原因
發病原因
外陰惡性橫紋肌樣瘤外陰惡性橫紋肌樣瘤其組織發生曾有橫紋肌、神經外胚層、組織細胞、上皮細胞、黑色素細胞和間葉細胞等不同觀點,但均未獲得一致的意見,目前仍在進一步探討中。
發病機制
腫瘤為圓形或不規則性腫塊,表面粗糙,無包膜。切面灰褐色或棕褐色,可見散在出血灶。
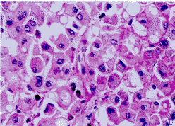
光鏡下表現為高度惡性肉瘤圖像,瘤細胞呈瀰漫性或不規則巢狀排列,特徵性表現是含豐富嗜酸性胞漿的大多角形細胞,泡狀核,核仁明顯,呈“貓頭鷹眼樣”。部分核偏位,大部分胞漿內見透明、淡嗜伊紅的球形包涵體,PAS陽性。電鏡下見包涵體由呈漩渦狀或同心圓狀排列的中間絲或微絲組成。
瘤細胞胞漿及包涵體vimentin,cytokeratin瀰漫陽性。Cytokeratin各型中,主要可見CK8和CK18陽性。大部分細胞胞漿CD99、NSE、Leu7等陽性。
表現及診斷
外陰惡性橫紋肌樣瘤大多表現為無痛性、活動的皮下結節,近期增大,大小2~6cm,可伴觸痛。病程數月到1年不等。其中大多數位於大陰唇,陰阜者較少。
外陰惡性橫紋肌樣瘤的診斷標準是:常規HE光鏡提出可能,經電鏡和免疫組化兩者予以肯定,三者缺一不可。
應該做哪些檢查
腫瘤標誌物檢查、免疫組化檢測。
組織病理學檢查。
容易與哪些疾病混淆
由於大多角嗜酸性瘤細胞和胞漿內嗜酸性小體還可見於上皮樣肉瘤、滑膜肉瘤、軟骨肉瘤、惡性間皮瘤、橫紋肌肉瘤、平滑肌肉瘤、Wilm瘤等,須注意鑑別。尤其是近年提出的“近側型”上皮樣肉瘤,Brand等(2001)認為目前尚無法將兩者完全區分。Saito等(2001)發現上皮樣肉瘤包括“近側型”大部分為CD34和β-catenin陽性表達,而惡性橫紋肌樣瘤中兩者均未見表達,認為免疫組化檢測CD34和β-catenin將有助於鑑別。
並發哪些疾病
轉移部位以肺最常見,其次為後腹膜淋巴結和肝。
吃什麼
外陰惡性橫紋肌樣瘤食療方(下面資料僅供參考,詳細需要諮詢醫生)
(1)苦參雞蛋:雞蛋2枚,紅糖60克,苦參60克。苦參濃煎取汁,放入打散的雞蛋和紅糖,煮熟即可,食蛋飲湯。每日1次,6日為1 療程。具有清熱解毒,燥濕斂瘡之功效,可用於外陰潰瘍的預防和治療。
(2)龍膽草蛋:龍膽草I0克,雞蛋3枚,蜂蜜30毫升。龍膽草煎水去渣,打入雞蛋成荷包蛋,放入蜂蜜,空腹服食,每日1次,5日為1個療程。具有清熱祛濕斂瘡之效。
(3)白菜綠豆芽飲:白菜根莖1個,綠豆芽30克。將白菜根洗淨切片,綠豆芽洗淨後同入鍋中,加適量水,煎煮15分鐘,去渣取汁,當茶飲用,不拘時間。具有清熱解除濕的功效,可用於外陰潰瘍的,治療。
(4)冰糖冬瓜湯:冬瓜子30克,冰糖30克。將冬瓜子洗淨,研成粗末,加入冰糖,沖開水1碗,放人陶罐,文火隔水燉服。每日2次,連服數日。具有清熱利濕止帶之功,可用於陰癢的治療。
(5)蒼耳豬肚:豬肚1個,蒼耳子30克,補骨脂10克。將豬肚洗淨,加水並與後兩味藥同煎,棄藥食肚。具有補腎祛風止癢之效。用於預防和治療萎縮型外陰白色病變。
(6)枸杞粥:枸杞子20克,大米適量。煮粥食用。
外吃那些對身體好
(1)宜多吃具有抗外陰腫瘤作用的食物,如芝麻、杏仁、小麥、大麥、土瓜、烏骨雞、烏賊、烏梢蛇、豬胰、菊花、烏梅、桃子、荔枝、馬齒莧、雞血、鰻魚、鮑魚、蟹、鱟、沙丁魚、文蛤、玳瑁。
(2)疼痛宜吃鱟、赤、龍蝦、淡菜、海參、虎魚、甜菜、綠豆、蘿蔔、雞血。
(3)瘙癢宜吃莧菜、白菜、芥菜、芋艿、海帶、紫菜、雞血、蛇肉、穿山甲。
4)增強體質、預防轉移宜吃銀耳、黑木耳、香菇、猴頭菇、雞肫、海參、薏米、核桃、蟹、石龍子、針魚。
(5)外陰惡性橫紋肌樣瘤手術手術後,耗氣傷血,宜多食補氣養血之品,如大棗、龍眼、扁豆、粳米、荔枝、香菇、胡蘿蔔、鵪鶉蛋、藕粉、豆類等。
(6)外陰惡性橫紋肌樣瘤手術後的放療:耗陰損液,宜多食滋陰養液之品,如菠菜、小百菜、藕、犁、西瓜、香蕉、葡萄、海參、甘蔗、百合等。
不要吃那些食物
(1)忌煙、酒及辛辣刺激性食物。
(2)忌肥膩、油煎、霉變、醃製食物。
(3)忌公雞、鵝等發物。
(4)瘙癢嚴重時忌海鮮及刺激、致敏食物。
(5)潰瘍、出血忌溫熱性食物:羊肉、韭菜、姜、胡椒、桂皮等。
應該如何預防
1. 預後: 預後極差。遠處轉移後患者一般在1~8個月內死亡。在隨訪的8例患者中存活4個月~11年,其中2例生存時間超過5年,中位生存時間為9個月。
2. 流行病學:外陰惡性橫紋肌樣瘤很少見。發病年齡在19~49歲,中位年齡39歲。該瘤常見於嬰幼兒腎臟,腎外惡性橫紋肌樣瘤則少見。
3.做好腫瘤的三級預防工作。
西醫治療方法
Brand等(2001)認為初次手術切除可能會提供最佳的治癒時機,建議首選廣泛性局部病灶切除或一側外陰切除術,對手術切緣陽性的患者可行輔助性放療來提高局部控制率。對於局部復發患者,再次廣泛局部病灶切除和淋巴結切除仍是首選,而輔助性化療和放療均收效甚微。
本瘤易局部復發和遠處轉移。5例行局部切除的患者中3例在2個月內復發,1例6歲出現復發,1例僅隨訪8個月未復發。3例行一側外陰切除加腹股溝淋巴結切除術的患者,分別於術後1,3,26個月出現局部復發或肺轉移。復發患者中5例再次廣泛局部病灶切除和淋巴結切除,其中1例於10個月後再次復發,第3次行廣泛局部病灶切除加放療後隨訪61個月,患者無瘤生存。
醫學疾病任務——婦科
| 婦科是醫療機構的一個診療科目,是婦產科的一個分支專業,是以診療女性婦科病為診療的專業科室。女性生殖系統所患的疾病才叫婦科疾病。婦科疾病的種類可分很多種,本任務包含大多數婦科疾病。 |

