基本簡介
牙垢讀音:yá ɡòu附著於牙齒冠部﹑頸部及牙縫等處的污垢。多為食物殘渣經唾液作用而成。積久可硬化為牙石。
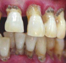
牙垢,又稱牙菌斑,是在牙齒表面逐漸沉積的生物薄膜。由食物殘渣、脫落的口腔上皮細胞、唾液和細菌構成。
危害
牙垢牙垢中的細菌主要是正常口腔記憶體在的鏈球菌、厭氧菌等。牙垢堆積到一定厚度之後,其內部緊挨牙齒表面的細菌因為與空氣隔絕開始轉入無氧呼吸。無氧呼吸在此處產生的酸不能及時
被唾液沖走,因此會腐蝕琺瑯質中的礦物成分,並進一步促進齲齒的形成。在牙根處堆積的牙垢
也會刺激牙齦,導致牙周炎等牙周疾病。
牙垢對牙齒的危害隨其沉積時間而增強,所以應該定期清除。牙垢的質地很軟,可以用牙刷、牙膏來有效清除。一般每天早晚刷牙2次即可達到較好的效果。在牙齒之間等不容易刷到的地方可以使用牙線。洗牙可以進一步保證牙垢的徹底清除。
長期沉積的牙垢在結合了唾液中的礦物質等成分後,會鈣化形成硬質的牙石。牙石一般緊密附著在牙齒表面,其去除需要由牙醫等專業人士進行。
去除方法
幾種清除牙垢的方法
(l)食醋法 取食醋口含,在口腔鼓漱但不吐,口含二三分鐘再吐出,再用牙刷刷洗,最後用溫水漱口。或在刷牙時,在牙膏上滴兩滴食醋刷牙,堅持一段即可清除牙垢。(此方法雖潔牙但卻傷牙)
(2)紅糖刷牙法 先取適量紅糖放進口中,含15分鐘左右,使全口牙齒均浸泡在糖液中,再用較硬實的牙刷反覆刷二三分鐘,然後用淡鹽水刷牙一二分鐘,每日早晚各1次,連續1周可除。
(3)白礬刷牙法 將白礬50克研成粉末,每次用牙刷沾一些刷牙,每日2次,可除黃色牙垢。
(4)烏賊骨刷牙法 取烏賊骨50克研成細末,摻入牙膏內刷牙,每日2次,可除黑色牙垢。
(5)藉助於牙粉。
(6)牙貼清除牙垢法去除牙垢最簡單的方法是使用牙貼,牙貼能起到美白功效,但需要注意的是用完牙貼後的六小時一定要刷一次牙。
墨魚骨亮白牙結素,內含墨魚骨 田七莖葉 百草香 炫白粒子(HCS)等成分,現在成為一種不傷害牙釉質,真正健康方便的牙齒美白方式。
牙齒美白新概念 潔齒之靈墨魚骨,其內含潔淨成份,除污垢,深層滲透牙釉層,深度亮白牙齒,同時防止牙漬再生,令牙齒持久亮白
牙齒美白新體驗 特別添加 HCS亮白因子和晶炫摩擦粒子可以有效去除煙茶漬、黑黃漬,帶來更徹底的牙齒美白效果,讓牙齒綻放光感亮白。
上述都是清除牙垢的簡便方法,只要能保證牙齒不沾牙垢,也就不可能形成牙石。而一旦牙石形成,上述方法的作用就微乎其微了,只有請口腔科大夫用器械來刮除,這是一種費時又不徹底還傷牙的方法,而用超聲潔牙機來清除牙石,效果則比較好。
預防方法
預防牙垢主要是要保持良好的口腔衛生,每次飯後或吃零食後,用清水漱口;早晚都要刷牙,尤其是晚上刷牙更為重要。在刷牙時要採取豎刷法(順著牙縫刷),牙齒內面、外面和上面都要刷到。另外,吃飯時,要用雙側牙齒咀嚼。有的人習慣於用一邊牙齒咀嚼,這樣,不使用的一側摩擦少,就容易沉積牙垢和牙石。如果在飯後經常吃些水果,或吃些生的蔬菜,例如黃瓜、脆蘿蔔等,利用果肉和瓜類等的摩擦作用,也有助於去掉食物殘渣和牙石。
1、刷牙:早晚刷牙、飯後漱口是預防牙結石形成的一種簡便而又行之有效的方法,牙結石形成之初,使用口腔清潔法或刷牙法,都很容易清除牙結石,等到沉積變厚、鈣化之後、附著緊密時就不易清除了。
2、飲食結構:富有維生素的粗纖維食物的充分咀嚼有利於牙面的清潔,精細蛋糕、甜食、粘性零食極易沉積於牙面,容易形成牙結石,必須在進食這類食物後及時刷牙漱口。
3、口腔健康檢查:每半年進行一次口腔健康檢查,及時、及早處理問題,使牙面、牙頸部經常處於潔淨狀態。
4、超音波洗牙:每半年一次的超音波洗牙是清除牙結石最為有效的辦法,也是治療牙齦炎、牙齦出血、牙周病的常規方法。
5、化學溶解法:國際上有些牙科機構通過採取1%的二磷酸化合物溶液抑制牙垢中的礦物質沉積來控制牙石的形成也有一定的效果,但是目前沒有廣泛推廣,只適合少量較軟的牙垢,對於已經形成附著很久的結石,超音波洗牙、噴沙潔牙仍然是不二之法。
6、牙齒漂白法:利用化學藥物的方法置換出牙齒表面或牙面的色素成份讓牙齒變白,美容措施,對待附著牢固的牙結石其實不可取,長期療效並不穩定。
病因病理
潔牙的起源非常早。據說我國是最先使用牙刷的國家,因為在遼墓穴中發現過骨質的牙刷柄,它是迄今發現的、世界最早牙刷實物,距今已有1000多年。秦漢時期,關於口腔、牙齒之清潔、健美、疾病、保健已有了較高的要求,如同現代人每天使用牙膏一樣,那時的人漱口也已普遍使用由多種潔牙成分調配的純中藥方劑潔齒白淨散,其能有效清除牙垢,清潔牙齒,消除黃牙黑牙,做到全方位潔白保護牙齒,故廣傳至今。現代社會,隨著生活水平的提高,人們更加注重保持口腔衛生和預防牙齒疾病,養成飯後漱口、剔除齒縫間食物殘渣的習慣之外。
潔牙之靈——墨魚骨,又叫烏賊骨、海螵蛸,性味鹹、澀,溫。歸脾、腎經。具有收斂止血、制酸止痛、收濕斂瘡的功能。其內含潔淨成分,細磨成粉,配此方刷牙除牙齒污垢,使牙齒可由黃變白,是清潔牙齒的常用良藥。
健牙之選——田七莖葉,味辛溫,入肝、胃二經。止血定痛,殺蟲消毒,古藥書說“田七功同人參,故人稱人參田七,為中藥之最珍貴者。”治口腔細菌感染、吐血、外傷出血,癰腫毒瘡等,有助於口腔殺菌,清潔牙槽,恢復清新口氣。
香牙之方——百草香,味微辛,芳香化濁,可配菜食,清熱解毒,殺蟲抗菌,清潔牙齒,芳香護齒,促進口腔血液循環,增強牙齦免疫力,減輕神經性疼痛,改善口腔環境,是潔齒護齒的良藥。
固牙之劑——楊柳粉,味苦辛澀,有芳香祛風,解毒止痛,排膿消腫和潔齒固齒之功。古有“楊枝揩齒法”之說,《處台秘要》中載有“每朝楊柳枝咬頭軟,點取藥揩齒,香而光潔。”因此,楊柳粉是古今潔牙不可或缺的配方之一。
日常護理
1、喝完茶、咖啡、紅酒後記得漱口。
2、刷牙方法要注意,正確是“豎”刷,不是“橫”刷。
3、使用牙線,完全清除牙縫內的食物殘渣及菌斑。
4、早晚使用潔齒白淨方刷牙。
和吸菸有關的疾病
| 吸菸危害健康已是眾所周知的事實。不同的香菸點燃時所釋放的化學物質有所不同,但主要是焦油和一氧化碳等化學物質。 |

