簡介
陰道鱗狀上皮癌是最常見的陰道惡性腫瘤。由於陰道黏膜由鱗狀上皮覆蓋,80%~90%的陰道原發癌是鱗狀細胞癌(primarysquamouscellcarcinomaofvagina)。一般認為,陰道鱗狀上皮癌可能均有由上皮內腫瘤(VAIN)期,經微小浸潤癌到浸潤癌的全過程。由於病例較少,此癌瘤自然發展的過程尚未能全面了解。發病原因
陰道鱗狀上皮癌的病因至今仍不明了。流行病學資料研究認為與如下的因素有關。1.慢性刺激原發性陰道鱗癌常發生於後穹隆,認為可能與子宮脫垂患者長期使用子宮托有關,子宮托的長期刺激可能會導致陰道癌。但由於使用子宮托的病例不多,且陰道癌發生率不高,而很少列為致病因素。
2.盆腔放射治療原發性陰道癌約有20%的患者曾經有盆腔放射治療史。大宗資料表明宮頸癌經放射治療後,有0.180%~1.545%發生原發性陰道癌。一般認為宮頸癌放射治療後10~40年可發生陰道細胞結構不良或陰道癌。40歲以下盆腔放射治療的婦女,陰道癌的發生率較高。
3.病毒感染由於人類乳頭狀瘤病毒(HPV)在宮頸癌的病因中可能起著重要作用,而且有1%~3%的宮頸癌瘤患者可同時或遲些發生陰道癌,因此乳頭狀瘤病毒,尤其是16和18型可能被認為是這些癌瘤的啟動因子。
4.免疫抑制凡先天性或後天性獲得性和人工性的免疫抑制患者,癌瘤的發生率較高。陰道癌瘤亦不能例外,其發生率在免疫抑制患者較高。
5.雌激素缺乏陰道鱗癌好發於年邁的婦女,可能與絕經後雌激素水平低下,導致陰道黏膜上皮萎縮,為致癌因子創造了有利的條件有關。
發病機制
1.原發性陰道鱗狀上皮癌隨病灶的發展可分為:原位癌、早期浸潤癌和浸潤癌。(1)原位癌:當陰道上皮內腫瘤的非典型增生髮展嚴重,累及整個上皮時,但未穿透基底膜,謂之原位癌。其症狀與體徵與上皮內腫瘤同。
(2)陰道微小浸潤癌:由於陰道微小浸潤癌臨床上罕見,多數在研究上皮內腫瘤時發現,故此類癌的研究較膚淺。儘管如此,一般認為陰道微小浸潤癌應是上皮層的癌瘤突破其底部的基底膜,再向其下的間質內浸潤,其浸潤深度小於3mm,間質內血管和淋巴管未受侵犯。肉眼觀察病灶的表現與上皮內腫瘤的表現相同。
(3)陰道浸潤性鱗狀上皮癌:
①大體:大多數腫瘤形成外生性包塊,一半腫瘤形成潰瘍,隨之可出現乳頭狀、菜花狀等病灶,多位於陰道後壁上1/3處。腫瘤時常穿透陰道壁,浸潤子宮旁組織、直腸和膀胱。手術的病例有12%淋巴結被侵襲。
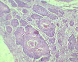
②鏡下:陰道鱗狀細胞癌與其他部位的鱗狀細胞腫瘤一樣,通常這些腫瘤包含具有組織性缺乏和細胞內聚力缺失的多形鱗狀細胞,核染色過深及非典型有絲分裂。它們表現為具有鱗狀細胞珠及細胞間橋的角化細胞。
2.在宮頸腫瘤治療5年後發生陰道癌有3個可能的機制
(1)宮頸腫瘤治療後在陰道上皮有殘餘病灶。
(2)由於HPV感染使下生殖道易於發生癌變。
(3)放射治療使下生殖道易於發生癌變。
3.轉移方式陰道黏膜的淋巴管和血管均極為豐富,黏膜下結締組織疏鬆,此結構導致陰道癌的轉移方式主要是淋巴轉移和直接浸潤鄰近器官和組織。
(1)淋巴轉移:依解剖部位,陰道上1/3的淋巴引流入盆腔淋巴結,下1/3引流入腹股溝淋巴結,中1/3則即可引流入盆腔淋巴結,又可引流入腹股溝淋巴結。因此,隨陰道癌灶的位置不同,其淋巴轉移有所不同。由於位於陰道各種部位的陰道癌都可能發生淋巴結轉移,因此,要強調對大多數病人進行區域性治療的重要性。
(2)直接浸潤:陰道前壁癌灶可累及尿道和膀胱;後壁病灶可累及直腸或直腸旁組織;側壁病灶常向陰道旁浸潤,上1/3和下1/3病灶可分別累及宮頸和外陰。
(3)血行轉移:常發生於晚期病例。經血液遠處轉移,如轉移到肺、肝臟及骨骼等器官。血源性轉移通常發生較晚,最常見經血液轉移的組織是肺。
症狀
有10%~20%的陰道上皮內腫瘤或早期浸潤癌可無明顯的症狀,或僅有陰道分泌物增多和接觸性出血和不規則出血或可及包塊,這種包塊可以表現為向外生長或形成潰瘍,呈浸潤性生長。隨著病程的發展,陰道癌灶的增大、壞死,可出現陰道排惡臭液、無痛性陰道出血。當腫瘤向周圍器官和組織擴展時,可出現相應的症狀。累及尿道或膀胱可出現尿頻、尿急、血尿和排尿困難;累及直腸可出現排便困難或里急後重;陰道旁、主韌帶、宮骶韌帶受侵犯時,可出現腰骶部的疼痛等。體徵
陰道鱗狀上皮癌好發於陰道上1/3的後壁和下1/3的前壁。陰道上皮內腫瘤或早期浸潤癌病灶可僅為糜爛狀。一般浸潤癌病灶多為外生型,以乳頭狀或菜花型為常見,也可以潰瘍型、扁平狀黏膜下型或陰道旁的浸潤型的形式出現。早期陰道病灶較局限,較晚可出現全陰道、陰道旁、主韌帶和宮骶韌帶的浸潤,膀胱或尿道的陰道瘺或直腸陰道瘺,以及腹股溝、盆腔、鎖骨上淋巴結的轉移,甚至遠處轉移。轉移途徑
1、淋巴轉移:依解剖部位,陰道上1/3的淋巴引流入盆腔淋巴結,下1/3引流入腹股溝淋巴結,中1/3既可引流入盆腔淋巴結又可引流入腹股溝淋巴結。因此,隨陰道癌灶位置的不同,其淋巴轉移有所不同。2、直接浸潤:陰道前壁癌灶可累及尿道和膀胱,後壁病灶可累及直腸及直腸旁組織,側壁病灶常向陰道旁浸潤,上1/3和下1/3病灶可分別累及宮頸和外陰。
3、血行轉移:常發生於晚期病例。
臨床分期
陰道癌的分期是採用FIGO分期系統,這種臨床分期系統是根據臨床物理檢查、胸片、膀胱鏡檢查、直腸鏡檢查及骨骼放射線檢查。淋巴管造影、CT、MRI或手術分期的資料並不改變臨床分期。AJCC建議了一個TNM分期系統,這一系統極少套用。陰道癌FIGO分期如下:0期:原位癌、上皮內癌。
Ⅰ期:癌瘤局限於陰道壁。
Ⅱ期:癌已侵及陰道下組織,但尚未達盆壁。
Ⅲ期:癌已達盆壁。
Ⅳ期:癌已超出真骨盆或臨床已累及膀胱、直腸黏膜,但泡樣水腫不應屬於Ⅳ期。
Ⅳa期:腫瘤侵及鄰近器官或直接擴展出真骨盆。
Ⅳb期:腫瘤擴散至遠處器官。
原發性陰道鱗狀細胞癌的診斷根據國際婦產科聯合會制定:①宮頸和外陰未見癌腫;②距浸潤性宮頸癌的手術治療5年後,距宮頸原位癌術後2年,距接受放射治療的宮頸癌則應是10年。
陰道癌時常在第1次檢查時誤診,尤其是當病變較小和位於陰道的下2/3時,因為窺器的葉片遮蓋了病變組織。Frick等報導了52例陰道癌中至少10例在第1次檢查中誤診。窺器應鏇轉退出使陰道前後壁的病變不被遺漏。對於肉眼可見的病變局部活檢可明確診斷,對於陰道巴氏塗片陽性、無法解釋的陰道出血和陰道上端出現的潰瘍性紅斑的病人應行仔細地陰道鏡檢查和整個的陰道壁碘塗。陰道鏡下活檢不能明確診斷時,有必要行部分陰道切除明確診斷是否存在隱匿性浸潤癌,尤其是曾行子宮切除的病人,當手術關閉陰道穹隆時把一些陰道上皮細胞包埋在內,是發生癌變的危險因素。Tjalma報導了自1974~1999年在NGOC住院的55例原發性鱗狀細胞癌病人,平均年齡為58歲(範圍為34~90歲),平均隨訪時間為45個月(0.6~268個月),62%的病人因陰道分泌物增多而就診;16%因陰道細胞學檢查陽性而就診;13%因感陰道有腫物而就診;4%因盆腔疼痛而就診;2%因排尿困難而就診;3%因其他伴隨症狀而就診。大部分病人都誤診,平均誤診時間為4個月(範圍3~12個月)。婦科檢查時腫瘤大小在4~115mm,平均直徑為39mm。53%病人的病變在陰道的上1/3,16%在陰道的下1/3,7%在陰道的中1/3,13%布滿整個陰道。病變在陰道前壁者占24%,在陰道後壁者占47%,陰道前後壁皆有者占29%。
對於病理已確診的浸潤性陰道癌應檢查血常規、生化全套、胸片、膀胱鏡及直腸鏡檢查,對於一些病人也需要行鋇灌腸或骨骼放射檢查,CT及MRI檢查可以判斷是否轉移。
護理預後
陰道鱗狀上皮癌的預後較差,因臨床病例較少,至今未摸索出一套較有效的治療法則,從目前僅有的資料來看,預後與如下因素有關:1.臨床分期陰道鱗狀上皮癌總的5年治癒率36.8%~62.3%。各期的治癒率如表1所示。
2.腫瘤組織細胞分化程度陰道鱗狀上皮癌組織細胞分化程度差,通常有75%以上是Ⅲ~Ⅳ級,惡性程度較高。
3.病灶部位陰道癌灶位於陰道上1/3預後較好,而位於中下2/3預後差,原因是陰道上段和中下段的淋巴引流不同。陰道上段的淋巴引流至盆腔淋巴結,治療較易成功,而中、下段可引流至腹股溝和盆腔淋巴結區,處理較困難。同時中下段陰道癌與膀胱、直腸間的間隔組織極薄,易累及這些器官,預後差。
4.治療方法陰道癌的治療方式方法應個體化,才能獲得較滿意的療效。陰道癌採用放射治療時,放療劑量應足夠。對較晚期的癌灶,應使用組織間插植放療以提高癌灶放射劑量。陰道鱗癌病例,凡放射治療未取得滿意的效果者,主要原因是放療量不足。對較晚期的病例應採用綜合療法——包括放療、手術和盆腔動脈灌注抗癌藥,可望能提高療效。
5.復發如果病灶不是轉移來的,放療後的病灶復發的治療採用盆腔去髒術。如果復發病灶位於陰道的前壁或後壁,應行前壁或後壁切除。以前曾行子宮切除的病人,復發病變位於陰道頂部,由於膀胱及直腸緊貼陰道的上端,應行整個去髒術。
治療
預防:1.積極治療疾病,如陰道白斑、慢性炎症及潰瘍。
2.凡有陰道不規則出血,白帶異常,儘早明確診斷,積極治療。
中藥治療
實證
證候:一般為病變初期,見口乾喜飲,心煩內熱,納差,赤白帶下,舌質紅,苔薄白,脈弦數。
治法:疏肝和脾,清熱利濕。
主方:逍遙散合蘆薈丸加減。
虛證
證候:為病變後期,症見面色萎黃,形體消瘦,神疲乏力,口乾煩熱,心悸,攻刺疼痛,臭水淋漓,便數哺熱。
治法:益氣養血,寧心安神,消腫止痛。
主方:歸脾湯合小金丹加減。
加減:白帶多者加赤石脂15g,禹餘糧10g,烏賊骨12g,金櫻子10g;
出血不止加炒阿膠10g,蒲黃炭10g,仙鶴草30g,炮姜炭10g,側柏炭10g,地榆炭12g;
腰腹疼痛、頭昏眼花者加熟地15g,杜仲10g,川斷10g,菟絲子(包煎)10g,巴戟肉10g; 大便不暢者加瓜蔞仁12g,麻仁10g,益智仁10g;
小便淋漓加琥珀末(兌)0.6g,豬苓10g,滑石15g,生草稍6g,瞿麥10g。
驗方:①板蘭根120g,銀花9g,連翹9g,皂刺9g。每日1劑,煎2次分眼。
偏方
①樟乳散:樟丹30g,乳香10g。研末以小麻油製成糊狀,塗敷患處,每日1次。
②白花蛇舌草30g,夏枯草30g。黃芪30g,蚤休15g,穿曲甲10g,甘草10g。水煎服,日服2次。
檢查
1.診斷性刮宮了解宮頸管內膜、宮內膜有無癌灶的存在。2.組織活檢和陰道細胞學的檢查凡陰道壁上有可疑組織均需進行活檢以定性。對無明顯病灶的患者,可行陰道細胞學檢查,其陽性率可從10%~42%。
3.血清免疫學檢查術前行CEA、AT-4和CA125檢查,有利於對治療後的預後評估和隨診監測。
4、內鏡檢查凡病期較晚者,均需行尿道-膀胱鏡、直腸-乙狀結腸鏡檢查,以排除癌灶侵犯這些器官。
5、影像學檢查有條件者均需在治療前行此項檢查,包括B超、CT、磁共振(MRI)、靜脈腎盂造影和胸片檢查。
鑑別
1.陰道上皮萎縮老年婦女雌激素缺乏造成陰道上皮萎縮,陰道上皮細胞學檢查可懷疑陰道癌。陰道上皮組織學檢查因整個上皮由基底細胞或亞基底細胞構成和上皮頂層細胞缺乏糖原,碘試驗陽性,與陰道上皮腫瘤相似。整個上皮較薄,細胞間的連線和本身的結構正常,細胞核為單核,無核分裂。2.陰道HPV感染HPV感染引起的陰道尖銳濕疣在肉眼下很難與陰道鱗狀上皮癌區分。病理見尖銳濕疣可有輕~中度不典型增生,而它們有過度角化,棒狀棘皮網腳與管狀基質乳頭分離,胞漿內空泡變性伴胞膜增厚廣泛存在,胞核深染,電鏡下可能見到HPV顆粒。
3.陰道結核性潰瘍可表現為陰道流血性分泌物。但結核性潰瘍少見,病變發展較慢,初為局限性小結節,破潰後形成淺表潰瘍,形狀不規則,局部淋巴結增大,分泌物塗片可能找到結核菌,身體其他部位可有結核症狀或體徵。陰道潰瘍處活組織檢查可確診。
4.子宮內膜異位症在陰道後穹隆形成結節病灶,呈暗紅色小突起,質硬,常伴有痛經症狀。活檢可證實。
5.陰道轉移性絨癌本病特點由子宮絨癌轉移而來。陰道結節呈紫藍色,質脆,易出血。有葡萄胎、流產、分娩等病史。妊娠試驗陽性,病理檢查可確診。
6.宮頸癌多見於中年以上婦女,有不規則陰道出血、陰道排液伴惡臭症狀,與陰道癌症狀難區別。婦科檢查發現病變在子宮頸,可呈潰瘍、糜爛及肥大等。
併發症
晚期並發膀胱及腸瘺、放射性囊腫及直腸炎、膀胱炎、尿道狹窄、直腸狹窄或潰瘍、放射性陰道壞死、潰瘍或狹窄、陰道纖維化等。治療併發症:不管採用手術還是放射治療,主要的併發症發生率是10%~15%。由於陰道癌與尿道、膀胱和直腸較近,其併發症較宮頸癌發生率高。主要的併發症是膀胱及腸瘺、放射性囊腫及直腸炎、膀胱炎、尿道狹窄、直腸狹窄或潰瘍、放射性陰道壞死、潰瘍或狹窄、陰道纖維化。治療後應行擴張器擴張陰道和鼓勵病人恢復規律的性生活並陰道局部給予雌激素使陰道保持良好的功能。
飲食保健
陰道鱗狀上皮癌食療1.黃芪土茯苓粥
用料:生黃芪30克、土茯苓50克、粳米200克。
製作:先將生黃芪、土茯苓水煎取汁加入淘洗好的粳米內熬粥。具益氣利濕解毒功效。
2.苡仁蓮子羹
用料:苡仁50克、蓮子20克、紅棗
製作:先將蓮子煮爛,加紅棗、苡仁粉,煨煮15分鐘。早晚2次服用,具益氣補血,健脾利濕,強體抗癌功效。
腫瘤化療後飲食
栗子黃魚
材料:黃魚2條,栗子10枚,蔥、姜、蒜、料酒、醬油、鹽、油、味素各適量。
製作方法:(1)將栗子去殼,洗淨。(2)炒鍋入油燒熱、將魚下鍋正反兩面煎好,取出備用。(3)入蔥絲、薑絲、蒜片煸炒,加入清湯、栗子、鹽、醬油,把魚放入湯內煮沸,去浮沫,煮至爛熟,加味素即成。
功效:健脾益胃,活血消腫。黃魚性平味甘,利水消腫,栗子性溫味甘,養胃健脾,活血止血。
紅燒冬瓜
材料:冬瓜300g,食用油12ml、醬油15ml、水澱粉30g、鹽9g、明油6ml、蔥絲、薑末、蒜各適量。
製作方法:(1)颳去冬瓜外皮,掏淨瓜子、瓜瓤,切成塊、放入鍋內煮5分鐘,撈出瀝乾水。(2)將醬油、鹽、蔥絲、蒜片、薑末、水澱粉加溫水攪拌均勻,作為調汁。(3)鍋內放油,旺火燒熱,倒入調料炒均勻,放入冬瓜,再炒拌均勻,加明油翻身即可。
功效:清熱利水。冬瓜性微寒味甘淡,配以辛溫的蔥、姜、蒜少許,具有清熱生津、解毒利水、降壓、降糖之功效。
熗菜花
主料:菜花150g、胡蘿蔔15g、黃瓜15g、豆油15ml、精鹽、味素、花椒粒、香油各適量。
製作方法:(1)將菜花掰成小塊,胡蘿蔔切成菱形片,均用開水焯至斷生,用涼水過涼,瀝乾水裝盤。(2)黃瓜切片,也放在盤中。(3)澆上炸好的花椒油,略燜一會兒,加精鹽、味素、香油拌勻即可。
功效:益氣健脾。菜花味甘性平,補中益氣,黃瓜甘寒清熱,胡蘿蔔、性平味甘,具有健脾胃、補氣血之功效。
雞丁炒荸薺
主料:嫩雞l只,鮮荸薺10個,蘑菇5g,蔥、姜、醬油等調料各適量。
製作方法:(1)將雞宰殺褪毛,取雞胸脯肉切丁,鮮荸薺洗淨,削皮後切片,蘑菇洗淨,用水煮熟撈出。(2)鍋中倒入香油適量,爆炒雞丁,加入荸薺、蘑菇及調料共炒,肉熟即成。
功效:益氣生津,滋陰清熱。雞肉營養豐富,含有抗癌的有效成分。荸薺性涼味甘,清熱止渴,滋陰抗癌。蘑菇有較強的抗癌作用。
茯苓蒸鱖魚
材料:茯苓15g,鱖魚1條,蔥姜適量。
製作方法:(1)將茯苓搗成碎末,然後在洗乾淨的鱖魚上拉幾道口子,再把姜、蔥切成絲備用。(2)把茯苓末均勻地抹在鱖魚身上和魚肚子裡,把薑絲、蔥絲覆在魚上。(3)將準備好的鱖魚上鍋用大火蒸,蒸上10分鐘後,把魚端出鍋,再把魚蒸出來的汁加點醬油倒進一隻小鍋里,根據自己的口味放點鹽,調勻之後澆在魚身上。
功效:茯苓有健脾作用,可以讓病人快速恢復胃腸道的消化吸收功能,以助全面康復。鱖魚性平,補益脾胃,與茯苓配合起來,也體現了中醫的清補原則,不易上火。
蒜甲魚
材料:甲魚500g,大蒜60g,白糖、白酒等各適量。
製作方法:(1)甲魚按常法加工,留甲,切成塊,大蒜分瓣剝好,洗淨。(2)甲魚、大蒜入鍋中,加水、白糖、白酒。(3)文火煮熟。
功效:補血養陰,抗癌解毒。甲魚性平味甘,滋陰補虛,清熱涼血。大蒜性溫味辛,有消腫解毒、殺蟲止痢的作用。適用於腫瘤病人接受放、化療後出現陰虛火旺,五心煩熱,口舌發炎,潮熱盜汗等症狀者。
宜食
(1)宜進抗腦瘤的食物,如小麥、薏米、荸薺、海蜇、蘆筍、炸壁虎、炸全蠍、炸蜈蚣、炸蠶蛹、鱟、海帶。
(2)宜吃具有保護顱內血管作用的食物:芹菜、薺菜、菊花腦、茭白、向日葵籽、海帶、海蜇、牡蠣、文蛤。
(3)宜吃具有防治顱內高壓作用的食物:玉米須、赤豆、核桃仁、紫菜、鯉魚、鴨肉、石蓴、海帶、蟹、蛤蜊。
(4)宜吃具有保護視力的食物:菊花、馬蘭頭、薺菜、羊肝、豬肝、鰻鱺。
(5)宜吃具有防護化療、效療副作用的食物:香菇、銀耳、黑木耳、黃花菜、核桃、芝麻、向日葵籽、獼猴桃、羊血、豬血、鵝血、雞血、蓮子、綠豆、薏米、鯽魚、青豆、鱘、鯊魚、梅、杏仁、佛手。
忌食
1、忌煙、酒。
2、忌辛辣刺激品。
3、忌霉變、醃製食物。
4、忌油煎、肥膩、煙燻、燒烤食物。
5、忌羊肉、狗肉、韭菜等一切溫熱性食物
醫學疾病任務——婦科
| 婦科是醫療機構的一個診療科目,是婦產科的一個分支專業,是以診療女性婦科病為診療的專業科室。女性生殖系統所患的疾病才叫婦科疾病。婦科疾病的種類可分很多種,本任務包含大多數婦科疾病。 |

