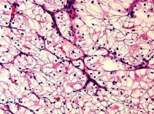
病理變化
在病理上,西醫通常將腎癌分為4型:透明細胞型腎癌、顆粒細胞型腎癌、混合細胞型腎癌、未分化細胞型腎癌。其中,絕大多數為腎透明細胞癌,占腎癌的70%~80%,其癌細胞常排列成片狀、條索狀、腺泡狀或管狀,很像腎小管。
臨床表現
早期常無症狀,或只有發熱、乏力等全身症狀,腫瘤體積增大時才被發現。臨床主要表現為血尿、腎區痛和腫塊。
影像學表現
1.尿路造影:可顯示腎小盞牽拉變形、扭曲變細、小盞破壞,或小盞擴張變形。當腫瘤體積極大並向各方向生長後,大部分腎小盞拉長、變細、變形,有時還進入腎盂,或將上部輸尿管也推壓到對側,甚至超過中線,其形狀頗似蜘蛛足樣,故名“蜘蛛足征”。
2.B超表現:可顯示腎實質內邊界回聲不整齊,內部回聲雜亂不等、高低不均的實性腫塊。整個腎外形變形,局部有腫塊凸起於正常野輪廓之外。
3.CT表現:平掃可見腎局部隆起,內部密度不均勻偏低,其內可見斑片或小點狀鈣化,有時呈蛋殼狀;增強掃描後正常部分腎增強明顯,而癌內增強較低,內部增強程度不規則,有更低密度的壞死區存在。癌可穿破包膜進入腎周脂肪層,晚期穿破腎筋膜擴散至腎外組織。腎細胞癌分期多採用Robson分期法,即Ⅰ期癌限於腎包膜內;Ⅱ期癌已穿破包膜,侵入脂肪層,仍局限在腎筋膜內;Ⅲ期癌已侵入腎靜脈或(和)下腔靜脈,局部淋巴結可能有轉移;Ⅳ期癌已穿破腎筋膜,侵入鄰近臟器或發生遠處轉移。
4.MRI表現:在多體位觀察了解腫瘤侵犯範圍,略勝CT一籌。
治療方法
雖說透明細胞癌在腎癌中是惡性程度最低的,但臨床實際中常常是與顆粒細胞癌和梭型細胞癌三型混合存在,顯微鏡下分級其實非常困難。
1.一般採用腎根治手術治療。腎癌通過血液運輸轉移率很高,約有60%的病人存在轉移可能。轉移器官的頻率依次為:肺(52%)、骨(40%)、肝(23%)、遠處淋巴結(23%)、腎靜脈(22%)、腎上腺(20%)、對側腎(18%)、胸膜(10%)、中樞神經系統(8%)、胰腺(7%)等。所以要密切注意上述組織器官的情況(如發現偏癱、坐骨神經痛、背痛、頸部淋巴結腫大、咳嗽頻繁、肝區疼痛、肝功能異常等情況一般提示有轉移)。如果二年之內沒有發現新的轉移病灶出現,就基本安全了。
2.免疫療法:免疫治療與化療並用,可延長患者生命。常用干擾素、IL-2、BCG等藥物。干擾素治療有積極意義,只要經濟條件允許,應該接受。其他營養和護理同一般腫瘤術後病人,沒有特殊要求。考慮病人只有一隻腎臟了,要注意避免加重腎臟負擔的所有因素如感冒發熱、飲酒、劇烈運動、勞累、腎毒藥物(感冒藥、止痛藥、利尿藥等)。
3.手術後治療
a.白介素2(100-200萬單位)/5天,每扎五天后停兩天。
b.干擾素/三天一次。術後前兩年,一年兩次上述治療。兩年後一年一次。
中醫
中醫作為我國傳統醫學,是腎透明細胞癌治療的重要方法之一,可貫穿腎透明細胞癌的治療的全過程。腎透明細胞癌的中醫治療,能從整體觀念出發,從患者全身的特點加以考慮,而不只是局限在病灶本身,有效地把整體治療與局部治療結合起來。在腎透明細胞癌的治療中,中醫認為不能盲目地追求瘤體的視覺消除和最大程度地殺滅腫瘤細胞,因為在殺滅癌細胞的同時,人體正常細胞也會受到損傷,患者會出現各種不良反應症狀,腎臟在人體的生命活動中是個及其重要的器官,要儘量保護。大過激烈的治療手段在無形中對機體造成極大的傷害,甚至會導致癌細胞的擴散轉移從而危及生命。腎透明細胞癌的中醫治療,在抑殺癌細胞的同時,扶助正氣,提高免疫力,保護機體正常機能,改善病人臨床症狀。
分類、症狀和治療
按照腎透明細胞癌各種臨床表現,參考尿血、腰痛、症積等證辨證,將腎透明細胞癌分為7種類型。
1、脾腎兩虛型
證候:腰痛腹脹,尿血或腰腹部腫塊,納差,噁心,嘔吐,身體消瘦,虛弱貧血,舌質淡,舌苔薄白,脈沉細無力或弱。
治法:健脾益腎,軟堅散結。
2、腎陰虛弱型
證候:小便短赤帶血,潮熱盜汗,口燥咽乾,腰膝酸軟,腰痛腹部腫塊,舌質紅,脈細數。
治法:養陰清熱涼血
3、濕熱蘊腎型
證候:腰痛,墜脹不適,尿血,低燒,身沉困,飲食不佳,腰腹部腫塊,舌苔白膩中黃,舌體胖,脈滑數。
治法:清熱利濕,解毒化瘀
4、瘀血內阻型
證候:面色晦黯,血尿頻發,腰部鈍痛,腰腹部腫物日漸增大,腎區憋脹不適,口乾舌燥,舌質紫黯或瘀斑,舌苔薄黃,脈弦或澀或結代。
治法:活血化瘀,理氣散結。
5、心火亢盛型
證候:小便熱赤帶血鮮紅,排尿時或有輕的熱灼之感,心煩口渴,口舌生瘡,夜寐不寧,腰痛腫,舌尖紅,脈洪大數而有力。
治法:清心泄火,涼血止血
6、癌毒走竄,氣血兩虛型
證候:病到晚期,遠處轉移,疲乏無力,自汗盜汗,面色無華,血尿時作,腰痛腹脹,貧血消瘦,行動氣促,有時咳嗽伴有低熱,口乾舌質紅或深紅,黯紫有瘀斑,脈細弱或大而數。
治法:雙補氣血,扶正抑癌。
7、癌邪被攻,餘毒未清型
證候:手術、放療、化療後,腰膝酸軟體弱無力,精神不振,偶有低熱或有血尿,面色蒼白,納差,舌質淡紅,舌苔薄白或白膩,脈軟無力或細數。
治法:益腎健脾,扶正祛邪
隨著中藥現代化的發展,已有越來越多的中成藥及中藥注射劑套用於腎透明細胞癌的治療中來本著中醫扶正固本,祛邪消瘤的思想研究而成的,具有提高機體免疫力、抑制腫瘤的雙向調節作用。

