病因病理
腎細胞癌多因腎氣不足水濕不化濕毒內生或外受濕熱邪毒入里蕃毒內外合肥市邪結於水道所致腎虛不能攝血而為血尿腰為腎之府腎虛則腰背痛濕熱結毒日久氣滯血瘀形成腫塊。
現代醫學對腎癌和腎盂癌的病因亦不明了認為可能與致癌物質長期刺激作用有關如吸菸者腎癌發病率較高長期服用止痛解熱的非那西汀類藥物者常發生賢盂腎炎腎盂癌與發病率亦有所增加長期的腎結石及感染可誘發上皮化生及不典型增生後者可發展居癌。
臨床表現
腎細胞癌肉眼或鏡下血尿是最常見的徵象,其次是腰痛,捫及腫塊和不明原因的發熱。高血壓可因節段性缺血或腎蒂壓迫而發生,和有時因促紅細胞生成素活性增高而出現繼發性的紅細胞增多症發生。
通過腹部超聲和CT偶然檢測出的腎細胞癌逐漸增多。偶經放射性同位素骨或腎臟灌注掃描時發現。超聲檢查和靜脈尿路造影可證實腫塊的存在,而CT提供腫塊的密度,局部擴大以及淋巴結和靜脈受累的信息。
磁共振檢查可以進步地提供有關擴大至鄰近結構特別是腎靜脈和下腔靜脈的信息,大多已取代了下腔靜脈造影。主動脈造影和選擇性腎動脈血管造影可用於明確腎細胞癌的性質。並且可在手術前特別是在腎單位保留術前提供更正確的描述腎臟動脈的數目和血管類型。由於常發生肺轉移,胸部X線檢查是必要的。
並發疾病
常繼發性的紅細胞增多症發生。腎細胞瘤常轉移肺骨肝等還存在不少非泌尿系統的腎外表現如高熱肝功能異常貧血高血壓紅細胞增多症和高鈣血症等最嚴重的併發症是死亡。
病理變化
腫瘤多為單發,球形,見於腎的兩極,尤以上極多見,常致腎臟變形。腫瘤常有假包膜形成,因而與周圍腎組織界限清楚。切面見腫瘤多為實性,少數為囊性,灰黃(癌細胞胞漿內含有大量脂質)或灰白色,常有出血(紅褐色)、壞死(灰白)和纖維化(白色)區相間,呈現出多彩顏色。
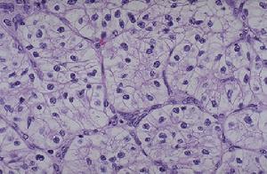
光鏡下,癌細胞多排列成腺泡狀,也見腺管狀或乳頭狀,多為實性癌巢,少數呈囊狀。癌巢之間的間質富於毛細血管,纖維成分少。
透明細胞型(clearcelltype)最多見,有些為顆粒細胞型(granularcelltype),少數為透明細胞顆粒細胞混合型,偶見未分化型。透明細胞型,癌細胞呈多角形,胞漿透明,細胞核小而深染,也稱透明細胞癌(clearcellcarcinoma)。癌細胞排列成腺管狀或腺泡狀。胞漿透明是由於胞漿內含有大量脂質,另外,胞漿內含豐富的糖原也可能與胞漿的透明相關。間質內幾乎無纖維組織,富於血管。
顆粒細胞型,癌細胞呈立方形或多角形,胞漿呈伊紅色顆粒狀,腺管狀結構明確,癌細胞呈立方型。間質由毛細血管構成。癌細胞胞漿富於細胞器特別是線粒體,因而HE染色呈細顆粒狀。較透明細胞型癌細胞核異型性顯著,細胞排列也較亂,惡性度高,予後較差。
未分化型(undifferentiatedtype)癌細胞呈梭形或不規則形,似肉瘤。
檢查
腎細胞癌巨檢:腫瘤外觀為不規則圓形或橢圓形腫塊有層纖維包摸;血供豐富血管怒張有充血及出血區腫瘤的顏色與血管多少癌細胞內脂質含量以及出血壞死等因素有關般說來生長活躍區為白色透明細胞呈黃色顆料細胞或未分化細胞呈灰白色暗紅色或紅色部位分別為陳舊或新鮮出血區常有囊性變中心壞死血腫或不規則鈣化灶。
顯微鏡檢查:癌細胞類型主要為透明細胞癌顆粒細胞癌和未分化癌等其中以透明細胞癌為常見透明細胞癌體積大邊緣清晰呈多角形核小而均勻染色深;細胞質量多呈透明色細胞常排列成片狀乳頭狀或管狀顆粒細胞呈圓形多邊形或不規則形態暗色;細胞質內充滿細小的顆粒胞質量少;核略深染還有種惡性程度更高的腎癌其細胞呈梭形核較大或大少不有較多的核分裂象呈肉瘤樣結構稱為未分化癌。
影像學表現
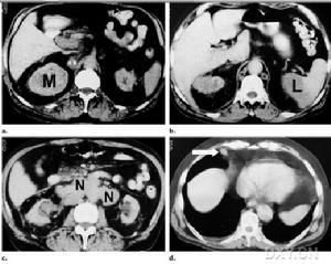
腎細胞癌1.尿路造影:可顯示腎小盞牽拉變形、扭曲變細、小盞破壞,或小盞擴張變形。當腫瘤體積極大並向各方向生長後,大部分腎小盞拉長、變細、變形,有時還進入腎盂,或將上部輸尿管也推壓到對側,甚至超過中線,其形狀頗似蜘蛛足樣,故名“蜘蛛足征”。
2.B超表現:可顯示腎實質內邊界回聲不整齊,內部回聲雜亂不等、高低不均的實性腫塊。整個腎外形變形,局部有腫塊凸起於正常野輪廓之外。
3.CT表現:平掃可見腎局部隆起,內部密度不均勻偏低,其內可見斑片或小點狀鈣化,有時呈蛋殼狀;增強掃描後正常部分腎增強明顯,而癌內增強較低,內部增強程度不規則,有更低密度的壞死區存在。癌可穿破包膜進入腎周脂肪層,晚期穿破腎筋膜擴散至腎外組織。腎細胞癌分期多採用Robson分期法,即Ⅰ期癌限於腎包膜內;Ⅱ期癌已穿破包膜,侵入脂肪層,仍局限在腎筋膜內;Ⅲ期癌已侵入腎靜脈或(和)下腔靜脈,局部淋巴結可能有轉移;Ⅳ期癌已穿破腎筋膜,侵入鄰近臟器或發生遠處轉移。
4.MR表現:在多體位觀察了解腫瘤侵犯範圍,略勝CT一籌。
混淆疾病
腎細胞癌腎囊腫:典型的腎囊腫從影像檢查上很容易與腎癌相鑑別但當囊腫內有出血或感染時往往容易被誤診為腫瘤而有些腎透明細胞癌內部均勻呈很弱的低回聲在體檢篩查時容易被誤診為非常常見的腎囊腫Cloix報告了例“腎臟複雜囊性占位”手術探查結果發現其中為腎癌對於囊壁不規則增厚中心密度較高的良性腎囊腫單獨套用上述任何種檢查方法進行鑑別都比較困難往往需要綜合分析判斷必要時可在B超引導下行穿刺活檢輕易地放棄隨診或魯莽地進行手術都是不可取的。
腎錯構瘤:又稱腎血管平滑肌脂肪瘤是種較為常見的腎臟良性腫瘤隨影像學檢查的普遍開展越來越多見於臨床典型的錯構瘤內由於有脂肪成分的存在在B超CT和MRI圖像上都可作出定性診斷臨床上容易與腎細胞癌進行鑑別腎錯構瘤B超示腫塊內有中強回聲區CT示腫塊內有CT值為負數的區域增強掃描後仍為負值血管造影顯示注射腎上腺素後腫瘤血管與腎臟本身血管同收縮;腎細胞癌B超示腫塊為中低回聲腫塊的CT值低於正常腎實質增強掃描後CT值增加但不如正常腎組織明顯血管造影顯示注射腎上腺素後腎臟本身血管收縮但腫瘤血管不收縮腫瘤血管特徵更明顯。
可以看出腎癌與腎錯構瘤的鑑別要點在於腎癌內沒有脂肪組織而錯構瘤內有脂肪組織但少數情況下腎細胞癌組織中也會因含有脂肪組織造成誤診另外含脂肪成分少的錯構瘤被誤診為腎癌的情況也不少見我所-年收治的例錯構瘤病人中例因術前B超為低回聲和(或)CT為中高密度腫物而被診斷為腎癌分析造成誤診的原因有:有些錯構瘤主要由平滑肌構成脂肪成分少;瘤內出血掩蓋脂肪成分致B超和CT無法辨別;腫瘤體積小由於容積效應CT難以測出腫瘤的真實密度對此種情況加做CT薄層平掃必要時B超引導下針吸細胞學檢查可有助於診斷也有作者認為錯構瘤內出血掩蓋脂肪組織的CT特徵比較顯著但對B超結果的干擾則較少。
腎臟淋巴瘤:腎臟淋巴瘤少見但並不罕見Dimopoulos等報告在例腎臟腫瘤病人中有例為原發性腎臟淋巴瘤腎臟淋巴瘤在影像學上缺乏特點呈多髮結節狀或瀰漫性濕潤腎臟使腎臟外形增大腹膜後淋巴結多受累我所近年收治例病人中的例術前未獲診斷另例靠術前穿刺活檢證實為本病。
腎臟黃色肉芽腫:是種少見的嚴重慢性腎實質感染的特殊類型形態學上有兩種表現:種為瀰漫型腎臟體積增大形態失常內部結構紊亂不容易與腫瘤混淆;另種為局灶性腎臟出現局限性實質性結節狀回聲缺乏特異性有時與腫瘤難以鑑別但這部分病人般都具有感染的症狀腎區可及觸痛性包塊尿中有大量白細胞或膿細胞只要仔細觀察鑑別診斷並不困難。
注意事項
戒菸不酗酒
慎用解熱劑如非那西汀等藥物
患有腎囊腫等腎臟疾病應積極治療
經常參加體育鍛鍊平衡飲食增加營養保持心情愉快增加機體免疫力
經常食用具有防癌抗癌作用的食物

