原因
發病原因
外陰血管外皮細胞瘤起源於濟默曼(Zimmermann)外膜細胞。
發病機制
腫瘤呈局限性結節狀,邊緣清晰,有薄層包膜,平均直徑4~8cm。切面灰白至紅棕色,常伴出血和囊性變,惡性者可見壞死。
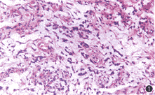
鏡檢見血管豐富,內壁襯以正常的內皮細胞。腫瘤細胞完全位於毛細血管外,血管和瘤細胞間常有一膠原纖維帶,瘤細胞圍繞血管和膠原纖維帶呈漩渦狀或放射狀排列,以PAS或網狀纖維染色可以清楚勾出血管圖像。良、惡性血管外皮細胞瘤的組織學鑑別較為困難。惡性通常表現為腫塊直徑超過5cm、細胞多形性、核分裂增多或區域性壞死等特徵。腫瘤不具備上述表現也可認為潛在惡性,因為它們中約20%可以有局部浸潤或血道轉移。
免疫組化見vimentin強陽性。FXⅢa和HLA-DR均可陽性,但大多僅5%~20%瘤細胞著色。
表現及診斷
常常表現為外陰緩慢生長的不規則腫物,無痛。腫塊位置較淺表,質軟。
根據臨床表現及實驗室免疫學檢查、組織病理的輔助檢查可以診斷。
檢查
腫瘤標誌物檢查、細胞遺傳學檢查。
組織病理學檢查、免疫組化檢測。
與哪些疾病混淆
良、惡性血管外皮細胞瘤的組織學鑑別較為困難,通過組織病理學及電鏡、免疫組化等檢查可與外陰其他肉瘤鑑別。
並發疾病
沿血管或淋巴結轉移。
吃什麼好
外陰血管外皮細胞瘤食療方(下面資料僅供參考,詳細需要諮詢醫生)
術後化療食療:
(1)首烏雞蛋湯
組成:首烏120克,雞蛋4隻。
用法:將首烏煎取濃湯,煮雞蛋4隻。此為一日劑量,日服2次。
(2)芝麻紅糖粥
組成:黑芝麻200克,紅糖30克。
用法:黑芝麻揀淨,略炒,入瓶備用或搗柞裝瓶。每次用2湯匙加紅糖適量,蘸饅頭或用開水沖服。
(3)核桃芝麻粥
組成:核桃仁200克,芝麻100克,粳米100克。
用法:將核桃仁及芝麻各研末。粳米加適量水煮熟,再加入核桃仁、芝麻即可食用。
(4)首烏山藥羊肉湯
組成:首烏30克,山藥100克,羊瘦肉500克,生薑9克。
(5)肉300克、鮮河魚1條(500克)、白蘿蔔1個。 羊肉切成大塊,放入滾水中,同切片的蘿蔔煮15分鐘,湯和蘿蔔棄之。羊肉放入鍋內,加水(約為鍋容量的2/3)、蔥、姜、酒,煮至熟透。若湯太少可加適量開水。將魚用豆油煎透後,放入凌晨肉鍋內煮30分鐘。湯中加鹽、香菜、蒜苗、蔥末,即成美味可口的羊魚鮮湯。主要用於術後的調養。
吃那些對身體好
(1)宜多吃具有抗外陰腫瘤作用的食物,如芝麻、杏仁、小麥、大麥、土瓜、烏骨雞、烏賊、烏梢蛇、豬胰、菊花、烏梅、桃子、荔枝、馬齒莧、雞血、鰻魚、鮑魚、蟹、鱟、沙丁魚、文蛤、玳瑁。
(2)疼痛宜吃鱟、赤、龍蝦、淡菜、海參、虎魚、甜菜、綠豆、蘿蔔、雞血。
(3)瘙癢宜吃莧菜、白菜、芥菜、芋艿、海帶、紫菜、雞血、蛇肉、穿山甲。
(4)增強體質、預防轉移宜吃銀耳、黑木耳、香菇、猴頭菇、雞肫、海參、薏米、核桃、蟹、石龍子、針魚。
(5)手術後,耗氣傷血,宜多食補氣養血之品,如大棗、龍眼、扁豆、粳米、荔枝、香菇、胡蘿蔔、鵪鶉蛋、藕粉、豆類等。
(6)手術後的放療:耗陰損液,宜多食滋陰養液之品,如菠菜、小百菜、藕、犁、西瓜、香蕉、葡萄、海參、甘蔗、百合等。
(7)手術後的化療:易氣血兩損,宜常食補養氣血之物,如木耳、香菇、核桃仁、桑椹、苡米粥、紅棗、桂圓、海參等。
不要吃那些食物
1.禁食發物。如魚類、蝦、蟹、雞頭、豬頭肉、鵝肉、雞翅、雞爪等。
2.儘量少吃辛辣、刺激的食物。例如:洋蔥、胡椒、辣椒、花椒、芥菜、茴香。
3.避免吃油炸、油膩的食物。如油條、奶油、黃油、朱古力等,這些食物有助濕增熱的作用,會增加白帶的分泌量,不利於病情的治療。
4.戒菸戒酒、咖啡等興奮性飲料。
預防
流行病學:外陰血管外皮細胞瘤較少見。曾有1例發生於新生兒陰蒂的先天性血管外皮細胞瘤的報導。
預後:預後與腫瘤大小有關。轉移大多出現較晚,Reymond等(1972)報導1例外陰血管外皮細胞瘤患者在14年後出現股骨轉移。
醫學疾病任務——婦科
| 婦科是醫療機構的一個診療科目,是婦產科的一個分支專業,是以診療女性婦科病為診療的專業科室。女性生殖系統所患的疾病才叫婦科疾病。婦科疾病的種類可分很多種,本任務包含大多數婦科疾病。 |

