介紹
醫學上將圍繞並覆蓋在牙齒周圍的軟組織稱為牙齦,發生於牙齦組織的急慢性炎症稱為牙齦炎(gingivitis)。表現為牙齦出血,紅腫,脹痛,繼續發展侵犯硬組織,產生牙周炎,包括牙齦組織的炎症及全身疾病在牙齦的表現。
臨床表現
1、牙齦出血:
常為牙齦炎患者的主要自覺症狀,多在刷牙或咬硬物時發生,偶也可有自發性出血。
正常牙齦2、牙齦顏色:
正常牙齦呈粉紅色,患齦緣炎時游離齦和齦乳頭變為深紅或暗紅色,這是由於牙齦結締組織內血管充血、增生所致。
3、牙齦外形:
正常牙齦應為菲薄而緊貼牙面,患牙齦炎時,由於組織水腫,使齦緣變厚,不再緊貼牙面,齦乳頭變為圓鈍肥大,與牙面不再緊貼。在以炎症和滲出為主要病變者,牙齦鬆軟肥大,表面光亮,齦緣有時糜爛滲出;在以纖維增殖為主的病例,牙齦堅韌肥大,有時可呈結節狀並蓋過部分牙面。
4、牙齦質地:
由於結締組織內炎症浸潤及膠原纖維消失,使原來質地緻密的牙齦變得鬆軟脆弱,缺乏彈性。有些慢性炎症時牙齦表面上皮增生變厚,膠原纖維增生,使牙齦表面看來堅硬肥厚,但牙周袋內壁有炎症,探診有出血。
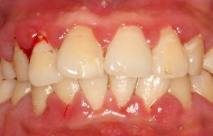
問題牙齦5、牙周袋深度:
牙周組織健康時,牙周袋深度一般不超過2-3mm,當牙齦有炎性腫脹或增生時,齦溝可加深達3mm以上,形成假性牙周袋。
6、探診出血:
健康的牙齦在刷牙或探測齦溝時均不引起出血。患牙齦炎時輕觸即出血,探診也出血。探診後出血是診斷牙齦有無炎症的重要客觀指標。
7、齦溝液增多:
牙齦有炎症時,齦溝液滲出增多,其中的白細胞也明顯增多,有些患者還可有齦溝溢膿。因此測量齦溝液量可作為判斷炎症程度的指標。
炎症牙齦8、有些患者偶而感到牙齦局部癢、脹等不適,並有口臭等。
分類
1、慢性齦炎:是最常見的一種形式,患病率高,幾乎每人在一生的某個時期均會發生程度和範圍不等的慢性牙齦炎。齦緣附近牙面上堆積的牙菌斑是慢性齦炎的始動因子,其他如牙石、食物嵌塞、不良修復體、牙錯位擁擠、口呼吸等因素均可促進菌斑的積聚,引發或加重牙齦的炎症。
2、青春期齦炎:是受內分泌影響的牙齦炎之一,男女均可患病,但女性患者稍多於男性。菌斑仍是青春期齦炎的主要病因,這一年齡段的人群,由於乳恆牙更替、牙齒排列不齊,造成牙齒不易清潔,加之該年齡段的患者不易保持良好的口腔衛生習慣,易造成菌斑的滯留,引起牙齦炎。青春期少年體內性激素水平的變化,是青春期齦炎的全身因素,牙齦是性激素的靶組織,由於內分泌的改變,牙齦組織對菌斑等局部刺激物的反應性增強,產生較明顯的炎症或使原有的慢性齦炎加重。
3、妊娠期齦炎:與青春期齦炎類似,也是由於全身激素水平的變化,使原有的牙齦慢性炎症加重,使牙齦腫脹或形成齦瘤樣改變,分娩後病損可自行減輕或消退。
4、急性齦乳頭炎:病損局限於個別牙齦乳頭,牙齦乳頭受到機械或化學的刺激如食物嵌塞、不適當的使用牙籤、過硬過銳的食物刺傷,不良修復體的邊緣等,產生急性炎症,表現為個別齦乳頭髮紅腫脹,有自發性的脹痛和明顯的探觸痛,甚至有冷熱刺激痛。
5、壞死性潰瘍性齦炎:發生原因是口腔內梭形桿菌和螺鏇體大量繁殖感染所致。一般在身體抵抗力降低、營養不良、過度疲勞時容易發生。起病較急,初起的二、三日內,牙齦紅腫、出血,牙齦邊緣腐爛。糜爛處有灰白色假膜覆蓋,容易拭去。齦乳頭如刀切狀消失,口腔有惡臭,唾液分泌增多,睡眠時從口角流出,常將枕被污染。潰爛如蔓延至頰、齶、唇、舌等處,則成為壞死性口炎。若處理不及時,可危及生命。如向咽部發展,引起咽部疼痛,進食吞咽均甚痛苦。頜下淋巴結腫大,全身健康情況較差者可並發高熱。
診斷
1、炎症的臨床表現:牙齦由於水腫或纖維化而重大,色澤紅和/或暗紅,齦溝溫度升高,刺激易出血。
2、體徵和症狀局限於牙齦組織。
3、齦溝液量增多、溫度升高。
4、菌斑的存在引起或加重了病損的嚴重性。
5、牙周組織無附著喪失或雖已有附著喪失但穩定無進展。
6、菌斑控制及其他此基因素去除後疾病可逆。
鑑別診斷
1、早期牙周炎具有牙齦炎症,可有真性牙周袋,附著喪失,能探到釉牙骨質界,牙槽嵴頂吸收或骨硬板消失。治療後炎症可消失,病變靜止,但已破壞的支持組織難以完全恢復正常。
2、血液病引起的牙齦出血白血病、血小板減少性紫癜、血友病、再生障礙性貧血等血液系統疾病,均可引起牙齦出血,且易自發出血,出血量較多,不易止住。對以牙齦出血為主訴且有牙齦炎症的患者,應詳細詢問病史,血液學檢查有助於排除上述疾病。
治療
1、去除病因:通過潔治術徹底清除菌斑、牙石,消除造成菌斑滯留和局部刺激牙齦的因素。急性齦乳頭炎要去除局部刺激因素。對於炎症較重的患者,可配合局部藥物治療,常用的局部藥物有1%過氧化氫、復發氯己定含漱液、碘製劑。急性炎症可配合使用抗生素阿莫西林和甲硝唑。
2、手術治療:少數增生性齦炎的患者牙齦纖維增生明顯,炎症消退後牙齦形態仍不能恢復正常,可施行牙齦成形術,以恢復牙齦的生理外形。
3、防止復發:慢性齦炎的療效較理想,重要的是要防止疾病的復發。要持之以恆的保持好良好的口腔衛生習慣,定期(半年到一年)進行複查和維護,才能保持療效,防止復發。
4、壞死性齦炎的患者還可局部使用1%-3%的過氧化氫溶液擦拭、沖洗和反覆含漱,有助於去除壞死組織,同時抑制厭氧菌。全身給予維生素C和蛋白質等支持療法,同時要對全身性因素進行矯正和治療。
疾病預防
牙齦炎的病損局限於牙齦,無深部牙周組織的破壞,在去除局部自己因素後,牙齦的炎症約在一周后消退,破壞了的膠原纖維可新生,牙齦的色、形、質及功能均能完全恢復正常,預後良好。但如果患者不能有效地控制菌斑和定期複查,導致菌斑在此大量聚集,牙齦炎是很容易復發的。
1、習慣早晚刷牙及使用牙線清潔牙縫,尤其是在睡前,可以清除牙菌膜,減少在睡覺時牙菌膜的積聚。每6個月至1年,定期往牙科醫生處清潔牙齒,預防牙菌膜變成牙石,及清除在牙齒上已形成的牙石。
2、使用軟毛牙刷:用軟毛牙刷刷牙齦及舌頭,對牙齦很有好處。刷牙齦邊緣:刷牙時不要忽略容易堆積牙垢的牙齦邊緣,將牙刷傾斜45度角,由內向外刷,清除食物殘渣儘量不碰傷牙齦,如此可預防牙齦發炎。輪流使用兩隻牙刷:輪流使用兩支牙刷的好處在於可以使另一隻有時間完全風乾,從而減少細菌滋生的幾率,這對牙齒的健康非常重要。
3、給牙齒補鈣:牙骨疏鬆容易導致牙齦炎,可以多吃含有鈣質的食物,來強化骨骼。
4、經常使用漱口水:漱口水可以幫助你清除牙垢,對牙齒健康很有幫助,建議每次吃東西後一定要漱口。
5、戒菸、戒酒:煙和酒會流失保持口腔健康所需的維生素及礦物質,要想有健康中藥的牙齒,必須戒菸和酒。
6、多吃生蔬菜:生蔬菜含有很多纖維素,能幫助清潔及刺激牙齒及牙齦以避免牙齦炎。
7、危險訊號:牙齦痛、牙齦流血、長時間口臭、牙齒鬆動、都是牙齦炎的徵兆。若置之不理將信心可能導致更嚴重的牙周病,所以必須儘快看牙醫。
妊娠期牙齦炎
牙齦炎是指牙齦出現發炎,通常口腔前方的牙齒比較嚴重,病情程度可由無症狀到疼痛、出血不等。牙齦炎主要表現為牙齦發紅、腫脹、易出血,嚴重時牙齦緣可有潰瘍和假膜形成,有疼痛。因為這種牙齦炎一般在懷孕三個月左右時發生,分娩以後症狀就可逐漸消退,所以稱其為妊娠期牙齦炎。大約30~75﹪的孕婦會受到牙齦炎的影響。
懷孕早期易患牙齦炎
孕婦感覺口腔內有臭味時,可用3%雙氧水清洗牙周,再用鹽開水漱口,這樣可以除臭和抑制細菌的的繁殖。
孕婦懷孕的頭3月,常出現牙床紅腫、出血、疼痛、口臭,這便是妊娠期牙齦炎的症狀。妊娠期由於性激素分泌量增加,牙齦組織內血管擴張、彎曲,以致血流淤滯;妊娠時,牙齦對局部刺激的敏感性增強,體液和細胞易滲透到血管周圍組織中,牙齦內肥大細胞被破壞,釋放出組織胺和蛋白水解酶,以致對局部刺激反應加重。此外,由於妊娠造成的維生素和微量元素相對不足,白天唾液分泌量增加,而夜間減少,以致對口腔的沖刷作用下降;還有的孕婦由於行動不便,刷牙減少,口腔不衛生,有利於細菌的生長繁殖,也可導致牙齦炎的發生。牙齦炎看起來和腹中胎兒發育的關係不大,其實不然。長期的牙床紅腫、出血、口臭,不但影響孕婦的精神狀況,也影響孕婦的食慾,而孕婦精神、飲食狀況的好壞,直接影響胎兒的發育,這個道理是很容易理解的。
為了預防牙齦炎的發生,孕婦要經常注意口腔衛生,早晚刷牙,飯後漱口;若口腔內有臭味時,可用3%雙氧水清洗牙周,再用鹽開水漱口,這樣可以除臭和抑制細菌的的繁殖。如有牙菌斑、牙垢、牙石,應去醫院做刮治術。還要醫治充填齲洞。若需要拔牙時,為防止出血,應在產後施行,若孕婦牙齦出血較多時,可服乳酸鈣、維生素K、C片治療,切勿濫用抗生素藥物,以防藥物對胎兒的致畸作用。
護理
醫學上大量的臨床案例表明,假牙清潔方法不當、不徹底,很容易產生異味、牙石、菌斑,從而引發牙齦炎,再加上假牙鬆動,咀嚼疼痛,直接影響飲食、降低腸胃功能,甚至可能導致口腔癌以及內臟疾病,後果非常嚴重。
假牙鑲配者的牙齦炎護理和普通的牙齦炎患者的護理有不同,統計發現:即使假牙製作再精良,也難做到100%貼合口腔;中老年人唾液少、黏度低,牙槽骨的逐年變形都會導致假牙鬆動、戴不牢;戴假牙吃飯時,食物殘渣塞入假牙與牙床間,不敢咀嚼,直接影響進食;如果牙槽骨嚴重吸收低平,假牙更加無法戴牢。因此,基於這些客觀的因素,醫學界一致認為假牙鑲配者的牙齦炎主要是由於鑲配假牙且護理不當引起的,所以就需要有針對性和專業性的護理。
由於目前假牙護理常識在國內還不是很普及,導致我國中老年消費者的假牙很少能得到科學、有效的護理,除了極少數人可以從國外購買此類產品外,大多數人都是用簡易的“土辦法”,如清潔方面就是拿水泡、拿牙膏牙刷等,而假牙固位方面就更加沒有辦法。於是假牙不清潔和不穩固引起的中老年人牙齦炎病例便逐年增多。市場上目前出現的安全、方便、有效的假牙護理產品還很少,國內只有雅克菱通過了歐盟CE認證,推出了假牙伴侶系列產品,並結合專家建議和國際通行護理辦法,提出了“每日摘、泡、粘,科學護假牙”的假牙護理理念,對假牙配戴者的牙齦炎預防效果較為明顯。
假牙鑲配者的牙齦炎護理牙齦炎是一種牙齦炎症,引起牙齦炎的直接原因是牙菌斑,牙菌斑是不斷積聚在牙齒和牙齦上的柔軟、無色而帶有粘性的細菌膜層。牙齦感染增加了心臟病和中風的危害,而且這種風險會隨著牙齦感染程度同步提高。還有研究發現,患有中度至重度牙周炎的孕婦產下早產嬰兒的可能性要比一般孕婦高出兩倍,嬰兒出現體重過輕等生理缺陷的幾率也較大。因此要認識到牙齦炎的危害,在平時生活中認真把牙刷乾淨是預防牙齦感染的關鍵所在,而平常少進食甜點心和高糖飲料也很
