疾病概述
牙周組織病一般是指廣義的,即泛指發生於牙周組織的各種病理情況,主要包括牙齦病和牙周炎兩大類。狹義的牙周病僅指造成牙周支持組織破壞的牙周炎。牙周組織包括牙齦、牙周韌帶(牙周膜)和牙槽骨、牙骨質。牙骨質雖然屬於牙體組織,但它與牙齦、牙周韌帶和牙槽骨共同構成一個功能系統,將牙齒牢固地附著於牙槽骨,承受咬合功能,並構成口腔黏膜與牙齒硬組織之間良好的封閉狀態,故習慣上將這四種組織合稱為牙周支持組織或附著裝置。
疾病描述
牙齦病是指局限於牙齦未侵犯深部牙周組織、以炎症為主的一組疾病。包括:
(1)炎症為原發變化的慢性齦緣炎;
(2)某些全身因素所致的或伴發的炎症,如藥物性牙齦增生;
(3)有些全身情況加重或促發的炎症,如青春期和妊娠期牙齦炎;
(4)局部因素如菌斑等的刺激所表現的良性腫瘤樣病變,如牙齦瘤等。牙齦炎若未及時治療,病損有可能發展成為牙周炎。
病因
牙齦病慢性齦緣炎的始動因子是牙菌斑、牙石、食物嵌塞、不良修復體等,可促使菌斑和服聚,引發或加重牙齦的炎症。
(一)慢性單純性齦炎是病變只局限於牙齦的一種慢性炎症的改變。
(二)妊娠期齦炎有的婦女在妊娠期,牙齦會充血腫大,一般在懷孕後第二三個月時發生。分娩後,可逐消退,稱之為妊娠期齦炎。
(三)牙齦增生指牙齦組織的細胞成分增多所致的牙齦體積增大,是由局部刺激以外的因素引起的非炎症性變化。
1、藥物性牙齦纖維增生主要見於長期服用苯妥英鈉治療的癲癇病人;
2、牙齦纖維瘤病是牙齦組織的瀰漫性纖維增生。
慢性齦緣炎的始動因子是牙菌斑、牙石、食物嵌塞、不良修復體等,可促使菌斑和服聚,引發或加重牙齦的炎症。
(一)、慢性單純性齦炎是病變只局限於牙齦的一種慢性炎症的改變。
(二)、妊娠期齦炎有的婦女在妊娠期,牙齦會充血腫大,一般在懷孕後第二三個月時發生。分娩後,可逐消退,稱之為妊娠期齦炎。
(三)、牙齦增生指牙齦組織的細胞成分增多所致的牙齦體積增大,是由局部刺激以外的因素引起的非炎症性變化 。
臨床表現
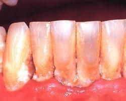
牙齦病慢性單純性齦炎是自覺症狀不明顯,但常不刷牙、咀嚼、吮吸等引起牙齦出血的現象。牙齦緣和齦乳頭充血、水血、水腫,由原來的粉紅色變為深紅乃至紫紅色。齦溝內滲出物增多,輕探之,即易出血;妊娠期齦炎是緣齦和齦乳頭明顯發紅、腫大、鬆軟、發亮,觸之易出血。有時個別齦乳頭可快速生長如球狀,觸之柔軟,並可有蒂,稱妊娠瘤;牙齦增生所包括的藥物性牙齦纖維增生是指增生起於牙列中唇頰或舌、齶側的緣齦或齦乳頭,開始呈小球狀突起,隨著增生的繼續進展,齦乳頭可互相靠近,最終連線在一起而復蓋大部牙面.一般不出血,無痛。牙齦纖維瘤病表現為口內大部以至全部牙齦呈瀰漫性增生,直達膜齦聯合處,增生牙齦顏色正常,觸之堅實,表面光滑或呈結節狀,點彩明顯,不易出血。
牙齦病如果治療不及時,可能需要拔除患牙,造成牙列缺損,嚴重影響消化功能和面容美觀,造成生活質量的下降。並且,患了牙周炎之後,不僅可能繼發其它口腔疾病如牙髓炎症,還可對全身健康產生較大影響。牙周感染引起急性或亞急性感染性心內膜炎是明顯例子,其它關於牙周炎與早產和低出生體重兒、消化道疾病、呼吸道疾病、關節炎等之間的關係尚在研究中。根據上述主要臨床表現,結合局部有刺激因素存在即可診斷。
典型疾病
牙齦俗稱牙床,而牙齦炎也即牙床發炎,是一種最常見的疾病,成年人及青少年都可發病。此病與局部牙石的機械刺激及全身代謝障礙和中醫所說的“上火”有密切關係。
本病臨床分5型:即緣齦炎、肥大性齦炎、妊娠性齦炎、青春性齦炎和剝脫性齦炎。其中緣齦炎最常見,多發於成年人。肥大性齦炎多發於青少年,其病因明確,只要去除局部刺激(牙石)、改正口呼吸及咬頜不良的習慣,預後良好。妊娠性牙齦炎多在分娩後減輕或消失。青春性齦炎多發於青春前期的青少年、女性為多,近成年時一般自行消退。剝脫性齦炎是一種綜合徵、此症常伴有口腔苔蘚或天皰瘡。自診要點牙髓炎的典型症狀是牙齦出血、牙齦癢脹。刷牙時容易出血,甚至說話時也會出血。治療建議在醫生建議下進行洗牙及相應治療。自我治療可在牙冠周圍塗碘甘油以去除牙石,平時經常服用維生素C,每次0.2克,每日3次。
牙齦病由於牙齦炎與全身的代謝障礙有關,可以使用中成藥治療:(1)屬胃經實火型的,宜清胃瀉火。可服牛黃清胃丸。
(2)屬陰虛胃熱型的,宜滋腎陰清胃熱,可服六味地黃丸、麥味地黃丸等。(3)屬外感風熱型的,宜疏風清熱,可服銀翹解毒丸、犀羚解毒丸等。
預防制定與季節變化適應的作息制度。多漱口,勤刷牙,克服用口呼吸的不良習慣,養成清晨排便習慣。進餐要規律,細嚼慢咽,多食蔬菜,如胡蘿蔔、菠菜、木耳。適量進食水果,如山楂、蘋果。正確的刷牙方法是預防牙齦炎最簡單有效的方法,應順著牙齒長軸方向,上牙向下刷,下牙往上刷,每個牙面都要刷到,這樣刷牙不僅能把牙刷乾淨而且對牙齦起到按摩作用,促進牙齦的血液循環。
預防
牙齦病1、預防制定與季節變化適應的作息制度。多漱口,勤刷牙,克服用口呼吸的不良習慣,養成清晨排便習慣。進餐要規律,細嚼慢咽,多食蔬菜,如胡蘿蔔、菠菜、木耳。適量進食水果,如山楂、蘋果。
2、正確的刷牙方法是預防牙齦炎最簡單有效的方法,應順著牙齒長軸方向,上牙向下刷,下牙往上刷,每個牙面都要刷到,這樣刷牙不僅能把牙刷乾淨而且對牙齦起到按摩作用,促進牙齦的血液循環。
3、紅葡萄酒中所含的化合物有效預防牙齦病。
4、如果計畫懷孕,最好進行一次口腔清潔。只有少量或沒有牙菌斑的婦女懷孕後很少會因激素水平變化而出現牙周病。
5、孕婦在懷孕期間進行自我保健,定期進行牙。孕婦牙齦病易引發早產。
6、在家庭中應養成良好的口腔衛生習慣。正確的保健方法是每天使用牙線,刷牙時間長一些,經常用漱口水漱口,並按摩牙齦。應先使用牙線清除牙縫間的食物殘渣並清除牙菌斑,然後用牙刷輕柔但徹底地刷牙。
7、建議每年看1-2次牙醫,以去除難以清除的牙菌斑和牙結石。每日2次,每次至少15分鐘保養牙齒。另外每日按摩牙齦15分鐘 。

