流行病學
脊索瘤少見,占原發惡性骨腫瘤的1%~4%,男性多見。本病於1894年被Ribber命名,總的發病率為每年0.2~0.5/10萬約占顱內腫瘤0.15%發生在骶管的脊索瘤約占40%脊柱其他部位亦可以發生但較少見。本病多發生於嬰兒。

脊索瘤
病因
脊索瘤是由胚胎殘留的脊索組織發展而成,是一種先天性腫瘤。脊索是胚胎期位於背中央的中胚層組織,以後成長為都分顱底和脊柱,其殘餘的脊索組織即為脊索瘤的來源。脊索瘤好發於脊柱的兩端中線。呈溶骨性膨脹性破壞。早期腫瘤表面呈分葉狀或結節狀,腫瘤大小乾一,有不完整的包膜,色灰白或灰紅。瘤組織中可殘留碎骨性或骨小粱間隔,軟組織鈣化,晚期易出血、壞死和囊性變,以單發病灶者多見。
脊索瘤具有向硬脊膜內外,蛛網膜下腔和神經周圍蔓延的特點,可引起難以抑制的疼痛。很少惡化轉移,即使有,也多在腫瘤發現後多年才轉移。一般轉移僅見於骶尾部的脊索瘤。
發病機制
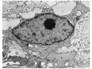
脊索瘤表現為光滑性結節腫瘤組織為白色半透明膠凍狀含大量黏液伴廣泛出血時呈暗紅色。瘤體邊緣常呈分葉狀或結節狀,表面有一層纖維組織包膜一般不穿破進入鄰近臟器。鏡下見腫瘤細胞較小,立方形、圓形或多角形,胞膜清楚胞質量多紅染常見空泡,空泡大者可達到一般細胞體積的幾十倍,即所謂“大空泡細胞”。胞核圓形或卵圓形,位於中央。細胞排列成索條狀或不規則腺腔樣期間為黏液偶見核大深染細胞、多核細胞和核分裂細胞。
脊索瘤可分為二個類型,即經典型和軟骨型骶骨侵犯後,向前可侵入盆腔,向後可侵入椎管內,壓迫馬尾神經根,引起相應部位神經根受損症狀。
臨床表現
脊索瘤臨床表現脊索瘤多見於40~60歲的中、老年人偶見於兒童和青年。腫瘤好發於脊椎兩端即顱底與骶椎,前者為35%後者為50%,其他椎骨為15%。發生在縱軸骨以外者罕見,如椎骨橫突、鼻竇骨等。較多以骶尾部疼痛為首發症狀。絕大多數椎管內脊索瘤在診斷之前往往經歷了相關症狀數月至數年臨床症狀決定於腫瘤發生的部位:枕蝶部腫瘤可產生頭痛腦神經受壓症狀(視神經最多見),破壞垂體可有垂體功能障礙向側方或向下方突出可在鼻咽部形成腫塊有堵塞鼻腔出現膿血性分泌物。發生在斜坡下端及顱頸交界處者常以頭痛、枕部或枕頸交界區域疼痛為常見症狀,頭部體位改變時可以誘發症狀加重;發生在胸椎者腫瘤可侵犯相應部位椎體結構經過椎間孔突入胸腔破壞肋間神經可引起節段性灼性神經痛甚至可引發肺部胸膜刺激症狀。發生在骶尾部者骶部腫瘤壓迫症狀出現較晚常以骶尾部疼痛為主要症狀,典型症狀是慢性腰腿疼,持續性夜間加重病史可長達0.5~1年腫瘤較大時,腫塊向前擠壓盆腔臟器壓迫骶神經根,引起大小便失控和排尿困難及其下肢與臀部麻木或疼痛腫塊可產生機械性梗阻引起小便障礙和大便秘結。發生在椎管其他部位者,以相應部位局部疼痛為常見症狀。
骶管脊索瘤臨床上查體時可見骶部飽滿,肛診可觸及腫瘤呈圓形光滑有一定彈性。緩慢生長的腫瘤包塊多數向前方膨脹生長,臨床不易發現只有在晚期,當腫瘤向後破入臀肌、骶棘肌或皮下才被發現,下腹部也可觸及腫塊。肛門指診是早期發現骶骨腫瘤的常規檢查尤其是久治不愈的慢性下腹疼痛病人懷疑有骶骨腫瘤時肛門指診尤為重要。
嬰兒期沿面、頭顱或背部中線發生柔軟可壓縮的腫塊,可有透照性或因哭泣而增大腫塊上方可發生黑色毛髮束或周圍繞以黑色毛髮圈的禿髮區許多皮膚損害可推斷其他脊髓和伴髮結構的畸形。脊柱閉合不全的皮膚表現包括凹陷性損害真皮損害色素異常性損害毛髮損害息肉樣損害腫瘤、皮下組織和血管損害。
脊索瘤出現轉移的有肺部、眼瞼及陰莖等手術治療骶骨脊索瘤87例,5例出現肺轉移同時有盆腔淋巴結轉移的1例,脛骨脊索瘤1例。
併發症: 可合併大小便失禁等。
部位和主要表現
1、鞍部脊索瘤:垂體功能低下,主要表現為陽萎,閉經,身體發胖等;視神經受壓產生原發性視神經萎縮,視力減退以及雙顳偏盲等。
2、鞍旁部脊索瘤:主要表現動眼、滑車、外展神經麻痹,以外展受累較受導致為常見。
3、斜坡部脊索瘤:主要表現為腦幹受壓症狀,即步行障礙,錐體束征,外展、面神經功能損害。由於腫瘤發生於顱底,可引起交通性腦積水,如:腫瘤向橋小腦角發展,出現聽覺障礙,耳鳴、眩暈,若起源於鼻咽壁遠處,常突到鼻咽引起鼻不通氣、疼痛,可見膿性或血性分泌物。
診斷標準
脊索瘤診斷根據臨床表現皮損特點的特徵性以及影像學檢查,一般可以做出診斷。患者多為中年人,表現為局部漸增的疼痛和功能障礙位在骶尾椎的腫瘤產生各種壓迫症狀骶前腫瘤比向背側生長者明顯。X線片可見局限性骨破壞,向一側膨出腫瘤中不見骨化和鈣化肛門指診常在骶骨前方觸及腫塊。
鑑別診斷:
骨巨細胞瘤、神經纖維瘤和脊索瘤都是發生在骶骨的常見腫瘤它們有相同的臨床症狀,X線片同是溶骨性破壞彼此容易混淆需要鑑別但前兩者多為20~40歲的青壯年骨巨細胞瘤變部位有明顯的偏心性;神經纖維瘤的破壞圍繞神經孔使之變大消失病變周圍有硬化骨。其他少見的良性腫瘤,由於症狀輕微X線片有各自的影像學特徵容易鑑別。更少見的骶骨高惡性腫瘤具有病史短,疼痛劇烈影響睡眠臥位不起呈強迫體位,病人很快出現精神不振體重下降消瘦貧血和發熱X線片腫瘤破壞發展較快呈溶骨性或成骨性穿刺點在後部正中骨質破壞嚴重的部位,陽性率可高達90%,因此術前獲得病理組織學診斷並不困難。
輔助檢查
脊索瘤——圖11.X線檢查。X線平片顯示腫瘤以溶骨性破壞為主不見鈣化及骨化。可見骶骨局部破壞及其鈣化斑塊。位於骶、尾椎的腫瘤自骶椎中央或偏一側產生局限性骨質破壞可使骨質擴張變薄消失位於胸腰椎椎體者椎體破壞壓陷但椎間隙保持完整。
2.膀胱造影及鋇劑灌腸,有助於判斷腫瘤的範圍(圖1)。
3.CT檢查。CT對確定腫瘤具有定位和定性價值,發現腫瘤有鈣化或斑塊形成,具有重要價值,並可指導手術靜脈注藥後能夠明顯強化,有助於闡明腫瘤的內容物及其周邊包膜特徵骶骨脊索瘤的骨掃描檢查常為密度減低或冷結節檢查時要除外重疊的膀胱陰影,為此檢查前應使膀胱排空或做側位掃描。CT可清晰顯示脊索瘤骨破壞和軟組織陰影與馬尾神經、大血管及周圍組織的關係注射造影劑可增強CT影像的清晰度。據文獻報導脊索瘤的囊性變可在CT中有斑點狀和低密度區表現;血管造影對頸椎脊索瘤的診斷有幫助;脊髓造影可顯示腫瘤在硬膜外擴展在椎管內的生長可超越骨質破壞範圍對手術方案的制定有幫助。
4.MRI掃描。磁共振檢查對腫瘤有定位和定性價值,是評價脊索瘤非常有益的手段。當CT掃描發現骨性破壞後,應常規進行磁共振檢查。脊索瘤T1像上呈低信號或等信號T2像上呈高信號分葉狀的高信號病變與低信號分隔明顯。值得提示的是磁共振可以區別腫瘤類型一般經典脊索瘤比軟骨型脊索瘤呈更長的T1和T2信號。
治療
脊索瘤治療中線性腫塊需進行放射線拍片檢查並請神經外科醫師會診以免活檢或手術切除時損傷中樞神經系統隨著外科技術的進步、提高,對骶骨脊索瘤已能成功的進行手術切除,多數病人能獲得治癒,因此骶骨脊索瘤的治療中外科切除是主要的治療方法。根治性手術切除在治療脊索瘤過程中起主要作用腫瘤部位決定手術入路。沒有一種手術入路適用於所有脊索瘤患者。顱頸交界區脊索瘤可通過側方前方或後方入路獲得適當的切除骶管脊索瘤主要通過後方入路,由於盆腔結構複雜血供豐富,腫瘤呈浸潤性難以全切除骶3以下腫瘤切除時,可保留骶3神經,術後可保留排尿及射精功能。侵及骶1者可行全骶骨切除,人工骨盆置換術中對盆腔大血管一定要仔細保護,並防止術中大出血引起失血性休克按照Enneking外科分期骶骨脊索瘤多數屬IB手術在骶骨腫瘤的側面、背面和下面的正常組織中進行剝離顯露在前面行間隙分離,並用紗布填塞止血和隔離以保護正常組織在切除腫瘤時少受污染分塊切除腫瘤,從腫瘤中游離骶神經對腫瘤上方骨殼進行搔刮,術後復發明顯減少。
保留骶12神經有50%病人出現大小便失禁(Enneking)筆者的經驗是保留骶123神經有90%以上的病人獲得正常大小便功能和雙下肢功能。骶4、5神經喪失會引起會陰部暫時性感覺障礙部分男性病人有暫時的性功能障礙。一側有骶12、3神經損害術後出現的大小便功能障礙在2~4個月後恢復。
骶骨腫瘤血運極豐富外科切除因手術大顯露難出血多危險性大併發症多病死率高過去常被視為禁區。在不斷探索中認識到骶骨腫瘤全切術是一個搶救性手術必須有充分準備才能進行。在過去骶骨腫瘤不能手術切除的年代放療有止痛、控制腫瘤發展的作用。術後小劑量放療對殺滅殘存瘤細胞是有用的
單純以手術治療很難治癒脊索瘤。因為起源於骨的腫瘤,通常就排除了全切除的可能性,即使在腫瘤根治性切除後腫瘤復發率仍很高術前對脊索瘤的上述特徵應該充分考慮以便擬定適宜的手術方案平均來看,在第一次手術治療及放療後2~3年便產生第一次復發雖然有極少數作者報告脊索瘤術後最短者1個月內即可以復發,究其主要原因,可能是殘餘的微小腫瘤進行性生長有關。所以要考慮放療來輔助治療或者為主治療。
最佳治療方法
目前質子放療廣泛套用在脊索瘤的臨床治療。質子放療可以有效的避免射線對脊柱和腦部主要功能區的照射,並且在入射皮膚時幾乎沒有劑量的損失,同時能在腫瘤部位實行大劑量爆破,能夠有效的殺死癌細胞。在歐美,兒童腫瘤的質子治療已經納入了保險,因為質子治療可以有效的保護正常組織,這對於生長和發育的兒童來講是不二的選擇。質子重離子放療與手術配合,將完美的解決脊索瘤的病症!然而,現在國內例如上海質子重離子醫院就有這種質子設備,能夠質子治療脊索瘤,但是經過近一年的臨床和接收患者的情況來說,國內並不是每位患者都能接診,尤其兒童腫瘤脊索瘤評估後能接診幾率極低,這就促使了很多患者會選擇出國看病。
術後放療常有不同的結果。對於分塊切除腫瘤或非根治性切除者絕大多數術後需輔以放療,然而脊索瘤對放療不敏感因此術後放療的理想劑量一直是臨床敏感的話題Phillip和Newman認為放射劑量大於6000rad,效果較好Higginbotham推崇劑量為6500~7000rad。然而,某些研究者認為,高劑量放療和生存期長短之間無相關性。儘管文獻報告不同,但如使用常規外照射放療時劑量一般選擇至少5000rad。在脊索瘤切除後,儘早進行CT或MRI檢查,以證實腫瘤切除程度與是否有腫瘤殘餘,對於擬定術後輔以放療與否或定期隨訪有重要指導價值。
預後
建議所有的脊索瘤瘤患者在術後24小時持續昏迷、吞咽功能障礙的脊索瘤病人,應鼻飼流質飲食,鼻飼時應注意:
1、飲食要少量多餐,每次量少於200毫升。間隔時間大於2小時,防止消化不良。
2、溫度38~40℃,防止燙傷病人。
3、抬高床頭15°~30°,進飲食後半小時內勿改變病人體位,防止食物反流。
4、餵食前要證明鼻飼管確實在胃內。
5、脊索瘤術後早期胃腸功能未完全恢復時應儘量少進牛奶、糖類等產氣食物,防止引起腸脹氣。若抽出咖啡色液體時提示消化道內有出血,應暫禁飲食或灌注冰流質,止血後方可進食。
6、宜高熱量,高蛋白,高營養,低鹽飲食。避免由於鈉離子在機體瀦留可引起血壓升高,進而導致顱內壓升高。保證病人營養,有利於手術後組織的修復。
7、為防止腦膜瘤患者的胃管脫出,胃管脫出時注入食物可導致食物進入呼吸道引起窒息,應妥善固定不能自行拔出。
護理方法
術前準備
脊索瘤是一種少見的腫瘤,來源於脊索胚胎殘餘組織,多發生於骶尾部,鼻咽部罕見,屬於低度惡性腫瘤,進展緩慢,不及時治療常可由於腫瘤向顱內擴展導致死亡。
心理護理:術前患者與家屬均有思想負擔、恐懼、憂慮,曾產生絕望,患者反覆問醫生護士其病情如何,擔心手術能否成功,怕花錢及術後疼痛,針對這些問題,我們實行保護性醫療措施,不泄露病情,言行謹慎,對患者的疑問給予耐心的解釋,安慰與鼓勵,消除其心理負擔,同時我們也做好家屬的配合工作。通過細緻工作,患者愉快地接受了手術。
口腔準備:因手術經口入路需切開軟齶及咽後壁,術前3日讓患者早晚及每次飯後刷牙,每4h用生理鹽水漱口1次,術前1日行口腔護理,早晚各1次,術晨再用生理鹽水棉球行口腔清洗,以避免術後口腔切口感染。
術後護理
1、術後24h觀察生命體徵:全麻術後患者回病房時未完全清醒,每30min測生命體徵1次並記錄,給予吸氧1~2L/min.術中行氣管切開,術後我們注意及時吸出套管內分泌物,保持呼吸道通暢。內套管每日清洗煮沸消毒,管口無菌紗布覆蓋。術後第3日拔氣管套管,患者呼吸平穩。
保持術區清潔:因術後切口腫脹,口內分泌物在咽部、口腔堆集,為了防止切口感染,每日用0.5%碘伏棉球清潔傷口1次,複方硼砂漱口液漱口,每日5~6次,尤其是飯後及睡前,口內分泌物較多時囑患者用舌頭慢慢送至唇緣,拭去。禁止使用電動吸引器,因吸引管在口腔內易引起噁心反射,此時軟齶及鼻咽部傷口張力加大,致傷口撕裂,其次吸引管在口腔內上下移動對傷口造成反覆摩擦並且可能將術區黏膜吸起,都會引起傷口腫痛加重,影響癒合。由於及時清除分泌物,患者未發生口腔炎症,軟齶切口於7日後拆線,癒合良好,但有有輕度紅腫,我們按上述護理至第10日,紅腫消退。
2、保持鼻腔清潔:縫扎於鼻咽部碘仿紗條上的雙4號絲線經鼻腔引出後結紮在一段橡膠管上,橡膠管橫置於一側前鼻孔處,長度為鼻小柱和一側鼻翼間的距離。鼻腔內分泌物由於橡膠管的堵塞不易排出,護理時注意鼻腔清潔,及時清除分泌物,防止倒流污染傷口。擦拭或吸出鼻腔分泌物時用血管鉗夾持橡膠管及結紮處的絲線,防止絲線從橡膠管滑脫,導致鼻咽部紗條失去固定墜入喉部造成窒息。術後只要絲線未滑脫,不必更換橡膠管,若發現絲線有鬆脫,應讓患者仰臥位(因坐位時鼻咽部紗條由於重力作用極易滑脫墜入喉部),立即用血管鉗夾持鬆脫的絲線並將其從橡膠管上解脫,換用一段清潔的橡膠管後重新牢固結紮。重新結紮時操作困難,由於醫生在術中結紮牢靠,本例患者未出現絲線鬆脫。鼻前庭塗紅黴素軟膏1次/日,預防鼻前庭炎,鼻腔滴入氯黴素眼藥水3次。
3、保持心情舒暢也尤為重要喔!


