基本資料
疾病名稱:原發氣管支氣管腫瘤
疾病代碼:ICD:D38.0
疾病分類:胸外科
症狀體徵
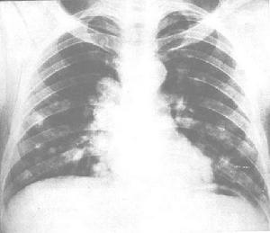
原發氣管支氣管腫瘤X射線圖1.各種氣管良性腫瘤的特點
(1)乳頭狀瘤:乳頭狀瘤常見於喉部,起源於支氣管樹的乳頭狀瘤罕見。本病多見於兒童,成人少見,在兒童常為多發性,成人則為孤立性,可惡性變。病因可能與病毒感染引起的炎症反應有關。乳頭狀瘤原發於氣管、支氣管黏膜,呈不規則的乳頭絨毛樣突起,以血管性結締組織為核心,被覆數層分化成熟的上皮細胞,放射狀排列,表層為鱗狀上皮細胞,司有角化。氣管體層相、CT 對診斷有助,纖維支氣管鏡是明確診斷的可靠方法,在支氣管鏡下觀察,乳頭狀瘤呈菜花樣、淡紅色、質脆易出血,基底部寬或有細蒂。活檢時應做好準備,以免出血或瘤體脫落引起窒息。
氣管的乳頭狀瘤呈簇狀生長,通過較細的蒂附著於氣管支氣管膜部,乳頭狀瘤質脆,易脫落,乳頭狀瘤有多發和手術後復發的特點,據大組氣管腫瘤外科治療的臨床經驗,無論何種治療方法均不能防止其復發傾向,這給臨床治療帶來了一定困難。體積小的良性乳頭狀瘤可經纖維支氣管鏡摘除,或經纖維支氣管鏡雷射治療,亦可行氣管切開摘除。體積較大、基底較寬和懷疑惡變者,應行氣管袖狀切除或氣管側壁局限性切除。
原發氣管支氣管腫瘤(3)血管瘤:可分為海綿狀血管瘤、血管內皮細胞瘤、血管外皮細胞瘤等,可原發於氣管,或由縱隔的血管瘤伸延入氣管。血管瘤可瀰漫性浸潤氣管黏膜並使氣管管腔狹窄,亦可突入氣管腔內引起梗阻。纖維支氣管鏡下,突入腔內的血管瘤質軟、色紅、息肉樣,一般禁止活檢,以免引起出血,導致窒息。治療可行內鏡切除、雷射治療或外科手術。
(4)神經纖維瘤:氣管內神經纖維瘤是神經鞘的良性腫瘤,常為孤立性,有包膜、質硬,腫瘤可帶蒂突入氣管腔內。纖維支氣管鏡下,可見氣管壁上圓形、質硬、表面光滑的腫物。組織學上,梭形細胞和黏液樣基質交替,神經鞘細胞排列成典型的欄柵狀。氣管內神經纖維瘤可經內鏡摘除或氣管切開摘除。
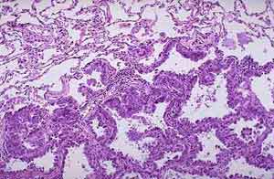
顯微鏡下原發氣管支氣管腫瘤細胞(6)脂肪瘤:氣管內脂肪瘤極罕見,起源於分化成熟的脂肪細胞或原始的間質細胞。纖維支氣管下可見淡紅色或黃色圓形腫物,阻塞管腔,表面光滑,多為廣基,有時有短蒂,被覆支氣管黏膜,質較軟。氣管內脂肪瘤可經支氣管鏡摘除,並用雷射燒灼基底。瘤體較大且穿過軟骨環至氣管外時,應行氣管壁局部切除或氣管袖式切除術。
(7)軟骨瘤:氣管軟骨瘤極少見,文獻僅有少數個案報告。腫瘤圓形、質硬、色白,部分位於氣管壁內,部分突入氣管腔內。體積小的軟骨瘤一般可經纖支鏡切除。氣管軟骨瘤術後可以復發和惡性變。
(8)平滑肌瘤:氣管平滑肌瘤常發生於氣管下1/3,起源於氣管黏膜下層,呈圓形或卵圓形,表面光滑,突入腔內,黏膜蒼白。組織學上,腫瘤由分化良好、排列成交錯狀的梭狀細胞束構成。氣管平滑肌瘤生長緩慢,腫瘤較小時可經纖支鏡摘除,瘤體較大時應行氣管袖式切除術。
(9)錯構瘤:腫瘤呈圓形或卵圓形,包膜完整,一般有細小的蒂與氣管支氣管壁相連,腫瘤表面光滑、堅硬,纖維支氣管鏡活檢鉗不易取得腫瘤組織。治療可採用經支氣管鏡雷射燒灼、汽化腫瘤或用活檢鉗摘除。
2.氣管惡性腫瘤的特點
(1)氣管鱗狀上皮癌:多發生於氣管的下1/3 段,占原發性氣管惡性腫瘤的40%~50%,可表現為定位明確的突起型病變,亦可為潰瘍型,呈浸潤性生長,易侵犯喉返神經和食管,在氣管內散在的多發性鱗狀上皮癌偶可見到,表面潰瘍型鱗狀上皮癌亦可累及氣管全長。大約1/3 的原發性氣管鱗狀上皮癌病人在初診時已有深部縱隔淋巴結和肺轉移,氣管鱗狀上皮癌的播散常先到鄰近的氣管旁淋巴結,或直接侵犯縱隔結構。發生在氣管近端的腫瘤,有時很難辨明病變來自氣管本身、喉的基底部或是喉部腫瘤侵犯氣管。當腫瘤同時累及氣管和食管時,經支氣管鏡活檢的組織很難從病理形態學上鑑別腫瘤來自氣管或食管。氣管鱗癌的預後差。
(2)氣管腺樣上皮癌:約占氣管惡性腫瘤的10%,體積較小,質硬,壞死少,病人在就診時往往已有腫瘤的深部侵襲,預後差。其他少見的氣管癌還有燕麥細胞癌。起源於氣管間質的惡性腫瘤包括平滑肌肉瘤、軟骨肉瘤、脂肪肉瘤等。氣管的癌肉瘤和軟骨肉瘤通過手術切除有治癒的可能。
3.氣管低度惡性腫瘤特點
(1)類癌:起源於氣管支氣管黏膜的Kulchitsky 細胞,細胞內含有神經分泌顆粒,病理上分為典型類癌和非典型類癌。類癌好發於主支氣管及其遠端支氣管。臨床症狀與腫瘤發生的部位有關,發生在主支氣管的類癌可引起反覆肺部感染、咯血絲痰或咯血。少數類癌伴有類癌綜合徵及庫欣綜合徵。纖維支氣管鏡檢查能判斷腫瘤的位置並可直接觀察腫瘤外形,通過活檢獲得病理學診斷,但活檢的陽性率僅50%左右,因為Kulchitsky 細胞分布於支氣管黏膜上皮的基底層,向腔內生長的腫瘤表面常被覆完整的黏膜上皮,所以在活檢時不易取到腫瘤組織。 對於氣管支氣管類癌的外科治療原則是,儘可能切除腫瘤同時又最大限度保留正常組織。位於主支氣管、中間段及葉支氣管的腫瘤,如遠端無明顯不可逆改變的病人應爭取行支氣管成形術,肺門有淋巴結轉移則應同時行肺門淋巴結清掃,如遠端肺組織因反覆感染已有明顯不可逆性改變,則須行肺葉或全肺切除術。類癌對放療有一定敏感性,術後可以輔以放療。氣管支氣管類癌手術治療後預後良好,術後5 年生存率可達90%。非典型類癌的預後相對較差。
(2)腺樣囊性癌:腺樣囊性癌多發於女性。腺樣囊性癌約2/3 發生於氣管下段,靠近隆突和左右主支氣管的起始水平。腫瘤起源於腺管或腺體的黏液分泌細胞,可呈息肉樣生長,但多沿氣管軟骨環間組織呈環周性浸潤生長,阻塞管腔,亦可直接侵犯周圍淋巴結。突入管腔內的腫瘤一般無完整的黏膜覆蓋,但很少形成潰瘍。隆突部的腺樣囊性癌可向兩側主支氣管內生長。
腺樣囊性癌在組織學上分為假腺泡型和髓質型,細胞內外含PAS 染色陽性的黏液是其主要特徵。腺樣囊性癌臨床上有生長緩慢的特性,病人的病程可以很長,即使發生遠處轉移,其臨床行為亦表現為相對良性。較大的氣管腺樣囊性癌往往先引起縱隔移位。氣管的腺樣囊性癌可沿氣管黏膜下層浸潤生長,累及長段氣管,而在大體組織上辨別不出。有些病變惡性度較高,在原發於氣管的腫瘤被發現之前已經有胸膜和肺的轉移。在臨床上見到的氣管腺樣囊性癌病人,幾乎均接受過反覆多次氣管內腫瘤局部切除或氣管節段性切除,這些病人往往都有遠處轉移。治療包括外科手術切除、內鏡下切除或雷射治療、化療可作為輔助治療,腺樣囊性癌對放射治療很不敏感,但可用於病變不能徹底切除、有縱隔淋巴結轉移或有手術禁忌證者。
(3)黏液表皮樣癌:發病率較低,多發生在主支氣管、中間段支氣管和葉支氣管,腫瘤表面一般有黏膜覆蓋。其臨床表現與腫瘤所在部位有密切關係。經支氣管鏡活檢病理檢查可明確診斷。
黏液表皮樣癌在臨床上具有浸潤性,沿淋巴途徑轉移。手術治療包括肺葉切除或全肺切除、肺門及縱隔淋巴結清掃,術後可輔以放射治療。黏液表皮樣癌手術治療後容易復發,預後較腺樣囊性癌和類癌差。
疾病病因
電子支氣管鏡下的原發氣管支氣管腫瘤原發性氣管、支氣管腫瘤起源於黏膜上皮的有鱗狀上皮細胞癌、腺癌、乳頭狀瘤;起源於黏膜腺體或黏膜下腺體的有腺樣囊性癌、黏液表皮樣癌;起源於黏膜上皮嗜銀的Kulchitsky 細胞的有分化不良型癌和類癌;起源於間質組織的有平滑肌瘤、血管瘤、軟骨瘤、神經纖維瘤、錯構瘤、癌肉瘤等。氣管支氣管的原發性腫瘤,無論良性、惡性,多起自氣管支氣管後壁的膜狀部與軟骨環交界處的兩個后角。
病理生理
原發性氣管和支氣管腫瘤雖同屬上呼吸道腫瘤,但因病變位置關係,二者的臨床症狀可完全不同;而氣管或支氣管的良性腫瘤與惡性腫瘤相比較,二者的臨床症狀卻有共同之處。在病變早期,痰中可帶少量血絲,不易引起病人注意,一般臨床檢查也不易發現此類腔內病變,診斷往往被延誤。診斷檢查
原發氣管支氣管腫瘤其他輔助檢查:
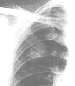
1.X 線檢查 氣管的後前位及側位體層像、氣管分叉體層像對診斷氣管、支氣管腫瘤有重要意義。這些檢查可清晰地顯示氣管腔內腫瘤的輪廓、位置、範圍和病變與鄰近器官的關係。良性腫瘤可有鈣化,基底有細蒂。惡性腫瘤基底寬,邊界、輪廓均不完整。行後前位氣管體層像時,囑病人說“E”,可以很好地顯示後前方向的喉部以及氣管全長的詳情;照側位氣管像時做吞咽動作,能使喉部抬高,從而清晰地顯示喉與氣管的關係;左、右後斜位氣管體層像對顯示器官,尤其是支氣管各主要分支的病變有很大幫助。
2.CT 檢查 對氣管腫瘤的診斷有很大幫助。CT 可顯示氣管腔內的密度增高的軟組織影,多為偏心性,氣管壁增厚,氣管呈不規則狹窄,大約10%的氣管腫瘤沿氣管周圍生長,30%~40%的氣管腫瘤直接累及縱隔。支氣管腫瘤在CT 上可表現為向腔內生長或向腔外浸潤,引起支氣管不全或完全梗阻,出現阻塞性肺炎或肺不張,根據支氣管腫瘤的浸潤程度,Naidich 等將其分為6 種表現:①支氣管壁顯示正常;②支氣管壁均勻狹窄;③支氣管不規則狹窄;④支氣管腔完全阻塞;⑤支氣管腔內腫塊;⑥支氣管受壓移位。
3.MRI 檢查 可以從橫斷面、矢狀斷面和冠狀斷面來重建氣管的影像,因此可給出氣管腫瘤非常精確的位置、範圍和浸潤程度,甚至可以清晰地看到腫瘤累及的軟骨數目。MRI 通過縱向弛豫時間(T1 值)和橫向弛豫時間(T2 值)的不同成像可判斷出,T2 增強的病理性組織影像。對於支氣管腫瘤,MRI 可通過氣管分叉的冠狀面重建比氣管分叉體層X 像更清楚地顯示支氣管腔內被阻塞的情況和程度。
4.支氣管造影檢查 氣管支氣管腫瘤梗阻不嚴重時亦可行支氣管碘油造影,此時可更清晰地顯示管腔受阻的部位和程度。
5.纖維支氣管鏡檢查 可以直接觀察到腔內腫瘤的形態,並可進行活檢,取得病理學證據,但有些腫瘤如腺樣囊性癌,其表面常被覆壞死組織,纖維支氣管鏡活檢鉗常不能取到腫瘤組織;有些腫瘤如類癌,其血運豐富、腫瘤質脆,極易出血,給活檢帶來一定的困難;有些良性腫瘤如軟骨瘤、錯構瘤等,質地較硬,亦難通過活檢取得組織。一般來說,對於氣管腫瘤合併有明顯氣管狹窄的病人,纖維支氣管鏡檢查的時間往往要推遲到手術前,甚至在手術台上行纖維支氣管鏡檢,以防出現緊急情況來不及處理。
鑑別診斷
氣管腫瘤早期出現喘憋極易誤診為支氣管哮喘,因為肺和胸部的X 線檢查難以觀察到氣管腔內的病變,直至病人出現喘鳴、呼吸困難、發紺等症狀才明確診斷。可行CT 或MRI 和氣管鏡檢查。治療方案
氣管腫瘤一旦明確診斷,應首先考慮手術治療。氣管支氣管外科手術的主要目的是徹底切除病變,消除梗阻,解除通氣障礙,重建呼吸道。外科手術應根據瘤體的大小、部位選擇不同的術式進行病變氣管段切除和氣管重建術。1.手術適應證 氣管腫瘤一旦診斷明確,均應首先考慮手術切除,病變切除雖力求徹底,但氣管可切除的長度有限要權衡利弊。病變廣泛者,氣管切除過長,術後會因吻合口張力過大影響癒合,故手術治療只適用於有限的病例。病變較長,外侵明顯的病例,應先行放射治療後再考慮手術;氣管腫瘤並發喉神經經麻痹造成聲音嘶啞或壓迫上腔靜脈造成上腔靜脈阻塞綜合徵時,應為手術禁忌;如有遠處轉移,原則上亦為手術禁忌,但如患者氣管梗阻明顯,嚴重威脅生命,亦可行簡單的手術,解除氣管梗阻,姑息性解決通氣障礙,緩解症狀。
2.手術注意事項
(1)氣管內體積小並帶蒂的良性腫瘤,可切開氣管壁,在腔內將蒂部切斷或連同蒂部黏膜一併切除。應僅做氣管前壁的局部游離,儘量避免游離兩側壁而損傷側壁血管鏈,而影響癒合。
(2)對基底部較寬的良性腫瘤和範圍小局限的低度惡性腫瘤,可連同病變氣管壁一併切除,氣管壁缺損可用心包、胸膜和筋膜等修補,如行局部楔形切除時也可直接縫合。
(3)對環形生長或腫瘤累及範圍大,應行氣管袖式切除術對端吻合術。切除範圍應<6cm 為安全。兩切緣應送病檢,避免瘤體組織殘留影響癒合。
(4)靠近環狀軟骨的腫瘤不能做環形切除,因此外腔較窄容易損傷聲帶;環狀軟骨的后角必須保留,否則可導致喉返神經損傷;環狀軟骨受到侵犯時只能做喉切除術、頸部氣管永久造口術。
(5)氣管隆突部腫瘤應行氣管隆突切除重建術,術中靈活套用多種游離氣管的方法來減輕吻合口的張力。
(6)當原發於左、右支氣管和上肺的惡性腫瘤累及隆突時,應行隆突及相應肺葉和全肺切除術。
