概述
症狀 膿痰
概述 隨著咳嗽加重,痰液會逐漸變濃,成為黏膿性痰,外觀多呈淡黃色塊狀。
部位 耳/鼻/喉
人群 新生兒 兒童 孕婦 女性
病因
病因尚未完全清楚,一般將病因分為外因和內因兩個方面。
(1)外因
①吸菸:國內外研究均證明吸菸與慢性支氣管炎的發生有密切關係。吸菸時間愈長,煙量愈大,患病率也愈高。戒菸後可使症狀減輕或消失,病情緩解,甚至痊癒。
②感染因素:感染是慢性支氣管炎發生髮展的重要因素,主要為病毒和細菌感染,鼻病毒、粘液病 毒、腺病毒和呼吸道合胞病毒為多見。在病毒或病毒與支原體混合感染損傷氣道黏膜的基礎上可繼發細菌感染。從痰培養結果發現,以流感嗜血桿菌、肺炎球菌、甲 型鏈球菌及奈瑟球菌四種為最多見。感染雖與慢性支氣管炎的發病有密切關係,但目前尚無足夠證據說明為其首發病因。只認為是慢性支氣管炎的繼發感染和加劇病 變發展的重要因素。
③理化因素:如刺激性煙霧、粉塵、大氣污染(如二氧化硫、二氧化氮、氯氣、臭氧等)的慢性刺激,常為慢性支氣管炎的誘發因素之一。接觸工業刺激性粉塵和有害氣體的工人,慢性支氣管炎患病率遠較不接觸者為高,故大氣污染也是本病重要誘發病因。
④氣候:寒冷常為慢性支氣管炎發作的重要原因和誘因,慢性支氣管炎發病及急性加重常見於冬天寒 冷季節,尤其是在氣候突然變化時。寒冷空氣刺激呼吸道,除減弱上呼吸道黏膜的防禦功能外,還能通過反射引起支氣管平滑肌收縮、黏膜血液循環障礙和分泌物排 出困難等,有利於繼發感染。
⑤過敏因素:據調查,喘息性支氣管炎往往有過敏史。在患者痰液中嗜酸粒細胞數量與組胺含量都有增高傾向,說明部分患者與過敏因素有關。塵埃、塵蟎、細菌、真菌、寄生蟲、花粉以及化學氣體等,都可以成為過敏因素而致病。
(2)內因
膿痰①呼吸道局部防禦及免疫功能減低:正常人呼吸道具有完善的防禦功能,對吸入空氣具有過濾、加溫 和濕潤的作用;氣管、支氣管黏膜的粘液纖毛運動,以及咳嗽反射等,能淨化或排除異物和過多的分泌物;細支氣管和肺泡中還分泌免疫球蛋白(IgA),有抗病 毒和細菌作用 ,因此,在正常情況下,下呼吸道始終保持無菌狀態。全身或呼吸道局部的防禦及免疫功能減弱,可為慢性支氣管炎發病提供內在的條件。老年人常因呼吸道的免疫 功能減退,免疫球蛋白的減少,呼吸道防禦功能退化,單核——吞噬細胞系統功能衰退等,致患病率較高。
②植物神經功能失調:當呼吸道副交感神經反應增高時,對正常人不起作用的微弱刺激,可引起支氣管收縮痙攣,分泌物增多,而產生咳嗽、咳痰、氣喘等症狀。
綜合上述因素,當機體抵抗力減弱時,氣道在不同程度敏感性(易感性)的基礎上,有一種或多種外因的存在,長期反覆作用,可發展成為慢性支氣管炎。如長期吸菸損害呼吸道黏膜,加上微生物的反覆感染,可發生慢性支氣管炎,甚至發展成慢性阻塞性肺氣腫或慢性肺心病。
檢查診斷
一、病史
了解觀察痰的量、色、氣味、性狀常可提示診斷
1、性狀
(1)黏液性痰 痰質黏稠,無色透明或稍白,多見於支氣管炎、支氣管哮喘、肺炎球菌肺炎的初期。
(2)黏液膿性痰,痰液性狀介於黏液性痰和膿性痰之間,痰內除黏液外有一部分膿,帶黃白色,富黏性;常見於支氣管炎,肺結核,肺內炎症等。這是由於肺組織在炎症過程中形成膿液,同時又有大量黏液分泌物相混而成。
(3)膿性痰 痰呈膿性,為黃色或綠色,質黏稠,有的帶有臭味,常見於化膿性支氣管炎,支氣管擴張,肺膿腫,膿胸或肝,脊椎,縱隔膿腫潰穿肺部造成的支氣管瘺等,帶臭味的膿性痰,常提示厭氧菌感染。
2、痰量
痰量多的疾病有肺水腫,肺膿腫,支氣管擴張,肺泡細胞癌,膿胸或肚膿腫形成支氣管瘺等。檢查痰量一般以24h為準,痰量增多反映支氣管和肺的炎症進展;痰不能順利排出,臨床上雖表現為痰量減少,實際上病情仍在發展,中毒症狀也會加重。
3、氣味
一般的痰無臭味,放置時間長時由於痰內細菌的分解作用產生臭味,厭氧菌感染時,痰有惡臭,見於肺於疽、肺膿腫、支氣管擴張,支氣管肺癌的晚期。
4、顏色
黃色或綠色黏痰提示呼吸道存在化膿性感染,綠色痰常因含膽汁,變性血紅蛋白或綠膿素所致,見於黃疸,吸收緩慢的肺炎球菌肺炎,肺部綠膿桿菌感染,血性痰見於肺癌,肺結核,支氣管擴張,鐵鏽色痰,見於肺炎球菌肺炎。粉紅色或血性泡沫痰見急性肺水腫。紅褐色或朱古力色痰,見於阿米巴肝膿腫潰穿入肺內引起的肺阿米巴病。
二、體格檢查
慢性肺結核、肺不張時氣管可移向患側,鎖骨上淋巴結腫大京都原發性支乞管癌;肺尖部叩診濁音要注意肺結核,下胸部叩診濁音多考慮肺部炎症或胸腔積液。肺部任何部位的局限性囉音提示肺部炎症或空洞;局限性肺上部細濕囉音提示肺結核;局限性下野持續存在的中等濕囉音考慮支氣管擴張雙側散在哮鳴音提示支氣管哮喘cc側散在乾濕囉音提示慢性支氣管炎。
三、實驗室檢查
1、顯微鏡檢查
先用肉眼觀察,選擇可疑的部分,如膿性乾酪樣或顆粒狀痰塊,進行塗片鏡檢陽性率高。
(1)狀上皮細胞,痰中可見圓形、柱狀或鱗狀上皮細胞,一般無特殊意義,慢性支氣管炎痰內可見大量變形和壞死的柱狀上皮細胞及杯狀細胞。
(2)白細胞 痰內含若干白細胞一般無特殊意義,或表示有輕度炎症,出現大量膿細胞時表示呼吸系化膿性炎症。
(3)嗜酸性粒細胞 痰中發現大量嗜酸性粒細胞,金剛了於支氣管哮喘,寄生蟲病等。
(4)紅細胞 提示呼吸道出血,見於肺結核。支氣管擴張等。
(5)色素細胞 巨噬細胞噬了色素顆粒後稱為色素細胞,吞噬含鐵血黃素者,見於特發性肺含鐵血黃素沉著症、心功能不會肺淤血者,吞噬炭末顆粒的細胞,見於各種塵肺或吸入較多煙塵者。
(6)癌細胞 肺癌病人痰中查到癌細胞有診斷意義。
(7)細菌 革蘭染色可辨別球菌、桿菌、抗酸染色可找到抗酸桿菌。
(8)寄生蟲 衛氏肺吸蟲患者的痰中可找到肺吸蟲卵,肺包蟲裹穿破的患者的痰中可查到包裹蟲的棘球蚴的頭和小鉤,阿亦巴肺膿腫的痰中可找到阿米巴滋養體。
(9)放線菌叢 肺放線菌患者的痰中,可有芝麻大小的黃色顆粒狀物,即為硫磺顆粒,將硫磺小顆粒壓碎後鏡檢時,中心部分可見放線狀排列的真菌菌絲,其末端腫大呈棍棒狀。
(10)尖棱晶體,為無色透明兩端尖的八面形晶體,大小不一,來自嗜酸性粒細胞,可見了於支氣管哮端及肺吸蟲病。
2、細菌培養
鑑別病原菌,同時做藥敏試驗,以指導臨床對抗生素的合理選擇。
四、器械檢查
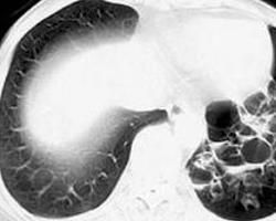
1、X檢查是心肺疾病的重要診斷手段。肺部大片炎性陰影多為肺部炎症;若胸痛、急促、休克等症狀明顯,陰影呈扇形,基底部朝向胸膜時,應除外肺梗死。肺上部浸潤性陰影首先考慮浸潤型肺結核。肺上團塊影及肺部陰腫、肺癌、肺結核。肺部瀰漫性陰影應考慮粟粒型肺結核,肺泡細胞癌、含鐵血黃素沉著症、矽肺,肺轉移癌等。對疑有支氣管擴張者,可做支氣管碘油造影以確定診斷及治療方案。
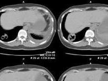
2、CT能分辨出普通X線中不能顯示的肺部結構,且經CT引導下進行經皮肺活檢定位準確安全度大。
3、纖維支氣管鏡檢查對懷疑肺癌者應做纖維支氣鏡檢查,以觀察病變,肺部感染者在纖維支氣管下用雙套管吸取或刷取肺深部細支氣管的分泌物,做病原菌培養,避免口腔污染,陽性率高,必要時可行支氣管肺泡灌洗,以了 肺部疾病的病因,明確診斷。
預防
(1)戒菸:慢性支氣管炎患者不但要首先戒菸,而且還要避免被動吸菸,因為煙中的化學物質如焦油、尼古丁、氰氫酸等,可作用於植物神經,引起支氣管的痙 攣,從而增加呼吸道阻力;另外 ,還可損傷支氣管黏膜上皮細胞及其纖毛,使支氣管黏膜分泌物增多,降低肺的淨化功能,易引起病原菌在肺及支氣管內的繁殖,致慢性支氣管炎的發生。
(2)注意保暖 在氣候變冷的季節,患者要注意保暖,避免受涼,因為寒冷一方面可降低支氣管的防禦功能,另一方面可反射地引起支氣管平滑肌收縮、黏膜血液循環障礙和分泌物排出受阻,可發生繼發性感染。
(3)加強鍛鍊:慢性支氣管炎患者在緩解期要作適當的體育鍛鍊,以提高機體的免疫能力和心、肺的貯備能力。
(4)預防感冒:注意個人保護,預防感冒發生,有條件者可做耐寒鍛鍊以預防感冒。
(5)做好環境保護:避免煙霧、粉塵和刺激性氣體對呼吸道的影響,以免誘發慢性支氣管炎。

