基本概念
法洛四聯症是存活嬰兒中最常見的發紺型先天性心臟病,其發病率占各類先天性心臟病的10%—15%。 法洛四聯症由以下4種畸形組成:①肺動脈狹窄:以漏斗部狹窄多見,其次為漏斗部和辦膜合併狹窄,狹窄程度可隨年齡而加重;②室間隔缺損:多屬高位膜部缺損;③主動脈騎跨:主動脈騎跨於左、右兩心室之上,隨著主動脈發育,右跨現象可逐漸加重,約25%病人為右位主動脈弓;④右心室肥厚:為肺動脈狹窄後右心室負荷增加的結果。以上4種畸形中以肺動脈狹窄最重要,對患兒的病理生理和臨床表現有重要影響。
病因
VanPraagh認為法洛四聯症的四種畸形是右室漏斗部或圓錐發育不良的後果,即當胚胎第4周時動脈乾未反向轉動,主動脈保持位於肺動脈的右側,圓錐隔向前移位,與正常位置的竇部室間隔未能對攏,因而形成發育不全的漏斗部和嵴下型室間隔缺損,即膜周型室間隔缺損。若肺動脈圓錐發育不全,或圓錐部分完全缺如,則形成肺動脈瓣下型室間隔缺損,即乾下型室間隔缺損。症狀介紹
主要表現為青紫(發紺),其程度和出現的早晚與肺動脈狹窄程度有關。多見於毛細血管豐富的淺表部位,如唇、指(趾)甲床、球結合膜等。因血氧含量下降,活動耐力差,稍一活動,如啼哭、情緒激動、體力勞動、寒冷等,即可出現氣急及青紫加重。患兒多有蹲踞症狀,每於行走、遊戲時,常主動下蹲片刻。蹲踞時下肢屈曲,使靜脈回心血量減少,減輕了心臟負荷,同時下肢動脈受壓,體循環阻力增加,使右向左分流量減少,從而缺氧症狀暫時得以緩解。由於患兒長期缺氧,、致使指、趾端毛細血管擴張增生,局部軟組織和骨組織也增生肥大,隨後指(趾)端膨大如鼓槌狀。年長兒常訴頭痛、頭昏,與腦缺氧有關。嬰兒有時在吃奶或哭鬧後出現陣發性呼吸困難,嚴重者可引起突然昏厥、抽搐,這是由於在肺動脈漏斗部狹窄的基礎上,突然發生該處肌部痙攣,引起一時性肺動脈梗阻,使腦缺氧加重所致。此外,可因紅細胞增加,血粘稠度高,血流變慢,而引起腦血栓,若為細菌性血栓,則易形成腦膿腫。
患兒體格發育多落後,心前區可稍隆起,胸骨左緣第2—4肋間常聽到Ⅱ-Ⅲ級噴射性收縮雜音,一般以第3肋間最響,其響度取決於肺動脈狹窄程度。狹窄重,流經肺動脈的血少,雜音則輕而短;漏斗部痙攣時,雜音暫時消失。肺動脈第二音均減弱或消失。加上主動脈向前騎跨,位置比較靠近胸壁,有時在肺動脈辦區僅可聽到來自主動脈的響亮而單一的第二音。
法洛四聯症常見併發症為腦血栓、腦膿腫及亞急性細菌性心內膜炎。
(X線檢查) 心臟大小正常或稍增大,心尖圓鈍上翹,肺動脈段凹陷,構成“靴狀”心影,肺門血管影縮小,兩側肺紋理減少,透亮度增加。側支循環豐富者兩肺野呈現網狀肺 (心電圖) 電軸右偏,右心室肥大,狹窄嚴重者往往出現心肌勞損,亦可見右心房肥大。
(超聲心動圖) 主動脈騎跨於室間隔之上,內徑增寬。右心室內徑增大,流出道狹窄。左心室內徑縮小。都卜勒彩色血流顯像可見右心室直接將血液注入騎跨的主動脈。 (心導管檢查) 導管較容易從右心室進入主動脈,說明主動脈騎跨。導管若從右室進入左室,說明有室間隔缺損。導管不易進入肺動脈,提示肺動脈狹窄較重。若能進入肺動脈,則將導管逐漸拉出時,可記錄到肺動脈和右心室之間的壓力階差。患者右心室壓力增高,肺動脈壓力下降,連續壓力曲線可以幫助辨明狹窄的類型。股動脈血氧飽和度降低,證明有右向左分流存在。 (心血管造影) 造影劑注入右心室,可見主動脈與肺動脈幾乎同時顯影。主動脈陰影增粗且位置偏前、稍偏右。此外,尚可顯示肺動脈狹窄的部位和程度以及肺動脈分支的形態。造影對制訂手術方案有較大幫助。必要時還需作左室或冠狀動脈造影。
檢查
1.實驗室檢查常出現紅細胞計數、血紅蛋白和血細胞比容升高,重症病例血紅蛋白可達200~250g/L。動脈血氧飽和度明顯下降,多在65%~70%。血小板計數減少,凝血酶原時間延長。尿蛋白可陽性。
2.影像學檢查
(1)心電圖電軸右偏,右房肥大,右室肥厚。約有20%的病人出現不完全性右束支傳導阻滯。
(2)胸部X線檢查左心腰凹陷,心尖圓鈍上翹,主動脈結突出,呈“靴狀心”。肺野血管纖細。輕型病人肺動脈凹陷不明顯,肺野血管輕度減少或正常。
診斷
根據病史、體格檢查並結合心電圖和胸部X線改變,多能提示法洛四聯症的診斷,確定診斷尚需進行以下檢查:1.超聲心動圖
超聲心動圖對四聯症的診斷和手術方法的選擇有重要價值,可從不同切面觀察到室間隔缺損的類型和大小,主動脈騎跨於室間隔之上,肺動脈狹窄部位和程度,二尖瓣大瓣與主動脈瓣的纖維連續性。彩色都卜勒可顯示右心室至主動脈的分流,測量左心室容積和功能等。超聲檢查還可顯示有無其他合併畸形。如懷疑周圍肺動脈狹窄,應進行心血管造影。
2.心導管及心血管造影術
右心導管檢查能測得兩心室高峰收縮壓、肺動脈與右心室之間壓力階差曲線,了解右心室流出道和肺動脈瓣狹窄情況。右心室造影可顯示肺動脈狹窄類型和程度、室缺部位和大小,以及外周肺血管發育情況。左心室造影可顯示左室發育情況。
鑑別診斷
1.法洛三聯症出現發紺比較晚,蹲踞少見,胸骨左緣第2肋間有噴射性收縮期雜音,時限長且響亮。胸片示右室、右房增大,肺動脈段突出。超聲心動圖檢查可資鑑別。
2.艾森曼格綜合徵
發紺出現較晚、較輕,X線示肺野周圍血管細小,而肺門血管粗且呈殘根狀,右心導管和超聲心動圖檢查示肺動脈壓明顯升高。
3.右心室雙出口
主動脈及肺動脈均起源於右心室,有的病例臨床表現與四聯症相似,超聲心動圖和右心室造影可資鑑別。
4.大動脈錯位
心臟較大,肺部血管紋理增多,鑑別診斷靠心血管造影。值得注意的是SDⅠ型四聯症與SDL型解剖矯正性大動脈異位的鑑別:①四聯症有正常肺動脈下圓錐而無主動脈下圓錐,SDL型解剖矯正性大動脈異位則有主動脈下圓錐或主動脈和肺動脈下雙圓錐。②SDI四聯症的大動脈關係為正常的反位,而SDL解剖矯正性大動脈異位則類似完全性大動脈轉位,主動脈在左前或呈並列關係。
預防
為小兒常見的先天性心臟病,與在母體中發育有關,因此提倡適齡生育、注重懷孕期間各種危險因素的控制對預防先天性畸形有重要作用。
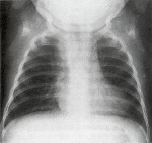
1月女孩,法洛四聯症胸部X線象 治療方法
若無手術禁忌症,一般均應採用手術治療,手術方法包括1、分流術:目的是增加肺循環血量,改善缺氧,常用兩種方法即鎖骨下動脈-肺動脈吻合術和主動脈-肺動脈吻合術;2、根治術:確認無雙側肺動脈嚴重發育不良或明顯狹窄者,均可做根治術。
1.一般處理
避免哭鬧,注意營養,保暖防冷以減少氧耗。患兒易致低血糖,也應予防治。
2.預防腦血管栓塞
發紺嚴重,紅細胞增多顯著者,平時宜多喝水,如病人高熱、嘔吐、腹瀉時,更應及時補液,以防止因脫水致血液濃縮而發生腦栓塞。
3.缺氧發作的治療和預防
緊急狀況的治療目的是消除這些不良因素,主要包括:供氧、鎮靜、重碳酸鹽、晶體液,套用α受體激動劑以提高體循環阻力。①置嬰兒於胸膝位。②心得安每次0.1mg/kg+10%葡萄糖10ml靜注慢推或嗎啡每次0.1m/kg皮下肌注(未建立靜脈通道首選)。③缺氧持續時間長用5%碳酸氫鈉5ml/kg靜脈點滴。④吸氧。⑤增加周圍血管阻力可用阿拉明0.2mg/kg皮下或靜脈注射美速克新明0.2mg/kg皮下和靜脈注射。⑥預防發作,心得安每日1~4mg/kg,分3次口服。
4.預防動脈導管關閉
嬰兒診斷一經確診,主張用前列腺素Ei每分鐘0.05~0.2μg/kg靜滴,以防止動脈導管關閉,增加肺血流量。
5.手術治療
(1)手術指征:
手術治療是法洛四聯症患者治癒的唯一方法。法洛四聯症根治手術如具備以下2個條件者,則手術效果較理想。①肺動脈分支和周圍肺動脈發育好,左右肺動脈直徑之和應至少達到隔肌平面降主動脈直徑的1.2倍,達1.5倍以上者則更為理想(即McGoon指數)。②左室舒張期末容積指數要大於30ml/m2,否則宜先行姑息性分流術,二期再行根治術。
原則上,法洛四聯症根治術無絕對禁忌證,但在下列情況下應慎重考慮根治手術:①主動脈騎跨>75%。可歸入右室雙出口的范籌。②有冠狀動脈異常起源或異形者,特別是主幹或大分支橫跨右心室流出道者。③一側或雙側肺動脈發育不良或缺如者。④並發肺動脈閉鎖。⑤左心室發育不良,左室舒張期末徑小於2倍降主動脈徑者。
(2)手術時機:
①多數法洛四聯症病例出生時體循環血氧飽和度滿意無需治療,但如缺氧發作頻繁的病例,則必須儘早手術,甚至在新生兒時期手術。②擇期手術病例多數醫療中心提侶1~2歲齡行選擇性根治術。③對不適宜行根治術者,則可選擇姑息性手術,為以後行根治術做好準備。
(3)手術方法及評估:
有姑息性手術(分流術)和根治術兩類:
1)姑息性手術:由於心臟外科發展迅速,法洛四聯症一期矯治術逐年增多,且不受年齡限制,手術效果滿意,因而姑息手術目前已大幅下降,僅用於少數肺動脈過於窄小,特別是外周肺動脈分支發育不良者,以及左心室發育差的病人。
2)體一肺動脈分流術:體一肺動脈分流術為分期手術的初期手術,經典或改良的Blalock—Taussing(B-T)分流最普遍。Waterston吻合(升主動脈一右肺動脈)和Potts吻合(降主動脈一左肺動脈)由於較難控制分流量和肺動脈高壓及在完全根治時拆除分流困難,需重建扭曲的肺動脈,因此常顯得較複雜,多數中心已廢除。
經典的B-T分流建在主動脈弓的對側(無名動脈的同側),使鎖骨下動脈較易達到肺動脈而不造成扭結。雖然吻合手術可在任何年齡和任何大小的肺動脈上進行,但由於新生兒鎖骨下動脈細小,多數醫生願意在新生兒期改良B-T分流。改良B-T分流,只要在鎖骨下動脈一肺動脈間植入聚四氟乙烯人造血管即可。因為可行早期完全根治,管道直徑一般4~6mm,太大易造成充血性心衰。由於具有較低的分流失敗率及較好的減狀性能,改良B-T分流效果極佳。改良B-T分流的一大優點使可在任何一側進行而不用考慮主動脈弓部血管有無異常,由於根治時拆除方便,通常選右側徑路。另外,拆除經典或改良B-T分流不甚複雜,且通過適當的手術操作,肺動脈扭曲、充血性心衰和肺動脈高壓發生率較低。
3)其他類型的姑息手術:肺動脈極度發育不良病例,可行保留室間隔缺損的右心室流出道補片或管道連線姑息手術。此術支持對稱的肺動脈血流,同時避免了體一肺動脈分流時可能造成的肺動脈扭曲。然而,多數法洛四聯症伴肺動脈狹窄病例,肺動脈發育不良是由本身缺乏肺動脈血流引起,對增加肺血流術式的反應迅速,因此,保留室間隔缺損時肺血流突然增多可造成嚴重的充血性心衰和水腫。無肺動脈共匯病例,需行一期肺動脈匯合術,可同時行減狀分流或完全根治。
(4)根治手術:
根治手術1954年由Scott在低溫麻醉下阻斷上、下腔靜脈後施行,同年Lillehei套用“控制性交叉循環”的方法進行直視根治。1955年,Kirklin創用在體外循環下直視根治術的標準方法,成為現代外科治療法洛四聯症的基本方法。
(5)法洛四聯症矯治術分為兩部分
1)修補室間隔缺損:對於不需用補片擴大右室流出道的病例,可選擇右心房切口,撥開三尖瓣修補室間隔缺損,並切斷切除右室流出道異常肥厚肌束(隔束和壁束)。如合併肺動脈瓣狹窄,可再加作肺動脈根部橫切口,沿肺動脈瓣葉三個交界切開。也可選擇右心室中上1/3處橫切口,可同時兼顧解除右室流出道及肺動脈瓣狹窄,並修補室間隔缺損。
對於需要用補片擴大右室流出道的病例,則選擇右心室前壁縱切口,必要時可向上切開肺動脈瓣環、肺動脈主幹直至左右肺動脈分叉,用自體心包或四氟乙烯補片剪成圓形修補室間隔缺損。
2)解除右室流出道狹窄:不需作右室流出道補片的手術方法已在上面提及,對於需作右室流出道補片病例,作右心室前壁縱切口,切斷切除隔束、壁束及部分室上嵴肥厚心肌後,取自體心包片或已預凝的人工血管壁作補片,擴大右室流出道,如合併肺動脈瓣環狹窄,則需作跨瓣補片解除狹窄。
值得注意的是,避免殘留室間隔缺損及右室流出道狹窄解除不完全,是保證手術效果的關鍵。
(6)手術方案的選擇:
一般採用根治性手術。但若患者左心室發育和兩側肺動脈發育極差則採用姑息性手術。
預後
近40年來,隨著對法洛四聯症的病理解剖和病理生理的深入研究,以及手術技術、體外循環設備和術後護理水平的不斷提高,其手術死亡率已明顯降低(5%以下),遠期效果良好。(一)法洛四聯症術後處理及應注意以下幾個方面:
1.應適當延長機械輔助呼吸時間,充分鎮靜。
2.早期適量套用正性肌力藥物:如多巴胺1~5μg/(kg·min)。
3.術後使用洋地黃、米力濃等強心藥物。
4.血容量不足所致血壓不穩時,可適當提高CVP,必要時可升至15~16mmHg,以穩定血壓。
5.保持尿量1~2ml/(kg·h)。尿少時可在適當補充血漿或白蛋白(通常法洛四聯症患者術後紅細胞、血紅蛋白及血細胞比容常在正常偏高水平)的基礎上,給予利尿藥。
6.嚴格控制液體輸入量和速度。
(二)併發症的觀察及處理
1.低心排血量綜合徵。
(1)法洛四聯症根治術後此徵發生率最高,可達10%~20%,是引起死亡的最主要原因之一。
(2)原因:①術中灌注技術及心肌保護不滿意,目前已少見。②心內修復不完全,特別是右心室流出道梗阻疏通不滿意及殘留室間隔缺損。③跨肺動脈瓣補片所致的肺動脈瓣反流,是引起右心功能不全的主要原因之一,常手術後2~3周自我適應而好轉。④左心發育不全。⑤外周肺動脈發育不良。⑥心包填塞。
(3)處理:①延長機械輔助呼吸時間,可達2~3天,加強呼吸道管理。②套用微泵給予多巴胺或多巴酚丁胺和硝普納。③補充血容量,提高中心靜脈壓到1.47~1.96kPa(15~20cmH2O)。④套用洋地黃和利尿藥。⑤保持水電解質及酸檢平衡。⑥有心臟壓塞應爭取儘早開胸減壓、止血。
2.其他臨床可見的併發症尚有灌注肺、室間隔缺損殘餘分流出血及心律失常(Ⅲ度房室傳導阻滯)等,隨著體外循環技術、手術操作技術及術中術後監測技術的改進與提高,發生率已明顯下降。

