基本內容
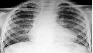
主動脈結就是主動脈弓由右轉向左處突出於胸骨左緣的地方,它平對左胸第二肋軟骨。肺動脈段位於主動脈結下方,對判斷主動脈粥樣硬化很有意義。
主動脈結先心病時,主動脈結常縮小。

主動脈結就是主動脈弓由轉向左處突出於胸骨左緣的地方。主動脈結就是主動脈弓由右轉向左處突出於胸骨左緣的地方,它平對左胸第二肋軟骨。肺動脈段位於主動脈結下方,對判斷主動脈粥樣硬化很有意義。先心病時,主動脈結常縮小。
主動脈結就是主動脈弓由右轉向左處突出於胸骨左緣的地方,它平對左胸第二肋軟骨。肺動脈段位於主動脈結下方,對判斷主動脈粥樣硬化很有意義。
主動脈結先心病時,主動脈結常縮小。
主動脈縮窄在各類先天性心臟病中約占5~8%。1760年Morgagni在進行屍體解剖時發現此病。它的主要病變是主動脈局限性短段管腔狹窄或閉塞引致主動脈血...
病因 症狀 檢查 治療 鑑別主動脈瓣是半月瓣,形態學上類似於肺動脈瓣。因為處於中心位置,主動脈瓣與各個心腔和瓣膜關係密切。對這些關係的全面知識是認識主動脈瓣病理學和很多先天性心臟畸...
簡介 主動脈瓣結構 主動脈瓣置換術 主動脈瓣置換術 [術中注意事項]胸腹主動脈動脈瘤(thoracoabdominal aortic aneurysmTAA)是指同時累及胸腔段和腹腔段的主動脈,以及侵犯到腎動脈以上的腹主...
流行病學 病因 發病機制 臨床表現 診斷豬主動脈瓣,是異種生物瓣膜,用於心臟瓣膜置換手術。
概述 分類及套用 優點 主要品牌 手術方法急性主動脈瓣封閉不全時,由於忽然的左心室容量負荷加大,室壁張力增加,左心室擴張,可很快發生急性左心衰竭或出現肺水腫。 左心室明顯增大,升主動脈和主動脈結...
臨床表現 病 因 學 發病機理 病理改變 輔助檢查二尖瓣和主動脈瓣的疾患所屬疾病之一,是指同時侵犯兩個或兩個以上瓣膜時,稱為多瓣膜病,尤其在風濕性心臟病相當多見,不同組合的多瓣膜病可產生不同的血流動力學...
概述 病因 症狀 飲食保健 預防《結直腸疾病的外科治療》是2004年2004-6-1出版社出版的圖書,作者是韓少良,朱冠保。
內容簡介 目錄腹主動脈是人體的大動脈,直接延續於發自左心室的主動脈、胸主動脈,沿脊柱左側下行,主要負責腹腔臟器和腹壁的血液供應。
簡介 直接發出的動脈 下腔靜脈系的靜脈