預防
牙床萎縮①定期的口腔保健。已開發國家的經驗證明,每6到12個月潔一次牙,是
預防牙齦炎症的有效措施。已有牙周病症狀的患者,應及時接受系統牙周治療。
②掌握正確的刷牙方法。推薦使用刷毛較軟,頂端圓鈍的牙刷。牙膏以含氟牙膏為佳,其中含的磨擦劑應粗細合適。同時要學會正確的刷牙姿勢,大多數人可採用豎刷法或短橫顫動法。在必要的情況下使用牙籤、牙線以清理牙刷難以到達的位置等。
③不要圖便宜和方便。在一些技術水平不高、操作不規範的小診所鑲牙,這也是產生不良修復體的的主要原因。
④如有患者覺得自己有個別牙發生異常移動,應及時到醫院檢查,以便對症處理。
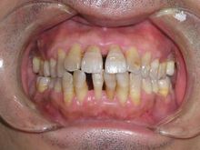
主要是齦緣部分存在異物又長期得不到清理,細菌滋生刺激長期存在所致;另外隨著年齡的增長也會或多或少發生萎縮,使牙根暴露,這種叫生理性萎縮,是不需治療的。再就是牙科手術不當留下的後遺症。保持清潔是延緩牙齦萎縮的最有效的方法,定期洗牙亦顯得尤為重要。炎症性的牙齦萎縮,主要表現為牙齦紅腫脹痛,刷牙時常見出血。而老年牙齦萎縮常使裸露了的牙極對冷熱的溫度變化及酸性食物等異常敏感,妨礙進食,降低生活質量,尢應注意防治。
養成良好的口腔衛生習慣
牙床萎縮應選用符合全國牙
防組織推薦的牙膏及牙刷。每天刷牙2-3次,晚睡前的一次必不可少。在來不及或不方便刷牙時,可用漱口代替,在某些特殊場合里,可用湯或茶水漱口,以保持口腔清潔。
防治炎性口腔病
牙周炎、牙結石、口腔潰瘍、牙齦炎、牙齦膿腫、食物嵌塞及不大合適的假牙等,都是刺激引致牙齦萎縮的原因,所以應定期到醫院檢查治療,並進行有關口腔自我保健知識的諮詢;對於已經萎縮的牙齦,也可以手術治療。3、治療引發牙齦萎縮的老年性全身性疾病。如內分泌紊亂可導致牙齦萎縮;貧血和缺乏維生素C,易牙齦出血;糖尿病人容易發生口腔炎症;白血病等嚴重疾病也可引起牙齦萎縮。在治癒原發疾病之後,牙齦萎縮也隨之好轉。
嚴防環境污染
砷、鉛等中毒可導致牙周炎,牙齦水腫及牙齦萎縮,故應重視自己的工作和生活環境質量,避免接觸有毒物質。
食療
枸杞煮瘦肉或生地,熟地、生薑各15克煮雞蛋,對預言及治療牙周疾病效果良好,可以長期食用。
牙床萎縮將牙刷毛束尖端放在牙齦和牙冠交界處,順著牙齒的方向稍微加壓,刷上牙時向下刷
,刷下牙時向上刷,牙的內外面和咬合面都要刷到。在同一部位要反覆刷數次。這種方法可以有效消除菌斑及軟垢,並能刺激牙齦,使牙齦外形保持正常。顫動法,指的是刷牙時刷毛與牙齒成45度角,使牙刷毛的一部分進入牙齦與牙面之間的間隙,另一部分伸人牙縫內,來回做短距離的顫動。當刷咬合面時,刷毛應平放在牙面上,作前後短距離的顫動。每個部位可以刷2-3顆牙齒。將牙的內外側面都刷於淨。這種方法雖然也是橫刷,但是由於是短距離的橫刷,基本在原來的位置作水平顫動,同大幅度的橫向刷牙相比,不會損傷牙齒頸部,也不容易損傷到牙齦。
中藥治療
牙床萎縮1、牙齦出血。用苦參一兩、枯礬一錢,共研為末。一天擦齒三次,有效。 又方:用蚯蚓末、枯礬各一錢,麝香少許,研勻,搽患處。
2、牙齦出血的治療便方。用麥門冬煎湯漱口。
3、治牙齦出血,有洞。用凝水石粉三兩、丹砂二錢,甘草、腦子各少許,共研為末,乾敷。
4、齒縫出血。用百草霜末塗搽,有效。又方:用粉錫半兩、麝香半錢,臥時擦牙。
5、齒齦出血不止。用白礬一兩,加在水三升中煮成一升,含漱。
6、牙齒出血。用淡竹葉煎濃汁含漱。
7、齒痛出血。每夜用鹽末厚封齒根肉上。等液汁流盡後才睡覺。流汁時,不斷敲叩牙齒。如此十夜,齒痛止,血亦停。忌食勞腥。
8、走馬牙疳,臭爛出血。用豆大的雄黃七粒,每粒包入一個去了核了的淮棗中,再用鐵絲把棗子穿成一串,燒化為末。每次取少量搽患處,讓涎流出。搽藥至病癒為止。
9、虛氣攻牙,齒痛血出。用骨碎補二兩,銼細,慢火炒黑,研為末,常以擦齒,有口津,吐出或咽下均可。
10、牙疳(流膿、流血、蟲蝕)。用水銀粉一錢,黃連一兩,共研為末,搽患處。
11、走馬疳瘡(按:即走馬牙疳。病處流動,速如走馬,侵蝕口鼻,穿透骨腮,全齒剝落,出血流膿)。把綠礬放入鍋中,用炭火煅紅,加醋拌勻,如此三次,研細,再放入少許麝香,調勻後敷患處。用藥前以溫水把口漱淨。
刷牙法
豎刷法
就是將牙刷毛束尖端放在牙齦和牙冠交界處,順著牙齒的方向稍微加壓,刷上牙時向下刷,刷下牙時向上刷,牙的內外面和咬合面都要刷到。在同一部位要反覆刷數次。這種方法可以有效消除菌斑及軟垢,並能刺激牙齦,使牙齦外形保持正常。
顫動法:指的是刷牙時刷毛與牙齒成45度角,使牙刷毛的一部分進入牙齦與牙面之間的間隙,另一部分伸人牙縫內,來回做短距離的顫動。當刷咬合面時,刷毛應平放在牙面上,作前後短距離的顫動。每個部位可以刷2-3顆牙齒。將牙的內外側面都刷於淨。這種方法雖然也是橫刷,但是由於是短距離的橫刷,基本在原來的位置作水平顫動,同大幅度的橫向刷牙相比,不會損傷牙齒頸部,也不容易損傷到牙齦。
生理刷牙法
指的是牙刷毛頂端與牙面接觸,然後向牙齦方向輕輕刷。這種方法如同食物經過牙齦一樣起輕微刺激作用,促進牙齦血液循環,有利於使牙周組織保持健康。
總之,刷牙要動作輕柔,不要用力過猛,但要反覆多次。牙齒的每個面都要刷到,特別是最靠後的磨牙,一定要把牙刷伸入進去刷。如果將前面的幾種方法結合起來套用,則效果會更好。每次刷完牙,如果不放心,還可以對著鏡子看一看是否乾淨了,只有認真對待,才能保證刷牙的效果。
顫動法
指的是刷牙時刷毛與牙齒成45度角,使牙刷毛的一部分進人牙齦與牙面之間的間隙,另一部分伸人牙縫內,來回做短距離的顫動。當刷咬合面時,刷毛應平放在牙面上,作前後短距離的顫動。每個部位可以刷2-3顆牙齒。將牙的內外側面都刷於淨。這種方法雖然也是橫刷,但是由於是短距離的橫刷,基本在原來的位置作水平顫動,同大幅度的橫向刷牙相比,不會損傷牙齒頸部,也不容易損傷到牙齦。
生理刷牙法:指的是牙刷毛頂端與牙面接觸,然後向牙齦方向輕輕刷。這種方法如同食物經過牙齦一樣起輕微刺激作用,促進牙齦血液循環,有利於使牙周組織保持健康。
總之,刷牙要動作輕柔,不要用力過猛,但要反覆多次。牙齒的每個面都要刷到,特別是最靠後的磨牙,一定要把牙刷伸入進去刷。如果將前面的幾種方法結合起來套用,則效果會更好。每次刷完牙,如果不放心,還可以對著鏡子看一看是否乾淨了,只有認真對待,才能保證刷牙的效果。
防止萎縮
為使牙齒保持健康狀態,請每年兩次洗牙並請牙醫進行一次全面性的檢查。讓你的牙齒遠離焦油及溶菌,可使牙床堅固、靈活而不會萎縮。另一點必須注意的是,無論年齡大小,一定要選擇合適的牙刷及牙縫拉線清除牙垢。請牙醫檢查一下你刷牙的方法是否正確。如果你太粗心,刷牙時來回刷而不是鏇轉著刷,就可能使牙床過早萎縮。另一個預防措施是使用一種帶橡皮頭的牙刷,每日按摩牙床。
相關詞條
| 哮喘性肺嗜酸粒細胞浸潤症 | 膽汁反流性胃炎 | 慢性阻塞性肺炎 | 小兒厭食症 |
| 肝多房棘球絛蟲感染 | 闊節裂頭絛蟲病 | 高原低血壓症 | 硬化性骨髓炎 |
| 中樞神經系統白血病 | 老年泌尿系感染 | 血小板功能異常 | 白塞氏綜合症 |
| 牙齒感覺過敏症 | 輸精管道阻塞 | 化膿性腮腺炎 | 細粒棘球絛蟲病 |

