疾病概述
牙周萎縮多數成年人都患有牙周病,大多數牙周病進展緩慢,始發時多為牙周炎,除偶有刷牙出血外並無多少自覺症狀,所以不引人注意。而牙周炎發展到一定程度即為牙周炎,此時可出現嚴重口腔異味,牙周反覆膿腫,牙齒鬆動,牙縫越來越大,越來越稀疏,嚴重者牙齒脫落。患者若在此階段就診,醫生可以控制炎症惡化,但已破壞的牙周組織(包括牙周萎縮)是不可逆的,很難完全恢復。刷牙不當不正確的方法不但不能保護還會破壞牙齒及牙周組織,如過硬的牙刷、牙膏中摩擦劑顆粒過粗及拉鋸式刷牙,都可能導致牙周退縮。
不良修復體做得不好的假牙不易清潔,會導致牙周衛生不良,也會使牙周萎縮。當組織、器官或細胞成分在達到正常成熟之後,又減退、縮小,並失去其應有的功能稱為萎縮。牙周萎縮指的是全口廣泛的牙齒牙齦緣與牙槽骨同時退縮,使牙根暴露,但無明顯炎症和創傷者。其最常見的原因是牙周組織受到逐漸積累起來的各種損傷、刺激後造成的。
牙周組織炎症消退後的萎縮,形成萎縮性牙周炎;隨年齡的增長,牙齦可出現生理性退縮,即產生老年性萎縮;
疾病描述
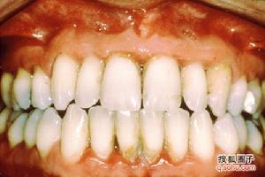
牙周萎縮是指全口牙廣泛的齦緣與牙槽骨同時退縮,牙根暴露,但無明顯炎症和創傷。過去認為這是生理性的增齡變化,稱為老年性牙周萎縮。症狀體徵
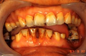
牙周萎縮的程度因人而異,幾乎所有的老年人全口牙周組織都有均勻性退縮。臨床表現為牙槽骨高度降低,牙齦退縮,但無明顯炎症。由於牙根暴露,常可發生牙本質敏感症、牙頸部齲和根面齲。齲楔狀間隙增大,易發生水平型食物嵌塞,從而易產生炎症,加重牙齦退縮。疾病病因
近年來有研究報導指出,牙周萎縮除了增齡因素以外,大多數病例是由於牙周組織長期受到各種損傷刺激的作用累積而造成的,如長期使用硬毛牙刷、不正確的刷牙方法和剔牙習慣等。
治療方法
牙周萎縮2、防治炎性口腔病。牙周炎、牙結石、口腔潰瘍、牙周炎、牙周膿腫、食物嵌塞及不大合適的假牙等,都是刺激引致牙周萎縮的原因,所以應定期到醫院檢查治療,並進行有關口腔自我保健知識的諮詢;對於已經萎縮的牙周,也可以手術治療。
3、治療引發牙周萎縮的老年性全身性疾病。如內分泌紊亂可導致牙周萎縮;貧血和缺乏維生素C,易牙周出血;糖尿病人容易發生口腔炎症;白血病等嚴重疾病也可引起牙周萎縮。在治癒原發疾病之後,牙周萎縮也隨之好轉。
4、嚴防環境污染。砷、鉛等中毒可導致牙周炎,牙周水腫及牙周萎縮,故應重視自己的工作和生活環境質量,避免接觸有毒物質。
5、生物科技療法:最新的牙齒口腔問題研究機構,經過分別追蹤取樣了許多牙周萎縮患者,發現他們並沒有維生素缺乏的全身綜合症狀,而且在臨床上,通過大量服食維生素治療牙周萎縮的效果也不佳。由此可見,牙周萎縮是一種局部的器官退化現象,或者說,是一種局部出現的營養輸送障礙。許多人都知道口腔組織的細胞代謝非常活躍,因為飲食的關係,口腔細胞死亡率極高,但再生能力也極強。喝一口滾水就能燙死很多細胞,但24小時後同數量的細胞就補充上來。這種代謝速度,勢必造成口腔對營養的需求量極大,而人體對口腔的營養輸送跟不上其消耗量,從而造成局部器官提前老化。這是人體的一種天生缺陷,通過自身營養轉換不能彌補,因此也不可能改善(逆轉)這種局部早衰現象。要想彌補這種先天性缺陷,可行的辦法只能是進行直接的輸送營養,即,不通過消化系統的功能轉換,不通過血液傳輸,而是直接讓一個外露的組織吸收營養,這在醫學上被稱為體外輸送營養,如果實現就等於締造了一個神話,因為目前在醫學上還沒有這樣的成功先例。但是,要解決牙周萎縮,根治牙周炎等一系列牙齒難題,就必須攻克“體外輸送營養”這一高不可攀的醫學難題。
牙周組織是牙齒牢固與否的根本,許多人上年紀,牙齒開始鬆動無力乃至脫落,是因為牙周已經萎縮,固齒無力。從牙周炎到牙周萎縮、牙齒脫落,起因都是牙周出血。牙周出血在成年人群中普遍存在,年紀越大,比例越高,這是世紀難題,表面上是因為牙周組織維生素C成分的缺乏,引發了一種厭氧菌的滋生和爆發,結果導致牙周出血、牙周炎、口腔潰瘍的發生。但實際上,這種維生素C的缺乏,不是人體缺少這種營養元素,而是牙周組織的一提前的生理退化所造成的。所以,直接殺菌消炎的效果有限,治標不治本。雖然大量服用維生素C能對症狀緩解一時,但是僅靠人體本身吸收功能的營養轉換,無法禰補這種難以抗拒的生理退化現象所造成的缺陷。牙齒黃金的出現,打破了傳統的治療方法,這就是所謂的生物科技療法,它是完全從天然原料和草本植物中提煉合成出來的一種的生命營養元素,能打破人體轉換營養成分的規律限制,直接讓牙周組織進行大量吸收,能奇蹟般的阻止這一生理現象,從根本禰補營養供應的先天缺陷。在大量使用實驗中,牙齒黃金基本在48小時內(使用4次)有效中止絕大多數牙周出血、消除口腔潰瘍。並最終使已經萎縮的牙周逐漸恢復飽滿,已經鬆動的牙齒逐漸恢復牢固,使整個牙周組織恢復到相當年輕的生理狀態,從此告別“拔牙療法”。
牙齒黃金的營養成分能被牙周和口腔黏膜直接吸收,不是VC更勝VC。通過與牙周口腔的直接接觸,直接為牙周輸送營養,加速牙周口腔細胞活力新生,使萎縮的牙周迅速膨脹豐滿,恢復“強健體魄”,重新有力包裹裸露的牙根。牙齒黃金為牙周建造了一條全新的營養供應鏈,強效補充牙周因退化而流失的各種營養物質,牙周恢復強壯,牙齒自然牢固有力,牙周炎隨之很快消失。
6、食療。枸杞煮瘦肉或生地,熟地、生薑各15克煮雞蛋,對預防及治療牙周疾病效果良好,可以長期食用。。目前提倡的正確刷牙方法有以下幾種:
豎刷法:就是將牙刷毛束尖端放在牙周和牙冠交界處,順著牙齒的方向稍微加壓,刷上牙時向下刷,刷下牙時向上刷,牙的內外面和咬合面都要刷到。在同一部位要反覆刷數次。這種方法可以有效消除菌斑及軟垢,並能刺激牙周,使牙周外形保持正常。顫動法,指的是刷牙時刷毛與牙齒成45度角,使牙刷毛的一部分進入牙周與牙面之間的間隙,另一部分伸人牙縫內,來回做短距離的顫動。當刷咬合面時,刷毛應平放在牙面上,作前後短距離的顫動。每個部位可以刷2-3顆牙齒。將牙的內外側面都刷乾淨。這種方法雖然也是橫刷,但是由於是短距離的橫刷,基本在原來的位置作水平顫動,同大幅度的橫向刷牙相比,不會損傷牙齒頸部,也不容易損傷到牙周。
生理刷牙法:指的是牙刷毛頂端與牙面接觸,然後向牙周方向輕輕刷。這種方法如同食物經過牙周一樣起輕微刺激作用,促進牙周血液循環,有利於使牙周組織保持健康。
總之,刷牙要動作輕柔,不要用力過猛,但要反覆多次。牙齒的每個面都要刷到,特別是最靠後的磨牙,一定要把牙刷伸入進去刷。如果將前面的幾種方法結合起來套用,則效果會更好。每次刷完牙,如果不放心,還可以對著鏡子看一看是否乾淨了,只有認真對待,才能保證刷牙的效果。許多人都知道口腔組織的細胞代謝非常活躍,因為飲食的關係,口腔細胞死亡率極高,但再生能力也極強。喝一口滾水就能燙死很多細胞,但24小時後同數量的細胞就補充上來。這種代謝速度,勢必造成口腔對營養的需求量極大,而人體對口腔的營養輸送跟不上其消耗量,從而造成局部器官提前老化。這是人體的一種天生缺陷,通過自身營養轉換不能彌補,因此也不可能改善(逆轉)這種局部早衰現象。
要想彌補這種先天性缺陷,可行的辦法只能是進行直接的輸送營養,即,不通過消化系統的功能轉換,不通過血液傳輸,而是直接讓一個外露的組織吸收營養,這在醫學上被稱為體外輸送營養,如果實現就等於締造了一個神話,因為目前在醫學上還沒有這樣的成功先例。但是,要解決牙周萎縮,根治牙周炎等一系列牙齒難題,就必須攻克“體外輸送營養”這一高不可攀的醫學難題。專家組在經過漫長的攻關歷程後,終於在2001年取得初步成功,當時這一技術首先被運用在臨床燒傷試驗,皮膚深度燒傷,首先被燒死的並不是所有的真皮細胞,而是微細血管系統,受傷的細胞因為得不到來自血液的營養才開始潰爛死亡。如果能通過外敷的方法實現對其直接輸送營養,則細胞就不會死亡,創面也就不會潰爛感染,待微循環系統恢復後皮膚就重獲新生,而不會留下疤痕。專家組在國內某知名燒傷權威醫院進行了幾十例的治療試驗後獲得成功,其卓越的效果,將當時兩種國內外權威燒傷產品明顯比下去了。
疾病預防
牙周萎縮①定期的口腔保健。已開發國家的經驗證明,每6到12個月潔一次牙,是預防牙周炎症的有效措施。已有牙周病症狀的患者,應及時接受系統牙周治療。
②掌握正確的刷牙方法。推薦使用刷毛較軟,頂端圓鈍的牙刷。牙膏以含氟牙膏為佳,其中含的摩擦劑應粗細合適。同時要學會正確的刷牙姿勢,大多數人可採用豎刷法或短橫顫動法。在必要的情況下使用牙籤、牙線以清理牙刷難以到達的位置等。
③不要圖便宜和方便。在一些技術水平不高、操作不規範的小診所鑲牙,這也是產生不良修復體的的主要原因。
④如有患者覺得自己有個別牙發生異常移動,應及時到醫院檢查,以便對症處理。
主要是齦緣部分存在異物又長期得不到清理,細菌滋生刺激長期存在所致;另外隨著年齡的增長也會或多或少發生萎縮,使牙根暴露,這種叫生理性萎縮,是不需治療的。再就是牙科手術不當留下的後遺症。保持清潔是延緩牙周萎縮的最有效的方法,定期洗牙亦顯得尤為重要。炎症性的牙周萎縮,主要表現為牙周紅腫脹痛,刷牙時常見出血。而老年牙周萎縮常使裸露了的牙極對冷熱的溫度變化及酸性食物等異常敏感,妨礙進食,降低生活質量,尢應注意防治。
安全提示
1、注意口腔衛生,防止牙周組織炎症感染,注意牙根按摩。清除局部病因,即清除牙菌斑和牙石。2、漱口能除去食物碎屑和暫時減少口腔微生物的數量,因此養成飯後漱口也是良好的衛生習慣,但是單純漱口,不能維持良好的口腔衛生。
3、刷牙是口腔衛生措施中最有效的方法。但要選擇良好的牙刷和施行正確的刷牙方法才能刷除菌斑,食物碎屑和部分色素。
4、對個別牙周萎縮,根面暴露牙齦緣正常,可採用牙周外科手術,如側向齦瓣轉移術等整復。
5、牙齦按摩可使上皮增厚,促進血液循環,增強對細菌及局部刺激的防護作用。
6、牙刷不能完全達到鄰面間隙,因此其補救的方法是用牙線和牙籤。
7、對全身性疾病進行積極治療,並加強身體鍛鍊,提高健康水平。
8、定期請醫生檢查口腔,以保持牙周組織的健康。
處理措施
牙周萎縮若牙周萎縮無明顯症狀,可不必處理。如果牙周退縮持續發展,則應認真仔細查找原因,作針對性治療。一旦已經發生了廣泛性牙齦退縮,就很難使牙齦和牙槽骨再生,並恢復到原有的高度。治療僅是防止其加重,如消除炎症,調牙合,解除食物嵌塞,糾正偏側咀嚼,改正刷牙方法及工具等。
