心包囊腫疾病起因
心包囊腫是由什麼以下原因引起的
心包囊腫是在胚胎時期原始腔隙未能和其他腔隙隔合成心包而單獨形成一個空腔以後就可發展成為心包囊腫囊腫壁多菲薄透明外壁為疏鬆結締組織內壁為單層的間皮細胞其上有血管分布類似心包組織囊內含有澄清或淡黃色液體偶見血性液體。
病狀體徵
心包囊腫有以下表現及診斷辦法
心包囊腫胸部X線檢查在心膈角處有明顯陰影深呼吸和體位改變可見陰影形態和大小都有明顯改變。
症狀:心包囊腫有以下臨床表現
心包囊腫比較少見,約占縱隔腫瘤與囊腫的8.9%,縱隔囊腫的17%。其發病率較低的原因,除本病少見外,尚因多數無症狀,有的囊腫小又與縱隔陰影互相重疊,不易被發現,發病年齡多為青壯年。
檢查化驗
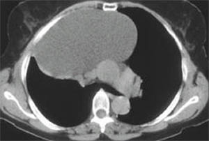
心包囊腫1.X線表現:
①囊腫常發生在心隔角區右側多見。
②囊腫呈圓形或橢圓形密度均勻邊緣清楚。
③側位上囊腫靠前貼近前胸壁。
④透視下胸腔壓力變化可致變形。
2.CT表現:
①2/3心包囊腫位於右心隔角區余見於左心膈角心後等處。
②病變通常與心包相連但少數帶蒂而與心包無明顯連線。
心包囊腫④增強檢查病變無強化。
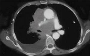
3.MRI表現:
①心包囊腫通常位於右心膈角區少數見於左心膈角區或其他部位。
②病變呈圓形或卵圓形邊緣光滑。
③漿液性心包囊腫呈長T1低信號和長T2高信號但當囊內蛋白含量高時則為短T1高信號,心膈角處特別是右側心膈角區單房性水樣密度腫塊邊緣光滑可確診為心包囊腫。
鑑別診斷
心包囊腫容易與以下疾病混淆 影象學診斷上本病應與以下疾病進行鑑別:
1皮樣囊腫
心包囊腫2支氣管囊腫
好發於支氣管和支氣管周圍圓形或橢圓形水樣密度均勻影邊緣光滑銳利與支氣管相通進可隨呼吸大小改變如含有部分液體時形成氣液囊腫CT表現密度均勻囊壁薄內緣光整可造成鄰近氣管或支氣管受壓變窄CT值為30~50Hu。
3食道囊腫
位於後縱隔前部食道旁圓形或橢圓形囊性腫塊輪廓光滑囊壁較厚>4mm呈肌性軟組織局部食道可壓CT值為50Hu左右。
4心包脂肪墊
常見於肥胖者以左心膈角較多沒有完整輪廓密度相對較心包囊腫更低側位片往往顯示不清CT值呈現負值(-50Hu以
心包囊腫臨床上還需淋巴管瘤進行鑑別:
縱隔囊性淋巴管瘤是一種少見的縱隔良性腫瘤,占縱隔腫瘤和囊腫總數的3.85%,其形成可能與淋巴管體靜脈吻合異常導致淋巴回流受阻有關,也可來源於頸部淋巴管原基,於心包下降時被帶入胸內,故可見於縱隔各處,多位於前縱隔中上部,腫塊大小不一,可單房或多房或呈蜂窩狀,分為頸-縱隔型腋-縱隔型縱隔型及頸-腋-縱隔型4種類型多無臨床症狀,尤其是縱隔型常為X線檢查偶爾發現胸片多數表現為邊緣光整的縱隔腫塊,無縱隔移位;CT顯示腫塊為囊性,邊界清晰,無周圍侵犯,本病易誤診為心包囊腫,因此需嚴格地進行鑑別診斷縱隔型囊性淋巴管瘤相對少見,尤其是單房型影像無特殊,術前診斷困難,當縱隔出現囊性腫塊時應將其作為鑑別診斷之一予以考慮,以提高診斷準確率。
併發症狀
心包囊腫手術治療是本病較為有效的措施效果較令人滿意但也有一些併發症發生主要是一些術後併發症如切口感染術後腸粘連和肺炎等要特別說明的是術後腸粘連是本是腹腔手術後常見的一種併發症,但心包囊腫有些囊腫位置較低時手術會涉及到腹腔故也會發生腸粘連臨床以腹痛腹脹為主要症狀,發病率很高,嚴重者可發生粘連性腸梗阻。
治療藥物
心包囊腫心包囊腫是良性病變,生長緩慢,多在成年人發現,心包囊腫尚未見自然消失的,有人主張心包穿刺抽液但是,隨著囊腫的增大可出現壓迫症狀,影響心臟功能,繼發感染,而且不能建立準確的組織學診斷,有可能延誤潛在的可治癒性腫瘤的治療且手術較安全效果好。所以一旦確診,應儘早手術目前多主張手術治療心包囊腫的位置較固定而局限,粘連較輕,分離容易,手術操作相對簡單,一般採用前外側小切口,也有學者主張用胸腔鏡手術切除囊腫,具有創傷小恢復快質量高的優點,是一種微創手術方法。
預防保健
心包囊腫應該做以下預防
由於本病當囊腫較大時會產生一些壓迫症狀故對確診的患者在情況允許的情況下應積極進行手術防止嚴重的併發症發生。

