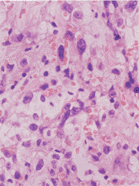
組織病理
本病好發於老年人男多於女。無其他相關內容描述。
腫瘤組織在同一損害中分化程度不等。通常損害周邊分化比較好,而浸潤嚴重,常為結節和潰瘍的中心則分化較差。
一、在分化良好的區域中,可見不規則往往互相吻合的血管,其管腔有內皮細胞排列,大多為單層,但有的部位為多層。仔細檢查,雖然有些內皮細胞異常大,呈多形性,但仍易被誤診為非特異性肉芽腫。
二、在分化差的區域中,血管腔由完全不典型的立方形內皮細胞排列,血管腔可顯著擴張,使得它們有許多彎曲的竇,竇內內皮細胞增生,如同乳頭狀突起伸入其中,或者它們可形成數層,而且完全塞滿管腔。
三、網狀纖維染色對鑑定惡性血管瘤有一定價值。這是因為在難以看出血管腔的部位,在內皮細胞周圍可見一網狀纖維環,勾畫出基底膜的輪廓。甚至在內皮細胞增生的實體區,在某些單個內皮細胞的腫瘤細胞團中,也可顯示緻密的網狀纖維網。
四、免疫組化染色、荊豆植物血凝素1、波狀纖維蛋白層粘連蛋白和其他內皮細胞標定物均陽性,但第8因子相關抗原常不同程度地陽性或陰性。
分型
一、放療後血管贅瘤冷清,腫瘤發生在昔日作過放射調理的部位。如放射調理為良性疾病,則放射醫治和發生血管肉瘤的平均間期為23年,但如醫治的疾病為惡性疾病,則發射醫治到膜法世家1908發生血管瘤的間期可縮短12年。本病預後不良,診斷後平均存活時間為6個月~2年。
二、淋巴水腫性血管贅瘤血管贅瘤發生在慢性淋巴水腫部,如發生在乳腺癌根治術後的上臂,纖姿堂,部,即所謂StwartTreves綜合徵,平常發生於手術後11~12年,推斷約0.45%患者發病。皮損為水腫部位展現一個或多個瘀斑,快速滋長為淡藍色至紫血色結節,易造成潰瘍,並向肢體近側或遠側端擴散。預後平常不良。5年存活率姿美堂為6%~14%,均勻存活19~31個月。肺遷徙為常見的死因。
三、老年人頭面中藥祛雀斑面膜部血管贅瘤最常見,男多於女,皮損發生於老年人的頭和頸部。早先為邊界不清的淡藍色斑,大概誤診為瘀斑。但瘀斑周圍有血色環,衛星狀結節,腫瘤內出血,以及皮損細微外傷後傾向自覺性出血為鑑別特性。腫瘤舉行性非對稱性擴大,並滋長為硬結性淡藍色結節和斑塊,發生於頭面部者,眼瞼可發生明顯水腫。
憑據臨床分型,皮損特性,連繫布局病理即可診斷。
臨床表現
惡性血管內皮細胞瘤臨床上主要可分3型:
1.老年人頭面部血管肉瘤(angiosarcoma of the scalp and face of elderly)最常見男多於女,皮損發生於老年人的頭和頸部開始為界限不清的淡藍色斑可能誤診為瘀斑。但瘀斑周圍有紅色環衛星狀結節腫瘤內出血,以及皮損輕微外傷後傾向自發性出血為鑑別特點腫瘤進行性非對稱性擴大並發展為硬結性淡藍色結節和斑塊,發生於頭面部者眼瞼可發生明顯水腫。
2.淋巴水腫性血管肉瘤(angiosarcoma in lymphedema) 血管肉瘤發生在慢性淋巴水腫部,如發生在乳腺癌根治術後的上臂部即所謂Stwart Treves綜合徵一般發生於手術後11~12年,估計約0.45%患者發病。皮損為水腫部位出現一個或多個瘀斑迅速發展為淡藍色至紫紅色結節,易形成潰瘍並向肢體近側或遠側端擴散預後一般不良5年存活率為6%~14%平均存活19~31個月。肺轉移為常見的死因。
3.放療後血管肉瘤(angiosarcoma after radiation therapy) 罕見,腫瘤發生在以前作過放射治療的部位如放射治療為良性疾病,則放射治療和發生血管肉瘤的平均間期為23年但如治療的疾病為惡性疾病,則放射治療到發生血管瘤的間期可縮短12年。本病預後不良診斷後平均存活時間為6個月~2年。
鑑別診斷
根據臨床分型皮損特點,結合組織病理即可診斷。瘀斑周圍有紅色環衛星狀結節,腫瘤內出血以及皮損輕微外傷後傾向自發性出血為鑑別特點。
輔助檢查
組織病理:腫瘤組織在同一損害中分化程度不等通常損害周邊分化比較好而浸潤嚴重,常為結節和潰瘍的中心則分化較差。
在分化良好的區域中可見不規則往往互相吻合的血管,其管腔有內皮細胞排列大多為單層但有的部位為多層仔細檢查,雖然有些內皮細胞異常大,呈多形性,但仍易被誤診為非特異性肉芽腫。在分化差的區域中血管腔由完全不典型的立方形內皮細胞排列血管腔可顯著擴張使得它們有許多彎曲的竇竇內內皮細胞增生,如同乳頭狀突起伸入其中或者它們可形成數層,而且完全塞滿管腔。網狀纖維染色對鑑定惡性血管瘤有一定價值。這是因為在難以看出血管腔的部位在內皮細胞周圍可見一網狀纖維環勾畫出基底膜的輪廓甚至在內皮細胞增生的實體區在某些單個內皮細胞的腫瘤細胞團中也可顯示緻密的網狀纖維網免疫組化染色、荊豆植物血凝素1、波狀纖維蛋白(Vimentin)層粘連蛋白和其他內皮細胞標定物均陽性,但第8因子相關抗原常不同程度地陽性或陰性。
治療
早期診斷徹底切除。化療及放射療法只能減輕症狀。淋巴水腫性血管肉瘤宜早期截肢。
預後
本病預後差72例頭面部血管肉瘤患者中,1/2以上死於就診後的15個月內淋巴水腫性血管肉瘤(angiosarcoma in lymphedema)預後一般不良5年存活率為6%~14%平均存活19~31個月。肺轉移為常見的死因。放療後血管肉瘤(angiosarcoma after radiation therapy)預後不良,診斷後平均存活時間為6個月~2年。
預防
該病症目前尚沒有具體預防措施,可去醫院在醫師的建議下進行有效的預防,傳統預防措施:
一、在飲食上多吃蔬菜,水果等。
二、適當的加強身體上的運動,養成良好的運動習慣。
三、拒絕不良的個人嗜好等。

