原因
引起牙齦腫脹疼痛常見原因包括牙齦膿腫、牙周膿腫、智齒冠周炎或根尖周炎等。患者本身往往存在慢性炎症,當機體抵抗力下降、天氣乾燥、進食辛辣刺激食物或患有糖尿病等疾病時,導致原有慢性炎症急性發作,出現牙齦腫痛症狀,最為常見是牙周膿腫引起的病症,年輕人多見智齒冠周炎。
檢查
牙齦腫脹的檢查診斷
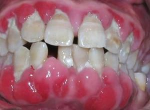
牙齦腫脹肥大,呈深紅色或暗紅色,組織鬆軟,探診易出。牙齦乳頭呈球狀突起。腫脹的牙齦常可覆蓋前牙唇的1/3或更多。由於牙齦肥大,使齦溝加深而形成齦袋,袋內易藏食物,細菌易滋生,自潔作用差,故炎症加重,可有深性分泌物。若身體抵抗力降低時,可出現單發或多發性的齦膿腫,特別以齦乳頭區較多見。自覺症狀可有刺激性牙齦出血、發脹、口臭等。病變後期,因纖維增生而使牙齦質地較為堅韌,炎症也有減輕,又稱增生性齦炎。妊娠期間發生的肥大性齦炎,稱妊娠期齦炎(Pregnancygingivitis)。有時個別齦乳頭腫脹成球狀且常帶蒂,稱妊娠期齦瘤。分娩後,肥大的牙齦一般可自行消退。某些系統性疾病也可出現牙齦的肥大或增生改變。應注意鑑別,如:白血病由於白細胞增多,在末梢血管內淤積,造成牙齦腫脹和肥大,齦色蒼白,如伴有炎症則齦緣充血並有滲血現象。病情嚴重者,齦乳頭或齦緣出現壞死,並有口臭。維生素C缺乏性齦炎。整個牙齦呈紫紅色,易出血。重者,齦緣壞死,口臭明顯。長期服用苯妥英納的病員,可出現牙齦增生,其特徵是頰、舌側牙齦同是增生,呈結節狀,質堅實,色淺淡,不易出血。
鑑別診斷
牙齦腫脹易混淆的症狀
牙齦癢脹:剝脫性齦炎是一種綜合徵、此症常伴有口腔苔蘚或天皰瘡。自診要點牙髓炎的典型症狀是牙齦出血、牙齦癢脹。
牙齦出血:牙齦出血是口腔科常見的症狀之一。一般情況下,牙齦出血常見於牙周炎的早期――牙齦炎。牙齦出血不僅僅出現於口腔科的疾病,它還會出現於全身的其它疾病,可能預示著其它系統的疾病,如白血病、遭遇放射性輻射後、自身免疫性疾病等,近年來,牙周病與糖尿病的關係也越來越被醫學界所認識。
牙齦痛:牙齦炎是由細菌的入侵造成的,表現為牙齦出血,紅腫,脹痛,繼續發展侵犯硬組織,產生牙周炎症。
牙齦腫脹肥大,呈深紅色或暗紅色,組織鬆軟,探診易出。牙齦乳頭呈球狀突起。腫脹的牙齦常可覆蓋前牙唇的1/3或更多。由於牙齦肥大,使齦溝加深而形成齦袋,袋內易藏食物,細菌易滋生,自潔作用差,故炎症加重,可有深性分泌物。若身體抵抗力降低時,可出現單發或多發性的齦膿腫,特別以齦乳頭區較多見。自覺症狀可有刺激性牙齦出血、發脹、口臭等。病變後期,因纖維增生而使牙齦質地較為堅韌,炎症也有減輕,又稱增生性齦炎。妊娠期間發生的肥大性齦炎,稱妊娠期齦炎(Pregnancygingivitis)。有時個別齦乳頭腫脹成球狀且常帶蒂,稱妊娠期齦瘤。分娩後,肥大的牙齦一般可自行消退。某些系統性疾病也可出現牙齦的肥大或增生改變。應注意鑑別,如:白血病由於白細胞增多,在末梢血管內淤積,造成牙齦腫脹和肥大,齦色蒼白,如伴有炎症則齦緣充血並有滲血現象。病情嚴重者,齦乳頭或齦緣出現壞死,並有口臭。維生素C缺乏性齦炎。整個牙齦呈紫紅色,易出血。重者,齦緣壞死,口臭明顯。長期服用苯妥英納的病員,可出現牙齦增生,其特徵是頰、舌側牙齦同是增生,呈結節狀,質堅實,色淺淡,不易出血。
緩解方法
牙齦腫脹的預防方法
1、注意口腔衛生,養成早晚刷牙,飯後漱口的良好習慣。
2、發現蛀牙,及時治療。
3、睡前不宜吃糖、餅乾等澱粉之類的食物。
4、宜多吃清胃火及清肝火的食物,如南瓜、西瓜、荸薺、芹菜、蘿卡等。
5、忌酒及熱性動火食品。
6、脾氣急躁,容易動怒會誘發牙痛,故宜心胸豁達,情緒寧靜。
7、保持大便通暢,勿使糞毒上攻。
8、勿吃過硬食物,少吃過酸、過冷、過熱食物。

