概述
慢性心包炎急性心包炎以後,可在心包上留下疤痕粘連和鈣質沉著。多數患者只有輕微的疤痕形成和疏鬆的或局部的粘連,心包無明顯的增厚,不影響心臟的功能,稱為慢性粘連性心包炎,在臨床上無重要性。部分患者心包滲液長期存在,形成慢性滲出性心包炎,可能為急性非特異性心包炎的慢性過程,主要表現為心包積液,預後良好,少數患者由於形成堅厚的疤痕組織,心包失去伸縮性,明顯地影響心臟的收縮和舒張功能,稱為縮窄性心包炎,它包括典型的慢性縮窄性心包炎和在心包滲液的同時已發生心包縮窄的亞急性滲液性縮窄性心包炎,後者在臨床上既有心包堵塞又有心包縮窄的表現,並最終演變為典型的慢性縮窄性心包炎。本節主要討論慢性縮窄性心包炎的一系列臨床問題。
症狀
慢性心包炎(一)症狀
勞累後呼吸困難常為縮窄性心包炎的最早期症狀,是由於心排血量相對固定,在活動時不能相應增加所致。後期可因大量的胸腔積液、腹水將膈抬高和肺部充血,以致休息時也發生呼吸困難,甚至出現端坐呼吸。大量腹水和腫大的肝臟壓迫腹內臟器,產生腹部膨脹感。此外可有乏力、胃納減退、眩暈、衰弱、心悸、咳嗽、上腹疼痛、浮腫等。
(二)體徵
1.心臟本身的表現心濁音界正常或稍增大。心尖搏動減弱或消失,心音輕而遠,這些表現與心臟活動受限制和心排血量減少有關。第二心音的肺動脈瓣成分可增強。部分患者在胸骨左緣第三~四肋間可聽到一個在第二心音後0.1秒左右的舒張早期額外音(心包叩擊音),性質與急性心包炎有心臟壓塞時相似。心率常較快。心律一般是竇性,可出現過早搏動、心房顫動、心房撲動等異位心律。
2.心臟受壓的表現頸靜脈怒張、肝腫大、腹水、胸腔積液、下肢水腫等。這些與心臟舒張受阻,使心排血量減少,導致腎臟對水和鈉的瀦留,從而使血容量增加,以及靜脈回流受阻使靜脈壓升高有關。縮窄性心包炎的腹水較皮下水腫出現得早,且多屬大量,與一般心力衰竭不同,其原因尚未明確,可能與以下因素有關;①靜脈壓緩慢而進行性地持續升高,使皮下小動脈痙攣而內臟小動脈不痙攣;②心包粘連部位以心包下房肝靜脈進入下腔靜脈附近處最為顯著,因此肝靜脈淤血嚴重,腹部淋巴回流明顯受阻,使水腫液易於在腹腔內瀦留;③腎血流量降低少,水和鈉瀦留輕,故皮下水腫出現較遲和較輕,且主要分布於下肢及腰骶部。此外,在病程中遲早可發生胸水。有時出現奇脈。心排血量減少使動脈收縮壓降低,靜脈淤血,反射性引起周圍小動脈痙攣使舒張壓升高,因此脈壓變小。
病因
慢性心包炎由於目前診斷技術的改進,已能發現部分炎症(病毒,伴原發性縱隔纖維化,或結節病),尿毒症,新生物和創傷(包括心臟手術後和放射治療)引起的縮窄性心包炎伴有心包滲液,形成亞急性滲液性縮窄性心包炎。
病變
慢性心包炎由於時常發現外有纖維層包裹、內為濃縮血液成分和體液的區域的存在,提示心包內出血是形成心包縮窄的重要因素。心臟外形正常或較小,心包病變常累及貼近其下的心肌。縮窄的心包影響心臟的活動和代謝,有時導致心肌萎縮、纖維變性、脂肪浸潤和鈣化。
手術前應改善患者一般情況,嚴格休息,低鹽飲食,使用利尿劑或抽除胸水和腹水,必要時給以少量多次輸血。有心力衰竭或心房顫動的患者可適應套用毛地黃類藥物。
此型心包炎的病變特點是心包愈著。可分為兩個亞型:①心包粘連(concretiopericardii):心包兩層互相愈著,心包腔被瘢痕組織所閉塞,但無鈣化現象。此型心包炎是抗結核治療後的典型變化。②鈣化性心包炎(pericarditiscalculosa):慢性縮窄性心包炎中,約半數病例發生鈣化。鈣鹽沉積好發於冠狀溝、室間溝、右心室和靠膈部位。瘢痕組織多發生玻璃樣變(糖衣樣外觀),心肌被壓萎縮。鈣化的發生一般因心包積血引起,亦可由外傷或病毒性炎症演變而來。
診斷
慢性心包炎輔助檢查
實驗室檢查:無特徵性改變,可有輕度貧血。病程較久者因肝淤血常有肝功能損害,血漿蛋白尤其是白蛋白生成減少。部分患者因腎淤血可有持續性蛋白尿,使低白蛋白血症更為明顯。腹水和胸水通常為漏出液。靜脈壓顯著增高。且在吸氣時進一步上升(kussmaul征)。循環時間延長。
心電圖檢查:QRS波低電壓、T波平坦或倒置。兩者同時存在是診斷縮窄性心包炎的強力佐證,僅有T波變化而無低電壓對臨床診斷有幫助,僅有低電壓而無T波改變則無意義。心電圖的改變常可提示心肌受累的範圍和程度。50%左右的P波增寬有切跡,可有右心室肥大或右束支傳導阻滯,心房顫動不少見,尤其在病久和年齡較大的患者中。
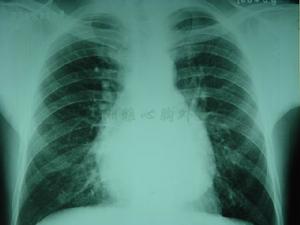
X線檢查:心包鈣化是曾患過急性心包炎的最可靠的X線徵象,在大多數縮窄性心包炎的患者中均可見到。常呈不完整的環狀。半數以上患者心影輕度擴大,其餘心影大小正常。心影增大與心包膜增厚,心包腔內殘餘積液、膈肌升高和心臟鄰近胸膜增厚有關。可表現為普遍性增大呈三角形或球形,心緣變直或形成異常心弓,如主動脈結縮短或隱蔽不見,左、右心房,右心室或肺動脈圓錐增大,上腔靜脈擴張。肺間影增大,肺血管充血,胸膜常增厚或有積液。X線透視或記波攝影可見心臟搏動減弱或消失。心血管造影能顯示各心腔的大小和在心動周期中形態的變化,從而估計心包的厚度和縮窄的程度。 計算機化X線斷層顯像對心包增厚具有相當高的特異性和解析度,若心包壁層只增厚0.5~2cm,圖像曲線呈現緻密組織現象,可提示增厚。磁共振顯像可分辨心包增厚以及有無縮窄存在。
鑑別
縮窄性心包炎和限制型心肌病的鑑別
| 鑑別項目 | 縮窄性心包炎 | 限制型心肌病 |
| 疲勞和呼吸困難 | 逐漸發生,後來明顯 | 一開始就明顯 |
| 吸氣時頸靜脈擴張 | 有 | 無 |
| 心尖搏動 | 常不明顯 | 常捫及 |
| 奇脈常 | 有 | 無 |
| 二尖瓣與三尖瓣關閉不全雜音 | 無 | 常有 |
| 舒張期的心音 | 在第二心音之後較早出現,較響,為舒張早期額外音(心包叩擊音) | 在第二心音之後較遲出現,較輕,為第三心音,常可聽到第四六音 |
| X線 | 心臟輕度增大,常見心包鈣化 | 心臟常明顯增大,無心包鈣化,可有心內膜鈣化 |
| 心電圖 | QRS波群低電壓和廣泛性T波改變,可有心房顫動或提示左房肥大的P波改變 | 可有波群低電壓和廣泛性T波改變,有時出現異常Q波,常有房室和心室內傳導阻滯(特別是左束支傳導阻滯)和心室肥大勞損,也可有心房顫動 |
| 收縮時間間期測定 | 正常 | 異常(PEP延長,LVET縮短,PEP/LVET比值增大) |
| 超聲心動圖心房顯著擴大 | 不常見 | 常見 |
| 舒張早期二尖瓣血流速率 | 有明顯的呼吸變化 | 隨呼吸變化極小 |
| 彼此相反的心室充盈 | 有 | 無 |
| 左、右室舒張末期壓 | 相等(相差≤O.67kPa(5mmHg)) | >O.67kPa(5mmHg) |
| 右室收縮壓 | ≤O.67kPa(50mmHg) | >50mmHg |
| 計算機化斷層顯像 | 心包增厚 | 心包正常 |
| 心內膜心肌活組織檢查 | 正常 | 異常 |
| 毛地黃治療反應靜 | 靜脈壓不變 | 脈壓下降 |
治療
慢性心包炎預後
慢性心包炎炎和限制型原發性心肌病的臨床表現極為相似,鑑別往往甚為困難。性心包炎外科治療常可得到良好的效果,而心肌病則預後不佳。因此,個別鑑別實在困難的病例應進行血流動力學和影像學(CT或MRI)檢查,必要時作心內膜活檢。如影像學顯示心包增厚,除非三項血流動力學檢查全部符合限制性心肌病,應考慮開胸探查;如心內膜活檢顯示心內膜心肌病變,則不必開胸探查;如心內膜活檢顯示心內膜心肌病變,則不必開胸探查。此外尚需與肝硬、結核性腹膜炎及其他心臟病變引起的心血衰竭相鑑別。
