疾病概述
疾病部位在離體條件下培養,正常細胞生長到相互接觸時就停止增殖,而透明細胞癌卻仍不停止細胞分裂,繼續生長成堆,形成不規則團塊。大量實驗證明,癌細胞生長失去控制,與細胞表面化學物質,特別是表面糖蛋白的變化密切相關。
透明細胞腫癌女性半數患者有不育史、月經紊亂或絕經後出血。10%左右合併高血鈣症,其典型症狀為食慾減退、肌無力、多尿、煩渴等。手術切除腫癌變後高血鈣往往於36h內迅速恢復正常,若腫瘤復發,血鈣又復升。透明細胞癌與子宮內膜異位症的關係密切,合併盆腔子宮內膜異位症可高
透明細胞癌達25%~50%,高於其他所有卵巢癌包括卵巢宮內膜樣癌。卵巢透明細胞癌常因腫物較大,診斷時以早期居多,可高達50%~65%,這一點也不同於其他卵巢上皮性癌。
透明細胞癌對化療不敏感。如果術中有癌組織殘留.預後極差。同期別的透明細胞癌較漿液性腺癌預後明顯不良。所以,手術療法對卵巢透明細胞癌尤為重要。通常.Ⅲ和Ⅳ期卵巢癌細胞減滅使殘存腫瘤也cm。可改善預後:最近又有<1cm可更大程度改善預後的報導。據研究,Ⅲ和Ⅳ期透明細胞癌殘留1cm和超過1cm的腫瘤預後幾乎相同。所以.透明細胞癌必須將腫瘤細胞清除至0.即要切除極少殘留腫瘤的部位。
疾病病因
透明細胞癌化學物質
1、空氣污染與吸菸:產生碳氧化合物,易刺激呼吸道,引起肺透明細胞癌。飲食的不當:如嗜吃酸辣食物或醃浸蔬菜,易得胃透明細胞癌,而一些食品添加劑和著色劑,也可能導致透明細胞癌。高脂肪食物可能與大腸透明細胞癌、乳腺透明細胞癌有關。
2、食物貯藏方式:一些發霉食物如醬類或乾濕物上長有真菌,進而產生黴素,可能引起透明細胞癌。尤其是黃麴黴素,已被證實與肝透明細胞癌關係密切。
3、某些藥物,例如荷爾蒙,也被懷疑與乳透明細胞癌、子宮透明細胞癌有關。
個人習慣
1、吸菸者比不吸菸者易患肺透明細胞癌20倍,口腔癌3-10倍,喉癌3-17倍。
2、性生活的多少與婦女子宮透明細胞癌有關。
濾過性病毒與寄生蟲。一部分血液及淋巴癌症與病毒有關。軟部腫瘤、子宮頸癌、鼻咽癌亦然。
疾病病理
透明細胞癌如果不加切除或抑制透明細胞癌便會惡性生長,奪取人體養分,使人體消瘦衰竭,最終導致死亡。科學家指出,透明癌症細胞在轉移過程中會遇到很多困難,首先要經過數十次變異,然後要克服細胞間粘附作用脫離出來,並改變形狀穿過緻密的結締組織。成功逃逸後,透明癌症細胞將通過微血管進入血液,在那裡它還會遭到白細胞的攻擊。生物體內某些正常細胞生長失去控制而惡性增殖的細胞。
接下來癌細胞將通過微血管進入一個新器官(現被稱為“微轉移”)。在這裡,癌細胞面臨著並不友好的環境(稱作“微環境”),有些細胞當即死亡,有些分裂數次後死亡,還有一些保持休眠狀態,存活率僅為數億分之一。存活下來的透明癌細胞能夠再生和定植,成為化驗中可發現的“肉眼可見轉移”。隨著轉移的發展,它擠走了正常的細胞,破壞了器官的功能,最後足以致命。
病症分類
透明細胞癌卵巢透明細胞癌為惡性腫瘤,應行腫瘤細胞減滅手術,術後輔以化療,其年存活率為40%~50%左右。預後與臨床分期有密切關係
細支氣管肺泡細胞癌
細支氣管肺泡細胞癌是肺癌少見的一種病理類型,占肺癌的2%~5%,誤診率高達80%~90%[1]。細支氣管肺泡細胞癌起病緩慢,主要症狀為咳嗽、氣短、胸痛,咯大量泡沫痰,每日可排痰2000ml以上,痰中可帶血絲,早期症狀較輕,伴隨病情進展而逐漸加重,晚期可出現胸腔積液。也有患者以刺激性劇咳及進行性呼吸困難、氣短為突出表現。其中咳大量泡沫痰為肺泡細胞癌的特徵表現。痰脫落細胞陽性率<40%。X線表現分三型,(1)結節型:孤立球形病灶,邊界清楚。
透明細胞癌病變基底透明細胞癌
基底透明細胞癌又稱基底細胞上皮瘤,是一種基底樣細胞的低度惡性的皮膚腫瘤。在中國是最常見的惡性皮膚腫瘤。本病起源於基底細胞或毛囊外根鞘細胞,生長緩慢,邊緣呈珍珠狀色澤,主要為局部的慢性浸潤性生長。雖可破壞鄰近的組織器官,但極少發生轉移。經常暴露於日光下的農民、漁民、海員或喜日光浴者易發本病;X線引起的射線皮炎、燙傷、燒傷等引起的疤痕以及長期接觸砷污染。
肺泡透明細胞癌
肺泡透明細胞癌:起源於支氣管黏膜上皮,又稱為細支氣管肺泡細胞癌或細支氣管腺癌。部位在肺野周圍。在各型肺癌中,發病率最低,女性比較多見。一般分化程度較高,生長較慢,癌細胞沿細支氣管、肺泡管和肺泡壁生長,而不侵犯肺泡間隔。淋巴和血行轉移發生較晚,但可經支氣管播散到其他肺葉或侵犯胸膜。肺泡細胞癌在形態上有結節型和瀰漫型兩類,前者可以是單個結節或多個結節;後者形態類似肺炎。病變範圍局限的結節型,手術切除療效較好。
腎透明細胞癌
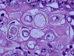
腎透明細胞癌(renalcellcarcinoma)是成年人原發性腎腫瘤中最常見的類型,占腎腫瘤的70~80%,占腎惡性腫瘤的90%。多見於60歲左右的人群,男性多於女性。多以無症狀性血尿為始發症狀,漸出現腰痛並能觸及腫物。初診時腫瘤限於腎內的患者,術後五年生存率可達70%以上,但侵及腎靜脈或擴散至腎周圍脂肪組織的患者,五年生存率僅5~20%。腎細胞癌來源於腎小管上皮細胞,吸菸者比不吸菸者發病率高。
疾病診斷
診斷1.尿路造影:可顯示腎小盞牽拉變形、扭曲變細、小盞破壞,或小盞擴張變形。當腫瘤體積極大並向各方向生長後,大部分腎小盞拉長、變細、變形,有時還進入腎盂,或將上部輸尿管也推壓到對側,甚至超過中線,其形狀頗似蜘蛛足樣,故名“蜘蛛足征”。
2.B超表現:可顯示腎實質內邊界回聲不整齊,內部回聲雜亂不等、高低不均的實性腫塊。整個腎外形變形,局部有腫塊凸起於正常野輪廓之外。
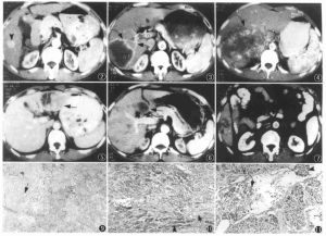
3.CT表現:平掃可見腎局部隆起,內部密度不均勻偏低,其內可見斑片或小點狀鈣化,有時呈蛋殼狀;增強掃描後正常部分腎增強明顯,而癌內增強較低,內部增強程度不規則,有更低密度的壞死區存在。癌可穿破包膜進入腎周脂肪層,晚期穿破腎筋膜擴散至腎外組織。腎細胞癌分期多採用Robson分期法,即Ⅰ期癌限於腎包膜內;Ⅱ期癌已穿破包膜,侵入脂肪層,仍局限在腎筋膜內;Ⅲ期癌已侵入腎靜脈或(和)下腔靜脈,局部淋巴結可能有轉移;Ⅳ期癌已穿破腎筋膜,侵入鄰近臟器或發生遠處轉移。
透片4.MR表現:在多體位觀察了解腫瘤侵犯範圍,略勝CT一籌。隨著腔內泌尿外科的發展,輸尿管鏡檢查可用於上尿路移行細胞癌的診斷及治療。可直接觀察和作組織活檢,也可切除腫瘤。
尿脫落細胞學檢查對定性診斷有重要意義,並會在影像學改變以前作為發現腫瘤的線索,本組陽性率為50.0%,多次復檢可提高癌細胞的檢出率,並能用於術後檢測腫瘤的復發。尿脫落細胞學檢查簡便易行,可作為篩查手段,如果其他檢查提示輸尿管狹窄而尿中找到癌細胞則更有臨床意義。尿脫落細胞學檢查特異性較好,但敏感性差,一般為30%~50%,容易漏診。NMP22在上尿路移行細胞癌的臨床診斷中有比尿脫落細胞學更好的敏感性,同時具有較好的特異性,成為檢測上尿路移行細胞癌的良好輔助手段之一。
檢查對腎盂癌診斷有重要意義。表現為腎盂內實性占位,晚期可發現浸潤周圍器官和淋巴結。對輸尿管作全程掃描亦有助於診斷輸尿管癌,但套用有一定局限,可作為尿路造影的補充檢查。CT對早期輸尿管腫瘤的診斷意義不大,不能作為輸尿管癌的常規診斷方法,但對晚期腫瘤的分期及了解腫瘤浸潤範圍有重要意義
根據X線影像如充盈缺損區邊緣連續性和形態、充盈缺損區造影劑殘留等情況,可以估計相應的腫瘤大體形態和腫瘤分期,並進一步推測腫瘤的分級。是上尿路移行細胞癌的主要診斷方法。由於10%~30%腎盂癌和50%輸尿管癌IVU完全不顯影,若逆行造影失敗會影響診斷和處理方法的制定。MRU能良好解決該問題,並有不需造影劑的對比和避免放射性損害等優點。
疾病治療
透明細胞癌冷凍療法和加溫療法低溫(-40℃以下)和高溫(45℃以上)都可以將癌細胞殺死。因此人們開展了用液氮冷凍治療淺表皮膚癌和某些良性皮膚腫瘤,以及局部加溫治療皮膚癌、四肢癌和膀胱癌。加溫方法有短波、超短波、微波及雷射等手段。
基因療法
基因是細胞內的遺傳物質,化學成分是脫氧核糖核酸(DNA)。不同的基因起著不同的生物學作用,而癌症的發生、發展均與細胞內基因發生變化有關。已經發現了兩類與癌症直接相關的基因,即原癌基因和抑癌基因。原癌基因的變化會導致腫瘤發生,而抑癌基因的作用是阻止細胞癌變。
中醫治療
中國的中醫療法源遠流長,其治療腫瘤不僅有獨到之處,而且可彌補西醫療法的某些不足。中醫藥治療癌症不僅有抑制、殺傷癌細胞的作用,還可改善病人症狀及其生存質量,延長生存期,提高機體免疫能力,減輕放療、化療及手術的不良反應或併發症。中醫治療作為術前治療的一部分,可以改善臟器的功能,提高病人對手術的耐受性。術後套用中醫治療可促進體力恢復,減少術後復發及併發症。同時,部分中草藥還是放療的增敏劑,可增強抗癌效果。
立體定向放射療法
立體定向放射療法無創性立體定向放射是世界醫學界治療腫瘤的領先技術,具有療效好、準確、安全、無創傷、將患者痛苦減低至最小程度的特點。立體定向放射療法的精確度非常高。
免疫療法
患癌症的病人,體內免疫功能往往低下才造成了癌症發生、發展以至擴散。免疫療法的目的就是通過各種手段來提高機體免疫功能,從而達到遏制癌的生長或擴散的目的。提高免疫力的製劑稱為免疫增強劑,其中有熟悉的卡介苗,還有轉移因子、干擾素、免疫核糖核酸等。
內分泌療法
適用於那些發生、發展及治療與體內激素含量密切相關的症,即激素依賴性癌症。這些癌症主要有乳腺癌、前列腺癌、子宮內膜癌及甲狀腺癌。其原理是通過服用或注射某種激素對體內激素水平進行調整,達到控制癌生長的目的。例如用雄激素治療乳腺癌、雌激素治療前列腺癌、甲狀腺素片治療甲狀腺癌等等。內分泌療法仍然作為癌症的輔助治療手段,不能取代手術、放療和化療。
導向療法
導向療法是一種比較新的治療癌症的技術。與一般化療不同之處是將殺死癌細胞的化療藥物與一種專門與癌細胞結合的物質結合在一起。用藥後,藥物絕大部分集中在癌細胞上,化療藥物可以最大限度地殺死癌細胞,對正常細胞影響小,因此療效高,副作用小。已研製出多種針對不同癌症的單克隆抗體像雷射制導的飛彈一樣精確地“飛向”癌細胞,攜帶的彈頭就是殺傷癌細胞的藥物。
化學療法
化學療法即用化學藥物治療癌症,一般都是指西藥抗癌藥。這些藥物能在癌細胞生長繁殖的不同環節抑制或殺死癌細胞,達到治療目的。但現有的化學藥物在殺傷癌細胞的同時對正常人體細胞也有損害。因此,進行化療時往往出現不同程度的副作用,如噁心、嘔吐、脫髮等。化療主要用於各種類型的白血病以及用於無法手術而又對放療不敏感的病人。此外,也用作癌症手術後的輔助療法,以便殺死散在的或只能在顯微鏡下才能發現的癌細胞,推遲或預防癌症復發。
透片普通放射療法
普通放射療法是用放射線殺死癌細胞以達到治療目的。有些癌症對放療效果好,或稱對放療敏感,例如霍奇金病、非霍奇金淋巴瘤、白血病等;而另一些癌症則對放療不敏感,即效果不好,例如胰腺癌、結腸腺瘤、軟骨肉瘤及黑色素瘤等。放療可以有效地殺死癌細胞,可以避免手術造成的組織缺損和畸形。當癌已向周圍組織蔓延或轉移到別處,手術無法徹底切除,就可以用放療來殺死癌細胞。與化療一樣,普通放療也對人體正常細胞造成損傷,所以會產生一系列副作用。
手術療法
手術療法是最早套用的治療癌症的方法,也是許多早期癌症治療的首選療法。許多早期癌症可以通過成功的手術達到根治的目的。一些癌症病人病情發展到晚期,無法進行根治性手術,但是為了減輕病人痛苦,延長病人生命,也可進行手術,這種手術稱為姑息性手術。例如結腸癌阻塞腸腔,無法正常排便,則要採取大腸造瘺的姑息性手術以解除腫瘤對腸腔的阻塞。不是任何癌症都可以進行手術的,例如血癌(即白血病)就無法手術切除。
疾病護理
護理心理護理
疼痛是透明細胞癌的主要症狀之一,尤其是透明細胞癌晚期難以控制的疼痛對患者威脅更大。患者的不同性格、精神狀態及社會背景對疼痛的反應均有不同。良好的心理護理能減輕和避免患者的疼痛感。
爭取信任
在透明細胞癌患者面前應儀表端莊、舉止穩重、動作敏捷、談吐適宜,從而增加患者的安全感,使其情緒穩定,解除焦慮。應以自信、善於控制感情、順應性強、技術嫻熟、工作熱情、果斷的人格角色出現在他們的面前。
透明細胞癌癌痛常提示患者癌細胞的存在和死亡的臨近,患者往往整日悲觀絕望,焦慮不安。護士應組織患者參加必要的活動,如聽音樂、看書、聽些醫學報告,同病友一同結伴遊玩等,將年齡、性格及生活方式相近的患者儘可能安排在同一病房,以便患者互相交流,在和諧的氣氛中分散注意力,減輕疼痛。
病因治療護理
首先應了解各種治療的目的、方法、作用、副作用及可能出現的併發症。由於手術治療、放療、化療早已用於臨床,護士對相應的技術和知識都有了一定的了解和掌握,但隨著醫學科學的發展,新手術方式、溫熱療法、冷凍療法、免疫療法等新技術、新方法、新藥物應運而生,要求護士必須關注抗癌治療新進展,才能安全、準確地執行醫囑,保證護理質量與治療方法相適應,取得最佳效果。
疼痛治療用藥的護理
按照“三階梯”止痛方案,按需給藥。“三階梯”止痛法是臨床癌症疼痛治療的基本方法,即將止痛藥按非麻醉性、弱麻醉性及麻醉性分為三個階段;在以非麻醉性止痛藥(第一階段/輕度疼痛)為主的基礎上,當其不能控制疼痛時,按順序加用少量弱麻醉性藥物(第二階段/中度持續疼痛或加重)及麻醉性止痛藥(第三階段/強烈持續疼痛),已達到儘可能緩解癌痛的目的。
了解透明細胞癌痛治療藥物的用法、劑量及適用範圍。如不經胃腸給藥的嗎啡對較嚴重的疼痛有效,聯合用藥更有效等。止痛藥儘可能口服,其次是直腸給藥,最後是皮下或靜脈,反對肌內注射。因肌內注射作用持續時間短,肌肉薄者吸收差,自我用藥困難等。要根據藥物的半衰期定時給藥,在前次藥效消失1h前用藥,以免給患者增加痛苦,增加藥物劑量。掌握其他療法的護理。如經靜脈持續使用PCA泵自控鎮痛及硬膜外腔和椎管內給藥,應注意消毒及無菌操作,注意局部皮膚及導管的檢查與護理,防止硬膜外腔及椎管內發生感染,出現問題及時對症處理等。
疾病預防
檢查預防1.身體任何部位,如乳腺、頸部或腹部的腫塊,尤其是逐漸增大的。
2.身體任何部位,如舌頭、頰黏膜、皮膚等處沒有外傷而發和生的潰瘍,特別是經久不愈者。
3.中年以上的婦女出現不規則陰道流血或分泌物(俗稱白帶增多)。
4.進食時胸骨後悶脹、灼痛、異物感或進行性加重的吞咽不順。
5.久治不愈的乾咳或談中帶血。
6.長期消化不良、進行性食慾減退、消瘦、又未找出明確原因者。
7.大便習慣改變,或有便血。
8.鼻塞、鼻衄、單側頭痛或伴有復視。
9.黑痣突然增大或有破潰、出血、原有的毛髮脫落。
10.無痛性血尿。
除上述八大警號和十大症狀外,還有以下一些徵兆,也要高度警惕。
1.單側持續加重的頭痛、嘔吐和視覺障礙,特別是原因不明的復視。
2.耳鳴、聽力下降、回吸性咯痰帶血、頸部腫塊。
3.原因不明的口腔出血、口咽部不適、異物感或腔疼痛。
4.無痛性持續加重的黃疸。
5.乳頭溢液,特別是血性液體。
6.男性乳房增生長大。
7.原因不明的疲乏、貧血和發熱。
8.原因不明的全身性疼痛、骨關節疼痛。
另外,癌前病變也應視為早期徵兆。如黏膜白斑病、皮膚慢性潰瘍、瘺管、增殖性疤痕(特別是化學藥品燒傷引起的疤痕)、萎縮性胃炎和腸上皮化生、直腸多發性息肉、皮膚角化症(特別是大小魚際處的手掌角化症、乳腺囊性小葉增生病、宮頸糜爛、宮頸息肉等)可發展為癌症。
飲食治療
透明細胞癌限制食鹽 成人每日從各種來源攝入的食鹽不應超過6g,其中包括鹽醃的各種食品;盡力減少黴菌對食品的污染,應避免食用受黴菌毒素污染或在室溫下長期儲藏的食物;食品保藏 易腐敗的食品在購買時和在家中都應冷藏或其他適當方法保藏;對食品的添加劑和殘留物以及各種化學污染物應制定並監測其安全用量,並應制定嚴格的管理和監測辦法。食品中的添加劑、污染物及殘留物的含量低於國家所規定的水平時,它們的存在是無害的,但是亂用或使用不當會影響健康;營養補充劑 補充劑不能減少癌症的危險性,大多數人應從飲食中獲取各種營養成分,而不用營養補充劑;食物的製備和烹調 在吃肉和魚時用較低的溫度烹調,不要食用燒焦的肉和魚,也不要經常食用炙烤,熏制和煙燻的肉和魚。
選用富含澱粉和蛋白質的植物性主食,應占總能量的45%~60%,精製糖提供的總能量應限止在10%以內。個體每日攝入的澱粉類食物應達到600g~800g,還應儘量食用粗加工的食物;不要飲酒,尤其反對過度飲酒。如果要飲酒,男性應限制在2杯,女性在1杯以內(1杯的定義是啤酒250ml,葡萄酒100ml,白酒25ml)。孕婦、兒童及青少年不應飲酒;肉類食品 紅肉(指牛、羊、豬肉及其製品)的攝入量應低於總能量的10%,每日應少於80g,最好選擇魚、禽類或非家養動物的肉類為好;總脂肪和油類提供的能量應占總能量的15%~30%,限制脂肪含量較多,特別是動物性脂肪較多的食物,植物油也應適量,且應選擇含單不飽和脂肪並且氫化程度較低的植物油。

