心包腫瘤簡史
1963年,Wilson收集文獻報導的心包良性腫瘤29例,1/4在2歲以下。
心包腫瘤1976年,Hartveit等報導1例心包膜多發性血管瘤造成心包壓塞而致死。在過去20多年內,偶見心包多發性血管瘤、心包內嗜鉻細胞瘤、心包乳頭狀瘤、心包平滑肌纖維瘤等報告。
1974年,Besterman等報導1例心包內嗜鉻細胞瘤,Larsen等報告1例心包乳頭狀瘤。心包囊腫臨床上最多見,為心包發育障礙所致。
1953年,Dave等報告惡性畸胎瘤和間皮細胞肉瘤13例。
1957年,Robertsen報告惡性畸胎瘤和間皮細胞肉瘤。
1962年,Towers報告原發性心包肉瘤。
1964年,Pader報導切除平滑肌肉瘤1例。
1980年,Patrick報告心包間皮細胞瘤導致惡性心肌梗塞1例。
引發病因
心包腫瘤有脂肪瘤、分葉狀纖維性息肉、血管瘤和畸胎瘤。原發性惡性包腫瘤為間皮細胞瘤和肉瘤,分布廣泛,常浸潤組織。繼發性腫瘤,直接從胸腔內擴散累及心包,最常見的是支氣管肺癌和乳房癌。
心包原發性腫瘤可能從胚胎殘餘發展而來,包括畸胎瘤(最常見)、心包囊腫、脂肪瘤、血管瘤、平滑肌纖維瘤等良性腫瘤。心包繼發腫瘤遠較原發性腫瘤多見。其中以體內諸器官惡性腫瘤轉移到心包為常見,如乳腺癌、阿傑金氏病、白血病和惡性黑色素瘤等;惡性腫瘤直接蔓延到心包,常見為支氣管肺癌、乳腺癌、縱隔惡性腫瘤(精源細胞瘤、胚胎原性癌、嗜鉻細胞瘤等)。
諸器官惡性腫瘤轉移到心包為常見,如乳腺癌、阿傑金氏病、白血病和惡性黑色素瘤等;惡性腫瘤直接蔓延到心包,常見為支氣管肺癌、乳腺癌、縱隔惡性腫瘤(精源細胞瘤、胚胎原性癌、嗜鉻細胞瘤等)。
診斷
①心包滲液,特別是血性滲液。
②心影輪廓異常,局部有塊影突出。
③無原因的心包填塞症狀。
心包腫瘤心包原發性腫瘤可能從胚胎殘餘發展而來,包括畸胎瘤(最常見)、心包囊腫、脂肪瘤、血管瘤、平滑肌纖維瘤等良性腫瘤。心包繼發腫瘤遠較原發性腫瘤多見。其中以體內諸器官惡性腫瘤轉移到心包為常見,如乳腺癌、阿傑金氏病、白血病和惡性黑色素瘤等;惡性腫瘤直接蔓延到心包,常見為支氣管肺癌、乳腺癌、縱隔惡性腫瘤(精源細胞瘤、胚胎原性癌、嗜鉻細胞瘤等)。
根據反覆發作心包滲液特別是血性滲液而缺乏炎症性病變的病史和症狀,X-線檢查心影輪廓異常,局部呈不規則的突出或結節狀,結合心臟超聲檢查一般可作出診斷。如心包穿刺液中檢出腫瘤細胞則可確診。身體其他部位有原發腫瘤而伴發心包滲液症狀者應考慮繼發性心包腫瘤。
治療措施
心包腫瘤臨床表現
心包原發性腫瘤的臨床表現臨床表現除原發疾病外可有心包摩擦音、積液等;積液多為血性,通常無明顯胸痛。常源於支氣管或乳腺的惡化腫瘤。凡快速增長的血性積液伴心臟壓塞,尤其伴心電圖電交替者應高度懷疑腫瘤性心炎可能,心包積液中尋找腫瘤細胞可明確診斷。早期無症狀,晚期症狀有胸部疼痛、發熱、乾咳和氣急。體徵上,較早期有心包摩擦音,以後心包滲液,出現心包填塞。症狀有頸靜脈怒張、脈壓減小、心音減弱、肝腫大,病情迅速加重。
特殊檢查
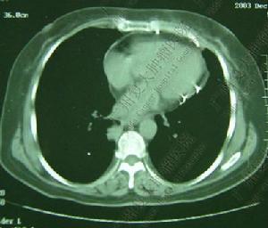
心包腫瘤心影形態變化、心影擴大、心包積液、胸膜腔少量積液,畸胎瘤可見心包鈣化區。
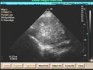
2.彩聲都卜勒超心動圖檢查可顯示突出於心包的腫塊和心包積液。
3.CT檢查可提示部分腫瘤的部位和性質
如心包囊腫:①2/3位於右前心膈角,位於在膈肌上;②典型的淚滴狀”伏在心包旁,邊緣光滑銳利。③囊壁薄,大部份含純清液體。CT值0-20HU。又如心包間皮瘤:①心包不規則增厚,前緣可見類結節樣組織肺物。②心包內大量積液,並雙側胸腔積液,右冠狀動脈鈣化(圖52-11)。
4.心血管造影檢查:在診斷十分困難時,可顯示心外壓迫區。
手術
(一)心包腫瘤切除術適應證
心包腫瘤(二)手術前準備
積極進行呼吸功能鍛鍊,吸菸者應於術前戒菸至少兩周,以減少術後肺部併發症。若腫瘤巨大對心臟造成壓迫引起浮腫及腹水者,術前應適當進行利尿或抽取腹水,以改善循環功能。
(三)麻醉處理
採用氣管插管全身麻醉。經橈動脈插管作連續動脈檢測;經頸靜脈或股靜脈穿刺插管作中心靜脈壓監測,必要時可作快速輸血和輸液用。術中持續心電監測以保證術中出現心律紊亂時能及時發現及處理。
(四)手術操作
手術切口應根據腫瘤的部位和大小而定。如腫瘤位於心臟前壁則宜採取胸骨正中切口。如腫瘤偏於一側或在後側,則應採用胸壁經肋間的前外側切口或後外側切口。打開胸腔後,一般均較易找到腫瘤。心包良性腫瘤通常有完整的包膜。可沿著邊緣作銳性或頓性分離,一般先從容易分離的部位入手。仔細分離結紮通向腫瘤的血管,將腫瘤與周圍組織分離開來。在分離過程中注意識別和避免損傷重要的血管和神經。分離至基底部時可將心包打開,將基底部的心包連同腫瘤一起切除取出。心包的缺損可不作縫合。若腫瘤生長入心包腔與房室壁心肌組織緊密粘連不要強求將腫瘤全部切除,可留置與心肌粘連部分之腫瘤組織,以避免損傷心肌或心房壁而造成大出血。手術完畢縱隔和心包腔放置引流管。
(五)術後處理
術後保持引流通暢,注意觀察引流液的性質和數量。術後應繼續對心電、血壓及呼吸進行檢測。注意保持水電解質平衡,尤其術後尿量較多時應補充足夠的水及鉀、鈉、氯等。注意保持呼吸道的通暢及進行呼吸功能的鍛鍊,預防呼吸道感染。此外,術後應加強支持療法,補充足夠的蛋白質和維生素。
結論:
手術治療惡性腫瘤是一種較快的暫時性的治療措施,因為,如果手術後沒有很好的治療措施,腫瘤很容易局部復發或遠處轉移,更有甚者,手術以前就有了遠處的微小轉移灶,由於手術對病人的打擊,機體免疫功能降低,術後微小轉移灶很快發展為腫塊。所以,術後的治療是至關重要的。對手術後的病人採用“全息腫瘤康復液中藥原料”治療,療效十分理想,治癒的病人最長已經18年。
預防
1、做好對心包腫瘤的預防工作是從根本上降低腫瘤發生①腫瘤的病因學預防:改變不良的生活習慣如吸菸和食用醃製發霉食物等有腫瘤家族史的患者尤要注意預防。
②對常見腫瘤要開展普查做到每年1~2次體檢以早期發現腫瘤。
2、對心包腫瘤腫瘤做到早期發現、早期診斷、早期治療,防止病情發展到晚期,出現併發症難以控制。
a、首先要保持樂觀的情緒,樹立戰勝癌症的堅強信心。
b、適當的運動可使氣血流暢,增強機體抵抗力。避免受風寒,"百病從寒起",身體受風寒剌激時,抵抗力下降,易誘發疾病。
c、飲食應以清淡而富有營養為主。多吃蔬菜、(如捲心菜和菜花等)及蘿蔔、酸梅、黃豆、牛肉、蘑菇、蘆筍、薏苡仁等、食物中含有抗癌物質,水果、牛奶、甲魚等富含多種胺基酸、維生素、蛋白質和易消化的滋補食品。
d、腫瘤病人熱能消耗大,因此飲食要比正常人多增加20%的蛋白質。
e、少吃油膩過重的食物;少吃狗肉、羊肉等溫補食物;少吃不帶殼的海鮮、筍、芋等容易過敏的"發物";少吃含化學物質、防腐劑、添加劑的飲料和零食。忌食過酸、過辣、過鹹、菸酒等刺激物。
