簡介
牙齦萎縮是一種常見病。病因是因為牙周病引起的,而且之一在牙齦低部有牙結石,牙結石可以造成牙齦萎縮、牙齒鬆動脫落等。牙齦萎縮分為病理性萎縮和生理性萎縮兩類,病理性萎縮主要是齦緣部分存在異物(牙石)又長期得不到清理,細菌滋生刺激所致;另外隨著年齡的增長也會或多或少發生萎縮,使牙根暴露,這種叫生理性萎縮,是不需治療的,但可以通過保健延緩。
病理病因
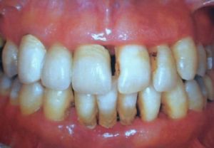
牙齦萎縮 炎症性牙齦萎縮:這種萎縮最常見,主要是因為牙周炎導致牙周組織遭到破壞,牙槽骨吸收以後,附著在牙槽骨上的牙齦也就隨著向牙根方向萎縮,只發生於有牙周炎的患者。
機械性牙齦萎縮:主要是由於牙刷不符合標準,刷牙方法不正確(如橫刷法),不良修復體等機械摩擦或壓迫牙齦,造成牙齦和牙槽骨退縮。多發生於一組牙或個別牙。
廢用性牙齦萎縮:主要由於牙齒沒有了咀嚼功能,牙周組織缺乏必要的功能刺激,長期處於廢用狀態,可使牙齦,牙槽骨吸收。此種牙齦萎縮就如同一個人長期臥床,不進行行走活動,肌肉就會發生萎縮,這是相同的道理。
老年性牙齦萎縮:只發生於老人,是由於年齡增長發生的。是一種生理現象,是人類隨著年齡增長,各個器官功能減退在牙?系統的表現。此種萎縮是大部分或全口牙齒的牙齦和牙槽骨發生萎縮。
早老性牙齦萎縮:和老年性牙齦萎縮一樣,但多發生於較年輕的青年人。也就是說年輕人出現老年人牙齦萎縮的表現,所以稱為早老性牙齦萎縮。據最新的一項調查發現,年輕人過早的出現牙齦萎縮,認為是由於飲食或生活環境污染因素影響而導致牙齦萎縮(食物中含的激素、添加劑等)和藥物導致導致牙齦萎縮。
不論是上述哪種原因引起的牙齦萎縮,究其根源,本質上都是由於長期缺乏維生素C而導致牙齦營養不良,免疫機能低下,從而呈現出來的萎縮退化。牙齦萎縮一旦發生,較難使牙齦和牙槽骨再生而恢復原有的高度。
臨床表現
1.胃火上蒸牙齦萎縮齦肉萎縮腐頹,牙根宣露,伴有口臭、口渴、喜涼飲,大便秘結,脈滑數,舌質紅,苔黃厚。
2.腎陰虧損牙齦萎縮
牙齦萎縮潰爛,邊緣微紅腫,牙根宣露,伴牙齒鬆動,頭暈耳鳴,腰酸,手足心熱,脈細數,舌紅苔少。
3.氣血雙虧牙齦萎縮
牙齦萎縮顏色淡白,牙齒鬆動,伴牙齦出血,頭昏目花,失眠多夢,脈沉細,舌質淡,苔薄白。
治療方法
牙齦萎縮 還有各種原因所致的過度咬合力,也會使牙異常移動,而使牙齦退縮。牙齦退縮是不可逆的,重點應放在預防上:
①定期的口腔保健。已開發國家的經驗證明,每6到12個月潔一次牙,是預防牙齦炎症的有效措施。已有牙周病症狀的患者,應及時接受系統牙周治療。
②掌握正確的刷牙方法。推薦使用刷毛較軟,頂端圓鈍的牙刷。牙膏以含氟牙膏為佳,其中含的磨擦劑應粗細合適。同時要學會正確的刷牙姿勢,大多數人可採用豎刷法或短橫顫動法。在必要的情況下使用牙籤、牙線以清理牙刷難以到達的位置等。
③不要圖便宜和方便。在一些技術水平不高、操作不規範的小診所鑲牙,這也是產生不良修復體的的主要原因。
④如有患者覺得自己有個別牙發生異常移動,應及時到醫院檢查,以便對症處理。
主要是齦緣部分存在異物又長期得不到清理,細菌滋生刺激長期存在所致;另外隨著年齡的增長也會或多或少發生萎縮,使牙根暴露,這種叫生理性萎縮,是不需治療的。再就是牙科手術不當留下的後遺症。保持清潔是延緩牙齦萎縮的最有效的方法,定期洗牙亦顯得尤為重要。 炎症性的牙齦萎縮,主要表現為牙齦紅腫脹痛,刷牙時常見出血。而老年牙齦萎縮常使裸露了的牙極對冷熱的溫度變化及酸性食物等異常敏感,妨礙進食,降低生活質量,尢應注意防治。
1、養成良好的口腔衛生習慣。應選用符合全國牙防組織推薦的牙膏及牙刷。每天刷牙2-3次,晚睡前的一次必不可少。在來不及或不方便刷牙時,可用漱口代替,在某些特殊場合里,可用湯或茶水漱口,以保持口腔清潔。
2、防治炎性口腔病。牙周炎、牙結石、口腔潰瘍、牙齦炎、牙齦膿腫、食物嵌塞及不大合適的假牙等,都是刺激引致牙齦萎縮的原因,所以應定期到醫院檢查治療,並進行有關口腔自我保健知識的諮詢;對於已經萎縮的牙齦,也可以手術治療。
3、治療引發牙齦萎縮的老年性全身性疾病。如內分泌紊亂可導致牙齦萎縮;貧血和缺乏維生素C,易牙齦出血;糖尿病人容易發生口腔炎症;白血病等嚴重疾病也可引起牙齦萎縮。在治癒原發疾病之後,牙齦萎縮也隨之好轉。
4、嚴防環境污染。砷、鉛等中毒可導致牙周炎,牙齦水腫及牙齦萎縮,故應重視自己的工作和生活環境質量,避免接觸有毒物質。
修護牙齦5、食療。枸杞煮瘦肉或生地,熟地、生薑各15克煮雞蛋,對預防及治療牙周疾病效果良好,可以長期食用。目前提倡的正確刷牙方法有以下幾種:
6、生物吸收治療法:最新的牙齒口腔問題研究機構,經過分別追蹤取樣了許多牙齦萎縮患者,發現他們並沒有維生素缺乏的全身綜合症狀,而且在臨床上,通過大量服食維生素治療牙齦萎縮的效果也不佳。由此可見,牙齦萎縮是一種局部的器官退化現象,或者說,是一種局部出現的營養輸送障礙。
7、中醫治療方法:杏林集“東恆牙宣方”為宋代醫家李東恆所創,收錄於《蘭室秘藏》。《蘭室秘藏》載:東恆牙宣方,清熱解毒,消腫止痛,牢牙護齦,固腎健齒。適用於牙齒宣露、齒脫血出、齒動欲脫,疼痛礙食,或體有發熱惡寒。早晚刷牙前,以牙刷沾水並甩乾,沾適量牙粉堅持刷牙2-3分鐘,再以清水漱口。每日早晚各使用一次。
許多人都知道口腔組織的細胞代謝非常活躍,因為飲食的關係,口腔細胞死亡率極高,但再生能力也極強。喝一口滾水就能燙死很多細胞,但24小時後同數量的細胞就補充上來。這種代謝速度,勢必造成口腔對營養的需求量極大,而人體對口腔的營養輸送跟不上其消耗量,從而造成局部器官提前老化。這是人體的一種天生缺陷,通過自身營養轉換不能彌補,因此也不可能改善(逆轉)這種局部早衰現象。
要想彌補這種先天性缺陷,可行的辦法只能是進行直接的輸送營養,即,不通過消化系統的功能轉換,不通過血液傳輸,而是直接讓一個外露的組織吸收營養,這在醫學上被稱為體外輸送營養,如果實現就等於締造了一個神話,因為目前在醫學上還沒有這樣的成功先例。但是,要解決牙齦萎縮,根治牙周炎等一系列牙齒難題,就必須攻克“體外輸送營養”這一高不可攀的醫學難題。
牙齒黃金廣告宣傳說能解決此問題,不過實際療效還有待確定。讀者可以去參考百度 牙齒黃金吧。根據自己的判斷選擇是否使試用。
豎刷法:就是將牙刷毛束尖端放在牙齦和牙冠交界處,順著牙齒的方向稍微加壓,刷上牙時向下刷,刷下牙時向上刷,牙的內外面和咬合面都要刷到。在同一部位要反覆刷數次。這種方法可以有效消除菌斑及軟垢,並能刺激牙齦,使牙齦外形保持正常。顫動法,指的是刷牙時刷毛與牙齒成45度角,使牙刷毛的一部分進人牙齦與牙面之間的間隙,另一部分伸人牙縫內,來回做短距離的顫動。當刷咬合面時,刷毛應平放在牙面上,作前後短距離的顫動。每個部位可以刷2-3顆牙齒。將牙的內外側面都刷於淨。這種方法雖然也是橫刷,但是由於是短距離的橫刷,基本在原來的位置作水平顫動,同大幅度的橫向刷牙相比,不會損傷牙齒頸部,也不容易損傷到牙齦。
生理刷牙法:指的是牙刷毛頂端與牙面接觸,然後向牙齦方向輕輕刷。這種方法如同食物經過牙齦一樣起輕微刺激作用,促進牙齦血液循環,有利於使牙周組織保持健康。
總之,刷牙要動作輕柔,不要用力過猛,但要反覆多次。牙齒的每個面都要刷到,特別是最靠後的磨牙,一定要把牙刷伸入進去刷。如果將前面的幾種方法結合起來套用,則效果會更好。每次刷完牙,如果不放心,還可以對著鏡子看一看是否乾淨了,只有認真對待,才能保證刷牙的效果。
疾病保健
1、定期的口腔保健
已開發國家的經驗證明,每6到12個月潔一次牙,是預防牙齦炎症的有效措施。已有牙周病症狀的患者,應及時接受系統牙周治療。
2、掌握正確的刷牙方法
推薦使用刷毛較軟,頂端圓鈍的牙刷。牙膏以含氟牙膏為佳,其中含的磨擦劑應粗細合適。同時要學會正確的刷牙姿勢,大多數人可採用豎刷法或短橫顫動法。在必要的情況下使用牙籤、牙線以清理牙刷難以到達的位置等。
3、不要圖便宜和方便
在一些技術水平不高、操作不規範的小診所鑲牙,這也是產生不良修復體的的主要原因。
4、應及時到醫院檢查
如有患者覺得自己有個別牙發生異常移動,應及時到醫院檢查,以便對症處理。主要是齦緣部分存在異物又長期得不到清理,細菌滋生刺激長期存在所致;另外隨著年齡的增長也會或多或少發生萎縮,使牙根暴露,這種叫生理性萎縮,是不需治療的。再就是牙科手術不當留下的後遺症。保持清潔是延緩牙齦萎縮的最有效的方法,定期洗牙亦顯得尤為重要。炎症性的牙齦萎縮,主要表現為牙齦紅腫脹痛,刷牙時常見出血。而老年牙齦萎縮常使裸露了的牙極對冷熱的溫度變化及酸性食物等異常敏感,妨礙進食,降低生活質量,尤應注意防治。
預防牙齦萎縮
豎刷法:就是將牙刷毛束尖端放在牙齦和牙冠交界處,順著牙齒的方向稍微加壓,刷上牙時向下刷,刷下牙時向上刷,牙的內外面和咬合面都要刷到。在同一部位要反覆刷數次。這種方法可以有效消除菌斑及軟垢,並能刺激牙齦,使牙齦外形保持正常。
顫動法,指的是時刷毛與牙齒成45度角,使牙刷毛的一部分進入牙齦與牙面之間的間隙,另一部分伸人牙縫內,來回做短距離的顫動。當刷咬合面時,刷毛應平放在牙面上,作前後短距離的顫動。每個部位可以刷2-3顆牙齒。將牙的內外側面都刷乾淨。這種方法雖然也是橫刷,但是由於是短距離的橫刷,基本在原來的位置作水平顫動,同大幅度的橫向相比,不會損傷牙齒頸部,也不容易損傷到牙齦。
生理法:指的是牙刷毛頂端與牙面接觸,然後向牙齦方向輕輕刷。這種方法如同食物經過牙齦一樣起輕微刺激作用,促進牙齦血液循環,有利於使牙周組織保持健康。
總之,要動作輕柔,不要用力過猛,但要反覆多次。牙齒的每個面都要刷到,特別是最靠後的磨牙,一定要把牙刷伸入進去刷。如果將前面的幾種方法結合起來套用,則效果會更好。每次刷完牙,如果不放心,還可以對著鏡子看一看是否乾淨了,只有認真對待,才能保證的效果。
防治牙齦萎縮
1、嚴防環境污染。砷、鉛等中毒可導致牙周炎,牙齦水腫及牙齦萎縮,故應重視自己的工作和生活環境質量,避免接觸有毒物質。
2、養成良好的口腔衛生習慣。應選用符合全國牙防組織推薦的牙膏及牙刷。每天刷牙2-3次,晚睡前的一次必不可少。在來不及或不方便刷牙時,可用漱口代替,在某些特殊場合里,可用湯或茶水漱口,以保持口腔清潔。
3、治療引發牙齦萎縮的老年性全身性疾病。如內分泌紊亂可導致牙齦萎縮;貧血和缺乏維生素C,易牙齦出血;糖尿病人容易發生口腔炎症;白血病等嚴重疾病也可引起牙齦萎縮。在治癒原發疾病之後,牙齦萎縮也隨之好轉。
4、防治炎性口腔病。牙周炎、牙結石、口腔潰瘍、牙齦炎、牙齦膿腫、食物嵌塞及不大合適的假牙等,都是刺激引致牙齦萎縮的原因,所以應定期到醫院檢查治療,並進行有關口腔自我保健知識的諮詢;對於已經萎縮的牙齦,也可以手術治療。
5、食療。枸杞煮瘦肉或生地,熟地、生薑各15克煮雞蛋,對預言及治療牙周疾病效果良好,可以長期食用。
牙齦萎縮中醫治療
1、使用六味地黃丸口腔貼上片。本品每片含甲硝唑5毫克,用時將貼片粘附於口腔內患處。2、用消毒棉簽蘸3%過氧化氫溶液(雙氧水),塗搽牙齦緣,見有氣泡形成,即用溫水漱口。因為過氧化氫可釋放出新生態氧,具有清洗、止血、滅菌、除臭之作用。然後塗以2%碘甘油,每日3次,直至牙齦炎痊癒為止。
3、飯後含漱葡萄糖氯已定含漱液。成人每次10毫升,兒童每次5毫升,每次含漱1~2分鐘後吐棄,不得咽下。也可選用濃甲硝唑含漱液,甲硝唑為抗厭氧菌藥,能阻礙細菌新陳代謝,稀釋後含漱,每日4~6次。複方氯己定含漱液、濃替硝唑含漱液,也可任選一種。
4、中成藥可用牛黃清胃丸、六味地黃丸、銀翹解毒丸。此外,複方草珊瑚含片、複方黃芩片、健民咽喉片、金果含片、冬凌草片、利咽解毒顆粒、齒痛消炎靈顆粒、口炎清顆粒、口腔潰瘍散、唇齒清胃丸等也可選用。
就醫指南
1、經上述治療後,仍有牙齦自發性出血或刷牙出血,應及時就醫。2、患者若有牙排列擁擠,不易清潔或牙間隙過大,應進行矯治。
3、因牙結石堆積所引起的牙齦炎應就醫,清出牙石。
特別提醒
含服西藥非處方藥,如甲硝唑口腔貼上片時,應在口中慢慢溶化,切勿整片吞下,含化後暫勿飲水及進食。對碘過敏者,禁用碘甘油。
用含漱液含漱時,至少在口腔內停留1~2分鐘,含漱後吐出,不得咽下。
妊娠及哺乳期婦女禁用甲硝唑製劑。
護理方法
1、掌握正確的刷牙方法,使用合理的牙刷,刷牙藥豎刷,要里外都刷乾淨。
2、每天早晨叩齒數十次,以增強體質、牙周組織的抵抗力。
3、減少冷、酸、辛辣、油炸食品的攝入,避免腐蝕性強物質腐蝕牙齒。
4、漱口可除去食物碎屑,部分軟垢,保持口腔清潔,更好的發揮其生理功能。
5、加強鍛鍊,增強體質,增強免疫功能。
6、堅持使用杏林集東恆牙宣方刷牙。牙周炎病程較長,需耐心使用,才能有效對抗。

