺葉體積增大和葉間裂膨隆,具有一定的占位效應。腫瘤一般不侵犯肺間質,肺組織內的血管和支氣管結構可長期保留,病變常按肺葉、段分布,累及一個或多個肺葉肺段。除常出現支氣管充氣征及磨玻璃影等徵象外,還可出現血管造影征和蜂窩征。血管造影征是指CT增強掃描在低密度肺背景中可清楚顯示高密度強化的肺血管影。蜂窩征則表現為病變區內密度不均,呈蜂窩狀低密度腔,大小不一,呈圓形或卵圓形。
瀰漫或多結節型:組織類型多為黏液型,也可為混合型。CT表現為雙肺廣泛的粟粒性結節,大小約2~3mm,分布以中下葉為甚。雙肺結節影對稱或不對稱,結節間部分可相互融合成塊。每個結節形態和影像特徵可與孤立型結節病灶相似,較大者可出現毛刺、分葉及胸膜凹陷征等,部分結節周邊可有片絮狀磨玻璃影或小片狀實變影。
PET-CT的診斷價值
PET-CT是目前鑑別肺部實體腫瘤良惡性最為先進可靠的影像學檢查,在確定肺癌的全身TNM分期及判斷病灶復發等方面亦有很高價值。
細支氣管肺泡癌在PET-CT的診斷價值上與其他類型的肺癌有所不同。對於孤立結節型細支氣管肺泡癌來說,由於腫瘤倍增時間較長,腫瘤細胞增殖速度較慢,而非小細胞肺癌的FDG攝取又主要取決於細胞的增殖,所以其FDG的攝取值較其他類型的肺癌明顯降低,使得PET-CT對大多數細支氣管肺泡癌的檢出率較低,有報導指出其假陰性率高達60%。因此,對於CT高度懷疑細支氣管肺泡癌而PET又是陰性的患者應積極行細針穿刺或胸腔鏡等手段進行組織病理學確診,或者進行嚴密隨訪,觀察病灶大小和密度的變化情況。
病理診斷
細支氣管肺泡癌確診的“金標準”是病理診斷。痰細胞學檢查是目前能夠取得腫瘤標本最簡單方便的無創傷性檢查,檢查方法為連續三天清晨留取深咳後的痰液進行細胞學塗片檢查。但根據WHO最新的診斷標準,痰細胞學檢查不足以診斷細支氣管肺泡癌,對於局部的、周圍型的、結節樣病變來說,痰或支氣管灌洗液的細胞學檢查幾乎無診斷意義。不僅如此,細支氣管肺泡癌嚴格的定義常常要根據完整的手術切除標本才能做出確切診斷,以排除癌組織的浸潤。小的活檢標本,如經纖維支氣管鏡或經皮穿刺活檢組織,有時雖具有細支氣管肺泡癌的組織學特點,但尚不能完全診斷為細支氣管肺泡癌,僅可做出“腺癌,細支氣管肺泡癌可能”的診斷。
鑑別診斷
影像學上孤立型細支氣管肺泡癌需要與結核球、炎性假瘤、局灶性感染、淋巴瘤、出血性病變及機化性肺炎等鑑別;實變型細支氣管肺泡癌需要與大葉性肺炎、肺梗死、乾酪性肺炎、淋巴瘤樣肉芽腫、慢性纖維空洞型肺結核和肺間質纖維化等相鑑別。而瀰漫多結節型的細支氣管肺泡癌需要與血型播散性肺結核、肺轉移瘤、肺膿腫等相鑑別。
疾病治療
如能做到完全性切除,孤立病灶型及處於同一肺葉或同一側肺的多結節病灶型細支氣管肺泡癌應積極手術治療。對完全切除術後的單純細支氣管肺泡癌,不推薦輔助化療和輔助放射治療。而不宜手術的孤立型或局部復發的單病灶細支氣管肺泡癌,應首選放射治療。對不能手術切除的晚期細支氣管肺泡癌,化療仍是值得考慮餓一線治療方案。雖然傳統認為,細支氣管肺泡癌對化療不敏感,但回顧性研究和小樣本的前瞻性研究結果顯示,化療療效在細支氣管肺泡癌和其他類型的非小細胞肺癌之間的差異並沒有統計學意義,但有一個特點需要注意:細支氣管肺泡癌的化療有效率確實低於其他類型的非小細胞肺癌,但其生存期卻長於其他類型的非小細胞肺癌。
對晚期的細支氣管肺泡癌,可採用EGFR TKI一線治療。SWOG 0126臨床試驗結果顯示,Gefitinib治療細支氣管肺泡癌的有效率為16%,中位生存時間12個月,療效等同於SWOG 9714的紫杉醇96小時細胞毒藥物化療。另一項Kris的研究也顯示,Erlotinib治療78例細支氣管肺泡癌有效率達24%,中位生存期也超過12個月。EGFR TKI的療效與EGFR突變明顯相關,該突變在亞洲人群、女性、非吸菸人群和腺癌患者中更為常見。中國內地的腺癌患者的EGFR突變率為43%,遠高於歐美非小細胞肺癌的患者的10%。有學者認為,EGFR突變在細支氣管肺泡癌相關腺癌中的突變率更高,而EGFR靶向治療在單純非粘液型的細支氣管肺泡癌和以細支氣管肺泡癌成分為主的腺癌中也有更高的反應率。然而,也有學者指出,單純的細支氣管肺泡癌的EGFR突變率低於具有細支氣管肺泡癌特徵的腺癌,對TKI的有效率也遠低於合併細支氣管肺泡癌成分的腺癌。由此看出,如此截然相反的觀點表明這仍是一個需要不斷深入探索的領域。
疾病預後
單純的細支氣管肺泡癌僅占所有非小細胞肺癌的4%,而超過20%的非小細胞肺癌含有細支氣管肺泡癌成分,腺癌中混合有細支氣管肺泡癌的亞型占所有腺癌的50%。人們發現,含細支氣管肺泡癌成分的腺癌經TNM分期校正後的總體預後明顯優於其他類型的肺癌,並且在Ⅰ/Ⅱ期腺癌中,腫瘤組織中的細支氣管肺泡癌成分越多,預後越好。根據WHO在1999年制定的肺癌病理學標準,可手術切除的細支氣管肺泡癌的5年生存率為70~100%。而女性、非吸菸患者的預後更好,年齡大於60歲、體重下降和痰量多則是預後的不良因素。在影像學上,周圍型病灶的磨玻璃影所占比例似乎與預後密切相關,有研究發現,磨玻璃影面積大於腫瘤面積50%患者的生存期明顯優於小於10%的患者。另外,多數研究提示黏液型細支氣管肺泡癌術後預後相對較差,非黏液型則優於黏液型,這主要基於黏液型細支氣管肺泡癌更多的表現為經氣道擴展的進展型。在分子水平方面,很多研究都證實出現K-ras突變的細支氣管肺泡癌相關腺癌對EGFR-TKI的有效率和總體生存都較差,即使接受術後輔助化療也預後不良。因此,K-ras突變是預測預後的一個不良指標。
專家觀點
新的肺癌分期實際上已將單純的細支氣管肺泡癌定義為原位癌範疇,強調腫瘤不能浸潤間質、血管和胸膜。而臨床工作中常將具有細支氣管肺泡癌特徵的肺癌分為單純的細支氣管肺泡癌、細支氣管肺泡癌伴局部浸潤和具有細支氣管肺泡癌特徵的腺癌三種類型。這三種類型的肺癌具有基本相似的臨床過程,即相對長的生存期、較高的胸內復發、較少的遠處轉移和容易發生第二原發性肺癌,且其中細支氣管肺泡癌的成分越多,預後越好。

