簡介
卡氏肺囊蟲肺炎(pneumocystis carinii pneumonia PCP),亦可稱為卡氏肺孢子蟲肺炎,又稱間質性漿細胞肺炎(interstitial plasma cell pneumonia),是一種少見的肺炎,主要發生於免疫低下的兒童。是AIDS病患者最常見的肺部併發症,亦可發生在免疫功能低下嬰幼兒,或因套用免疫抑制劑治療的癌症或腎移植患者。卡氏肺囊蟲是一種低毒力的條件致病性原蟲。對其生活史尚未完全闡明,該原蟲有包囊及滋養體兩種形態。一般認為小滋養體為單核薄壁細胞,在肺泡腔內體積逐漸增大,以後胞壁增厚,細胞分裂成兩個子包囊。成熟的包囊中常含多個蟲體,包囊囊壁破裂蟲體進入肺泡腔又形成活動的薄壁滋養體。
病原學
卡氏肺囊蟲肺炎 流行病學
卡氏肺囊蟲肺炎 卡氏肺囊蟲病主要見於五種病人:
①早產嬰兒和新生兒;
②先天免疫缺損或繼發性免疫低下的患兒;
④器官移植接受免疫抑制劑治療的患兒;
⑤AIDS患兒早在五十年代,在北京曾發現少數PCP病例。八十年代中北京兒童醫院曾報告16例PCP發生於白血病患兒緩解期。根據動物模型及病人觀察證明PCP發生與T-淋巴細胞免疫功能低下關係至為密切,目前國外認為凡CD4(輔助性T細胞)計數≤200/mm3時發生PCP危險甚大,但此標準對小兒尤1歲內者不適用。
病理改變
肉眼可見肺廣泛受侵較重,質地及顏色如肝臟。肺泡內及細支氣管內充滿泡沫樣物質是壞死蟲體和免疫球蛋白的混合物。肺泡間隔有漿細胞及淋巴細胞浸潤,以致肺泡間隔增厚,達正常的5~20倍,占據整個肺容積的3/4。包囊開始位於肺泡間隔的巨噬細胞漿內,其後含有包囊的肺泡細胞脫落,進入肺泡腔;或包囊內的子孢子增殖與成熟,包囊壁破裂後子孢子排出成為游離的滋養體進入肺泡腔。肺泡滲出物中有漿細胞、淋巴細胞及組織細胞。
臨床表現
卡氏肺囊蟲肺炎 1.症狀及體徵
可分為兩個類型:
①嬰兒型:主要發生在1~6個月小嬰兒,屬間質性漿細胞肺炎,起病緩慢,主要症狀為吃奶不好、煩躁不安、咳嗽、呼吸增速及紫紺,而發熱不顯著。聽診時羅音不多,1~2周內呼吸困難逐漸加重。肺部體徵少與呼吸窘迫症的嚴重不成比例,為本病特點之一。病程4~6周,如不治療約25%~50%患兒死亡。
②兒童型:主要發生於各種原因致免疫功能低下的小兒,起病急驟,與嬰兒型不同處為幾乎所有病人均有發熱。此外,常見症狀為呼吸加速、咳嗽、紫紺、三凹、鼻扇及腹瀉。病程發展很快,不治療時多死亡。
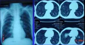
2.X線檢查
可見雙側瀰漫性顆粒狀陰影,自肺門向周圍伸展,呈毛玻璃樣,伴支氣管充氣象,以後變成緻密索條狀,間雜有不規則片塊狀影。後期有持久的肺氣腫,在肺周圍部分更為明顯。可伴縱隔氣腫及氣胸。
臨床特點
卡氏肺囊蟲是1911年巴西科學家卡里博士首先在豚鼠身上發現的囊蟲,故以他的名字命名。它是原蟲,屬肺抱蟲科。其生活史中有兩型,即子袍子和滋養體兩種。
卡氏肺囊蟲對人類和低等動物的感染率很高。美國和荷蘭4歲以下的兒童中,75%可檢測到相應的抗體,但絕大多數系無症狀性感染或輕型感染。卡氏肺囊蟲是在兒童期吸入,在健康人中並不發病,呈潛伏狀態。但對免疫抑制的動物,其隱性感染在一定條件下可轉化為顯性感染。有人認為,嚴重免疫缺陷患者卡氏肺囊蟲的發病率為42%。動物實驗證實,該病可經空氣傳播。
卡氏肺囊蟲肺炎在臨床上有發熱、乾咳和呼吸急促,特別在無活動時仍感急促,最終可致發紺和呼吸衰竭。體檢可見肋間、肋下、胸骨上凹和鼻翼潮紅,肺部體徵不明顯,聽不到哆音。 x線檢查,可在發病後 l天左右出現陽性體徵。典型胸片顯示兩肺瀰漫性肺泡病變,亦可有小葉浸潤。
除了肺部感染外,亦可引起全身其他各臟器的感染。
由於卡氏肺囊蟲感染後,人體不能產生保護性免疫,因而治療後可出現復發。其慢性形式可依據宿主狀況不同而不同,小兒患者肺功能障礙可持續至急性期後6個月內消失。
卡氏肺囊蟲肺炎是愛滋病人死亡的最主要原因,如未經治療,其病死率為100%。
診斷檢查
卡氏肺囊蟲肺炎 對營養不良、免疫功能低下、長期使用糖皮質激素、腫瘤化療、器官移植後和愛滋病等出現低熱、腹瀉、消瘦,繼而出現乾咳、呼吸困難,X線胸片有典型改變者,須注意PCP。呼吸道分泌、纖維支氣管鏡標本甚或肺活檢病原體檢查有助於診斷。
依靠自氣管吸取物或肺活檢組織切片染色見肺泡內泡沫狀嗜伊紅物質的團塊富含原蟲。利用烏洛托品硝酸銀染色,可查見直徑6~8μm的黑褐色圓形或橢圓形的囊體,位於細胞外。近年有人採用高張鹽水霧化吸入提高病原體檢出率。又支氣管肺泡灌洗術和支氣管肺活檢時囊蟲發現率可達90%,囊蟲染色法有Toluidine blue,環六亞甲胺銀,Grdm-wright,Grimss和免疫螢光抗體染色等,近年來有人採用ELISA法檢測肺囊蟲IgG抗體以及乳膠微粒凝集試驗查囊蟲抗原,或分子生物學技術如PcR作快速早期診斷。
常規檢查
卡氏肺囊蟲肺炎 1、血常規、尿常規、糞常規。
2、肝功能。
3、酶學檢測。
4、X線檢查。
5、心血管檢查。
輔助檢查
白細胞計數正常或稍高,約半數病例淋巴細胞減少,嗜酸粒細胞輕度增高。血氣分析示顯著的低氧血症和肺泡動脈氧壓差加大,肺功能測試可見進行性減退。
鑑別診斷
本病需與細菌性肺炎、病毒性肺炎、真菌性肺炎,ARDS及淋巴細胞性間質性肺炎(LIP)相鑑別。其中尤以LIP與本病均易發生於AIDS患兒更難鑑別,但LIP多呈慢性,以咳及乾羅音為主,有全身淋巴結增大及唾腺增大,可在肺活檢標本中查出EBV-DNA1,而PCP不能查出。
治療措施
作病原治療。以前常用戊烷脒(pentamidine isothionate)100~150mg/(m2·d)或4~5mg/(kg·d),肌注10~14天。亦可氣霧吸入,早期套用此藥,至少60%患兒可以治癒,但約半數患兒可出現較重的不良副作用如局部發生無菌性膿腫、皮疹、低血壓、噁心、嘔吐、眩暈、低血糖、低血鈣、巨幼紅細胞性貧血、血小板減少、中性粒細胞減少及肝腎功能損害等。目前,首選藥物為甲氧苄胺嘧啶(TMP)20mg/(kg·d)加磺胺甲基異噁唑(SMZ)100mg/(kg·d),分2次服,連服2周,其療效與戊烷脒相仿,但不良副作用遠較少見,表現為皮膚過敏與胃腸道反應。亦有主張SMZCo100mg/(kg·d)2周,後減為半量再用二周,後再減為1/4量連用2月,有效率達75%,此藥可作為化學預防劑,在套用免疫抑制劑的高危患兒中預防此病,其劑量為TMP5mg/(kg·d)和SMZ25mg/(kg·d),皆分2次口服或每周連服3天,停4天,連用6個月。
支持療法包括肌注丙種球蛋白或胎盤球蛋白,可以增強免疫力。必要時吸氧。如在套用腎上腺皮質激素的過程中發生此病,則需減量或停藥。為預防此病在高危患兒中交叉感染,最近主張執行呼吸道隔離,直至治療結束。
1、一般治療:說服或強制性戒酒、臥床休息。補充維生素類,加強營養支持治療。
2、對症治療:治療心力衰竭,處理心律失常。
3、在戒酒的同時,積極勸說戒菸,以改善預後。
併發症
卡氏肺囊蟲肺炎的併發症日益增多,如肺囊性病變、自發性氣胸、上葉實變等,其表現變化很快且多種多樣,如未經適當的治療可迅速發展為急性呼吸窘迫綜合徵。
預防措施
注意免疫抑制者與患者的隔離,防止交叉感染。對高危人群應密切注意觀察。對有發生卡氏孢子蟲危險的病人,套用藥物預防,可有效地防止潛在感染轉變為臨床疾病和治療後復發。一般用TMP 5mg/kg,SMZ 25mg/kg,每天或每周3次口服。噴他脒霧化吸入可作為二線預防用藥。
預後
預後不良。國外報告病死率10%~50%,平均40%左右。但最近認為經地及時積極治療者,治癒率可高達70%。
急救措施
本病死亡率高,但早期治療反應較好,多數可以得到恢復,故關鍵在於早期診斷和治療。
一般治療 患者應臥床休息,增加營養,糾正水電解質紊亂。糾正缺氧,經鼻或面罩給氧,FiO2
