概況
胸片χ射線穿過胸部,投影在膠片上,形成胸片。χ射線對身體有害—可能致癌等等,對胎兒可能致畸形。故應該減少接觸。可以用幾毫米鉛板禁止,最好是遠距離躲開—幾十米之外。
相對於胸透,胸片影像清晰,對比度較好,適於細微病變和厚密部位的觀察,能留有永久性記錄,供複查時對比、會診討論之用。這也就是醫生在病人胸透檢查時發現有病灶後建議病人去拍胸片的原因。胸片的缺點是不能觀察活動器官的運動情況,費用較高,出結果時間較長。
胸片作用
胸片經常用於檢查胸廓(包括肋骨,胸椎,軟組織等),胸腔,肺組織,縱隔,心臟等等的疾病。如肺炎,腫瘤,骨折,氣胸,肺心病,心臟病。
檢查內容
一般胸片檢查可拍頭顱片、胸片、腹部平片、四肢的骨和關節片。
1.胸片能夠觀察肺部、胸膜、縱隔及心臟、大血管病變、四肢骨骼骨折和關節脫位。
2.可用於四肢軟組織、食管及胃腸道的不透光異物的診斷。
3.腹部平片可以瞭解胃腸道穿孔後有無氣腹存在,有無腸梗阻。
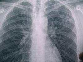
雙肺肺炎
胸片右圖可見雙肺斑片狀陰影
陰影模糊不清
雙肺呈毛玻璃狀
檢查腫瘤
胸片右圖示右側下肺肺癌可見右下肺團塊狀陰影,
團塊之間有空洞。
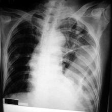
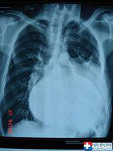
檢查骨折
胸片右圖示右側多發肋骨骨折及氣胸可見多出肋骨的骨質連續性中斷。
右肺不見肺紋理。
檢查氣胸
見上圖,右肺無肺紋理,
右肺被氣胸擠壓
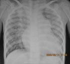
檢查肺心病
胸片右圖示慢性氣管炎,肺氣腫,肺心病。雙側肺過度充氣,
肋間隙增大,
雙肺紋理粗大,
心臟呈垂滴形。
肺動脈段突出。
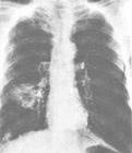
檢查心臟
檢查心臟:
胸片右圖示心臟擴大
心形呈球形
胸片作用
X線胸片,通俗地被稱為“拍片”,也列為常規體檢的檢查項目之一。X線攝影的快捷、簡便、經濟的優勢日漸突出,成為胸部檢查的優先選擇。
X線胸片的特點X線胸片能清晰地記錄肺部的大體病變,如肺部炎症、腫塊、結核等。X線攝片利用人體組織的不同密度可觀察到厚度和密度差別較小部位的病變。相比胸部透視,X線胸片顯像更清楚,能發現細微的病變;影像資料的客觀記錄有利於疾病診治的複查對比;患者接受透視的射線劑量也相對更大。
檢查雖優,不宜過頻輻射對人體有害已是不爭的事實,而X射線對人類健康則是一把雙刃劍。據國際放射防護委員會制定的標準,輻射總危險度為0.0165/西弗特,而X光胸片拍攝不到半秒鐘時間,曝光率約為0.045毫西弗特/秒(1西弗特=1000毫西弗特),對人群的健康危險非常有限。但是,人體中的性腺、眼晶體、乳腺和甲狀腺對射線特別敏感,過於頻繁的檢查並沒有好處。
注意事項①特殊人群包括嬰幼兒、孕婦(尤其懷孕初期三個月內),應謹慎X線檢查,做好必要的防護。②除檢查者外,其他人員不宜在檢查室內久留。③檢查者胸口口袋內勿放硬幣、手機;頸部除去項鍊、吉祥物等飾品;女性患者請脫去帶金屬託的胸罩及有子母扣的衣裙。④複診時帶好最近的影像資料,便於醫生結合病情診治。

