概述
肺囊腫(pulmonaryccyst)是胚胎髮育障礙引起的先天性疾病,可分為支氣管源性囊腫和肺實質囊腫。好發於幼年或青年。可單發或多發,一般囊壁菲薄,與支氣管相通可形成液氣囊腫或含氣囊腫,囊腫破裂可形成氣胸。病理
肺囊腫由於肺芽發育障礙的發生時間和部位不同,囊腫可以是單發或多發,如果肺芽索條狀組織在尚未分支之前發育障礙則形成單發的、孤立的肺囊腫,如果肺芽發育障礙發生在支以後,則形成多發肺囊腫,如果一葉或多葉肺組織被蜂窩狀的肺囊腫所占據,則稱為囊肺。發生在氣管或主支氣管分支階段的發育障礙形成的囊腫,大多數位於縱隔內,稱為支氣管囊腫。最常見位於氣管分叉或主支管附近,囊腫很少與氣管直接相通,多半是緊鄰氣管或二者之間有一軟骨瘺道。發生在小支氣管分支階段的發育障礙形成的囊腫,多數位於肺組織內,稱為肺囊腫。
先天性肺囊腫的囊壁厚薄不一,內層由狀或假復層纖毛上皮細胞組成,如果發生感染則可為扁平上皮所覆蓋,部分為炎症肉芽組織;外層為結締組織,有彈力纖維、平滑肌纖維、粘液腺、軟骨等組織。部分肺囊腫找不到粘液腺及軟骨,但有明確的柱狀及假復層纖毛上皮細胞等組織結構,這是因為囊腫發生在肺泡的末梢支氣管的緣故,故仍應診為先天性支氣管肺囊腫。由於肺囊腫沒有吸功能,囊壁組織內無炭末色素沉著,易與天囊腫鑑別。先天性肺囊腫發生感染後,皮層破壞,則易與後天性肺囊腫混淆。支管囊腫的囊壁同樣是由假復層纖毛上皮、骨、平滑肌、纖維組織和粘液腺組成。個別支氣管囊腫可發生惡變或發生支氣管腺。有些囊腫特別是那些與食管緊密相連的腫,含有纖毛上皮、鱗狀上皮或胃黏膜,偶上述四種上皮同在一個囊腫內的。
囊腫形成後充滿粘液,稱為含液囊腫,含囊腫中的液體可以是澄清液或血液或凝固血塊。若囊腫和支氣管相通,但通道較細,部分粘液排出,同時氣體進人囊內,可成為含囊腫或液氣囊腫。若通道暢通,囊腫內的液全部排出,囊內完全被氣體充盈,稱為氣腫。如果通道由於感染而形成活瓣,則形成張力性囊腫,是常見的併發症之一,常常壓迫正常肺組織,引起較嚴重的臨床症狀,臨床需要與氣胸相鑑別。
臨床表現
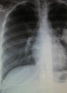
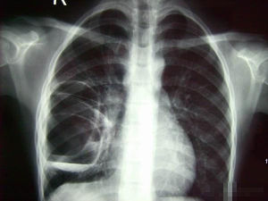
先天性支氣管源性囊腫常見於兒童病例,囊腫位於肺間質或縱隔內。約70%位於肺內,30%位於縱隔。由於囊腫可為單個或多個,含氣體或液體量不同,因而在X線胸片上可呈現不同表現:1.單個液、氣囊腫最為常見,囊腫大小不一,可見圓形薄壁囊腫,內有液面。此種囊腫的特點是囊壁菲薄,鄰近肺組織無炎性浸潤病變,纖維性變不多,需與肺膿腫,肺結核空洞和肺包蟲囊腫鑑別。在X線上表現肺膿腫壁較厚,周圍炎症表現明顯,肺結核空洞則有較長病史,周圍有結核衛星灶。肺包蟲囊腫有流行病學的地區特點、生活史和職業史、血像、皮內試驗等有助於鑑別。2.單個氣囊腫胸片上示病側肺部含氣囊腫,巨大的氣囊腫可占據一側胸腔,壓迫肺,氣管,縱隔,心臟,需與氣胸鑑別。氣胸的特點是肺萎縮推向肺門,而氣囊腫的空氣位於肺內,往往仔細觀察在肺尖和肋隔角處可見到肺組織。3.多個氣囊腫臨床也較多見,胸片上呈現多個大小不一、邊緣不齊的氣囊腫,需與多個肺大皰鑑別。尤其在小兒,肺大皰常伴有肺炎,在X線上以透亮圓形薄壁大皰及其大小、數目、形態的易變性為特徵。每在短期隨訪中就見較多變化,有時可迅速增大,或破裂後形成氣胸。肺部炎症一旦消退,大皰有時可自行縮小或消失。4.多發性液、氣囊腫胸片上可見多個大小不一的液、氣腔。尤其病變位於左側者,需與先天性膈疝鑑別,後者也可呈現為多個液平,必要時口服碘油或稀鋇檢查,若在胸腔內見到造影劑進入胃腸道,則為隔疝。一般診斷明確,在無急性炎症情況下,均應早期手術。因為囊腫容易繼發感染,藥物治療非但不能根治,相反,由於多次感染後囊壁周圍炎症反應,引起胸膜廣泛粘連,致手術較為困難,易發生併發症。年齡幼小,並非手術的絕對禁忌證。尤其在出現缺氧、紫紺、呼吸窘迫者,更應及早手術,甚至急診手術才能挽救生命。手術方式應根據病變部位、大小、感染情況而定:孤立於胸膜下未感染的囊腫,可作單純囊腫摘除術;局限於肺緣部分的囊腫,可作肺楔形切除術;囊腫感染而致周圍粘連或鄰近支氣管擴張則作肺葉或全肺切除術。雙側性病變,在有手術適應證的前提下,可先作病變嚴重的一側。小兒以儘量保留正常肺組織為原則。臨床擬診本病時,應儘量避免作胸腔穿刺,以免引起胸腔感染或發生張力性氣胸。僅在個別病例,表現嚴重呼吸窘迫征、紫紺、缺氧嚴重,又無條件作急診手術時,才可作囊腫穿刺引流,達到暫時性減壓,解除呼吸窘迫症狀,作為術前一種臨時性緊急措施。一般切除病變囊腫或肺葉,預後良好。成人患者若術前痰量很多,手術時需作雙腔氣管插管麻醉,避免痰液倒流至對側。小兒可採用患側低位的低俯臥位開胸,進胸後先行結紮病肺支氣管。不同年齡症狀
(一)嬰幼兒期張力性支氣管源性囊腫、肺大葉氣腫和肺大皰較多見。臨床上常呈現胸內張力性高壓症狀,表現為呼吸急促、紫紺或出現呼吸窘迫等症狀。體檢見氣管移向對側,患側叩診鼓音,呼吸音降低或消失。胸片顯示患側肺囊性病變引致肺不張,縱隔、氣管移位,並可呈現縱隔疝和同側肺不張,病情危急,不及時診斷和治療,可因呼吸衰竭死亡。(二)兒童期較多見的為支氣管源性囊腫。臨床表現為反覆肺部感染。患者常因發熱、咳嗽、胸痛就診。症狀類似支氣管肺炎。
(三)成人期多見於後天繼發性肺大皰和支氣管源性囊腫。臨床表現均因繼發感染出現症狀,如發熱、咳嗽、膿痰、咯血、胸悶、哮喘樣發作、勞累性氣促和反覆出現氣胸等症狀。需與肺膿腫、膿胸、支氣管擴張、肺結核空洞和肺部腫瘤等鑑別。
肺囊腫危害
小的支氣管囊腫在臨床上不呈現症狀,僅在X線胸部檢查或屍檢時才被發現。一旦囊性病變與小支氣管溝通,引起繼發感染或產生張力性氣囊腫、液囊腫、液氣囊腫或張力性氣胸等壓迫肺組織、心臟、縱隔和氣管移位時,就可出現症狀。1、肺囊腫本身無氣體交換功能,巨大囊腫可壓迫肺組織,造成肺部氣體交換障礙,嚴重者甚至可造成肺動脈壓力增高,加重心臟負擔。
2、長期反覆感染易導致周圍組織粘連,影響肺功能,增加手術難度,影響術後恢復。
3、肺囊腫囊壁破壞引起的出血。穿孔,造成氣胸。血胸。
4、有文獻報導肺囊腫有可能惡變。
表現
根據肺囊腫的大小、數目、對毗鄰器官的響程度,有無破裂感染等併發症的存在,而有不同的表現。較小無感染的肺囊腫,常常沒有症狀,多在X線檢查時偶然發現。較大的肺囊腫可以壓迫周圍組織,引起胸痛、咳嗽、呼吸困難。查體局部呼吸音減低,偶爾可以聽到哮鳴音以及濕噦音。肺囊腫繼發感染,則有高、咳嗽、咳膿痰,甚至咯血等類似於肺膿腫的症狀,咳痰與體位有關,多囊肺時常合併感染,痰量較多,查體患側可聽到濕噦音,叩診呈音。巨大肺囊腫以及張力性肺囊腫可占據部分胸腔,甚至整側胸腔,患者有呼吸困難,甚至發紺。如果肺囊腫破裂,可形成氣以及張力性氣胸,甚至膿氣胸。氣管囊腫一般沒有症狀,常在健康體時發現,大的支氣管囊腫可以壓迫支氣管,引起氣短、喘鳴、哮鳴音等,甚至發紺。
治療:肺囊腫容易並發感染、出血、張力性氣胸、胸膜炎等,也有個別惡變的,因此明確診斷後應積極手術治療,已有感染的應在控制感染中毒症狀後手術。早期手術切除了感染灶,可避免反覆感染的發生及其所致的肺纖維化。
較小的、靠近肺邊緣的肺囊腫可以採用囊腫摘除術或楔形切除術,也可以作肺段切除,囊腫較大或是多發囊腫,需行肺葉甚至全切除術。雙側瀰漫性多發肺囊腫,呼吸功嚴重受損者,是雙側肺移植的適應證。
合併感染的肺囊腫,或雙側多發一時尚不能手術的肺囊腫,可採用積極的內科治療,據痰培養結果,選用有效抗生素,並利用體排痰,控制感染。
支氣管囊腫應積極手術治療,如有繼發感染更應儘早手術,手術當中要注意避免損傷氣管或支氣管,粘連緊時還要注意不要損傷食管。

