病因
乳腺纖維肉瘤(二)發病機制
纖維肉瘤被發覺時,通常已達一定體積,其病理有如下特點。
1.大體形態 瘤體較大,多數直徑在5cm以上,局限性生長,呈圓形或卵圓形結節狀。有不完整的假包膜,質地多數較硬韌,但局部有時可出現較軟或囊性區。切面均勻、濕潤、有光澤,呈灰紅色或灰白色魚肉樣,可有出血壞死和透明變性,黏液變性區。但無分葉狀結構。
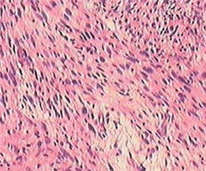
2.組織學形態纖維肉瘤根據其細胞形態及核分裂多少,鏡下可將其分為分化良好的纖維肉瘤和分化不良的纖維肉瘤兩類:
(1)分化良好的纖維肉瘤:鏡下見瘤細胞豐富,細胞形態類似纖維母細胞,呈梭形,形態整齊,均勻一致,異形性不明顯,核分裂不很多見。細胞核呈長梭形,深染,分布均勻,胞漿不多呈粉紅色。瘤細胞與膠原纖維一起排列呈編織狀。此型纖維肉瘤有浸潤性生長,局部切除後可復發,但無轉移傾向。
(2)分化不良的纖維肉瘤:鏡下見瘤細胞豐富。呈束狀交錯排列,有中等度到高度異形性,細胞不規則,呈圓形或卵圓形,梭形等。核分裂象多見。胞漿豐富,核大而深染。瘤細胞分化差,不產生膠原纖維,是一種惡性的未分化纖維肉瘤,極易轉移與復發。
症狀
本病生長甚速,短時期內已巨大。多為單發,無痛性腫塊,偶可見多發。腫塊呈圓形或橢圓形,結節狀,位於乳腺中央或占據整個乳腺,邊界清楚,推之可動,乳頭多不內陷。少數腫塊巨大者,乳腺皮膚往往甚薄,常有明顯的靜脈擴張,偶見與皮膚粘連外觀呈橘皮樣。瘤塊很快侵入胸肌而固定,並大多經血行轉移至肺、肝、腦等器官,淋巴結轉移較少,因而腋淋巴結往往不腫大。無痛性乳房腫塊,病程較長、生長緩慢為其特點。個別病人病程可達30年以上,發現時往往腫瘤體積已較大。但病程長短和良惡性不成比例。查體可見瘤體表皮緊張發亮,但無乳頭回縮,皮膚無橘皮樣變,少見腋淋巴結轉移。觸診可見腫塊質地較硬,邊界清楚,早期推之可動,當侵入胸肌後則固定。手術切除可見腫塊表面有不完全的包膜,切面呈實性淺紅色魚肉樣。
X線片可見圓形、無毛刺、粗糙密度的腫塊影像。免疫組化Vimentin I型膠原反應呈陽性反應。
檢查
1.組織病理學檢查 腫塊輪廓清楚,有假包膜。切面呈灰白色,有光澤或呈魚肉樣。鏡下見瘤細胞呈梭形,細胞核染色質較多,分布均勻;細胞質少,粉紅色。膠原纖維多與瘤細胞一起排列成人字形或羽毛狀縱橫交錯。嗜銀纖維較多,並圍繞每個細胞。2.免疫組化檢查 可見纖維肉瘤對Vimentin Ⅰ型膠原呈陽性反應。對平滑肌組織細胞標記或基底膜成分陰性者。
鉬靶X線片可見腫塊呈清楚的圓形或略有分葉的腫塊,無毛刺,局部可有粗糙密度影像。
飲食
乳腺纖維肉瘤食療方(僅供參考)組成: 川鬱金10克 玫瑰花10克青皮8克 陳皮8克桔葉10克赤芍10克 百芍10克當歸15克 栝萎30克。功用: 理氣疏肝,消腫散結。
主治: 乳腺病,乳腺癌初起,或乳腺癌於術後治療。
[原料]未成熟無花果50克,橙汁50毫升,檸檬汁15毫升,新鮮牛奶200毫升,蜂蜜20毫升。
[製法]先將未成熟無花果(即採摘個頭適中的青皮無花果)用水洗淨,連皮、柄一起切片,放入鍋內,加水適量,小火熬煮40分鐘,至果肉、皮、柄等熟爛呈糊狀,紗布過濾濃汁。將過濾的殘渣再入鍋,加水適量繼續熬煮30分鐘,用紗布再過濾濃汁,合併2次濃汁,拌勻,再煨煮至沸,離火,調入橙汁、檸檬汁及蜂蜜,拌和均勻,即成。
[吃法]早晚2次分服。
[功效]益氣補虛,補充營養。本食療方適用於乳腺癌術後神疲乏力、體質虛弱等症。
[評價]無花果,又名奶漿果,性味甘平,無毒,不但甜美可口,而且有很高的藥用價值。無花果功專散瘀消腫、清熱解毒。現代科學研究證實,從未成熟果實中所得乳汁能抑制大鼠移植性肉瘤、小鼠自發性乳癌,能夠使腫瘤發生壞死。無花果提取物能延緩移植性腺癌、骨髓性白血病、淋巴肉瘤的發展,使腫瘤細胞發生退化。
實驗研究還發現,無花果不僅具有激活免疫系統功能的作用,而且其所含的維生素A、D、C和β-葡聚糖等具有抗癌作用。橙汁、檸檬汁、牛奶所具有的益氣補虛、補充營養作用已為人們熟知,與無花果濃汁共調製成本食療方,尤其適合於中老年乳腺癌患者術後調養,並對術後神疲乏力、體質虛弱等症有較明顯的滋補調養功效,從而起到防癌抑癌、促進康復的重要作用。
治療
(一)治療本病首選手術治療,早期施行根治切除術,手術前後行放療預後尚佳。對手術時機和術式的選擇一般根據病人具體情況決定。對早期未侵犯胸大肌筋膜者多主張作包括胸大肌筋膜在內的全乳腺切除。對已侵犯胸大肌筋膜者,則主張將胸大肌一併切除。對腋淋巴結不腫大者一般不主張根治術,有腫大者可考慮行根治術。
本病化療效果不甚理想,可考慮單獨或聯合套用對間葉組織腫瘤有一定療效的環磷醯胺(CTX)、ACD、氟尿嘧啶(5-FU)、甲氨蝶呤(MTX)、ADM、DTIC等藥物。
(二)預後
腫瘤細胞分化程度,瘤體大小和手術方式對預後有一定影響。瘤體越小,切除越早,越徹底,預後越好。分化不良,腫瘤生長快,易發生潰瘍或早期發生血行轉移,預後較差。該病較葉狀囊肉瘤預後差。也有報導,術後復發經多次切除仍可存活很長時間。
鑑別
本瘤需與乳腺葉狀囊肉瘤,乳腺癌及脂肪肉瘤相鑑別。1.乳腺葉狀囊肉瘤 乳腺葉狀囊肉瘤的臨床表現及大體所見均較相似。但組織學中,葉狀囊肉瘤有巨大裂隙使瘤體呈分葉狀,可見有上皮細胞襯於裂隙內壁上。這是與纖維肉瘤最為主要的鑑別點。
2.乳腺癌 乳腺癌可出現乳頭溢液,乳頭回縮。大體形態見腫塊無包膜,與周圍組織界限不清、切面為灰白色,質硬,呈蟹足狀浸潤生長,多經淋巴管轉移。組織學所見,乳腺癌的瘤細胞呈巢狀。嗜銀染色可見嗜銀纖維圍繞在細胞團周圍。
3.脂肪肉瘤 瘤體內可查見脂肪母細胞,用蘇丹Ⅲ染色可見到細胞質內出現微小的脂肪滴。
醫學疾病任務——婦科
| 婦科是醫療機構的一個診療科目,是婦產科的一個分支專業,是以診療女性婦科病為診療的專業科室。女性生殖系統所患的疾病才叫婦科疾病。婦科疾病的種類可分很多種,本任務包含大多數婦科疾病。 |

