流行病學
本瘤十分罕見,WHO統計占原發性骨腫瘤的0.28%占惡性骨腫瘤的0.52%。綜合國內12例,占原發性骨腫瘤的0.06%,占惡性骨腫瘤的0.014%。
發病機制
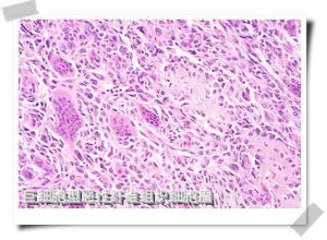
骨血管內皮細胞瘤肉眼觀察腫物紫紅色或棕紅色。瘤體境界不清,無包膜。向鄰近骨皮質浸潤,骨質反應性增生不明顯。
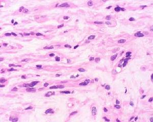
鏡下所見內皮細胞增生活躍,細胞明顯肥胖,有較多的有絲分裂相。血管腔被增生的內皮細胞充填,呈實性細胞條索或僅有很小的管腔缺乏明確的惡性組織學特徵。
臨床表現
骨血管內皮細胞瘤文獻報導年齡分布10~75歲,平均男性32歲,女性43歲男性發病多於女性。病變大多為單發,但亦有多發性病變。部位以椎骨最多,其餘順次為脛骨、股骨肱骨、骨盆、肋骨、頜骨等,亦可發生於手足骨。
症狀和體徵:起病緩慢,常無症狀病程幾周到數年不等,平均5個月。早期症狀輕微,主要表現為局部鈍痛、壓痛和腫脹。慢慢加重,腫脹逐漸明顯臨近關節的病變,可致關節活動受限。脊椎受累者腫瘤骨可壓迫和侵犯脊髓或脊神經根引起神經系統症狀及癱瘓。病變繼續發展,骨破壞加劇。穿破骨皮質,形成軟組織腫塊,逐漸增大,觸痛,皮溫增高,少數可見病理性骨折。
診斷
骨血管內皮細胞瘤根據起病緩慢,常無症狀,病程長,早期症狀為局部鈍痛和壓痛,慢慢加重,出現腫脹,活動受限。脊椎病變出現神經症狀和癱瘓。進而有軟組織腫塊,X線片發現乾骺端有片狀、泡沫狀或不規則的溶骨性破壞,瘤骨周圍放射狀骨針。軟組織腫塊內無鈣化與骨化,臨床上除外溶骨性肉瘤、轉移癌、惡性淋巴瘤和骨髓瘤後,就應考慮骨血管內皮細胞瘤的可能性。若活檢發現為紫紅色或棕紅色血塊機化樣軟性腫物,鏡下見血管內皮細胞增生活躍,增生的內皮細胞充填了血管腔,呈實性細胞條索,無確切惡性特徵,在與動脈瘤樣骨囊腫轉移癌、上皮樣血管瘤血管肉瘤和色素性絨毛結節性滑膜炎等鑑別後就可診斷為血管內皮細胞瘤。
檢查
趨向於乾骺端,骨幹極少。主要表現為片狀或不規則的溶骨性破壞,在破壞區內可見殘留散在的骨小梁,邊緣清楚或模糊。有時呈泡沫狀溶骨性破壞。瘤骨周圍可出現放射狀骨針與骨幹垂直,亦可呈叢狀分布或交錯放射少數有骨膜反應。軟組織腫塊內無骨化與鈣化影。瀰漫性腫脹者邊界不清。脊椎病變,常侵犯一個或幾個椎體,可破壞壓縮呈楔形,亦可侵犯椎弓。
動脈造影可清晰顯示大部分骨破壞及腫瘤深入軟組織的密度增高區和異常血管影。
治療
1.手術治療 此瘤具有侵襲性是低惡性或潛在惡性的腫瘤,如有可能應積極採用根治性手術切除,包括腫瘤段截除,使用假體、異體骨或帶血管游離骨移植在內的廣泛重建術來修復骨缺損。位於椎體的病變,可行腫瘤椎體切除脊髓減壓椎間嵌入植骨或人工椎體置換,或椎體釘固定若位於椎弓,可行腫瘤椎弓切除,椎弓根螺釘固定。
2.放射治療 此瘤對射線敏感,放療常有效。對病灶分布於幾個解剖部位和不能安全施行手術者,放療是最有效的選擇,可單獨放療。手術切除不徹底者,術後可輔助放療。有學者提出手術切除加放療似乎比單獨放療更有效。
3.化學治療 化療是綜合治療的一部分,對於幾個解剖部位的多發性病變和不能手術切除者,在選擇放療的同時,可積極配合多藥性聯合化療,以提高療效。
4.動脈栓塞 經選擇性動脈造影,確定腫瘤的供血動脈,從供血動脈插入導管,從導管中注入栓塞劑使供應腫瘤的血管發生栓塞,使腫瘤缺血壞死,縮小,可作手術前的準備,減少術中出血,也可作為一種治療手段,減輕症狀。
