藥源性肺病
藥源性肺病(1)肺間質纖維化其臨床表現與特發性肺間質纖維化非常相似。病人的主要症狀是咳嗽和進行性呼吸困難。體格檢查通常可聞及吸氣末囉音,杵狀指有時可以見到。
(2)閉塞性細支氣管炎伴機化性肺炎(BOOP)與感染、結締組織疾病和骨髓、器官移植等引起的BOOP 相似,臨床上有咳嗽、呼吸困難、低熱及血沉增快等。體格檢查通常可聞及吸氣末囉音。
(3)脫屑性間質性肺炎(DIP)和淋巴細胞性間質性肺炎(LIP)的臨床表現與特發性肺間質纖維化相似,診斷主要依靠病理檢查。
(4)過敏性肺炎常亞急性起病(幾天),臨床表現為咳嗽、發燒、呼吸困難,同時還伴有全身乏力、肌肉酸痛和關節疼痛等。約40%的病人可有不同程度的外周血嗜酸性粒細胞增多。
(5)肺浸潤伴嗜酸性粒細胞增多本症臨床特點為亞急性或逐漸起病,有氣短、咳嗽、伴或不伴有發熱及皮疹,周圍血中嗜酸性粒細胞增多,肺泡中嗜酸性粒細胞及巨噬細胞浸潤,其臨床表現類似Loeffler 綜合徵。
2、肺水腫 藥物引起的肺水腫可發生在用藥後數小時,主要臨床表現為呼吸困難和低氧血症。
3、胸膜病變 可引起不同程度的單側或雙側非特異性的胸腔積液,有時可伴有肺實質浸潤,部分患者胸液中可出現抗核抗體陽性和(或)胸液中嗜酸性粒細胞增高,但胸腔積液的量一般為中等以下,通常在停藥1~2 周后,積液可逐漸吸收。抗凝藥物華法林不適當使用可引起血性胸腔積液。另外一些抗腫瘤藥物如博來黴素、BCNU 及放射治療可引起肺間質纖維化,而發生氣胸。
4、肺出血 藥物引起的肺出血常為瀰漫性肺泡出血,此外青黴胺可通過Ⅲ型變態反應引起肺和腎臟的出血,類似於Goodpasture 綜合徵表現。
5、肺血管改變 其臨床表現可有發熱、體重下降、關節疼痛、肌肉疼痛、甚至肺出血、胃腸道出血及腎功能衰竭等。
6、紅斑狼瘡樣改變 有40%~80%的病例有肺部表現,包括胸膜炎、胸腔積液、肺不張和雙肺瀰漫性間質性肺炎。藥物引起的狼瘡綜合徵與系統性狼瘡相似,有多關節疼痛、乏力、發熱、皮膚和肺部病變等,但中樞神經和腎臟受累較為少見。
7、常見的致肺間質纖維化藥物
(1)白消安(馬里蘭)是首選的抗骨髓增生藥物,由於病情的需要,患者往往需要服用很長時間。雖然白消安的中毒劑量尚未確定,但其在體內的蓄積作用早被人們所注意。服用白消安的病人約有6%(2.5%~43%)可以出現不同程度的肺間質纖維化,但大多數患者無臨床症狀。患者起病較為隱匿,通常在治療後幾個月或幾年後發生,平均3.5 年(從8 個月~10 年),但也有個別病例可在用藥後6周發生。主要症狀包括咳嗽、發熱、乏力、體重下降和進行性呼吸困難。
(2)環磷醯胺引起的肺毒性起病通常也較為隱匿。主要症狀有咳嗽、進行性呼吸困難和發熱。從藥物使用到發生肺毒性反應的時間差異很大,可從2 周到13 年,有的病人甚至在停藥幾個月後出現,但大部分病人在用藥後不久發生。環磷醯胺引起的肺毒性無明顯的劑量相關性。其他烷化劑抗腫瘤藥物如美法侖、苯丁酸氮介和異環磷醯胺雖然也有導致肺間質纖維化的報導,但總的發病率相對較少。其臨床表現和病理變化與其他烷化劑抗腫瘤藥物相似。
(3)博來黴素可引起許多改變,不僅包括肺間質纖維化還有過敏性肺炎和閉塞性肺炎伴機化性肺炎(BOOP)等,博來黴素引起的BOOP 與其他類型的BOOP 不同,它往往呈結節樣改變而類似轉移性肺癌。
(4)絲裂黴素導致的肺損傷包括肺纖維化、急性間質性肺炎、支氣管痙攣等,有報導絲裂黴素可引起微血管溶血性貧血綜合徵從而導致急性腎功能衰竭、ARDS和肺泡出血。當絲裂黴素與長春鹼類藥物合用時肺損傷的發病率明顯增加,可由單用絲裂黴素的3%~8%上升至合用的39%左右。絲裂黴素導致的肺損傷通常發生在治療後的2~12 個月,其臨床表現與其他細胞毒性藥物引起的肺損傷相似。
(5)甲氨蝶呤臨床常見症狀有呼吸困難、發熱、咳嗽、全身乏力和肌痛,這些症狀通常在治療後幾周內發生。
(6)阿糖胞苷主要臨床表現是急性肺水腫。Hupt 等報導在一組42 例接受阿糖胞苷治療死亡的屍檢結果顯示,有28 例無其他原因的肺水腫,考慮可能與阿糖胞苷有關。
(7)卡氮介導致的肺損害多在用藥後6 個月~3 年內發生,其臨床症狀與博來黴素和CTX 導致的肺損害相似,但有些病例可在化療結束後數年發生,OODriscoll等對17 例病人進行了長達17 年的隨訪,結果有12 個病人(71%)發生了上肺葉的纖維化。其他亞硝脲類藥物,包括洛莫司汀(CCNU)和甲基CCNU 導致的肺毒性,文獻也有報導。
(8)胺碘酮引起的肺損害的臨床表現多種多樣,從肺浸潤、過敏性肺炎到肺纖維化均可見到,臨床表現可以呈急性或慢性經過。慢性起病較為多見,約占2/3,表現為逐漸發生的咳嗽、呼吸困難和體重下降。另有約1/3 的病人可表現為急性起病,主要症狀有發熱、胸痛、呼吸困難。其臨床表現與肺部感染很相似。此外胺碘酮還可引起非心源性肺水腫。
疾病病因
藥源性肺病(1)肺間質纖維化:能引起肺間質纖維化的藥物眾多,其中最常見的為細胞毒性藥物。自從1961 年首例白消安引起肺纖維化報導以後,有關細胞毒藥物引起肺毒性反應的報導逐漸增多。這些藥物導致的肺瀰漫性纖維化發生的危險因素與用藥頻度、用藥總量、合併用藥、合併放療、高濃度氧療、原有肺部疾病、肺功能狀況、肝腎功能不全及老年均有一定關係。
(2)閉塞性細支氣管炎伴機化性肺炎(BOOP);能引起BOOP 的常見藥物。
(3)脫屑性間質性肺炎和淋巴細胞性間質性肺炎:到目前為止文獻報導能導致脫屑性間質性肺炎的藥物有白消安、干擾素α、柳氮磺胺吡啶、呋喃妥因等。能導致淋巴細胞性間質性肺炎的藥物有卡托普利、苯妥英鈉等。
(4)過敏性肺炎:有些藥物如卡馬西平、多西他賽(DoeetaXel)、金鹽、MTX、呋喃妥因、丙卡巴肼等可引起過敏性肺炎。
(5)肺浸潤伴嗜酸性粒細胞增多:許多藥物可引起肺浸潤伴肺嗜酸性粒細胞增多,β-內醯胺類、磺胺類、青黴素類、氟喹喏酮類、四環素類、大環內酯類抗生素、呋喃妥因、甲氨蝶呤、對氨基水楊酸、丙卡巴肼、異煙肼、氯磺丙脲、阿司匹林、呋喃唑酮、色甘酸鈉、液狀石蠟等。
(6)瀰漫性肺鈣化:到目前為止已有長期大劑量使用鈣鹽或維生素D 導致肺部瀰漫性鈣化的報導。
2、肺水腫 能引起藥物性肺水腫的藥物很多。
3、氣道疾病 (1)支氣管痙攣伴或不伴有喉頭水腫:能引起支氣管痙攣的藥物見。藥物引起支氣管痙攣的機制目前仍不十分清楚,大概可概括為過敏反應、藥理反應和直接刺激3 方面。青黴素、免疫球蛋白和碘油等通過過敏反應可引起支氣管痙攣,而吸入色甘酸鈉和多黏菌素B 多為直接刺激引起。其他大多數藥物如β腎上腺素受體阻滯劑、血管緊張素轉化酶抑制劑、非皮質激素類抗炎藥、前列腺素E2 以及阿司匹林等則通過體內藥理作用,導致支氣管平滑肌收縮所致。(2)咳嗽:能引起單純咳嗽的藥物主要有血管緊張素轉化酶抑制劑、白介素-2、甲氨蝶呤、鏈激酶和激素。其作用機制尚不清楚,可能與血管緊張素、慢反應物質、P 物質及花生四烯酸等代謝有關。
4、胸膜病變 呋喃妥因、二甲麥角新鹼、溴隱停、氯米芬、苯妥英鈉、環磷醯胺、丙卡巴肼、甲氨蝶呤、普萘洛爾以及能引起狼瘡樣綜合徵的胺碘酮、卡馬西平、異煙肼、甲基多巴、肼苯達嗪、普魯卡因胺和口服避孕藥等均可引起不同程度的單側或雙側非特異性的胸腔積液,有時可伴有肺實質浸潤,抗凝藥物華法林不適當使用可引起血性胸腔積液。另外一些抗腫瘤藥物如博來黴素、BCNU 及放射治療可引起肺間質纖維化,而發生氣胸。
5、肺出血 可由抗凝劑及其類似物長期和不當使用引起,如華法林、阿司匹林、纖維蛋白溶解劑、鏈激酶、尿激酶,也可由其他藥物如碘油、絲裂黴素、卡馬西平、環孢素、呋喃妥因、苯妥英鈉等引起。此外青黴胺可通過Ⅲ型變態反應引起肺和腎臟的出血。
6、肺部機會性感染 化療藥物、皮質激素、抗生素的較長時間套用之後,可出現繼發性肺部感染。
7、肺血管改變 有許多藥物可引起肺血管的改變,如口服避孕藥、環孢素、絲裂黴素、白介素-2、普萘洛爾可引起肺動脈高壓;皮質激素、雌性激素、普魯卡因醯氨等易引起肺栓塞疾病;博來黴素、BCNU、CCNU、口服避孕藥及放射線可引起肺靜脈的閉塞。許多藥物可引起肺血管炎。
8、縱隔改變 苯妥英鈉、卡馬西平、米諾環素、阿司匹林等可引起單側或雙側肺門和(或)縱隔淋巴結腫大。長期使用皮質激素可引起縱隔脂肪沉積,而導致縱隔增寬。干擾素α和干擾素β可引起類結節病樣表現,而干擾素γ則可引起胸腺的增大。
9、神經肌肉病變 能引起肺泡低通氣及呼吸衰竭的藥物主要為麻醉劑、鎮靜劑、催眠劑和肌肉鬆弛劑。這一類的藥物很多,在此不再一一贅述。
10、肺肉芽腫樣反應 藥物可作為異物刺激引起肺組織反應,也可作為有機物抗原引起機體過敏反應。如油劑吸入肺內可引起脂質性肺炎;液狀石蠟吸入肺部,可發生局限性肉芽腫。支氣管造影時,碘油有時也可引起肺部肉芽腫形成,甚至發展為肺間質纖維化。此外胺碘酮、博來黴素、卡馬西平、苯妥英鈉、長春鹼、米諾黴素等還可引起肺部多髮結節樣改變。
11、紅斑狼瘡樣改變 到目前為止約有40 多種藥物可引起紅斑狼瘡樣改變,肺部狼瘡樣改變是全身系統性紅斑狼瘡的一部分。
12、其他 有些藥物可以導致胸痛,如博來黴素、布美他尼、足葉乙甙、美沙拉嗪、甲氨蝶呤、甲基多巴、米諾黴素、尼麥角林(腦通)和呋喃妥因等;沙丁胺醇(舒喘靈)可引起代謝性酸中毒和呼吸困難。
病理生理
藥源性肺病X線圖診斷檢查
藥源性肺病實驗室檢查:紅斑狼瘡樣改變絕大多數患者抗核抗體為陽性。但抗dsDNA 陰性。 血清補體測定可以正常也可以不正常。Coombs 實驗約1/3 陽性。甲氨蝶呤有約 17%和40%的病人可分別有皮疹和外周血嗜酸性粒細胞增高。胺碘酮約1/3 的病人可表現為急性起病,化驗檢查可有白細胞增高和血沉增快,但血嗜酸性粒細胞增多並不多見。
其他輔助檢查:
1、肺間質改變
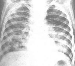
(1)肺間質纖維化胸部X 線檢查:可發現雙下肺網狀及結節狀密度增高陰影,病變嚴重時可累及雙側全肺,少數病例胸部平片可以正常。肺功能檢查可呈不同程度的限制性通氣功能障礙和彌散功能降低。肺組織病理檢查可見非典型Ⅱ型肺泡上皮細胞增生、肺泡炎或肺間質炎症以及不同程度的肺間質纖維化。
(2)閉塞性細支氣管炎伴機化性肺炎(BOOP)胸部X 線檢查可發現雙肺多發性斑片狀浸潤影。肺功能檢查即可呈限制性通氣功能障礙也可呈阻塞性通氣功能障礙。皮質激素治療反應良好。
(3)脫屑性間質性肺炎(DIP)和淋巴細胞性間質性肺炎(LIP)的診斷主要依靠病理檢查。
(4)過敏性肺炎胸部X 線可見腺泡結節樣浸潤且病變多位於雙肺外周。肺功能檢測呈不同程度的限制性通氣功能障礙和低氧血症。肺活檢可見肺泡腔內有多形核白細胞或嗜酸性粒細胞及單核細胞浸潤。肺間質纖維化則較為少見。
(5)肺浸潤伴嗜酸性粒細胞增多胸部X 線片表現為斑片狀肺浸潤,常呈遊走性。
2、肺水腫 胸部X 線呈瀰漫性腺泡結節樣浸潤性改變而心臟大小形態正常。肺活檢可見肺水腫但很少有炎症反應。
鑑別診斷
應與肺炎、急性心源性肺水腫、肺部腫瘤、特發性肺間質纖維化相鑑別。
治療方案
藥源性肺病併發症
藥物性肺病常出現哮喘、呼吸衰竭、急性肺水腫、ARDS、咯血等。
預後及預防
預後:藥物性肺水腫的預後一般較好,停藥及對症治療後症狀可逐漸緩解。肺浸潤伴嗜酸性粒細胞增多停藥後症狀可以緩解,激素治療可以促進吸收。常見的致肺間質纖維化藥物白消安(馬里蘭)引起的肺毒性反應,預後較差。總的病死率在50%~80%。皮質激素治療的療效差異很大,有的病人有效,有的病人無效。環磷醯胺引起的肺毒性預後較差,死亡率約在50%左右。由甲氨蝶呤所致肺損傷的死亡率約10%。阿糖胞苷導致的肺水腫往往可在治療後7~21 天逐漸好轉。阿糖胞苷導致的肺損害的死亡率約6%~13%。
預防:預防藥源性肺病最重要的是提高對藥物兩重性的認識,對所有藥物均應熟悉其藥理作用,嚴格掌握用藥的適應證、劑量和療程,醫生在臨床工作中應經常保持對藥物不良反應的警惕性,應經常分析病人所用藥物對其正反兩方面的作用,避免套用不必要的藥物,特別對於體質過敏的患者要儘量簡化用藥種類和劑量,做到真正合理用藥。
流行病學
早在1880 年William Osler 就觀察到過量的嗎啡可導致急性肺水腫,但直到1972 年Rosenow 才對20 種與肺損傷肯定有關的藥物進行了系統的論述。此後有關藥物與肺部疾病的報導越來越多,也越來越受到人們的重視。已有100 余種藥物據報導可引起肺部病變。由於統計資料受到多種人為因素的影響,藥源性肺病的發生率尚無確切的數字。綜合大多數的報導,藥源性肺病的發生率約占全身藥物不良反應的5%~8%,而後者的發生率約在10%~20%。據估計在所有的住院病人中有2%~5%是因為藥物的副作用而住院。藥源性死亡占入院死亡人數的0.3%~3%。
