基本介紹
讀胸片1.如何數肋骨?數肋骨是看片的基礎,以肋骨作為標誌,正常胸片肋骨從後上向前下數,第一肋與鎖骨圍成一個類圓形的透亮區,這一部分也是肺尖所在的區域,兩側對比有利於發現肺尖的病灶。
2. 如何判斷肺紋理是否正常?一側肺野從肺門到肺的外周分為三等份分別稱為肺的內、中、外帶,正常情況下肺內中帶有肺紋理,外帶無,如果外帶出現了肺紋理則有肺紋理的增多,反之內中帶透亮度增加則肺紋理減少。對肺內中外帶的區分還有一個意義,那就是對肺氣腫時肺壓縮的判斷,一般來說肺內中外帶占肺的量分別為60%、30%、10%。
3.縱膈與肺門:肺門前方平第二到四肋間隙,後平對四到六胸椎棘突高度,在後正中線與肩胛骨內側緣連線中點的垂直線上。這有什麼意義呢?舉個例子:在纖維空洞性肺結核時,有“肺門上吊”,如果知道了正常肺門的位置就很容易判斷是否是肺門上吊。關於縱隔主要是判斷是否有移位。
4.心臟:心臟後對五到八胸椎,前對二到六肋骨。主動脈結就是主動脈弓由右轉向左出突出於胸骨左緣的地方,它平對左胸第二肋軟骨。肺動脈段位於主動脈結下方,對判斷肺動脈高壓很有意義。
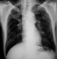
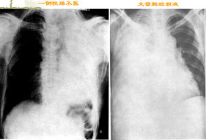
5.膈肌和肋膈角:一般右肋膈頂在第五肋前端至第六肋前間水平,由於右側有肝臟的存在,右膈頂通常要比左側高一到兩厘米。意義:胸腔或腹腔壓力的改變可以改變膈肌的位置如氣胸時膈位置可以壓低;膈神經麻痹出現矛盾呼吸。正常的肋膈角是銳利的,如果肋膈角變鈍則有胸腔有積液或積血存在,如何來大體判斷積液的量呢?一般說肋膈角變鈍:積液300ml;肋膈角閉鎖: 500ml。
6.乳頭位置也是我們經常碰到的一個問題,男性乳頭一般位於第五肋前間,女性乳頭位置可較低,兩側不對稱的乳頭陰影易誤診為節結病灶。
7.如何判斷病灶是來自肺內還是來自胸膜腔?一般來說如果病灶大部分在肺內則病灶來自肺內;可以結合側位片來判斷,同時CT可以精確鑑別。
8.什麼叫心尖上翹?什麼叫心尖下移?有什麼意義?心影的最外緣在膈平面以上稱心尖上翹,代表右心室肥厚;反之心影的最外緣在膈平面以下稱心尖下移,代表左心室肥厚。
關於側位片一點竅門:心前三角變小則右心室大;心後三角大則左心室大。
雖然與考試關係不是很緊密,但最基礎的,以後總要面對,好東西大家一起來分享...
細節問題
如何數肋骨?
數肋骨是看片的基礎,我以下要說的很多東西都是以肋骨作為標誌的。正常胸片肋骨從後上向前下數,第一肋與鎖骨圍成一個類圓形的透亮區,這一部分也是肺尖所在的區域,兩側對比有利於發現肺尖的病灶。如何判斷肺紋理是否正常?
我們知道一側肺野從肺門到肺的外周分為三等份分別稱為肺的內、中、外帶,正常情況下肺內中帶有肺紋理,外帶無,如果外帶出現了肺紋理則有肺紋理的增多,反之內中帶透亮度增加則肺紋理減少。對肺內中外帶的區分還有一個意義,那就是對肺氣腫時肺壓縮的判斷,一般來說肺內中外帶占肺的量分別為60%、30%、10%。縱膈與肺門
肺門前方平第二到四肋間隙,後平對四到六胸椎棘突高度,在後正中線與肩胛骨內側緣連線中點的垂直線上。這有什麼意義呢?舉個例子:在纖維空洞性肺結核時,有“肺門上吊”,如果你知道了正常肺門的位置就很容易判斷是否是肺門上吊。關於縱隔主要是判斷是否有移位。心臟
心臟後對五到八胸椎,前對二到六肋骨。(補心胸比。)我們在讀片的時候經常聽到有一個概念叫“主動脈結”,它是什麼意思呢?在哪裡呢?主動脈結就是主動脈弓由右轉向左出突出於胸骨左緣的地方,它平對左胸第二肋軟骨。這裡我還想說一點,那就是肺動脈段的位置,肺動脈段位於主動脈結下方,對判斷肺動脈高壓很有意義。膈肌和肋膈角
一般右肋膈頂在第五肋前端至第六肋前間水平,由於右側有肝臟的存在,右膈頂通常要比左側高一到兩厘米。意義:胸腔或腹腔壓力的改變可以改變膈肌的位置如氣胸時膈位置可以壓低;膈神經麻痹出現矛盾呼吸。正常的肋膈角是銳利的,如果肋膈角變鈍則有胸腔有積液或積血存在,那我們如何來大體判斷積液的量呢?一般說肋膈角變鈍:積液300ml;肋膈角閉鎖:500ml。乳頭
乳頭位置也是我們經常碰到的一個問題,男性乳頭一般位於第五肋前間,女性乳頭位置可較低,兩側不對稱的乳頭陰影易誤診為節結病灶。如何判斷病灶是來自肺內還是來自胸膜腔?
一般來說如果病灶大部分在肺內則病灶來自肺內;可以結合側位片來判斷,同時CT可以精確鑑別。什麼叫心尖上翹?什麼叫心尖下移?有什麼意義?
心影的最外緣在膈平面以上稱心尖上翹,代表右心室肥厚;反之心影的最外緣在膈平面以下稱心尖下移,代表左心室肥厚。
關於側位片,一點竅門教給大家:心前三角變小則右心室大;心後三角大則左心室大

