疾病概述
牙結石牙結石是一種附著在牙面和齦緣上或齦緣下的一種石狀物。
它是由於口腔衛生不佳,在細菌的作用下,鈣磷沉積而形成的包括口腔脫落的上皮、細菌、唾液中的粘液素和唾液中礦物鹽的沉積物。其主要成分是磷酸鈣,其次是磷酸鎂和碳酸鈣,有機物占少部他。這種鈣磷沉積是緩慢的,如果經常刷牙可隨時去除,否則會越積越多、越厚。另外,某種原因造成一側咀嚼習慣者,其不用的一側牙齒失去了食物的摩擦作用,可沉積較多的牙結石。
潔齒白淨方·源自宋代醫籍《太平聖惠方》。中藥揩齒散,清牙垢除牙石,全面調理,根源美齒。
潔齒白淨方為純中藥草本揩牙散,為宋朝陳昭遇所創。收錄於宋代醫籍《太平聖惠方》。時士大夫階層常以此方揩齒去牙垢牙石,收效甚佳。方中以冰片、寒水石、梧桐淚、石膏、白芷、升麻等清熱潔齒、去漬化垢、補腎固齒。君臣佐使,配方嚴謹,攻牙垢牙石有良效。
牙結石形成後對人體的危害取決於機體對牙石刺激反應性和修復能力,因此,有的病人表現為牙石的壓迫致牙齦萎縮;而另一些則表現為牙齦受刺激後炎必增生,嚴重的則表現為牙周組織的破壞而發生 牙周病 ,出現牙齦出血、 口臭 、牙周溢膿、牙齒鬆動等改變。
請醫生清除牙結石,局部再塗些碘甘油等藥物,即可獲得滿意的效果。
由於牙結石多沉積於牙頸部,若不除去的話,長期刺激牙齦組織,會引起牙齦組織的水腫、充血、齦緣糜爛、牙齦容易出血等一系列牙齦炎的症狀。一些人清晨起床後滿嘴布滿血絲,99%是由牙結石所造成的。如果繼續發展,可造成牙周組織溢膿,出現口臭不適,齒槽骨破壞吸收甚至牙齒鬆動。尤其是兒童,如不注意防止牙齒的形成,成年後極易成為牙周病患者中的一員。所以,牙結石的存在是有害無益的。
怎樣預防牙結石的形成呢?
刷牙是預防牙結石形成的一種簡便而又行之有效的方法。牙結石的沉積是由少到多,逐漸形成的。經常刷牙可將剛剛開始沉積於牙面的牙垢、牙結石及時刷掉。所以應該讓兒童堅持刷牙,如若等到牙結石沉積很厚、附著很緊密時,就刷不掉了,必須由大夫協助才能去除。
另外由於精細食物粘性重糖分高,極易沉積於牙面,因此,應告誡兒童少吃精細食品,或吃後必須刷牙漱口。特別是睡前吃諸如餅乾、蛋糕等精細食品,不僅容易形成牙結石,而且還會造成齲齒。所以平時一定要養成刷牙和保持口腔衛生的良好習慣。
形成原因
牙結石形成的原因有好幾種說法:
一、由於唾液中的二氧化碳濃度降低,促使無機鹽沉澱於牙齒表面上。
二、由於退化細胞的磷酸鹽酵素使有機磷水解產生磷沉澱於牙齒表面而形成。
三、由於細菌使唾液的酸鹼值升高而呈鹼性,造成唾液中的蛋白質分解,放出鈣鹽,沉澱於牙齒表面上而成。
四、與口水濃度有關,濃度愈大,愈易沉澱。
牙結石形成的速度、形態和硬度因人而異,一般來說新生的牙結石需要十二至十五小時。快速形成的牙結石要比慢慢形成的牙結石要軟且碎。所有剛形成的牙結石都是軟軟的,經過一段時間的鈣化就會慢慢的變硬。因此在牙結石形成之初,使用口腔清潔法或刷牙法,都很容易清除牙結石,等到鈣化之後就不易清除了。
牙結石對口腔而言是一種異物體,它會不斷刺激牙周組織,並會壓迫牙齦,影響血液循環,造成牙周組織的病菌感染,引起牙齦發炎萎縮,形成牙周囊袋。當牙周囊袋形成後,更易使食物殘渣、牙菌斑和牙結石等的堆積,這種新的堆積又更進一步的破壞更深的牙周膜,如此不斷的惡性循環的結果,終至牙周支持組織全部破壞殆盡,而使牙齒難逃拔除的惡運。
結石程度
牙結石的分度
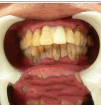
牙結石是附著在牙冠或牙頸部的鈣化的礦物質。牙結石的存在可引起牙齦和牙周組織病變。可以說,牙結石是牙齦病的病因之一。牙結石常常引起牙齦組織出血及口腔異味等。如果一個人的牙周組織發炎,又有大量牙結石,可加重牙周組織的炎症。此時如果及時去除牙結石,有利於牙周組織炎症的消退。牙結石有多有少,不同的牙齒部位其數量不一樣,了解牙結石的多少具有重要意義。臨床醫生和科研人員常常用牙結石的多少作為研究牙周病的指標之一;個人了解牙結石的多少可以測量自己刷牙的質量,為清潔口腔作參考。牙結石的多少可分為以下幾度:
0度:無軟垢及牙結石。
l度;少許軟垢或牙結石,但末超過牙面的l/3。
2度:有牙結石,末超過冠面的1/3,有少量的齦下結石。
3度:牙結石不超過冠面的2/3,有較多的齦下結石。
治療護理
牙結石1、刷牙:早晚刷牙、飯後漱口是防治牙石形成的最重要措施。使用保健牙刷,選用含氟牙膏,採用正確的方法-豎刷法進行刷牙,糾正橫刷法。這樣不僅可清除食物殘渣、牙面菌斑、牙垢污物,防止牙結石的形成和沉積,而且還能起到按摩牙齦,促進血液循環,增強牙周組織的抗病能力的作用。
2、飲食:合理營養,粗細搭配。多吃富有維生素的粗纖維食物,如肉、蛋、各種蔬菜和水果,充分咀嚼以利於牙面清潔。少吃甜食及粘性很強的食物,不吃零食。
3、口腔健檢查:每半年進行一次口腔健康檢查,採用超聲潔牙機每年進行2-3次全口潔牙,使牙面、牙頸部經常處於潔淨狀態。我院全國美容牙科中心設有專門為患者進行超聲潔牙(洗牙石)和噴粉潔牙(洗煙漬)的項目,並有培養有素的潔牙士,她們熱情為您服務,為您解憂,還您有一副健康潔白的牙齒,讓您笑口常開
4、洗牙:超音波洗牙,是針對清除牙齒結石部份。因為牙結石更容易造成牙菌班的堆積,造成牙齦炎、牙齦出血,牙周病。所以去除牙結石是醫療行為。當然在治療的同時,齒頸部,鄰接面的結石去除掉了,牙齒也會有美白的表現。洗牙的弊端在於比較痛,會出比較多的血,還有洗後牙齒表面比較粗糙,牙漬牙石的再次出現更加來得快。最後就是有可能感染疾病。
5、溶解牙石療法:通過口含天然植物提練的牙齒黃金生物科技產品,無任何化學添加劑,無異味,無需進入腸胃吸收,只需要通過口含後刷牙漱口就可以看到明顯效果,使用簡單,安全性高,屬於無痛去石,原理就是通過從植物中提煉而出的精華成份,跟牙石這種化學衍生物發生反應,從而達到深入牙齦溶解牙石的功效,牙結石脫落恢復牙齒表面原有的光澤,通過刷牙可將已溶解的齦下牙石清理出來,之後還能在牙齒表面加上一層保護膜,讓牙石不再容易重新附著。
6、漂白:這種方式一般採用化學藥物把牙齒表面漂白,而非真正的治療,很多受美之人會採取這種方式,其實不可取,一是沒達到治療的效果,二是對牙齒本身損傷嚴重。
結石危害
牙結石牙石容易吸附細菌或毒素。加上牙石本身的局部刺激,可使牙齦紅腫出血發炎。由於齦下牙石刺激及附著物產生的毒素,可使牙齦內側發生潰瘍,不易癒合,致使牙齦出血、口臭和牙周感染加重。因此,牙石是牙周炎發生、發展的重要因素。所以牙石堆積,就要去醫院潔石,一般每隔半年至一年清除一次牙石為宜;牙結石附著在牙齒上,影響美觀,也影響鑲牙修復的效果,有了牙結石,活動假牙(又稱可摘義齒)就會與牙面不密合,容易導致食物殘屑積存在假牙上,引起口腔發炎。所以結石較多的人,鑲牙前也要去潔牙。
潔牙後如不注意,牙石又會很快形成,所以潔牙後要繼續防治。注意正確的刷牙方法,有助於減少牙石的形成;潔牙後,過了一段時間局部仍會流血,則要請牙醫小心檢查是否已有牙周病或牙齦深部尚有殘餘的牙結石存在。
有些人說自己的牙齒原來並不鬆動,但潔牙後感覺到牙齒比以前鬆動了,認為潔牙會使牙齒變松。這是一種誤解。其實牙齒原來就鬆動,只不過由於結石太厚,將鬆動牙齒包繞,病人感覺鬆動不明顯罷了,等牙齒鬆動到一定程度,就有可能與結石一起自動脫落。所以通過潔牙可以及時發現問題,及時治療,避免牙齒鬆動脫落。
值得一提的是:目前有些人受經濟利益的驅動,也沒有經過系統正規的學習培訓,就開設所謂“洗牙店”,技術水平和器械消毒措施都不符合要求。不能達到潔牙的目的,又容易造成交叉感染,所以,如果需要潔牙一定要到正規的醫院和診所。
在口腔科日常門診中,常有老年人因牙齦出血或口臭來就診。經檢查,確定發生這些症狀的原因主要是牙結石。大部老年人都有程度不同的牙結石。牙結石是附著在牙齒表面的硬性斑塊,其外形似黃色乾石灰塊,較堅硬,易使牙齦出血。牙結石大多位於不易清潔的牙面上,如下前牙舌面、上磨牙頰面。引起牙結石的原因很多,如炎症、損傷、不良衛生習慣、個體差異(唾液PH值高者易發生牙結石)等。
沉積在齦緣或齦溝內的結石,對牙齦造成持續性的刺激和壓迫,使牙齦組織發生局部營養障礙,抗菌能力降低,牙齦易出現炎症、出血、萎縮,嚴重時可引發牙周膿腫、牙齒鬆動、脫落,破壞牙列完整,妨礙咀嚼功能,加重消化道負擔,影響機體健康。
預防牙結石主要是保持口腔衛生,早晚刷牙,飯後漱口,多喝開水。有少量牙結石者,可以對著鏡子用小刮匙或其他金屬器具小心剔除;結石較多,或位於難以剔除部位者應到口腔科“洗牙”。
預防措施
怎樣預防牙結石的形成呢?
牙結石預防刷牙是預防牙結石形成的一種簡便而又行之有效的方法。牙結石的沉積是由少到多,逐漸形成的。經常刷牙可將剛剛開始沉積於牙面的牙垢、牙結石及時刷掉。所以應該讓兒童堅持刷牙,如若等到牙結石沉積很厚、附著很緊密時,就刷不掉了,必須由大夫協助才能去除。
另外由於精細食物粘性重糖分高,極易沉積於牙面,因此,應告誡兒童少吃精細食品,或吃後必須刷牙漱口。特別是睡前吃諸如餅乾、蛋糕等精細食品,不僅容易形成牙結石,而且還會造成齲齒。所以平時一定要養成刷牙和保持口腔衛生的良好習慣。
洗牙後注意事項
牙結石洗牙後雖然牙齒變乾淨,若因此忽略清潔、很快地牙結石會再長出來,所以勤刷牙及使用牙線仍是必要的。
牙結石洗牙的過程通常會有點酸痛,如果發炎情形厲害或牙結石很多很久未洗的人更可能會流點血。這都是可能的。洗牙後的流血情形一般會在一兩天內慢慢消失,如能維持良好口腔衛生,洗牙前的刷牙流血現象多半可在一周左右自動不見。如果局部地方仍會流血,則得請牙醫師小心檢查是否已有牙周病或牙齦深部尚有殘餘的牙結石存在。
牙結石洗牙後的牙齒對冷熱會有點敏感而感到酸痛,這暫時的症狀及原來刷牙容易流血的情形通常在一周左右會消失。若酸痛症狀一直存在可考慮市面上的抗敏感牙膏如舒X定等,使用一個月左右多會改善。
牙結石洗牙後的牙齒常會看起來比較長、牙縫常會看起來比較大,主要是因發炎的牙肉不再腫脹、牙肉恢後健康所致,這是正常顯象請不要擔心。
在正常飲食中,有一些需要留意的地方。首先,在超音波潔牙後的很短一段時間內,牙齒會有些敏感,因此,要避免使用過硬的食物,如螃蟹、甘蔗等。這種牙齒敏感症狀因人而異,有的人沒有,有的人1-2天后便可消退。
另外,超音波潔牙後的24小時之內,應避免如濃茶、咖啡、紅酒等深色飲料和辛辣刺激性食物,如嚼檳榔等,不要抽菸,在飯後注意漱口,保持口腔潔淨。
什麼情況下容易長牙石
牙石就是牙結石。牙石是附著在牙面上的髒東西,每個人的牙面上都有,只是有的人多,有的人少;有的人牙結石容易發現,有的則不容易發現。這是怎么回事呢?原來牙結石容易被許多食物、藥物、煙、茶等有顏色的物質染成暗黑色、褐色等,牙齒也被染成了黑牙、褐色牙等,染色深的易於發現,染色淺的則不易發現。在我們診室清潔過牙齒的人對著鏡子說:“原來我的牙齒那么白,現在怎么變黑了?”說明他的牙齒,又完全被牙結石蓋起來了。那么,在什麼情況下牙齒容易長牙結石呢?
(1)不注意口腔衛生,如不刷牙或沒有好好刷牙。
(2)牙面生長發育不好,如患牙釉質發育不全症等。
(3)牙齒排列不整齊。
(4)長期吃軟性食物或粘性較大的食物。
(5)喜歡吃糖。
(6)經常吃含鈣、磷較多的食品。
臨床表現
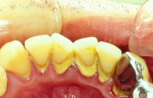
以齦緣為界,根據牙石沉積的部位,分為齦上牙石和齦下牙石。
齦上牙石,又稱唾石,是位於齦緣以上臨床牙冠表面上的牙石,肉眼可以直接看見。其礦化物質來源於唾液,因此在唾液腺導管開口處相應處的牙面上常常沉積較多,即在腮腺導管開口處相應的上頜第一磨牙頰面,頜下腺和舌下腺導管開口處相應的下頜前牙舌面容易沉積牙石。齦上牙石多呈黃色或白色,也可以由於吸菸或食物著色而呈深色。
齦下牙石又稱為血石,沉積於齦緣之下,附著在齦溝或牙周袋內的根面,肉眼不可以直接看見,大塊齦下牙石可以在X線片上顯示。其礦化物質來源於齦溝液,一般呈褐色或黑色,與牙面的附著較齦上牙石更牢固。
溫馨提示
1、喝完茶、咖啡、紅酒後記得漱口。
2、刷牙方法要注意,正確是“豎”刷,不是“橫”刷。
3、使用牙線,完全清除牙縫內的食物殘渣及菌斑。
4、早晚使用潔齒白淨方刷牙。
牙結石疾病預防
刷牙是預防牙結石形成的一種簡便而又行之有效的方法。一般人刷牙通常只能去除70%左右的菌斑,個人口腔護理除刷牙外,還應使用其他清潔工具:牙線、牙間隙刷等。潔牙以後必須進行認真的個人口腔護理,保持口腔的清潔環境,否則及時經常洗牙,牙結石也可以捲土重來。
牙結石的沉積是由少到多,逐漸形成的。經常刷牙可將剛剛開始沉積於牙面的牙垢、牙結石及時刷掉。所以應該堅持刷牙,如若等到牙結石沉積很厚、附著很緊密時,就刷不掉了,必須由口腔專業人士協助才能去除。
另外由於精細食物粘性重糖分高,極易沉積於牙面,因此,應告誡兒童少吃精細食品,或吃後必須刷牙漱口。特別是睡前吃諸如餅乾、蛋糕等精細食品,不僅容易形成牙結石,而且還會造成齲齒。所以平時一定要養成刷牙和保持口腔衛生的良好習慣。

