疾病概述
縱隔囊腫檢查症狀體徵
心包囊腫2.食管囊腫 囊壁內襯非角化鱗狀上皮,有雙層平滑肌,可見食管腺體有時可見小範圍的纖毛柱狀上皮,可能與覆蓋纖毛上皮的胎兒食管結構相似,不可誤認為起源於支氣管的結構,壁內無軟骨有助於鑑別。食管囊腫多位於食管旁。多數患者無症狀,少數因壓迫食管而出現吞咽困難。部分患者可因慢性咳嗽而誤診為哮喘或慢性支氣管炎。
縱隔囊腫4.心包囊腫 大多數心包囊腫不引起臨床症狀,僅於常規體檢或因其他原因行胸部X 線檢查時被發生;個別患者因囊腫過大壓迫鄰近結構而產生胸骨後壓迫感、呼吸困難或咳嗽等症狀;極個別報導心包囊腫繼發感染者。
5.胸腺囊腫 患者多為兒童和年輕人,大多無臨床症狀,僅於因其他原因行胸部X 線檢查時被發現。少數囊腫過大者可出現胸部疼痛或脹悶感、咳嗽、呼吸困難、吞咽困難、聲嘶等症狀。
病理生理
縱隔囊腫2.食管囊腫 食管囊腫來源於胚胎期前腸,為食管發育過程中未能形成正常管腔的結果。
3.胃腸囊腫 胃腸囊腫較罕見。關於其起源有數種學說解釋,多認為系因胚胎早期內胚層與脊索未完全分離所致。胃腸囊腫的內襯細胞包括胃黏膜上皮細胞、小腸上皮細胞和纖毛柱狀上皮細胞等,其中胃黏膜上皮細胞可具有分泌功能,導致消化性潰瘍。
4.心包囊腫 心包囊腫大多數為先天性疾病,個別病例可於患急性心包炎多年後發生心包囊腫。心包囊腫一般呈梭形或卵圓形,壁菲薄,內含清亮的或草黃色的液體,囊壁由單層扁平或柱狀細胞覆蓋,細胞形態極似間皮細胞。
5.胸腺囊腫 胸腺囊腫較為罕見,僅占全部縱隔腫物的1%~2%。大多數為來自胸腺咽管上皮的先天性囊腫,可發生於從頸部到前縱隔的胸腺下降線的任何地方;也有個別報導與手術創傷、炎症等有關者。病理學上胸腺囊腫應與胸腺瘤、霍奇金病等形成的假性囊腫相鑑別,假性囊腫壁一般較厚,在其纖維性壁內可找到殘餘的瘤組織。
診斷檢查
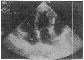
縱隔囊腫超聲檢查實驗室檢查:末梢血象:正常。
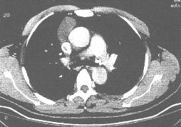
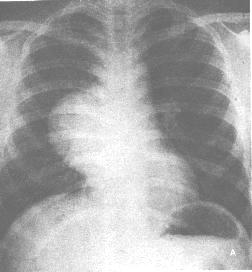
其他輔助檢查:1.氣管支氣管囊腫 胸部X 線檢查常見隆突附近邊界清楚、質地均勻的縱隔內腫物,多為圓形或卵圓形,隨呼吸運動其形狀可發生變化。亦可見於縱隔內其他部位。一般無分葉,無鈣化。隆突下的囊腫可使隆突角度增大。食管旁的囊腫鋇餐檢查可見食管有明顯受壓。與氣道相通而繼發感染者可見囊腫在短期內擴大,可出現氣液平面。胸部CT 掃描可以明確囊腫的位置及其與周圍結構的關係,典型的囊腫呈圓形或卵圓形,CT 值為0~20HU,囊壁十分菲薄;囊腔內液體含蛋白量高時CT 值升高,反覆慢性感染者囊壁可以增厚。
2.食管囊腫 胸部X 線檢查見病變位於後縱隔前部食管旁,圓形或卵圓形,邊界清楚。食管吞鋇檢查可見食管明顯受壓,但黏膜皺襞完整。如囊腫發生潰瘍而與食管相通,囊腫內可見氣體,吞鋇檢查時可見鋇劑進入囊腫內。食管囊腫與位於食管旁的支氣管囊腫其X 線表現完全相同,不易鑑別,往往須待手術後病理學檢查才能確診。
3.胃腸囊腫 胸部X 線檢查見囊腫位於縱隔脊柱旁,圓形或橢圓形,輪廓清楚光滑,密度均勻。食管造影囊腫多通過蒂與脊膜及胃腸道相聯接。若聯接處位於胸內食管則多無交通;相反,若聯接處位於腹腔內胃腸道,則大多數其間有交通,空氣可進入囊腔內,造影檢查時鋇劑亦可進入囊腔內。常可見胸椎、頸椎畸形,如半脊柱畸形、後位脊椎裂、脊柱側彎等。
4.心包囊腫 胸部X 線檢查見心包囊腫通常位於前縱隔心膈角區,但也有位置較高者,少數患者可延伸至上縱隔區,右側明顯較左側多見。囊腫輪廓清楚光滑,密度均勻,一般無鈣化影。有時在側位胸片可見囊腫呈水滴狀上尖下圓的陰影,可能為囊腫嵌入葉間裂所形成,具有一定的特徵性。大多數囊腫直徑為3cm~8cm 之間,但也有小至lcm 和大至28cm 的報導。CT 檢查有助於明確陰影的囊性結構,對位於不典型部位者診斷價值更高。透視下囊腫的形態可隨體位變動和呼吸動作而有變化。
5.胸腺囊腫 胸部X 線檢查無特異性表現,囊腫邊緣光滑,圓形或卵圓形,位於前縱隔。CT 和磁共振檢查有助於明確囊性特徵。
鑑別檢查
縱隔囊腫,需與縱隔腫瘤;如胸主動脈瘤或多動脈瘤、椎旁膿腫、中央型肺癌、縱隔淋巴結核、肺化膿症、心室壁瘤等相鑑別。
治療方案
1.氣管支氣管囊腫 較大的氣管支氣管囊腫一般應行手術切除治療。對於無臨床症狀而手術耐受性較好的患者可行擇期手術;呼吸道壓迫症狀明顯者(多見於小兒患者)有時須行急診手術;囊腫繼發感染者可先予抗生素和局部引流治療,感染控制後再行手術切除。手術治療效果良好,但個別患者術後囊腫可復發。
2.食管囊腫 手術切除是本病的惟一治療方法。
3.胃腸囊腫 外科手術切除是本病惟一的治療方法。為避免發生氣管支氣管瘺、食管瘺、胸椎破壞等併發症,應爭取早期明確診斷、早期手術治療。
4.心包囊腫 一般不需處理,症狀明顯者可手術切除。
5.胸腺囊腫 手術治療既可切除囊腫,也有助於明確組織學診斷。胸腺囊腫切除後不復發,預後好。
併發症
胃腸囊腫等可並發氣管支氣管瘺、食管瘺、胸椎破壞等併發症。
預後及預防
預後:氣管支氣管囊腫手術治療效果良好,但個別患者術後囊腫可復發。胸腺囊腫切除後不復發,預後好。
預防:目前尚無資料。
